扫码关注公众号           扫码咨询技术支持           扫码咨询技术服务
  
客服热线:400-901-9800  客服QQ:4009019800  技术答疑  技术支持  质量反馈  人才招聘  关于我们  联系我们
产品中心-北京博奥森生物技术有限公司
首页 > 产品中心 > 一抗 > 产品信息
AMY2A Rabbit pAb (bs-3975R)  
订购热线:400-901-9800
订购邮箱:sales@bioss.com.cn
订购QQ:  400-901-9800
技术支持:techsupport@bioss.com.cn
50ul/1180.00元
100ul/1980.00元
200ul/2800.00元
大包装/询价

产品编号 bs-3975R
英文名称 AMY2A Rabbit pAb
中文名称 胰腺α淀粉酶抗体
别    名 AMY2; PA; AMY3; HXA; Amy-X; Amy2-2; Amy2a; mAmy2-1; AMYP_HUMAN; 1,4-alpha-D-glucan glucanohydrolase; 3.2.1.1; AMY2B_HUMAN; AMY2B; 1,4-alpha-D-glucan glucanohydrolase 2B; Carcinoid alpha-amylase; AM2A5_MOUSE; Amy2a5; amylase alpha 2A; amylase, alpha 2A; pancreatic; amylase alpha 2A (pancreatic)  
Specific References  (1)     |     bs-3975R has been referenced in 1 publications.
[IF=4.631] Xiao-Fan Xu. et al. Aspirin Ameliorates Pancreatic Inflammation and Fibrosis by Inhibiting COX-2 Expression in Experimental Chronic Pancreatitis. J INFLAMM RES. 2022 Aug;15:4737-4749  IHC ;  Mouse.  
研究领域 肿瘤  心血管  细胞生物  免疫学  
抗体来源 Rabbit
克隆类型 Polyclonal
交叉反应 Human,Mouse,Rat (predicted: Rabbit,Pig,Cow,Dog,Horse)
产品应用 WB=1:500-2000,IHC-P=1:100-500,IHC-F=1:100-500,IF=1:100-500
not yet tested in other applications.
optimal dilutions/concentrations should be determined by the end user.
理论分子量 58kDa
检测分子量 58
细胞定位 分泌型蛋白 
性    状 Liquid
浓    度 1mg/ml
免 疫 原 KLH conjugated synthetic peptide derived from human Pancreatic Amylase: 421-511/511 
亚    型 IgG
纯化方法 affinity purified by Protein A
缓 冲 液 0.01M TBS (pH7.4) with 1% BSA, 0.02% Proclin300 and 50% Glycerol.
保存条件 Shipped at 4℃. Store at -20℃ for one year. Avoid repeated freeze/thaw cycles.
注意事项 This product as supplied is intended for research use only, not for use in human, therapeutic or diagnostic applications.
PubMed PubMed
产品介绍 Amylases are secreted proteins that hydrolyze 1,4-alpha-glucoside bonds in oligosaccharides and polysaccharides, and thus catalyze the first step in digestion of dietary starch and glycogen. The human genome has a cluster of several amylase genes that are expressed at high levels in either salivary gland or pancreas. This gene encodes an amylase isoenzyme produced by the pancreas. [provided by RefSeq, Jul 2008].

Subunit:
Monomer.

Subcellular Location:
Secreted, extracellular space.

Similarity:
Belongs to the glycosyl hydrolase 13 family.

SWISS:
P19961

Gene ID:
280

Database links:

Entrez Gene: 279 Human

Entrez Gene: 280 Human

Entrez Gene: 545562 Mouse

Omim: 104650 Human

Omim: 104660 Human

SwissProt: P04746 Human

SwissProt: P19961 Human

SwissProt: P00688 Mouse

Unigene: 484588 Human

Unigene: 654437 Human



产品图片
25 ug total protein per lane of various lysates (see on figure) probed with Pancreatic Amylase polyclonal antibody, unconjugated (bs-3975R) at 1:1000 dilution and 4°C overnight incubation. Followed by conjugated secondary antibody incubation at r.t. for 60 min.
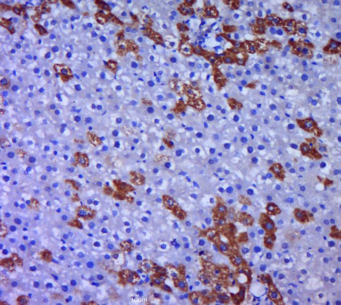
Paraformaldehyde-fixed, paraffin embedded (rat liver tissue); Antigen retrieval by boiling in sodium citrate buffer (pH6.0) for 15min; Block endogenous peroxidase by 3% hydrogen peroxide for 20 minutes; Blocking buffer (normal goat serum) at 37°C for 30min; Antibody incubation with (AMY2A) Polyclonal Antibody, Unconjugated (bs-3975R) at 1:400 overnight at 4°C, followed by a conjugated secondary (sp-0023) for 20 minutes and DAB staining.
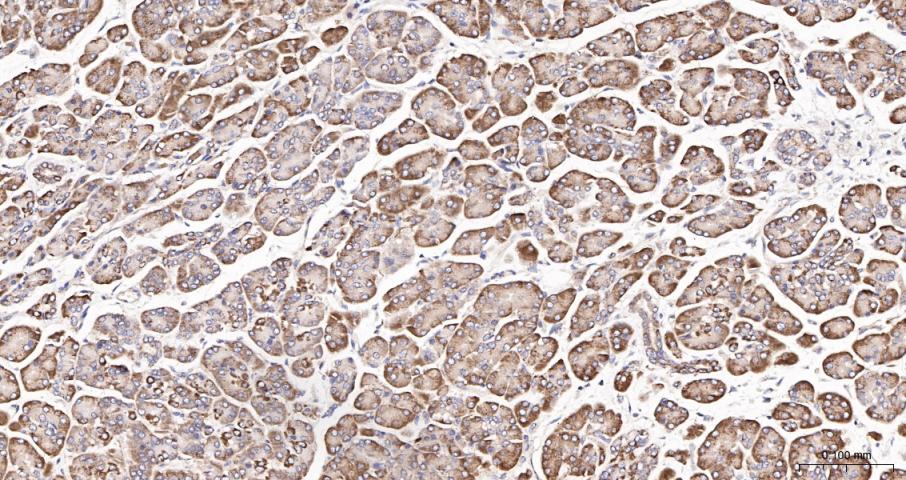
Paraformaldehyde-fixed, paraffin embedded Human Pancreas; Antigen retrieval by boiling in sodium citrate buffer (pH6.0) for 15 min; The section was incubated with AMY2A Polyclonal Antibody, Unconjugated (bs-3975R) at 1:200 overnight at 4°C, followed by conjugation to the bs-0295G-HRP and DAB (C-0010) staining.
版权所有 2004-2026 www.bioss.com.cn 北京博奥森生物技术有限公司
通过国际质量管理体系ISO 9001:2015 GB/T 19001-2016    证书编号: 00124Q34771R2M/1100
通过国际医疗器械-质量管理体系ISO 13485:2016 GB/T 42061-2022     证书编号: CQC24QY20047R0M/1100
京ICP备05066980号-1         京公网安备110107000727号