扫码关注公众号           扫码咨询技术支持           扫码咨询技术服务
  
客服热线:400-901-9800  客服QQ:4009019800  技术答疑  技术支持  质量反馈  人才招聘  关于我们  联系我们
产品中心-北京博奥森生物技术有限公司
首页 > 产品中心 > 一抗 > 产品信息
AMY2A Rabbit pAb (bs-4030R)  
订购热线:400-901-9800
订购邮箱:sales@bioss.com.cn
订购QQ:  400-901-9800
技术支持:techsupport@bioss.com.cn
50ul/1180.00元
100ul/1980.00元
200ul/2800.00元
大包装/询价

产品编号 bs-4030R
英文名称 AMY2A Rabbit pAb
中文名称 胰腺α淀粉酶抗体
别    名 AMY2; PA; AMY3; HXA; Amy-X; Amy2-2; Amy2a; mAmy2-1; AMYP_HUMAN; 1,4-alpha-D-glucan glucanohydrolase; 3.2.1.1; AMY2B_HUMAN; AMY2B; 1,4-alpha-D-glucan glucanohydrolase 2B; Carcinoid alpha-amylase; AM2A5_MOUSE; Amy2a5;   
Specific References  (1)     |     bs-4030R has been referenced in 1 publications.
[IF=9.685] Peng, Cheng. et al. MLKL signaling regulates macrophage polarization in acute pancreatitis through CXCL10. CELL DEATH DIS. 2023 Feb;14(2):1-14  IF ;  Mouse.  
研究领域 肿瘤  细胞生物  免疫学  
抗体来源 Rabbit
克隆类型 Polyclonal
克 隆 号
交叉反应 Human,Mouse,Rat (predicted: Rabbit,Pig,Cow,Dog,Horse)
产品应用 WB=1:500-2000,IHC-P=1:100-500,IHC-F=1:100-500,IF=1:100-500
not yet tested in other applications.
optimal dilutions/concentrations should be determined by the end user.
理论分子量 56 kDa
检测分子量 60
细胞定位 细胞外基质 分泌型蛋白 
性    状 Liquid
浓    度 1mg/ml
免 疫 原 KLH conjugated synthetic peptide derived from human Pancreatic Amylase: 151-250/511 
亚    型 IgG
纯化方法 affinity purified by Protein A
缓 冲 液 0.01M TBS (pH7.4) with 1% BSA, 0.02% Proclin300 and 50% Glycerol.
保存条件 Shipped at 4℃. Store at -20℃ for one year. Avoid repeated freeze/thaw cycles.
注意事项 This product as supplied is intended for research use only, not for use in human, therapeutic or diagnostic applications.
PubMed PubMed
产品介绍 Pancreatic amylase is a digestive enzyme secreted by the pancreas. It consists of a single polypeptide chain with a molecular weight of 54 kDa.Pancreatic amylase and salivary amylase are the products of separate genes and, although they share 98% amino acid sequence homology, they differ in molecular size, isoelectric point and antigenic properties. Measurement of amylase concentrations in serum is a diagnostic test for various pancreatic disorders (especially acute and relapsing pancreatitis).

Subunit:
Monomer.

Subcellular Location:
Secreted, extracellular space.

Similarity:
Belongs to the glycosyl hydrolase 13 family.

SWISS:
P19961

Gene ID:
280

Database links:

Entrez Gene: 279 Human

Entrez Gene: 280 Human

Entrez Gene: 545562 Mouse

Omim: 104650 Human

Omim: 104660 Human

SwissProt: P04746 Human

SwissProt: P19961 Human

SwissProt: P00688 Mouse

Unigene: 484588 Human

Unigene: 654437 Human



    胰淀粉酶由胰腺以活性状态排入消化道,是最重要的水解碳水化合物的酶,和唾液腺分泌的淀粉酶一样都属于α-淀粉酶,作用于α-1,4糖苷键,对分支上的α-1,6糖苷键无作用,故又称淀粉内切酶,其作用的最适pH为6.9,可通过肾小球滤过,是唯一能在正常时于尿中出现的血浆酶。
    人体的其他组织如卵巢、输卵管、肺、睾丸、精液、乳腺等的提取物中都发现有淀粉酶活性;血液、尿液、乳液中也含淀粉酶。血液淀粉酶中主要来自胰腺、唾液腺,尿液中淀粉酶则来自于血液.。当罹患胰腺疾病,或有胰腺外分泌功能障碍时都可引起其活性升高或降低,有助于胰腺疾病的诊断。尿淀粉酶水平波动较大,所以用血清淀粉酶检测为好,或两者同时测定。淀粉酶活性变化亦可见于某些非胰腺疾患。
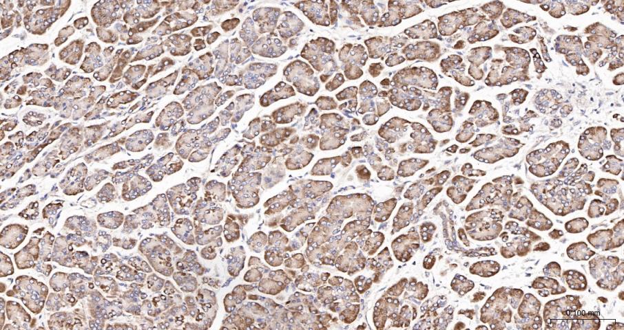
产品图片
25 ug total protein per lane of various lysates (see on figure) probed with Pancreatic Amylase polyclonal antibody, unconjugated (bs-4030R) at 1:1000 dilution and 4°C overnight incubation. Followed by conjugated secondary antibody incubation at r.t. for 60 min.
Paraformaldehyde-fixed, paraffin embedded (rat liver tissue); Antigen retrieval by boiling in sodium citrate buffer (pH6.0) for 15min; Block endogenous peroxidase by 3% hydrogen peroxide for 20 minutes; Blocking buffer (normal goat serum) at 37°C for 30min; Antibody incubation with (AMY2A) Polyclonal Antibody, Unconjugated (bs-4030R) at 1:400 overnight at 4°C, followed by a conjugated secondary (sp-0023) for 20 minutes and DAB staining.
Paraformaldehyde-fixed, paraffin embedded Human Pancreas; Antigen retrieval by boiling in sodium citrate buffer (pH6.0) for 15 min; The section was incubated with AMY2A Polyclonal Antibody, Unconjugated (bs-4030R) at 1:200 overnight at 4°C, followed by conjugation to the bs-0295G-HRP and DAB (C-0010) staining.
版权所有 2004-2026 www.bioss.com.cn 北京博奥森生物技术有限公司
通过国际质量管理体系ISO 9001:2015 GB/T 19001-2016    证书编号: 00124Q34771R2M/1100
通过国际医疗器械-质量管理体系ISO 13485:2016 GB/T 42061-2022     证书编号: CQC24QY20047R0M/1100
京ICP备05066980号-1         京公网安备110107000727号