扫码关注公众号           扫码咨询技术支持           扫码咨询技术服务
  
客服热线:400-901-9800  客服QQ:4009019800  技术答疑  技术支持  质量反馈  人才招聘  关于我们  联系我们
产品中心-北京博奥森生物技术有限公司
首页 > 产品中心 > 一抗 > 产品信息
SMURF2 Rabbit pAb (bs-4056R)  
订购热线:400-901-9800
订购邮箱:sales@bioss.com.cn
订购QQ:  400-901-9800
技术支持:techsupport@bioss.com.cn
50ul/1180.00元
100ul/1980.00元
200ul/2800.00元
大包装/询价

产品编号 bs-4056R
英文名称 SMURF2 Rabbit pAb
中文名称 Smad蛋白E3泛素连接酶2抗体
别    名 2810411E22Rik; RGD1310067; Q52LL1_HUMAN; SMUF2_HUMAN; SMURF2; hSMURF2; HECT-type E3 ubiquitin transferase SMURF2; SMAD ubiquitination regulatory factor 2; SMAD-specific E3 ubiquitin-protein ligase 2; 2.3.2.26; SMUF2_MOUSE; Q3TT87_MOUSE; Q5IRE6_MOUSE;   
Specific References  (1)     |     bs-4056R has been referenced in 1 publications.
[IF=2.48] Huang et al. The proteasome inhibitor, MG132, attenuates diabetic nephropathy by inhibiting SnoN degradation in vivo and in vitro. (2014) Biomed.Res.Int. 2014:684765  IHC ;  Rat.  
研究领域 肿瘤  细胞生物  免疫学  转录调节因子  
抗体来源 Rabbit
克隆类型 Polyclonal
克 隆 号
交叉反应 Human,Mouse (predicted: Rat,Cow,Chicken,Horse)
产品应用 WB=1:500-2000,IHC-P=1:100-500,IHC-F=1:100-500,IF=1:100-500,Flow-Cyt=3ug/test
not yet tested in other applications.
optimal dilutions/concentrations should be determined by the end user.
理论分子量 82 kDa
检测分子量 82
细胞定位 细胞核 细胞浆 细胞膜 
性    状 Liquid
浓    度 1mg/ml
免 疫 原 KLH conjugated synthetic peptide derived from human SMURF2: 601-700/748 
亚    型 IgG
纯化方法 affinity purified by Protein A
缓 冲 液 0.01M TBS (pH7.4) with 1% BSA, 0.02% Proclin300 and 50% Glycerol.
保存条件 Shipped at 4℃. Store at -20℃ for one year. Avoid repeated freeze/thaw cycles.
注意事项 This product as supplied is intended for research use only, not for use in human, therapeutic or diagnostic applications.
PubMed PubMed
产品介绍 SMURF2, a 748-amino acid ubiquitin E3 ligase that is 83% identical to SMURF1, codes for a C2-WW-HECT domain ubiquitin ligase that associates constitutively with SMAD7. Binding to SMAD7 induces export of SMURF2 and recruitment to the activated transforming growth factor-beta receptor (TGFBR), where it causes receptor and SMAD7 degradation. A strong interaction of second and third SMURF2 WW domains has been identified with SMAD1, SMAD2, and SMAD3, but not SMAD4. Western blot analysis showed that SMURF2 selectively downregulates the transcription of SMAD2 and SMAD1, but not SMAD3. The nuclear SMURF2/phosphorylated SMAD2 interaction is requires TGFB1.

Function:
E3 ubiquitin-protein ligase which accepts ubiquitin from an E2 ubiquitin-conjugating enzyme in the form of a thioester and then directly transfers the ubiquitin to targeted substrates. Interacts with SMAD1 and SMAD7 in order to trigger their ubiquitination and proteasome-dependent degradation. In addition, interaction with SMAD7 activates autocatalytic degradation, which is prevented by interaction with SCYE1. Forms a stable complex with the TGF-beta receptor-mediated phosphorylated SMAD2 and SMAD3. In this way, SMAD2 may recruit substrates, such as SNON, for ubiquitin-mediated degradation. Enhances the inhibitory activity of SMAD7 and reduces the transcriptional activity of SMAD2. Coexpression of SMURF2 with SMAD1 results in considerable decrease in steady-state level of SMAD1 protein and a smaller decrease of SMAD2 level.

