扫码关注公众号           扫码咨询技术支持           扫码咨询技术服务
  
客服热线:400-901-9800  客服QQ:4009019800  技术答疑  技术支持  质量反馈  人才招聘  关于我们  联系我们
产品中心-北京博奥森生物技术有限公司
首页 > 产品中心 > 一抗 > 产品信息
BACH1 Rabbit pAb (bs-4092R)  
订购热线:400-901-9800
订购邮箱:sales@bioss.com.cn
订购QQ:  400-901-9800
技术支持:techsupport@bioss.com.cn
50ul/1180.00元
100ul/1980.00元
200ul/2800.00元
大包装/询价

产品编号 bs-4092R
英文名称 BACH1 Rabbit pAb
中文名称 转录调节蛋白BACH1抗体
别    名 BACH-1; BTBD24; 6230421P05Rik; BACH1_HUMAN; BACH1; BTB and CNC homolog 1; HA2303; BACH1_MOUSE;   
Specific References  (1)     |     bs-4092R has been referenced in 1 publications.
[IF=2.639] Jin Houet al. Silver Nanoparticles Induced Oxidative Stress and Mitochondrial Injuries Mediated Autophagy in HC11 Cells Through Akt/AMPK/mTOR Pathway. Biol Trace Elem Res . 2021 Mar;199(3):1062-1073.  WB ;  mouse.  
研究领域 肿瘤  免疫学  信号转导  
抗体来源 Rabbit
克隆类型 Polyclonal
克 隆 号
交叉反应 Human,Mouse,Rat (predicted: Rabbit,Pig,Cow,Chicken,Dog,Horse)
产品应用 WB=1:500-2000,IHC-P=1:100-500,IHC-F=1:100-500,IF=1:100-500,Flow-Cyt=2ug/test
not yet tested in other applications.
optimal dilutions/concentrations should be determined by the end user.
理论分子量 81 kDa
检测分子量 81
细胞定位 细胞核 
性    状 Liquid
浓    度 1mg/ml
免 疫 原 KLH conjugated synthetic peptide derived from human BACH1: 501-600/736 
亚    型 IgG
纯化方法 affinity purified by Protein A
缓 冲 液 0.01M TBS (pH7.4) with 1% BSA, 0.02% Proclin300 and 50% Glycerol.
保存条件 Shipped at 4℃. Store at -20℃ for one year. Avoid repeated freeze/thaw cycles.
注意事项 This product as supplied is intended for research use only, not for use in human, therapeutic or diagnostic applications.
PubMed PubMed
产品介绍 This gene encodes a transcription factor that belongs to the cap'n'collar type of basic region leucine zipper factor family (CNC-bZip). The encoded protein contains broad complex, tramtrack, bric-a-brac/poxvirus and zinc finger (BTB/POZ) domains, which is atypical of CNC-bZip family members. These BTB/POZ domains facilitate protein-protein interactions and formation of homo- and/or hetero-oligomers. When this encoded protein forms a heterodimer with MafK, it functions as a repressor of Maf recognition element (MARE) and transcription is repressed. Multiple alternatively spliced transcript variants have been identified for this gene. [provided by RefSeq, May 2009]

Function:
Transcriptional regulator that acts as repressor or activator. Binds, in vitro, to NF-E2 binding sites. Play important roles in coordinating transcription activation and repression by MAFK.

Subcellular Location:
Nucleus.

Similarity:
Belongs to the bZIP family. CNC subfamily.
Contains 1 BTB (POZ) domain.
Contains 1 bZIP domain.

SWISS:
O14867

Gene ID:
571

Database links:

Entrez Gene: 571 Human

Entrez Gene: 12013 Mouse

Entrez Gene: 304127 Rat

Omim: 602751 Human

SwissProt: O14867 Human

SwissProt: P97302 Mouse

Unigene: 154276 Human

Unigene: 721915 Human

Unigene: 26147 Mouse

Unigene: 29793 Rat





产品图片
Sample: Bone (Mouse) Lysate at 40 ug Primary: Anti-BACH1 (bs-4092R) at 1/300 dilution Secondary: IRDye800CW Goat Anti-Rabbit IgG at 1/20000 dilution Predicted band size: 81 kD Observed band size: 81 kD
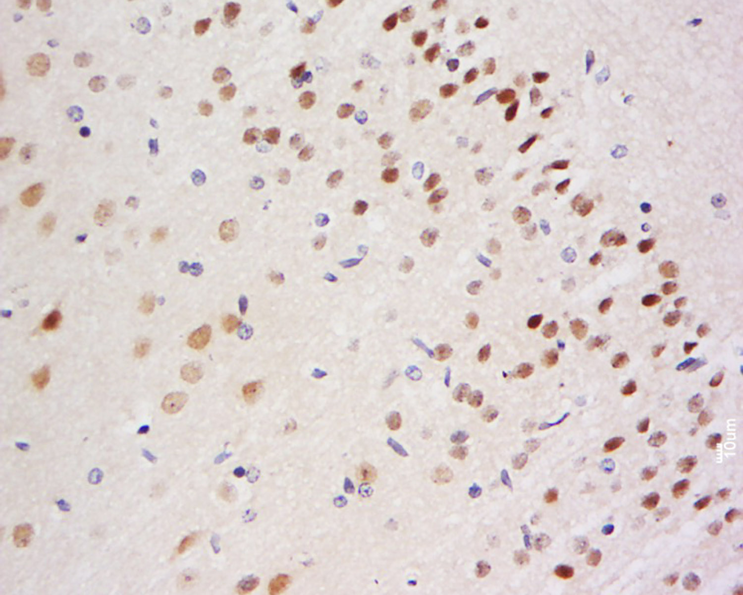
Tissue/cell: Rat brain tissue; 4% Paraformaldehyde-fixed and paraffin-embedded; Antigen retrieval: citrate buffer ( 0.01M, pH 6.0 ), Boiling bathing for 15min; Block endogenous peroxidase by 3% Hydrogen peroxide for 30min; Blocking buffer (normal goat serum,C-0005) at 37℃ for 20 min; Incubation: Anti-BACH1 Polyclonal Antibody, Unconjugated(bs-4092R) 1:200, overnight at 4°C, followed by conjugation to the secondary antibody(SP-0023) and DAB(C-0010) staining
Blank control(black line):Hela. Primary Antibody (green line): Rabbit Anti-BACH1 antibody (bs-4092R) Dilution:2ug/Test; Secondary Antibody(white blue line): Goat anti-rabbit IgG-AF488 Dilution: 0.5ug/Test. Isotype control(orange line): Normal Rabbit IgG Protocol The cells were fixed with 4% PFA (10min at room temperature)and then permeabilized with 90% ice-cold methanol for 20 min at -20℃, The cells were then incubated in 5%BSA to block non-specific protein-protein interactions for 30 min at room temperature .Cells stained with Primary Antibody for 30 min at room temperature. The secondary antibody used for 40 min at room temperature. Acquisition of 20,000 events was performed.
版权所有 2004-2026 www.bioss.com.cn 北京博奥森生物技术有限公司
通过国际质量管理体系ISO 9001:2015 GB/T 19001-2016    证书编号: 00124Q34771R2M/1100
通过国际医疗器械-质量管理体系ISO 13485:2016 GB/T 42061-2022     证书编号: CQC24QY20047R0M/1100
京ICP备05066980号-1         京公网安备110107000727号