扫码关注公众号           扫码咨询技术支持           扫码咨询技术服务
  
客服热线:400-901-9800  客服QQ:4009019800  技术答疑  技术支持  质量反馈  关于我们  联系我们
产品中心-北京博奥森生物技术有限公司
首页 > 产品中心 > 一抗 > 产品信息
GEF H1 Rabbit pAb (bs-4202R)  
订购热线:400-901-9800
订购邮箱:sales@bioss.com.cn
订购QQ:  400-901-9800
技术支持:techsupport@bioss.com.cn
50ul/1180.00元
100ul/1980.00元
200ul/2800.00元
大包装/询价

产品编号 bs-4202R
英文名称 GEF H1 Rabbit pAb
中文名称 Rho鸟苷酸交换因子2抗体
别    名 GEF; GEF-H1; GEFH1; LFP40; Lfc; NEDMHM; P40; Lbcl1; mKIAA0651; ARHG2_HUMAN; ARHGEF2; Guanine nucleotide exchange factor H1 (GEF-H1); Microtubule-regulated Rho-GEF; Proliferating cell nucleolar antigen p40; KIAA0651; ARHG2_MOUSE; LBC'S first cousin; Lympho  
研究领域 肿瘤  免疫学  信号转导  转录调节因子  
抗体来源 Rabbit
克隆类型 Polyclonal
克 隆 号
交叉反应 Human,Mouse (predicted: Rat,Rabbit,Cow,Dog,Horse)
产品应用 WB=1:500-2000,IHC-P=1:100-500,IHC-F=1:100-500,IF=1:100-500,Flow-Cyt=1ug/Test,ICC/IF=1:100-500
not yet tested in other applications.
optimal dilutions/concentrations should be determined by the end user.
理论分子量 112 kDa
细胞定位 细胞浆 细胞膜 
性    状 Liquid
浓    度 1mg/ml
免 疫 原 KLH conjugated synthetic peptide derived from human GEF H1: 21-120/986 
亚    型 IgG
纯化方法 affinity purified by Protein A
缓 冲 液 0.01M TBS (pH7.4) with 1% BSA, 0.02% Proclin300 and 50% Glycerol.
保存条件 Shipped at 4℃. Store at -20℃ for one year. Avoid repeated freeze/thaw cycles.
注意事项 This product as supplied is intended for research use only, not for use in human, therapeutic or diagnostic applications.
PubMed PubMed
产品介绍 Activates Rho-GTPases by promoting the exchange of GDP for GTP. May be involved in epithelial barrier permeability, cell motility and polarization, dendritic spine morphology, antigen presentation, leukemic cell differentiation, cell cycle regulation, and cancer. Binds Rac-GTPases, but does not seem to promote nucleotide exchange activity toward Rac-GTPases, which was uniquely reported in PubMed:9857026. May stimulate instead the cortical activity of Rac. Inactive toward CDC42, TC10, or Ras-GTPases. Forms an intracellular sensing system along with NOD1 for the detection of microbial effectors during cell invasion by pathogens. Required for RHOA and RIP2 dependent NF-kappaB signaling pathways activation upon S.flexneri cell invasion. Involved not only in sensing peptidoglycan (PGN)-derived muropeptides through NOD1 that is independent of its GEF activity, but also in the activation of NF-kappaB by Shigella effector proteins (IpgB2 and OspB) which requires its GEF activity and the activation of RhoA.

Function:
Activates Rho-GTPases by promoting the exchange of GDP for GTP. May be involved in epithelial barrier permeability, cell motility and polarization, dendritic spine morphology, antigen presentation, leukemic cell differentiation, cell cycle regulation, and cancer. Binds Rac-GTPases, but does not seem to promote nucleotide exchange activity toward Rac-GTPases, which was uniquely reported in PubMed:9857026. May stimulate instead the cortical activity of Rac. Inactive toward CDC42, TC10, or Ras-GTPases. Forms an intracellular sensing system along with NOD1 for the detection of microbial effectors during cell invasion by pathogens. Required for RHOA and RIP2 dependent NF-kappaB signaling pathways activation upon S.flexneri cell invasion. Involved not only in sensing peptidoglycan (PGN)-derived muropeptides through NOD1 that is independent of its GEF activity, but also in the activation of NF-kappaB by Shigella effector proteins (IpgB2 and OspB) which requires its GEF activity and the activation of RhoA.

