扫码关注公众号           扫码咨询技术支持           扫码咨询技术服务
  
客服热线:400-901-9800  客服QQ:4009019800  技术答疑  技术支持  质量反馈  关于我们  联系我们
产品中心-北京博奥森生物技术有限公司
首页 > 产品中心 > 一抗 > 产品信息
MT-ND6 Rabbit pAb (bs-3955R)  
订购热线:400-901-9800
订购邮箱:sales@bioss.com.cn
订购QQ:  400-901-9800
技术支持:techsupport@bioss.com.cn
50ul/1180.00元
100ul/1980.00元
200ul/2800.00元
大包装/询价

产品编号 bs-3955R
英文名称 MT-ND6 Rabbit pAb
中文名称 NADH复合体6抗体
别    名 Mitochondrially encoded NADH dehydrogenase 6; NADH-ubiquinone oxidoreductase chain 6; MT ND6; mtND6; NADH dehydrogenase subunit 6(complex I); NADH dehydrogenase subunit 6; NADH ubiquinone oxidoreductase chain 6; NADH Ubiquinone Oxidoreductase subunit ND6; NADH6; ND6; NU6M_HUMAN; NU6M_HUMAN.  
Specific References  (3)     |     bs-3955R has been referenced in 3 publications.
[IF=15.84] Ke Cao. et al. Hypermethylation of Hepatic Mitochondrial ND6 Provokes Systemic Insulin Resistance. 2021 May 02  WB ;  Mouse.  
[IF=5.2] Wu, Ji-hong, et al. "Cumulative mtDNA damage and mutations contribute to the progressive loss of RGCs in a rat model of glaucoma." Neurobiology of Disease (2014).  WB ;  Rat.  
[IF=0] Hoque SAM et al. Mitochondrial protein turnover is critical for granulosa cell proliferation and differentiation in antral follicles. J Endocr Soc. 2018 Dec 10;3(2):324-339.  WB ;  Mouse.  
研究领域 肿瘤  细胞生物  免疫学  神经生物学  转录调节因子  
抗体来源 Rabbit
克隆类型 Polyclonal
克 隆 号
交叉反应 Human,Rat (predicted: Mouse,Sheep,Cow,Dog,Horse)
产品应用 IHC-P=1:100-500,IHC-F=1:100-500,IF=1:100-500,Flow-Cyt=1ug/Test
not yet tested in other applications.
optimal dilutions/concentrations should be determined by the end user.
理论分子量 19 kDa
检测分子量
细胞定位 细胞浆 
性    状 Liquid
浓    度 1mg/ml
免 疫 原 KLH conjugated synthetic peptide derived from human MTND6: 51-150/174 
亚    型 IgG
纯化方法 affinity purified by Protein A
缓 冲 液 0.01M TBS (pH7.4) with 1% BSA, 0.02% Proclin300 and 50% Glycerol.
保存条件 Shipped at 4℃. Store at -20℃ for one year. Avoid repeated freeze/thaw cycles.
注意事项 This product as supplied is intended for research use only, not for use in human, therapeutic or diagnostic applications.
PubMed PubMed
产品介绍 NADH Dehydrogenase subunit 6 (MTND6) is 1 of the 7 mitochondrial DNA (mtDNA) encoded subunits (MTND1, MTND2, MTND3, MTND4L, MTND4, MTND5, MTND6) included among the approximately 41 polypeptides of respiratory Complex I. Complex I accepts electrons from NADH, transfers them to ubiquinone (Coenzyme Q10), and uses the energy released to pump protons across the mitochondria inner membrane. MTND6 has been proposed to be a component of the iron-protein fragment.

Function:
Core subunit of the mitochondrial membrane respiratory chain NADH dehydrogenase (Complex I) that is believed to belong to the minimal assembly required for catalysis. Complex I functions in the transfer of electrons from NADH to the respiratory chain. The immediate electron acceptor for the enzyme is believed to be ubiquinone (By similarity).

Subcellular Location:
Mitochondrion membrane; Multi-pass membrane protein (Potential).

