扫码关注公众号           扫码咨询技术支持           扫码咨询技术服务
  
客服热线:400-901-9800  客服QQ:4009019800  技术答疑  技术支持  质量反馈  关于我们  联系我们
产品中心-北京博奥森生物技术有限公司
首页 > 产品中心 > 一抗 > 产品信息
ANP32C Rabbit pAb (bs-5927R)  
订购热线:400-901-9800
订购邮箱:sales@bioss.com.cn
订购QQ:  400-901-9800
技术支持:techsupport@bioss.com.cn
50ul/1180.00元
100ul/1980.00元
200ul/2800.00元
大包装/询价

产品编号 bs-5927R
英文名称 ANP32C Rabbit pAb
中文名称 致瘤磷蛋白32相关蛋白1抗体
别    名 ANP32C; PP32R1; Anp32c-ps; Anp32cl; EG448829; AN32C_HUMAN; ANP32CP; Acidic leucine-rich nuclear phosphoprotein 32 family member C; Phosphoprotein 32-related protein 1; Tumorigenic protein pp32r1; AN32C_MOUSE; Anp32-ps;   
研究领域 肿瘤  免疫学  
抗体来源 Rabbit
克隆类型 Polyclonal
克 隆 号
交叉反应 Human,Mouse (predicted: Rat,Rabbit,Cow,Dog,Horse)
产品应用 IHC-P=1:100-500,IHC-F=1:100-500,IF=1:100-500
not yet tested in other applications.
optimal dilutions/concentrations should be determined by the end user.
理论分子量 26 kDa
细胞定位 细胞核 
性    状 Liquid
浓    度 1mg/ml
免 疫 原 KLH conjugated synthetic peptide derived from human ANP32C: 81-180/234 
亚    型 IgG
纯化方法 affinity purified by Protein A
缓 冲 液 0.01M TBS (pH7.4) with 1% BSA, 0.02% Proclin300 and 50% Glycerol.
保存条件 Shipped at 4℃. Store at -20℃ for one year. Avoid repeated freeze/thaw cycles.
注意事项 This product as supplied is intended for research use only, not for use in human, therapeutic or diagnostic applications.
PubMed PubMed
产品介绍 The protein encoded by ANP32C is one of at least two proteins that are similar in amino acid sequence to PP32 and are part of the same acidic nuclear phosphoprotein gene family. However, unlike PP32, the encoded protein is tumorigenic. The tumor suppressor function of PP32 has been localized to a 25 amino acid region that is divergent between PP32 and the protein encoded by this gene. This gene does not contain introns.

Tissue Specificity:
Expressed in activated stem cells, such as mobilized CD34+ cells and cord blood CD34+ cells, but not in resting bone marrow CD34+ cells. Expressed in a variety of neoplastic cell lines, mainly in prostatic adenocarcinoma cell lines. Not expressed in normal prostatic tissue.

Similarity:
Belongs to the ANP32 family.
Contains 4 LRR (leucine-rich) repeats.

SWISS:
O43423

Gene ID:
23520

Database links:

Entrez Gene: 23520 Human

Entrez Gene: 448829 Mouse

Entrez Gene: 680377 Rat

Omim: 606877 Human

SwissProt: O43423 Human

SwissProt: Q64G17 Mouse

Unigene: 661161 Human



产品图片
Paraformaldehyde-fixed, paraffin embedded (mouse embryos tissue); Antigen retrieval by boiling in sodium citrate buffer (pH6.0) for 15min; Block endogenous peroxidase by 3% hydrogen peroxide for 20 minutes; Blocking buffer (normal goat serum) at 37°C for 30min; Antibody incubation with (ANP32C) Polyclonal Antibody, Unconjugated (bs-5927R) at 1:200 overnight at 4°C, followed by operating according to SP Kit(Rabbit) (sp-0023) instructionsand DAB staining.
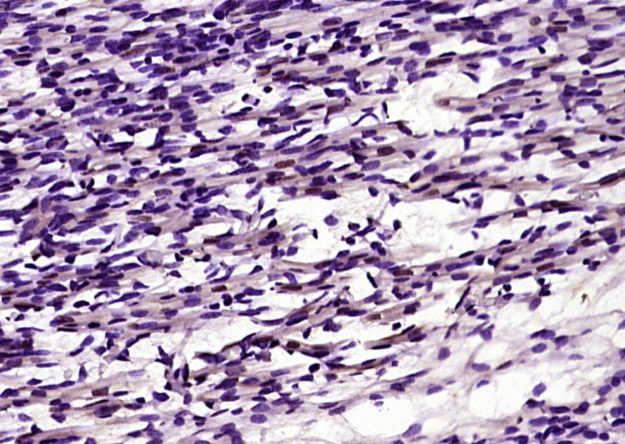
Paraformaldehyde-fixed, paraffin embedded (human colon carcinoma); Antigen retrieval by boiling in sodium citrate buffer (pH6.0) for 15min; Block endogenous peroxidase by 3% hydrogen peroxide for 20 minutes; Blocking buffer (normal goat serum) at 37°C for 30min; Antibody incubation with (ANP32C) Polyclonal Antibody, Unconjugated (bs-5927R) at 1:200 overnight at 4°C, followed by operating according to SP Kit(Rabbit) (sp-0023) instructionsand DAB staining.
版权所有 2004-2026 www.bioss.com.cn 北京博奥森生物技术有限公司
通过国际质量管理体系ISO 9001:2015 GB/T 19001-2016    证书编号: 00124Q34771R2M/1100
通过国际医疗器械-质量管理体系ISO 13485:2016 GB/T 42061-2022     证书编号: CQC24QY20047R0M/1100
京ICP备05066980号-1         京公网安备110107000727号