扫码关注公众号           扫码咨询技术支持           扫码咨询技术服务
  
客服热线:400-901-9800  客服QQ:4009019800  技术答疑  技术支持  质量反馈  人才招聘  关于我们  联系我们
产品中心-北京博奥森生物技术有限公司
首页 > 产品中心 > 一抗 > 产品信息
Collagen IV Rabbit pAb (bs-4595R)  
订购热线:400-901-9800
订购邮箱:sales@bioss.com.cn
订购QQ:  400-901-9800
技术支持:techsupport@bioss.com.cn
50ul/1180.00元
100ul/1980.00元
200ul/2800.00元
大包装/询价

产品编号 bs-4595R
英文名称 Collagen IV Rabbit pAb
中文名称 IV型胶原蛋白/4型胶原蛋白/胶原蛋白4抗体
别    名 BSVD; BSVD1; COL4A1s; PADMAL; RATOR; CO4A1_HUMAN; COL4A1;   
Specific References  (10)     |     bs-4595R has been referenced in 10 publications.
[IF=15.304] Xin Liu. et al. Construction of functional magnetic scaffold with temperature control switch for long-distance vascular injury. BIOMATERIALS. 2022 Oct;:121862  IF ;  Mouse.  
[IF=5.34] Yan Wang. et al. Geniposide alleviates VEGF-induced angiogenesis by inhibiting VEGFR2/PKC/ERK1/2-mediated SphK1 translocation. Phytomedicine. 2022 Jun;100:154068  IF ;  Rat.  
[IF=5.116] Siwen Zhang. et al. Concentrated exosomes from menstrual blood-derived stromal cells improves ovarian activity in a rat model of premature ovarian insufficiency. Stem Cell Res Ther. 2021 Dec;12(1):1-16  IF,IHC ;  Rat.  
[IF=4.12] Wu et al. MicroRNA-27a Induces Mesangial Cell Injury by Targeting of PPARγ, and its In Vivo Knockdown Prevents Progression of Diabetic Nephropathy. (2016) Sci.Rep. 6:26072  WB ;  Rat.  
[IF=2.51] Wu, Lina, et al. "The effect of resveratrol on FoxO1 expression in kidneys of diabetic nephropathy rats." Molecular biology reports 39.9 (2012): 9085-9093.  IHC-P ;  Rat.  
[IF=2.34] Bao et al. Enhanced hepatic differentiation of rat bone marrow-derived mesenchymal stem cells in spheroidal aggregate culture on a decellularized liver scaffold. (2016) Int.J.Mol.Me. 38:457-65  other ;  porcine.  
[IF=2.067] H-J Wang. et al. MiR-32-5p knockdown inhibits epithelial to mesenchymal transition and renal fibrosis by targeting SMAD7 in diabetic nephropathy:. Hum Exp Toxicol. 0;():  WB ;  Human.  
[IF=1.794] Gao X et al. Alteration and prognostic values of collagen gene expression in patients with gastric cancer under different treatments. Pathol Res Pract. 2020 Mar;216(3):152831.  IHC-P ;  Human.  
[IF=1.492] Song et al. Extracellular diffusion quantified by magnetic resonance imaging during rat C6 glioma cell progression. (2017) Braz.J.Med.Biol.Res. 50:e5404  WB ;  Rat.  
[IF=1.154] Ali Simsek. et al. Histopathological and Immunohistochemical Effects of Tarantula cubensis Extract on Mucosal Healing in Rats. J VET DENT. ;():  IHC ;  Rat.  
研究领域 肿瘤  免疫学  
抗体来源 Rabbit
克隆类型 Polyclonal
克 隆 号
交叉反应 Human
产品应用 IHC-P=1:200-1000,IHC-F=1:200-1000,IF=1:200-1000
not yet tested in other applications.
optimal dilutions/concentrations should be determined by the end user.
理论分子量 165 kDa
细胞定位 细胞膜 细胞外基质 分泌型蛋白 
性    状 Liquid
浓    度 1mg/ml
免 疫 原 KLH conjugated synthetic peptide derived from human Collagen alpha-1(IV) chain: 1571-1669/1669 
亚    型 IgG
纯化方法 affinity purified by Protein A
缓 冲 液 0.01M TBS (pH7.4) with 1% BSA, 0.02% Proclin300 and 50% Glycerol.
保存条件 Shipped at 4℃. Store at -20℃ for one year. Avoid repeated freeze/thaw cycles.
注意事项 This product as supplied is intended for research use only, not for use in human, therapeutic or diagnostic applications.
PubMed PubMed
产品介绍 Collagen IV is a major constituent of the basement membranes along with laminins, proteoglycans and enactins. It is a multimeric protein composed of 3 alpha subunits. These subunits are encoded by 6 different genes, alpha 1 through alpha 6, each of which can form a triple helix structure with 2 other subunits to form type IV collagen. It can form insoluble fibers with high tensile strength. Collagen IV is useful in detecting the loss of parts of basement membranes in carcinomas.

