扫码关注公众号           扫码咨询技术支持           扫码咨询技术服务
  
客服热线:400-901-9800  客服QQ:4009019800  技术答疑  技术支持  质量反馈  人才招聘  关于我们  联系我们
产品中心-北京博奥森生物技术有限公司
首页 > 产品中心 > 一抗 > 产品信息
NBL1 Rabbit pAb (bs-6043R)  
订购热线:400-901-9800
订购邮箱:sales@bioss.com.cn
订购QQ:  400-901-9800
技术支持:techsupport@bioss.com.cn
50ul/1180.00元
100ul/1980.00元
200ul/2800.00元
大包装/询价

产品编号 bs-6043R
英文名称 NBL1 Rabbit pAb
中文名称 神经母细胞瘤抑瘤蛋白1抗体
别    名 D1S1733E; DAN; DAND1; NB; NO3; NBL1_HUMAN; NBL1; DAN domain family member 1; Protein N03; Zinc finger protein DAN;   
研究领域 肿瘤  细胞生物  免疫学  神经生物学  
抗体来源 Rabbit
克隆类型 Polyclonal
克 隆 号
交叉反应 Mouse (predicted: Human,Rat,Rabbit,Pig,Cow,Chicken,Dog,Horse)
产品应用 IHC-P=1:100-500,IHC-F=1:100-500,IF=1:100-500
not yet tested in other applications.
optimal dilutions/concentrations should be determined by the end user.
理论分子量 18 kDa
细胞定位 分泌型蛋白 
性    状 Liquid
浓    度 1mg/ml
免 疫 原 KLH conjugated synthetic peptide derived from human NBL1/DAND1: 75-180/180 
亚    型 IgG
纯化方法 affinity purified by Protein A
缓 冲 液 0.01M TBS (pH7.4) with 1% BSA, 0.02% Proclin300 and 50% Glycerol.
保存条件 Shipped at 4℃. Store at -20℃ for one year. Avoid repeated freeze/thaw cycles.
注意事项 This product as supplied is intended for research use only, not for use in human, therapeutic or diagnostic applications.
PubMed PubMed
产品介绍 NBL1 (Neuroblastoma, suppression of tumorigenicity 1) is a candidate tumor suppressor of neuroblastoma and may play a role in preventing cells from entering the final stage (G1/S) of the transformation process. NBL1 is a member of the evolutionarily conserved CAN (Cerberus and DAN) family of proteins, which contain a domain resembling the CTCK (C-terminal cystine knot-like) motif found in a number of signaling molecules. It is a member of a class of glycoproteins shown to be secreted inhibitors of the transforming growth factor-beta (TGF-beta) and bone morphogenic protein pathways.

Function:
Possible candidate as a tumor suppressor gene of neuroblastoma. May play an important role in preventing cells from entering the final stage (G1/S) of the transformation process.

Subcellular Location:
Secreted.

Tissue Specificity:
Most abundant in normal lung and meningioma.

Similarity:
Belongs to the DAN family.
Contains 1 CTCK (C-terminal cystine knot-like) domain.

SWISS:
P41271

Gene ID:
4681

Database links:

Entrez Gene: 4681 Human

Omim: 600613 Human

SwissProt: P41271 Human

Unigene: 654502 Human



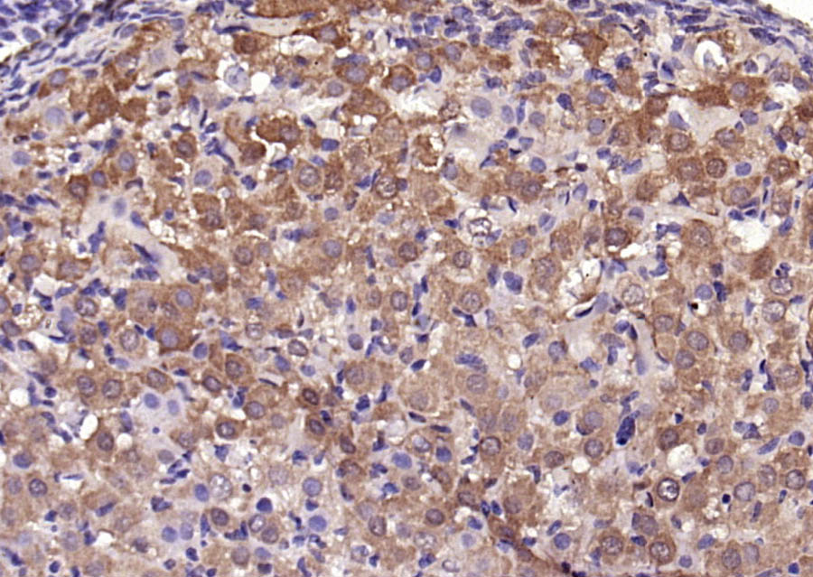
产品图片
Paraformaldehyde-fixed, paraffin embedded (mouse ovary); Antigen retrieval by boiling in sodium citrate buffer (pH6.0) for 15min; Block endogenous peroxidase by 3% hydrogen peroxide for 20 minutes; Blocking buffer (normal goat serum) at 37°C for 30min; Antibody incubation with (NBL1) Polyclonal Antibody, Unconjugated (bs-6043R) at 1:200 overnight at 4°C, followed by operating according to SP Kit(Rabbit) (sp-0023) instructionsand DAB staining.
版权所有 2004-2026 www.bioss.com.cn 北京博奥森生物技术有限公司
通过国际质量管理体系ISO 9001:2015 GB/T 19001-2016    证书编号: 00124Q34771R2M/1100
通过国际医疗器械-质量管理体系ISO 13485:2016 GB/T 42061-2022     证书编号: CQC24QY20047R0M/1100
京ICP备05066980号-1         京公网安备110107000727号