Subunit:
Interacts with 14-3-3 zeta; when phosphorylated at Ser-886. Interacts with the kinases PAK4, AURKA and MAPK1. Interacts with RHOA and RAC1. Interacts with NOD1. Interacts (via the N-terminal zinc finger) with CAPN6 (via domain II).

Subcellular Location:
Cytoplasm. Cell junction, tight junction. Golgi apparatus. Cytoplasm, cytoskeleton, spindle. Cell projection, ruffle membrane. Note=Localizes to the tips of cortical microtubules of the mitotic spindle during cell division, and is further released upon microtubule depolymerization. Recruited into membrane ruffles induced by S.flexneri at tight junctions of polarized epithelial cells.

Post-translational modifications:
Phosphorylation of Ser-886 by PAK1 induces binding to protein 14-3-3 zeta, promoting its relocation to microtubules and the inhibition of its activity.
Phosphorylated by STK6 and CDK1 during mitosis, which negatively regulates its activity. Phosphorylation by MAPK1 or MAPK3 increases nucleotide exchange activity. Phosphorylation by PAK4 releases GEF-H1 from the microtubules.

Similarity:
Contains 1 DH (DBL-homology) domain.
Contains 1 PH domain.
Contains 1 phorbol-ester/DAG-type zinc finger.

SWISS:
Q92974

Gene ID:
9181

Database links:

Entrez Gene: 9181 Human

Entrez Gene: 16800 Mouse

Entrez Gene: 310635 Rat

Omim: 607560 Human

SwissProt: Q92974 Human

SwissProt: Q60875 Mouse

SwissProt: Q5FVC2 Rat

Unigene: 516790 Human

Unigene: 239329 Mouse

Unigene: 482396 Mouse

Unigene: 12255 Rat



产品图片
Sample: A431(Human) Cell Lysate at 30 ug Hela(Human) Cell Lysate at 30 ug Primary: Anti-GEF H1 (bs-4202R) at 1/1000 dilution Secondary: IRDye800CW Goat Anti-Rabbit IgG at 1/20000 dilution Predicted band size: 115 kD Observed band size: 115 kD
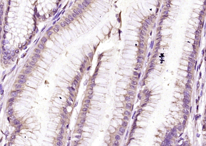
Paraformaldehyde-fixed, paraffin embedded (human gastric carcinoma); Antigen retrieval by boiling in sodium citrate buffer (pH6.0) for 15min; Block endogenous peroxidase by 3% hydrogen peroxide for 20 minutes; Blocking buffer (normal goat serum) at 37°C for 30min; Antibody incubation with (GEF H1) Polyclonal Antibody, Unconjugated (bs-4202R) at 1:400 overnight at 4°C, followed by operating according to SP Kit(Rabbit) (sp-0023) instructionsand DAB staining.
NIH/3T3 cell; 4% Paraformaldehyde-fixed; Triton X-100 at room temperature for 20 min; Blocking buffer (normal goat serum, C-0005) at 37°C for 20 min; Antibody incubation with (GEF H1) polyclonal Antibody, Unconjugated (bs-4202R) 1:100, 90 minutes at 37°C; followed by a conjugated Goat Anti-Rabbit IgG antibody at 37°C for 90 minutes, DAPI (blue, C02-04002) was used to stain the cell nuclei.
Blank control(black line):RAW264.7. Primary Antibody (green line): Rabbit Anti-GEF H1 antibody (bs-4202R) Dilution:1ug/Test; Secondary Antibody(white blue line): Goat anti-rabbit IgG-AF488 Dilution: 0.5ug/Test. Isotype control(orange line): Normal Rabbit IgG Protocol The cells were fixed with 4% PFA (10min at room temperature)and then permeabilized with 90% ice-cold methanol for 20 min at -20℃, The cells were then incubated in 5%BSA to block non-specific protein-protein interactions for 30 min at room temperature .Cells stained with Primary Antibody for 30 min at room temperature. The secondary antibody used for 40 min at room temperature. Acquisition of 20,000 events was performed.
版权所有 2004-2026 www.bioss.com.cn 北京博奥森生物技术有限公司
通过国际质量管理体系ISO 9001:2015 GB/T 19001-2016    证书编号: 00124Q34771R2M/1100
通过国际医疗器械-质量管理体系ISO 13485:2016 GB/T 42061-2022     证书编号: CQC24QY20047R0M/1100
京ICP备05066980号-1         京公网安备110107000727号