Function:
Type IV collagen is the major structural component of glomerular basement membranes (GBM), forming a 'chicken-wire' meshwork together with laminins, proteoglycans and entactin/nidogen.
Arresten, comprising the C-terminal NC1 domain, inhibits angiogenesis and tumor formation. The C-terminal half is found to possess the anti-angiogenic activity. Specifically inhibits endothelial cell proliferation, migration and tube formation. Inhibits expression of hypoxia-inducible factor 1alpha and ERK1/2 and p38 MAPK activation. Ligand for alpha1/beta1 integrin.

Subunit:
There are six type IV collagen isoforms, alpha 1(IV)-alpha 6(IV), each of which can form a triple helix structure with 2 other chains to generate type IV collagen network.

Subcellular Location:
Secreted, extracellular space, extracellular matrix, basement membrane.

Tissue Specificity:
Highly expressed in placenta.

Post-translational modifications:
Lysines at the third position of the tripeptide repeating unit (G-X-Y) are hydroxylated in all cases and bind carbohydrates.
Prolines at the third position of the tripeptide repeating unit (G-X-Y) are hydroxylated in some or all of the chains.
Type IV collagens contain numerous cysteine residues which are involved in inter- and intramolecular disulfide bonding. 12 of these, located in the NC1 domain, are conserved in all known type IV collagens.
The trimeric structure of the NC1 domains is stabilized by covalent bonds between Lys and Met residues.
Proteolytic processing produces the C-terminal NC1 peptide, arresten.

DISEASE:
Defects in COL4A1 are a cause of brain small vessel disease with hemorrhage (BSVDH) [MIM:607595]. Brain small vessel diseases underlie 20 to 30 percent of ischemic strokes and a larger proportion of intracerebral hemorrhages. Inheritance is autosomal dominant.
Defects in COL4A1 are the cause of hereditary angiopathy with nephropathy aneurysms and muscle cramps (HANAC) [MIM:611773]. The clinical renal manifestations include hematuria and bilateral large cysts. Histologic analysis revealed complex basement membrane defects in kidney and skin. The systemic angiopathy appears to affect both small vessels and large arteries.
Defects in COL4A1 are a cause of familial porencephaly (POREN1) [MIM:175780]. Porencephaly is a term used for any cavitation or cerebrospinal fluid-filled cyst in the brain. Porencephaly type 1 is usually unilateral and results from focal destructive lesions such as fetal vascular occlusion or birth trauma. Type 2, or schizencephalic porencephaly, is usually symmetric and represents a primary defect or arrest in the development of the cerebral ventricles.

Similarity:
Contains 1 FAD-binding FR-type domain.
Contains 1 ferric oxidoreductase domain.

SWISS:
P02462

Gene ID:
1282

Database links:

Entrez Gene: 282191 Cow

Entrez Gene: 317711 Cow

Entrez Gene: 407107 Cow

Entrez Gene: 508632 Cow

Entrez Gene: 511602 Cow

Entrez Gene: 1282 Human

Entrez Gene: 1284 Human

Entrez Gene: 1285 Human

Entrez Gene: 1286 Human

Entrez Gene: 1287 Human

Entrez Gene: 12826 Mouse

Entrez Gene: 12827 Mouse

Entrez Gene: 12828 Mouse

Entrez Gene: 12829 Mouse

Entrez Gene: 12830 Mouse

Entrez Gene: 397502 Pig

Entrez Gene: 290905 Rat

Entrez Gene: 301562 Rat

Entrez Gene: 306628 Rat

Entrez Gene: 363265 Rat

Entrez Gene: 363457 Rat

Omim: 120070 Human

Omim: 120090 Human

Omim: 120130 Human

Omim: 120131 Human

Omim: 303630 Human

SwissProt: P02462 Human

SwissProt: P08572 Human

SwissProt: P29400 Human

SwissProt: P53420 Human

SwissProt: Q01955 Human

SwissProt: P02463 Mouse

SwissProt: P08122 Mouse

SwissProt: Q9QZR9 Mouse

SwissProt: Q9QZS0 Mouse

Unigene: 17441 Human

Unigene: 369089 Human

Unigene: 570065 Human

Unigene: 591645 Human

Unigene: 738 Mouse

Unigene: 121139 Rat

Unigene: 22075 Rat

Unigene: 53801



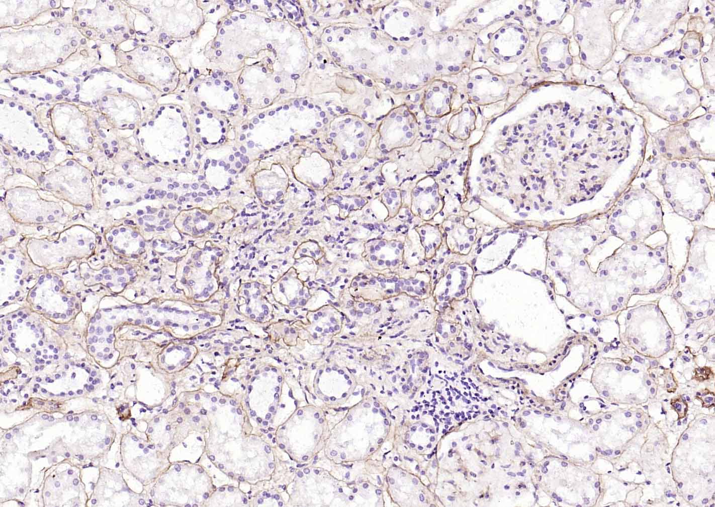
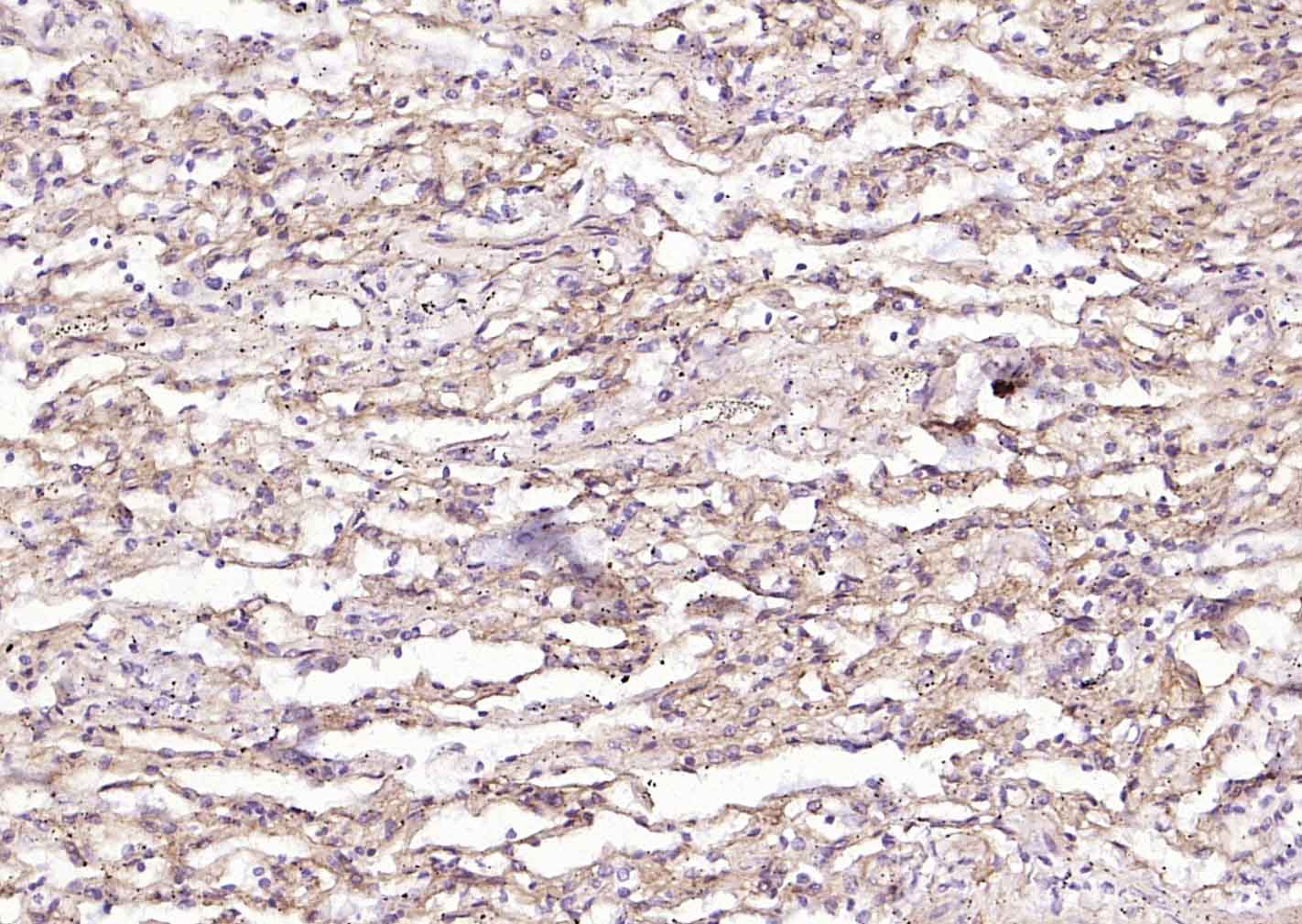
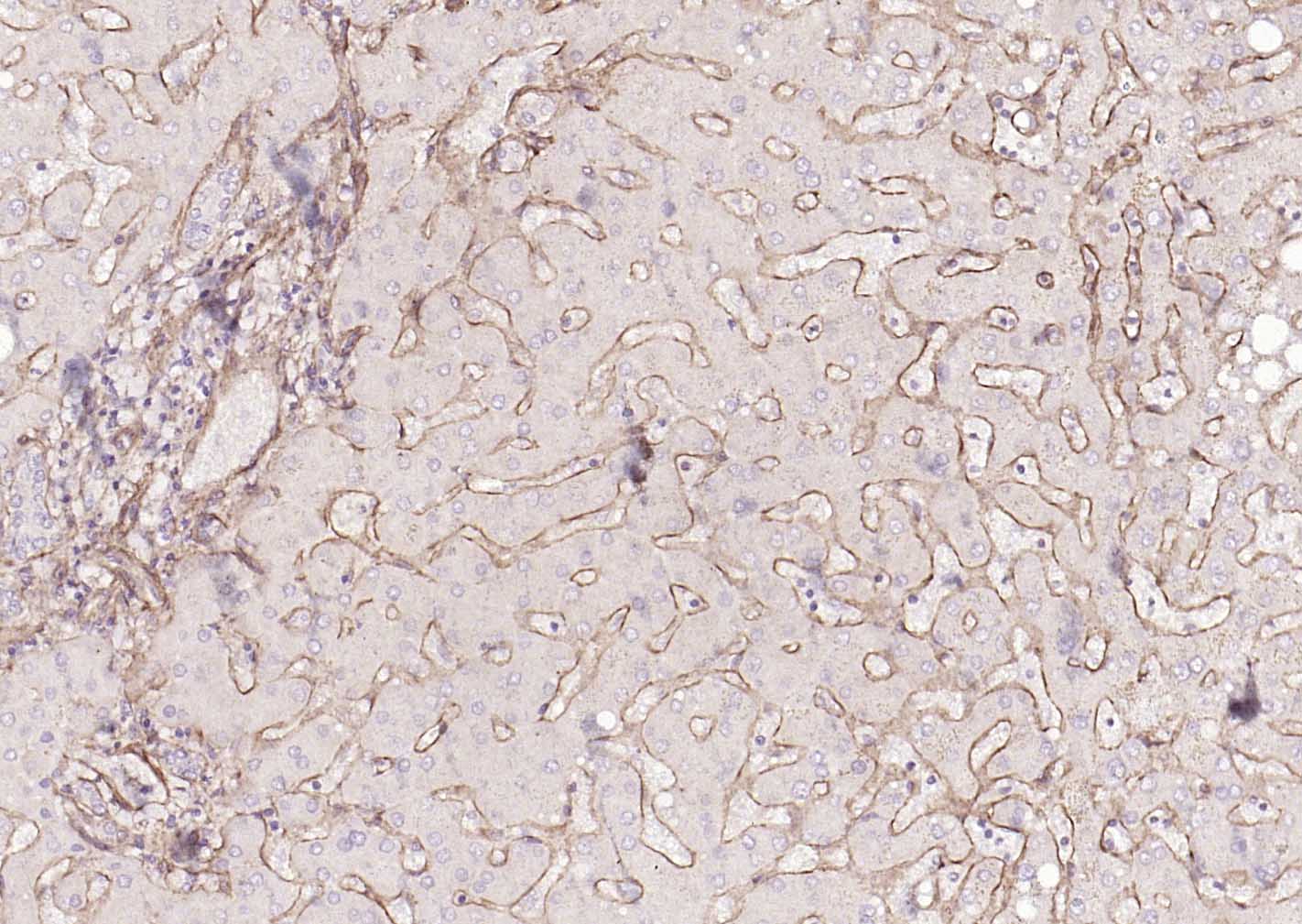
产品图片
Paraformaldehyde-fixed, paraffin embedded (human liver carcinoma); Antigen retrieval by boiling in sodium citrate buffer (pH6.0) for 15min; Block endogenous peroxidase by 3% hydrogen peroxide for 20 minutes; Blocking buffer (normal goat serum) at 37°C for 30min; Incubation with (Collagen IV) Polyclonal Antibody, Unconjugated (bs-4595R) at 1:400 overnight at 4°C, followed by operating according to SP Kit(Rabbit) (sp-0023) instructionsand DAB staining.
