扫码关注公众号           扫码咨询技术支持           扫码咨询技术服务
  
客服热线:400-901-9800  客服QQ:4009019800  技术答疑  技术支持  质量反馈  人才招聘  关于我们  联系我们
产品中心-北京博奥森生物技术有限公司
首页 > 产品中心 > 一抗 > 产品信息
STXBP1/Munc18-1 Rabbit pAb (bs-3954R)  
订购热线:400-901-9800
订购邮箱:sales@bioss.com.cn
订购QQ:  400-901-9800
技术支持:techsupport@bioss.com.cn
50ul/1180.00元
100ul/1980.00元
200ul/2800.00元
大包装/询价

产品编号 bs-3954R
英文名称 STXBP1/Munc18-1 Rabbit pAb
中文名称 神经突触前膜胞内蛋白18抗体
别    名 DEE4; MUNC18-1; N-Sec1; NSEC1; P67; RBSEC1; UNC18; unc-18A; unc18-1; MMS10-G; Ms10g; Munc-18a; Rb-sec1; Sxtbp1; Unc18h; ANC18HA; NSEC1A; Sec1; rbSec1A; rbSec1B; unc-18-1; STXB1_CHICK; STXBP1; Protein unc-18 homolog 1 (Unc18-1); Protein unc-18 homolog A (U  
研究领域 肿瘤  细胞生物  免疫学  神经生物学  
抗体来源 Rabbit
克隆类型 Polyclonal
克 隆 号
交叉反应 Rat (predicted: Human,Mouse,Pig,Chicken,Dog,Horse)
产品应用 IHC-P=1:100-500,IHC-F=1:100-500,IF=1:100-500
not yet tested in other applications.
optimal dilutions/concentrations should be determined by the end user.
理论分子量 68 kDa
细胞定位 细胞浆 细胞膜 
性    状 Liquid
浓    度 1mg/ml
免 疫 原 KLH conjugated synthetic peptide derived from human Munc18: 11-110/594 
亚    型 IgG
纯化方法 affinity purified by Protein A
缓 冲 液 0.01M TBS (pH7.4) with 1% BSA, 0.02% Proclin300 and 50% Glycerol.
保存条件 Shipped at 4℃. Store at -20℃ for one year. Avoid repeated freeze/thaw cycles.
注意事项 This product as supplied is intended for research use only, not for use in human, therapeutic or diagnostic applications.
PubMed PubMed
产品介绍 This gene encodes a syntaxin-binding protein. The encoded protein appears to play a role in release of neurotransmitters via regulation of syntaxin, a transmembrane attachment protein receptor. Mutations in this gene have been associated with infantile epileptic encephalopathy-4. Alternatively spliced transcript variants have been described. [provided by RefSeq, Feb 2010]

Function:
May participate in the regulation of synaptic vesicle docking and fusion, possibly through interaction with GTP-binding proteins. Essential for neurotransmission and binds syntaxin, a component of the synaptic vesicle fusion machinery probably in a 1:1 ratio. Can interact with syntaxins 1, 2, and 3 but not syntaxin 4. May play a role in determining the specificity of intracellular fusion reactions.

Subunit:
Binds SYTL4. Interacts with STX1A.

Subcellular Location:
Cytoplasm. Membrane; Peripheral membrane protein.

Tissue Specificity:
Brain and spinal cord. Highly enriched in axons.

DISEASE:
Defects in STXBP1 are the cause of epileptic encephalopathy early infantile type 4 (EIEE4) [MIM:612164]. Affected individuals have neonatal or infantile onset of seizures, suppression-burst pattern on EEG, profound mental retardation, and MRI evidence of hypomyelination.

Similarity:
Belongs to the STXBP/unc-18/SEC1 family.

SWISS:
P61764

Gene ID:
6812

Database links:

Entrez Gene: 6812 Human

Entrez Gene: 20910 Mouse

Entrez Gene: 25558 Rat

Entrez Gene: 404293 Chicken

Omim: 602926 Human

SwissProt: Q6R748 Chicken

SwissProt: P61764 Human

SwissProt: O08599 Mouse

SwissProt: P61765 Rat

Unigene: 288229 Human

Unigene: 278865 Mouse

Unigene: 80843 Rat



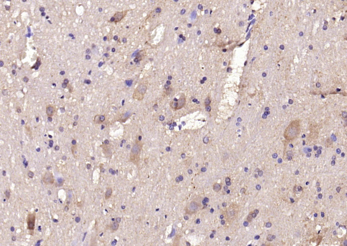
产品图片
Paraformaldehyde-fixed, paraffin embedded (rat spinal cord); Antigen retrieval by boiling in sodium citrate buffer (pH6.0) for 15min; Block endogenous peroxidase by 3% hydrogen peroxide for 20 minutes; Blocking buffer (normal goat serum) at 37°C for 30min; Antibody incubation with (STXBP1 Munc18-1) Polyclonal Antibody, Unconjugated (bs-3954R) at 1:200 overnight at 4°C, followed by operating according to SP Kit(Rabbit) (sp-0023) instructionsand DAB staining.
版权所有 2004-2026 www.bioss.com.cn 北京博奥森生物技术有限公司
通过国际质量管理体系ISO 9001:2015 GB/T 19001-2016    证书编号: 00124Q34771R2M/1100
通过国际医疗器械-质量管理体系ISO 13485:2016 GB/T 42061-2022     证书编号: CQC24QY20047R0M/1100
京ICP备05066980号-1         京公网安备110107000727号