扫码关注公众号           扫码咨询技术支持           扫码咨询技术服务
  
客服热线:400-901-9800  客服QQ:4009019800  技术答疑  技术支持  质量反馈  人才招聘  关于我们  联系我们
产品中心-北京博奥森生物技术有限公司
首页 > 产品中心 > 一抗 > 产品信息
Kinesin 5B Rabbit pAb (bs-2385R)  
订购热线:400-901-9800
订购邮箱:sales@bioss.com.cn
订购QQ:  400-901-9800
技术支持:techsupport@bioss.com.cn
50ul/1180.00元
100ul/1980.00元
200ul/2800.00元
大包装/询价

产品编号 bs-2385R
英文名称 Kinesin 5B Rabbit pAb
中文名称 驱动蛋白KIF5B抗体
别    名 BTEB2; CKLF; IKLF; 4930520J07Rik; KLF5_HUMAN; KLF5; Basic transcription element-binding protein 2 (BTE-binding protein 2); Colon krueppel-like factor; GC-box-binding protein 2; Intestinal-enriched krueppel-like factor; Transcription factor BTEB2; KLF5_MOU  
Specific References  (1)     |     bs-2385R has been referenced in 1 publications.
[IF=3.53] Zhang P, Ha T, Larouche M, Swanson D, Goldowitz D (2015) Kruppel-Like Factor 4 Regulates Granule Cell Pax6 Expression and Cell Proliferation in Early Cerebellar Development. PLoS ONE 10(7): e0134390.  IHC-F ;  Mouse.  
研究领域 肿瘤  细胞生物  免疫学  转录调节因子  
抗体来源 Rabbit
克隆类型 Polyclonal
克 隆 号
交叉反应 Mouse,Rat (predicted: Human,Pig,Sheep,Cow,Dog,Horse)
产品应用 WB=1:500-2000,IHC-P=1:100-500,IHC-F=1:100-500,IF=1:100-500
not yet tested in other applications.
optimal dilutions/concentrations should be determined by the end user.
理论分子量 50 kDa
检测分子量 50
细胞定位 细胞核 
性    状 Liquid
浓    度 1mg/ml
免 疫 原 KLH conjugated synthetic peptide derived from human KLF5: 61-160/457 
亚    型 IgG
纯化方法 affinity purified by Protein A
缓 冲 液 0.01M TBS (pH7.4) with 1% BSA, 0.02% Proclin300 and 50% Glycerol.
保存条件 Shipped at 4℃. Store at -20℃ for one year. Avoid repeated freeze/thaw cycles.
注意事项 This product as supplied is intended for research use only, not for use in human, therapeutic or diagnostic applications.
PubMed PubMed
产品介绍 This gene encodes a member of the Kruppel-like factor subfamily of zinc finger proteins. Since the protein localizes to the nucleus and binds the epidermal growth factor response element, it is thought to be a transcription factor. [provided by RefSeq, Jul 2008]

Function:
Transcription factor that binds to GC box promoter elements. Activates the transcription of these genes.

Subunit:
Interacts with WWP1.

Subcellular Location:
Nucleus.

Tissue Specificity:
Expressed only in testis and placenta.

Post-translational modifications:
Ubiquitinated. Polyubiquitination involves WWP1 and leads to proteasomal degradation of this protein.

Similarity:
Belongs to the krueppel C2H2-type zinc-finger protein family.
Contains 3 C2H2-type zinc fingers.

SWISS:
Q13887

Gene ID:
688

Database links:

Entrez Gene: 535702 Cow

Entrez Gene: 688 Human

Entrez Gene: 12224 Mouse

Entrez Gene: 100038005 Pig

Entrez Gene: 84410 Rat

Omim: 602903 Human

SwissProt: Q13887 Human

SwissProt: Q9Z0Z7 Mouse

Unigene: 508234 Human

Unigene: 30262 Mouse

Unigene: 8954 Rat



产品图片
Sample: heart (Mouse) Lysate at 40 ug Primary: Anti-Kinesin 5B (Bs-2385R) at 1/300 dilution Secondary: IRDye800CW Goat Anti-Rabbit IgG at 1/20000 dilution Predicted band size: 50 kD Observed band size: 50 kD
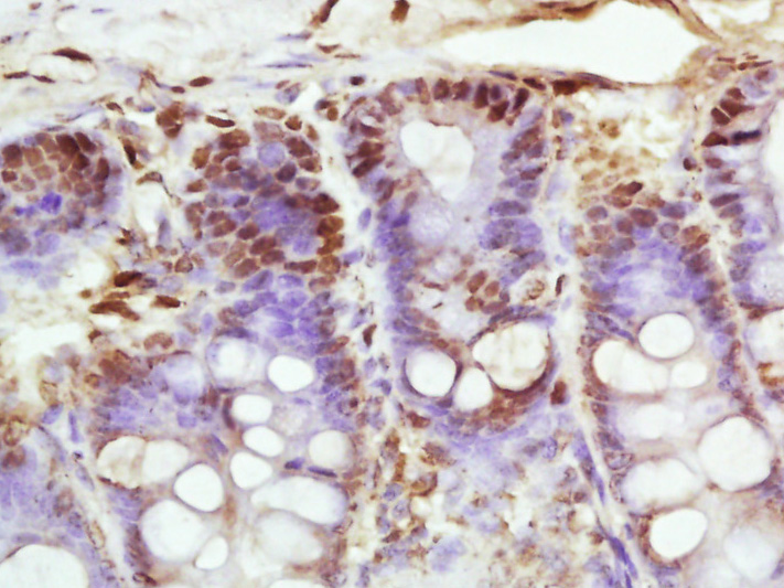
Paraformaldehyde-fixed, paraffin embedded (Rat intestine); Antigen retrieval by boiling in sodium citrate buffer (pH6.0) for 15min; Block endogenous peroxidase by 3% hydrogen peroxide for 20 minutes; Blocking buffer (normal goat serum) at 37°C for 30min; Antibody incubation with (Kinesin 5B) Polyclonal Antibody, Unconjugated (bs-2385R) at 1:400 overnight at 4°C, followed by a conjugated secondary antibody (sp-0023) for 20 minutes and DAB staining.
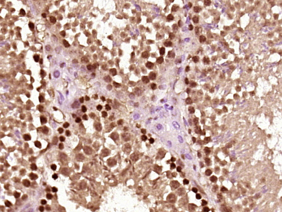
Paraformaldehyde-fixed, paraffin embedded (Mouse testis); Antigen retrieval by boiling in sodium citrate buffer (pH6.0) for 15min; Block endogenous peroxidase by 3% hydrogen peroxide for 20 minutes; Blocking buffer (normal goat serum) at 37°C for 30min; Antibody incubation with (Kinesin 5B) Polyclonal Antibody, Unconjugated (bs-2385R) at 1:400 overnight at 4°C, followed by a conjugated secondary antibody (sp-0023) for 20 minutes and DAB staining.
版权所有 2004-2026 www.bioss.com.cn 北京博奥森生物技术有限公司
通过国际质量管理体系ISO 9001:2015 GB/T 19001-2016    证书编号: 00124Q34771R2M/1100
通过国际医疗器械-质量管理体系ISO 13485:2016 GB/T 42061-2022     证书编号: CQC24QY20047R0M/1100
京ICP备05066980号-1         京公网安备110107000727号