Paraformaldehyde-fixed, paraffin embedded (human lung); Antigen retrieval by boiling in sodium citrate buffer (pH6.0) for 15min; Block endogenous peroxidase by 3% hydrogen peroxide for 20 minutes; Blocking buffer (normal goat serum) at 37°C for 30min; Incubation with (Collagen IV) Polyclonal Antibody, Unconjugated (bs-4595R) at 1:200 overnight at 4°C, followed by operating according to SP Kit(Rabbit) (sp-0023) instructionsand DAB staining.
Paraformaldehyde-fixed, paraffin embedded (human liver); Antigen retrieval by boiling in EDTA buffer (pH9.0) for 15min; Block endogenous peroxidase by 3% hydrogen peroxide for 20 minutes; Blocking buffer (normal goat serum) at 37°C for 30min; Incubation with (Collagen IV) Polyclonal Antibody, Unconjugated (bs-4595R) at 1:200 overnight at 4°C, followed by operating according to SP Kit(Rabbit) (sp-0023) instructionsand DAB staining.
Paraformaldehyde-fixed, paraffin embedded (human kidney); Antigen retrieval by boiling in sodium citrate buffer (pH6.0) for 15min; Block endogenous peroxidase by 3% hydrogen peroxide for 20 minutes; Blocking buffer (normal goat serum) at 37°C for 30min; Incubation with (Collagen IV) Polyclonal Antibody, Unconjugated (bs-4595R) at 1:600 overnight at 4°C, followed by operating according to SP Kit(Rabbit) (sp-0023) instructionsand DAB staining.
