扫码关注公众号           扫码咨询技术支持           扫码咨询技术服务
  
客服热线:400-901-9800  客服QQ:4009019800  技术答疑  技术支持  质量反馈  关于我们  联系我们
产品中心-北京博奥森生物技术有限公司
首页 > 产品中心 > 一抗 > 产品信息
PMVK Rabbit pAb (bs-5371R)  
订购热线:400-901-9800
订购邮箱:sales@bioss.com.cn
订购QQ:  400-901-9800
技术支持:techsupport@bioss.com.cn
50ul/1180.00元
100ul/1980.00元
200ul/2800.00元
大包装/询价

产品编号 bs-5371R
英文名称 PMVK Rabbit pAb
中文名称 磷酸甲羟戊酸激酶抗体
别    名 HUMPMKI; PMK; PMKA; PMKASE; POROK1; 1110011E12Rik; 2900002L22Rik; PMVK_HUMAN; PMVK; hPMK; 2.7.4.2; PMKI; PMVK_MOUSE; Q5RK24_RAT;   
研究领域 肿瘤  细胞生物  免疫学  信号转导  转录调节因子  
抗体来源 Rabbit
克隆类型 Polyclonal
克 隆 号
交叉反应 Human,Mouse (predicted: Rat,Rabbit,Pig,Sheep,Cow,Horse)
产品应用 WB=1:500-2000,IHC-P=1:100-500,IHC-F=1:100-500,IF=1:100-500
not yet tested in other applications.
optimal dilutions/concentrations should be determined by the end user.
理论分子量 22 kDa
细胞定位 细胞浆 
性    状 Liquid
浓    度 1mg/ml
免 疫 原 KLH conjugated synthetic peptide derived from human PMVK: 15-120/192 
亚    型 IgG
纯化方法 affinity purified by Protein A
缓 冲 液 0.01M TBS (pH7.4) with 1% BSA, 0.02% Proclin300 and 50% Glycerol.
保存条件 Shipped at 4℃. Store at -20℃ for one year. Avoid repeated freeze/thaw cycles.
注意事项 This product as supplied is intended for research use only, not for use in human, therapeutic or diagnostic applications.
PubMed PubMed
产品介绍 PMVK is a 192 amino acid peroxisomal enzyme belonging to the nucleoside monophosphate (NMP) kinase family and is expressed in heart, liver, skeletal muscle, kidney, and pancreas with lower expression in brain, placenta and lung. Induced by sterol, PMVK participates in isopentenyl diphosphate biosynthesis via the mevalonate pathway. PMVK catalyzes the conversion of mevalonate 5-phosphate into mevalonate 5-diphosphate in the fifth reaction of the cholesterol biosynthetic pathway. PMVK exists as a monomer and is encoded by a gene located on human chromosome 1, which houses over 3,000 genes and is the largest human chromosome spanning about 260 million base pairs and making up 8% of the human genome.

Subunit:
Monomer (By similarity).

Subcellular Location:
Peroxisome.

Tissue Specificity:
Heart, liver, skeletal muscle, kidney, and pancreas. Lower level in brain, placenta and lung.

SWISS:
Q15126

Gene ID:
10654

Database links:

Entrez Gene: 10654 Human

Entrez Gene: 68603 Mouse

Entrez Gene: 310645 Rat

Omim: 607622 Human

SwissProt: Q15126 Human

SwissProt: Q9D1G2 Mouse

SwissProt: Q5RK24 Rat

Unigene: 30954 Human

Unigene: 34242 Mouse

Unigene: 22202 Rat



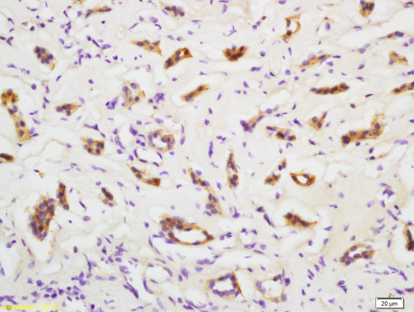
产品图片
Sample: Uterus (Mouse) Lysate at 40 ug Cerebrum (Mouse) Lysate at 40 ug Heart (Mouse) Lysate at 40 ug Lymph node (Mouse) Lysate at 40 ug 293T(Human) Cell Lysate at 30 ug Primary: Anti-PMVK (bs-5371R) at 1/1000 dilution Secondary: IRDye800CW Goat Anti-Rabbit IgG at 1/20000 dilution Predicted band size: 22 kD Observed band size: 24 kD
Tissue/cell: human kidney tissue; 4% Paraformaldehyde-fixed and paraffin-embedded; Antigen retrieval: citrate buffer ( 0.01M, pH 6.0 ), Boiling bathing for 15min; Block endogenous peroxidase by 3% Hydrogen peroxide for 30min; Blocking buffer (normal goat serum,C-0005) at 37℃ for 20 min; Incubation: Anti-PMVK Polyclonal Antibody, Unconjugated(bs-5371R) 1:200, overnight at 4°C, followed by conjugation to the secondary antibody(SP-0023) and DAB(C-0010) staining
版权所有 2004-2026 www.bioss.com.cn 北京博奥森生物技术有限公司
通过国际质量管理体系ISO 9001:2015 GB/T 19001-2016    证书编号: 00124Q34771R2M/1100
通过国际医疗器械-质量管理体系ISO 13485:2016 GB/T 42061-2022     证书编号: CQC24QY20047R0M/1100
京ICP备05066980号-1         京公网安备110107000727号