扫码关注公众号           扫码咨询技术支持           扫码咨询技术服务
  
客服热线:400-901-9800  客服QQ:4009019800  技术答疑  技术支持  质量反馈  关于我们  联系我们
产品中心-北京博奥森生物技术有限公司
首页 > 产品中心 > 一抗 > 产品信息
CRX1 Rabbit pAb (bs-3798R)  
订购热线:400-901-9800
订购邮箱:sales@bioss.com.cn
订购QQ:  400-901-9800
技术支持:techsupport@bioss.com.cn
50ul/1180.00元
100ul/1980.00元
200ul/2800.00元
大包装/询价

产品编号 bs-3798R
英文名称 CRX1 Rabbit pAb
中文名称 CRX抗体
别    名 CORD2; CRD; LCA7; OTX3; Crx1; CRX_BOVIN; CRX; CRX_CANLF; CRX_HUMAN; CRX_MOUSE;   
Specific References  (1)     |     bs-3798R has been referenced in 1 publications.
[IF=2.81] Machalińska, Anna, et al. "Neuroprotective and anti-apoptotic activity of lineage-negative bone marrow cells after intravitreal injection in a mouse model of acute retinal injury."  IHC-P ;  Mouse.  
研究领域 免疫学  信号转导  转录调节因子  
抗体来源 Rabbit
克隆类型 Polyclonal
克 隆 号
交叉反应 Mouse,Rat (predicted: Human,Rabbit,Pig,Cow,Dog,Horse)
产品应用 WB=1:500-2000,IHC-P=1:100-500,IHC-F=1:100-500,IF=1:100-500
not yet tested in other applications.
optimal dilutions/concentrations should be determined by the end user.
理论分子量 32 kDa
细胞定位 细胞核 
性    状 Liquid
浓    度 1mg/ml
免 疫 原 KLH conjugated synthetic peptide derived from human CRX: 51-150/299 
亚    型 IgG
纯化方法 affinity purified by Protein A
缓 冲 液 0.01M TBS (pH7.4) with 1% BSA, 0.02% Proclin300 and 50% Glycerol.
保存条件 Shipped at 4℃. Store at -20℃ for one year. Avoid repeated freeze/thaw cycles.
注意事项 This product as supplied is intended for research use only, not for use in human, therapeutic or diagnostic applications.
PubMed PubMed
产品介绍 The protein encoded by this gene is a photoreceptor-specific transcription factor which plays a role in the differentiation of photoreceptor cells. This homeodomain protein is necessary for the maintenance of normal cone and rod function. Mutations in this gene are associated with photoreceptor degeneration, Leber congenital amaurosis type III and the autosomal dominant cone-rod dystrophy 2. Several alternatively spliced transcript variants of this gene have been described, but the full-length nature of some variants has not been determined. [provided by RefSeq, Jul 2008].

Function:
Binds and transactivates the sequence 5'-TAATC[CA]-3' which is found upstream of several photoreceptor-specific genes, including the opsin genes. Acts synergistically with other transcription factors, e.g. NRL and RX, to regulate photoreceptor cell-specific gene transcription. Essential for the maintenance of mammalian photoreceptors.

Subunit:
Interacts with SCA7. Interacts with RAX2. Interacts (via the homeobox) with NRL (via the leucine-zipper domain). Interacts with PDC.

Subcellular Location:
Nucleus.

Tissue Specificity:
Retina.

DISEASE:
Defects in CRX are the cause of Leber congenital amaurosis type 7 (LCA7) [MIM:613829]. LCA designates a clinically and genetically heterogeneous group of childhood retinal degenerations, generally inherited in an autosomal recessive manner. Affected infants have little or no retinal photoreceptor function as tested by electroretinography. LCA represents the most common genetic cause of congenital visual impairment in infants and children. [DISEASE] Defects in CRX are the cause of cone-rod dystrophy type 2 (CORD2) [MIM:120970]; also known as cone-rod retinal dystrophy 2 (CRD2). CORDs are inherited retinal dystrophies belonging to the group of pigmentary retinopathies. CORDs are characterized by retinal pigment deposits visible on fundus examination, predominantly in the macular region, and initial loss of cone photoreceptors followed by rod degeneration. This leads to decreased visual acuity and sensitivity in the central visual field, followed by loss of peripheral vision. Severe loss of vision occurs earlier than in retinitis pigmentosa.
Defects in CRX are a cause of retinitis pigmentosa (RP) [MIM:268000]. RP leads to degeneration of retinal photoreceptor cells. Patients typically have night vision blindness and loss of midperipheral visual field. As their condition progresses, they lose their far peripheral visual field and eventually central vision as well.

Similarity:
Belongs to the paired homeobox family. Contains 1 homeobox DNA-binding domain.

SWISS:
O43186

Gene ID:
1406

Database links:

Entrez Gene: 1406 Human

Entrez Gene: 12951 Mouse

Entrez Gene: 60446 Rat

Omim: 602225 Human

SwissProt: Q9XSK0 Cow

SwissProt: Q8SQ03 Dog

SwissProt: O43186 Human

SwissProt: O54751 Mouse

Unigene: 617342 Human

Unigene: 633434 Human

Unigene: 639114 Human

Unigene: 441911 Mouse

Unigene: 44287 Rat



产品图片
Sample: Lane 1: Mouse Testis tissue lysates Lane 2: Rat Testis tissue lysates Primary: Anti-CRX1 (bs-3798R) at 1/1000 dilution Secondary: IRDye800CW Goat Anti-Rabbit IgG at 1/20000 dilution Predicted band size: 32 kDa Observed band size: 35 kDa
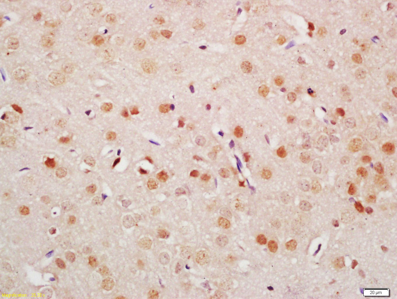
Tissue/cell: mouse brain tissue; 4% Paraformaldehyde-fixed and paraffin-embedded; Antigen retrieval: citrate buffer ( 0.01M, pH 6.0 ), Boiling bathing for 15min; Block endogenous peroxidase by 3% Hydrogen peroxide for 30min; Blocking buffer (normal goat serum,C-0005) at 37℃ for 20 min; Incubation: Anti-CRX1 Polyclonal Antibody, Unconjugated(bs-3798R) 1:200, overnight at 4°C, followed by conjugation to the secondary antibody(SP-0023) and DAB(C-0010) staining
Protein: rat lung lysates, 30ug; Primary: Anti-SCD1(bs-3787R) at 1:200; Secondary: HRP conjugated Goat Anti-Rabbit IgG(bs-0295G-HRP) at 1: 3000; ECL excitated the fluorescence; Predicted band size : 41kD Observed band size : 55kD
版权所有 2004-2026 www.bioss.com.cn 北京博奥森生物技术有限公司
通过国际质量管理体系ISO 9001:2015 GB/T 19001-2016    证书编号: 00124Q34771R2M/1100
通过国际医疗器械-质量管理体系ISO 13485:2016 GB/T 42061-2022     证书编号: CQC24QY20047R0M/1100
京ICP备05066980号-1         京公网安备110107000727号