Paraformaldehyde-fixed, paraffin embedded (human placenta); Antigen retrieval by boiling in sodium citrate buffer (pH6.0) for 15min; Block endogenous peroxidase by 3% hydrogen peroxide for 20 minutes; Blocking buffer (normal goat serum) at 37°C for 30min; Incubation with (Collagen IV) Polyclonal Antibody, Unconjugated (bs-4595R) at 1:300 overnight at 4°C, followed by operating according to SP Kit(Rabbit) (sp-0023) instructionsand DAB staining.
Paraformaldehyde-fixed, paraffin embedded Human Liver; Antigen retrieval by boiling in sodium citrate buffer (pH6.0) for 15 min; The section was incubated with Collagen IV Polyclonal Antibody, Unconjugated (bs-4595R) at 1:200 overnight at 4°C. Followed by conjugated Goat Anti-Rabbit IgG antibody (green, bs-0295G-BF488), DAPI (blue, C02-04002) was used to stain the cell nuclei.
Paraformaldehyde-fixed, paraffin embedded Human Placenta; Antigen retrieval by boiling in sodium citrate buffer (pH6.0) for 15 min; The section was incubated with Collagen IV Polyclonal Antibody, Unconjugated (bs-4595R) at 1:200 overnight at 4°C. Followed by conjugated Goat Anti-Rabbit IgG antibody (green, bs-0295G-BF488), DAPI (blue, C02-04002) was used to stain the cell nuclei.
版权所有 2004-2026 www.bioss.com.cn 北京博奥森生物技术有限公司
通过国际质量管理体系ISO 9001:2015 GB/T 19001-2016    证书编号: 00124Q34771R2M/1100
通过国际医疗器械-质量管理体系ISO 13485:2016 GB/T 42061-2022     证书编号: CQC24QY20047R0M/1100
京ICP备05066980号-1         京公网安备110107000727号