扫码关注公众号           扫码咨询技术支持           扫码咨询技术服务
  
客服热线:400-901-9800  客服QQ:4009019800  技术答疑  技术支持  质量反馈  人才招聘  关于我们  联系我们
产品中心-北京博奥森生物技术有限公司
首页 > 产品中心 > 一抗 > 产品信息
ACOX2 Rabbit pAb (bs-5030R)  
订购热线:400-901-9800
订购邮箱:sales@bioss.com.cn
订购QQ:  400-901-9800
技术支持:techsupport@bioss.com.cn
50ul/1180.00元
100ul/1980.00元
200ul/2800.00元
大包装/询价

产品编号 bs-5030R
英文名称 ACOX2 Rabbit pAb
中文名称 过氧化物酶酰基辅酶A氧化酶2抗体
别    名 BCOX; BRCACOX; BRCOX; CBAS6; THCCox; ACOX2_HUMAN; ACOX2; 3-alpha,7-alpha,12-alpha-trihydroxy-5-beta-cholestanoyl-CoA 24-hydroxylase; 3-alpha,7-alpha,12-alpha-trihydroxy-5-beta-cholestanoyl-CoA oxidase; Trihydroxycoprostanoyl-CoA oxidase (THCA-CoA oxidase   
研究领域 肿瘤  细胞生物  免疫学  转录调节因子  
抗体来源 Rabbit
克隆类型 Polyclonal
克 隆 号
交叉反应 Mouse,Rat (predicted: Human,Cow)
产品应用 IHC-P=1:100-500,IHC-F=1:100-500,IF=1:100-500
not yet tested in other applications.
optimal dilutions/concentrations should be determined by the end user.
理论分子量 77 kDa
细胞定位 细胞浆 
性    状 Liquid
浓    度 1mg/ml
免 疫 原 KLH conjugated synthetic peptide derived from human ACOX2: 341-440/681 
亚    型 IgG
纯化方法 affinity purified by Protein A
缓 冲 液 0.01M TBS (pH7.4) with 1% BSA, 0.02% Proclin300 and 50% Glycerol.
保存条件 Shipped at 4℃. Store at -20℃ for one year. Avoid repeated freeze/thaw cycles.
注意事项 This product as supplied is intended for research use only, not for use in human, therapeutic or diagnostic applications.
PubMed PubMed
产品介绍 The product of this gene belongs to the acyl-CoA oxidase family. It encodes the branched-chain acyl-CoA oxidase which is involved in the degradation of long branched fatty acids and bile acid intermediates in peroxisomes. Deficiency of this enzyme results in the accumulation of branched fatty acids and bile acid intermediates, and may lead to Zellweger syndrome, severe mental retardation, and death in children. [provided by RefSeq, Mar 2009]

Function:
Oxidizes the CoA esters of the bile acid intermediates di- and tri-hydroxycholestanoic acids.

Subunit:
Heterodimer

Subcellular Location:
Peroxisome.

Tissue Specificity:
Present in all tissues tested: heart, brain, placenta, lung, liver, skeletal muscle, kidney and pancreas. Most abundant in heart, liver and kidney.

Similarity:
Belongs to the acyl-CoA oxidase family

SWISS:
Q99424

Gene ID:
8309

Database links:

Entrez Gene: 8309 Human

Entrez Gene: 514969 Cow

Entrez Gene: 93732 Mouse

Entrez Gene: 252898 Rat

Omim: 601641 Human

SwissProt: Q99424 Human

SwissProt: Q9QXD1 Mouse

SwissProt: O02767 Rabbit

SwissProt: P97562 Rat

Unigene: 444959 Human

Unigene: 28700 Mouse

Unigene: 10622 Rat



产品图片
Paraformaldehyde-fixed, paraffin embedded (Rat liver); Antigen retrieval by boiling in sodium citrate buffer (pH6.0) for 15min; Block endogenous peroxidase by 3% hydrogen peroxide for 20 minutes; Blocking buffer (normal goat serum) at 37°C for 30min; Antibody incubation with (ACOX2) Polyclonal Antibody, Unconjugated (bs-5030R) at 1:400 overnight at 4°C, followed by operating according to SP Kit(Rabbit) (sp-0023) instructionsand DAB staining.
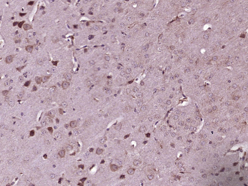
Paraformaldehyde-fixed, paraffin embedded (Mouse brain); Antigen retrieval by boiling in sodium citrate buffer (pH6.0) for 15min; Block endogenous peroxidase by 3% hydrogen peroxide for 20 minutes; Blocking buffer (normal goat serum) at 37°C for 30min; Antibody incubation with (ACOX2) Polyclonal Antibody, Unconjugated (bs-5030R) at 1:400 overnight at 4°C, followed by operating according to SP Kit(Rabbit) (sp-0023) instructionsand DAB staining.
Paraformaldehyde-fixed, paraffin embedded (Rat brain); Antigen retrieval by boiling in sodium citrate buffer (pH6.0) for 15min; Block endogenous peroxidase by 3% hydrogen peroxide for 20 minutes; Blocking buffer (normal goat serum) at 37°C for 30min; Antibody incubation with (ACOX2) Polyclonal Antibody, Unconjugated (bs-5030R) at 1:400 overnight at 4°C, followed by operating according to SP Kit(Rabbit) (sp-0023) instructionsand DAB staining.
版权所有 2004-2026 www.bioss.com.cn 北京博奥森生物技术有限公司
通过国际质量管理体系ISO 9001:2015 GB/T 19001-2016    证书编号: 00124Q34771R2M/1100
通过国际医疗器械-质量管理体系ISO 13485:2016 GB/T 42061-2022     证书编号: CQC24QY20047R0M/1100
京ICP备05066980号-1         京公网安备110107000727号