扫码关注公众号           扫码咨询技术支持           扫码咨询技术服务
  
客服热线:400-901-9800  客服QQ:4009019800  技术答疑  技术支持  质量反馈  关于我们  联系我们
产品中心-北京博奥森生物技术有限公司
首页 > 产品中心 > 一抗 > 产品信息
IDI1 Rabbit pAb (bs-5073R)  
订购热线:400-901-9800
订购邮箱:sales@bioss.com.cn
订购QQ:  400-901-9800
技术支持:techsupport@bioss.com.cn
50ul/1180.00元
100ul/1980.00元
200ul/2800.00元
大包装/询价

产品编号 bs-5073R
英文名称 IDI1 Rabbit pAb
中文名称 异戊烯焦磷酸1抗体
别    名 IPP1; IPPI1; 4832416K17Rik; IDI1_BOVIN; IDI1; Isopentenyl pyrophosphate isomerase 1 (IPP isomerase 1 | IPPI1); 5.3.3.2; IDI1_HUMAN; IDI1_MOUSE; IDI1_RAT;   
Specific References  (1)     |     bs-5073R has been referenced in 1 publications.
[IF=5.072] Ni H et al.ErbB4 acts as a suppressor in colitis and its associated carcinoma by negatively regulating cholesterol metabolism.(2018)Carcinogenesis.Nov 17.  IP&WB ;  Human.  
研究领域 肿瘤  细胞生物  免疫学  转录调节因子  
抗体来源 Rabbit
克隆类型 Polyclonal
克 隆 号
交叉反应 Human,Mouse (predicted: Rat,Rabbit,Pig,Cow)
产品应用 IHC-P=1:100-500,IHC-F=1:100-500,IF=1:100-500
not yet tested in other applications.
optimal dilutions/concentrations should be determined by the end user.
理论分子量 26 kDa
细胞定位 细胞浆 
性    状 Liquid
浓    度 1mg/ml
免 疫 原 KLH conjugated synthetic peptide derived from human IDI1: 31-130/227 
亚    型 IgG
纯化方法 affinity purified by Protein A
缓 冲 液 0.01M TBS (pH7.4) with 1% BSA, 0.02% Proclin300 and 50% Glycerol.
保存条件 Shipped at 4℃. Store at -20℃ for one year. Avoid repeated freeze/thaw cycles.
注意事项 This product as supplied is intended for research use only, not for use in human, therapeutic or diagnostic applications.
PubMed PubMed
产品介绍 IDI1 is a peroxisomally localized enzyme that catalyzes the interconversion of isopentenyl diphosphate (IPP) to its highly electrophilic isomer, dimethylallyl diphosphate (DMAPP). These are substrates for the reactions that ultimately result in the synthesis of cholesterol. There is reduction in IPP isomerase activity in peroxisomal deficiency diseases such as Zellweger syndrome and neonatal adrenoleukodystrophy.

Function:
Catalyzes the 1,3-allylic rearrangement of the homoallylic substrate isopentenyl (IPP) to its highly electrophilic allylic isomer, dimethylallyl diphosphate (DMAPP).

Subunit:
Monomer

Subcellular Location:
Peroxisome.

Similarity:
Belongs to the IPP isomerase type 1 family.
Contains 1 nudix hydrolase domain.

SWISS:
Q13907

Gene ID:
3422

Database links:

Entrez Gene: 3422 Human

Entrez Gene: 514293 Cow

Entrez Gene: 319554 Mouse

Entrez Gene: 89784 Rat

Omim: 604055 Human

SwissProt: Q1LZ95 Cow

SwissProt: Q13907 Human

SwissProt: P58044 Mouse

SwissProt: O35760 Rat

Unigene: 283652 Human

Unigene: 644603 Human

Unigene: 727514 Human

Unigene: 29847 Mouse

Unigene: 10780 Rat



产品图片
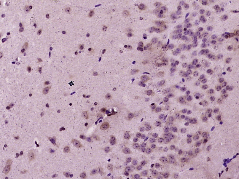
Paraformaldehyde-fixed, paraffin embedded (Mouse brain); Antigen retrieval by boiling in sodium citrate buffer (pH6.0) for 15min; Block endogenous peroxidase by 3% hydrogen peroxide for 20 minutes; Blocking buffer (normal goat serum) at 37°C for 30min; Antibody incubation with (IDI1) Polyclonal Antibody, Unconjugated (bs-5073R) at 1:400 overnight at 4°C, followed by operating according to SP Kit(Rabbit) (sp-0023) instructionsand DAB staining.
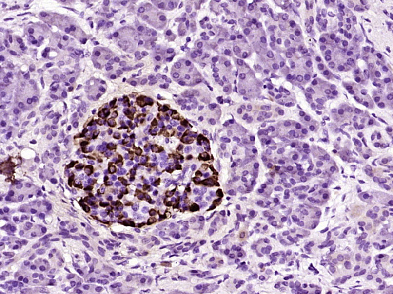
Paraformaldehyde-fixed, paraffin embedded (Human pancreatic cancer); Antigen retrieval by boiling in sodium citrate buffer (pH6.0) for 15min; Block endogenous peroxidase by 3% hydrogen peroxide for 20 minutes; Blocking buffer (normal goat serum) at 37°C for 30min; Antibody incubation with (IDI1) Polyclonal Antibody, Unconjugated (bs-5073R) at 1:400 overnight at 4°C, followed by operating according to SP Kit(Rabbit) (sp-0023) instructionsand DAB staining.
版权所有 2004-2026 www.bioss.com.cn 北京博奥森生物技术有限公司
通过国际质量管理体系ISO 9001:2015 GB/T 19001-2016    证书编号: 00124Q34771R2M/1100
通过国际医疗器械-质量管理体系ISO 13485:2016 GB/T 42061-2022     证书编号: CQC24QY20047R0M/1100
京ICP备05066980号-1         京公网安备110107000727号