DISEASE:
Defects in MT-ND6 are a cause of Leber hereditary optic neuropathy (LHON) [MIM:535000]. LHON is a maternally inherited disease resulting in acute or subacute loss of central vision, due to optic nerve dysfunction. Cardiac conduction defects and neurological defects have also been described in some patients. LHON results from primary mitochondrial DNA mutations affecting the respiratory chain complexes.
Defects in MT-ND6 are a cause of Leber hereditary optic neuropathy with dystonia (LDYT) [MIM:500001]; also called familial dystonia with visual failure and striatal lucencies. LDYT is part of a spectrum of Leber hereditary optic neuropathy. It is characterized by the association of optic atrophy and central vision loss with dystonia.
Defects in MT-ND6 are a cause of mitochondrial encephalomyopathy with lactic acidosis and stroke-like episodes syndrome (MELAS) [MIM:540000]. MELAS is a genetically heterogenious disorder, characterized by episodic vomiting, seizures, and recurrent cerebral insults resembling strokes and causing hemiparesis, hemianopsia, or cortical blindness.
Defects in MT-ND6 are a cause of mitochondrial complex I deficiency (MT-C1D) [MIM:252010]. A disorder of the mitochondrial respiratory chain that causes a wide range of clinical manifestations from lethal neonatal disease to adult-onset neurodegenerative disorders. Phenotypes include macrocephaly with progressive leukodystrophy, non-specific encephalopathy, cardiomyopathy, myopathy, liver disease, Leigh syndrome, Leber hereditary optic neuropathy, and some forms of Parkinson disease.

Similarity:
Belongs to the complex I subunit 6 family.

SWISS:
P03923

Gene ID:
4541

Database links:

Entrez Gene: 4541 Human

Omim: 516006 Human

SwissProt: P03923 Human

SwissProt: O79882 Pig



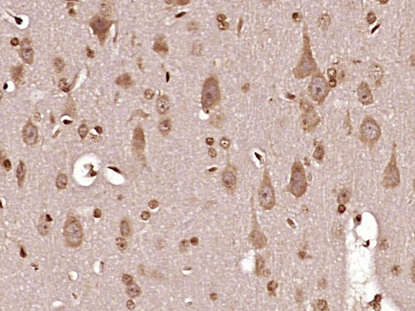
产品图片
Paraformaldehyde-fixed, paraffin embedded (rat brain tissue); Antigen retrieval by boiling in sodium citrate buffer (pH6.0) for 15min; Block endogenous peroxidase by 3% hydrogen peroxide for 20 minutes; Blocking buffer (normal goat serum) at 37°C for 30min; Antibody incubation with (MT-ND6) Polyclonal Antibody, Unconjugated (bs-3955R) at 1:400 overnight at 4°C, followed by operating according to SP Kit(Rabbit) (sp-0023) instructionsand DAB staining.
Blank control: THP-1. Primary Antibody (green line): Rabbit Anti-MT-ND6 antibody (bs-3955R) Dilution: 1μg /10^6 cells; Isotype Control Antibody (orange line): Rabbit IgG . Secondary Antibody : Goat anti-rabbit IgG-FITC Dilution: 0.5μg /test. Protocol The cells were fixed with 4% PFA (10min at room temperature)and then permeabilized with 0.1% PBST for 20 min at room temperature. The cells were then incubated in 5%BSA to block non-specific protein-protein interactions for 30 min at room temperature .Cells stained with Primary Antibody for 30 min at room temperature. The secondary antibody used for 40 min at room temperature. Acquisition of 20,000 events was performed.
版权所有 2004-2026 www.bioss.com.cn 北京博奥森生物技术有限公司
通过国际质量管理体系ISO 9001:2015 GB/T 19001-2016    证书编号: 00124Q34771R2M/1100
通过国际医疗器械-质量管理体系ISO 13485:2016 GB/T 42061-2022     证书编号: CQC24QY20047R0M/1100
京ICP备05066980号-1         京公网安备110107000727号