Subunit:
Interacts (via WW domains) with SMAD1. Interacts (via WW domains) with SMAD2 (via PY-motif). Interacts (via WW domains) with SMAD3 (via PY-motif). Interacts with SMAD6. Interacts with SMAD7 (via PY-motif) and TGFBR1; SMAD7 recruits SMURF2 to the TGF-beta receptor and regulates its degradation. Does not interact with SMAD4; SMAD4 lacks a PY-motif. Interacts with AIMP1. Interacts with STAMBP and RNF11. Interacts with NDFIP1 and NDFIP2 (Probable); this interaction activates the E3 ubiquitin-protein ligase.

Subcellular Location:
Nucleus. Cytoplasm. Cell membrane. Membrane raft. Cytoplasmic in the presence of SMAD7. Co-localizes with CAV1, SMAD7 and TGF-beta receptor in membrane rafts.

Tissue Specificity:
Widely expressed.

Post-translational modifications:
Auto-ubiquitinated and ubiquitinated in the presence of RNF11 and UBE2D1. Ubiquitinated by the SCF(FBXL15) complex, leading to its degradation by the proteasome.

Similarity:
Contains 1 C2 domain.
Contains 1 HECT (E6AP-type E3 ubiquitin-protein ligase) domain.
Contains 3 WW domains.

SWISS:
Q9HAU4

Gene ID:
64750

Database links:

Entrez Gene: 64750 Human

Entrez Gene: 66313 Mouse

Entrez Gene: 303614 Rat

Omim: 605532 Human

SwissProt: Q52LL1 Human

SwissProt: Q9HAU4 Human

SwissProt: A2A5Z6 Mouse

SwissProt: Q3TT87 Mouse

SwissProt: Q5IRE6 Mouse

Unigene: 340955 Mouse



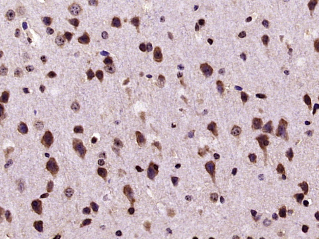
产品图片
Sample: Placenta (Mouse) Lysate at 40 ug Primary: Anti-SMURF2 (bs-4056R) at 1/300 dilution Secondary: IRDye800CW Goat Anti-Rabbit IgG at 1/20000 dilution Predicted band size: 82 kD Observed band size: 82 kD
Paraformaldehyde-fixed, paraffin embedded (mouse brain tissue); Antigen retrieval by microwave in sodium citratebuffer (pH6.0) ; Block endogenous peroxidase by 3% hydrogen peroxide for 30 minutes; Blocking buffer (3%BSA) at RTfor 30min; Antibody incubation with (SMURF2) Polyclonal/MonoclonalAntibody, Unconjugated (bs-4056R) at 1:400 overnight at 4℃,followed by conjugation to the secondary antibody (labeled with HRP)and DAB staining.
Blank control:A431. Primary Antibody (green line): Rabbit Anti-SMURF2 antibody (bs-4056R) Dilution: 3μg /10^6 cells; Isotype Control Antibody (orange line): Rabbit IgG . Secondary Antibody : Goat anti-rabbit IgG-AF647 Dilution: 3μg /test. Protocol The cells were fixed with 4% PFA (10min at room temperature)and then permeabilized with 90% ice-cold methanol for 20 min at-20℃. The cells were then incubated in 5%BSA to block non-specific protein-protein interactions for 30 min at at room temperature .Cells stained with Primary Antibody for 30 min at room temperature. The secondary antibody used for 40 min at room temperature. Acquisition of 20,000 events was performed.
版权所有 2004-2026 www.bioss.com.cn 北京博奥森生物技术有限公司
通过国际质量管理体系ISO 9001:2015 GB/T 19001-2016    证书编号: 00124Q34771R2M/1100
通过国际医疗器械-质量管理体系ISO 13485:2016 GB/T 42061-2022     证书编号: CQC24QY20047R0M/1100
京ICP备05066980号-1         京公网安备110107000727号