扫码关注公众号           扫码咨询技术支持           扫码咨询技术服务
  
客服热线:400-901-9800  客服QQ:4009019800  技术答疑  技术支持  质量反馈  人才招聘  关于我们  联系我们
产品中心-北京博奥森生物技术有限公司
首页 > 产品中心 > 一抗 > 产品信息
TXNIP Rabbit pAb (bs-3897R)  
订购热线:400-901-9800
订购邮箱:sales@bioss.com.cn
订购QQ:  400-901-9800
技术支持:techsupport@bioss.com.cn
50ul/1180.00元
100ul/1980.00元
200ul/2800.00元
大包装/询价

产品编号 bs-3897R
英文名称 TXNIP Rabbit pAb
中文名称 硫氧还蛋白结合蛋白2抗体
别    名 TXNIP_HUMAN; TXNIP; Thioredoxin-binding protein 2; Vitamin D3 up-regulated protein 1; VDUP1; ARRDC6; EST01027; HHCPA78; THIF;   
Specific References  (2)     |     bs-3897R has been referenced in 2 publications.
[IF=2.9] Li, Xiao-Feng, et al. "MicroRNA-20a negatively regulates expression of NLRP3-inflammasome by targeting TXNIP in adjuvant-induced arthritis fibroblast-like synoviocytes." Joint Bone Spine (2016).  WB ;  Human.  
[IF=2.86] Liu, Zhenning, et al. "Silymarin attenuated paraquat-induced cytotoxicity in macrophage by regulating Trx/TXNIP complex, inhibiting NLRP3 inflammasome activation and apoptosis." Toxicology in Vitro (2017).  WB, IF(ICC) ;  Mouse.  
研究领域 肿瘤  免疫学  转录调节因子  
抗体来源 Rabbit
克隆类型 Polyclonal
克 隆 号
交叉反应 Rat (predicted: Human,Mouse,Rabbit,Pig,Dog)
产品应用 IHC-P=1:100-500,IHC-F=1:100-500,IF=1:100-500
not yet tested in other applications.
optimal dilutions/concentrations should be determined by the end user.
理论分子量 44 kDa
细胞定位 细胞核 细胞浆 
性    状 Liquid
浓    度 1mg/ml
免 疫 原 KLH conjugated synthetic peptide derived from human TXNIP: 101-200/391 
亚    型 IgG
纯化方法 affinity purified by Protein A
缓 冲 液 0.01M TBS (pH7.4) with 1% BSA, 0.02% Proclin300 and 50% Glycerol.
保存条件 Shipped at 4℃. Store at -20℃ for one year. Avoid repeated freeze/thaw cycles.
注意事项 This product as supplied is intended for research use only, not for use in human, therapeutic or diagnostic applications.
PubMed PubMed
产品介绍 TXNIP may act as an oxidative stress mediator by inhibiting thioredoxin activity or by limiting its bioavailability. It interacts with COPS5 and restores COPS5-induced suppression of CDKN1B stability, blocking the COPS5-mediated translocation of CDKN1B from the nucleus to the cytoplasm. It functions as a transcriptional repressor, possibly by acting as a bridge molecule between transcription factors and corepressor complexes, and over-expression will induce G0/G1 cell cycle arrest. It is required for the maturation of natural killer cells (from SwissProt).

Function:
May act as an oxidative stress mediator by inhibiting thioredoxin activity or by limiting its bioavailability. Interacts with COPS5 and restores COPS5-induced suppression of CDKN1B stability, blocking the COPS5-mediated translocation of CDKN1B from the nucleus to the cytoplasm. Functions as a transcriptional repressor, possibly by acting as a bridge molecule between transcription factors and corepressor complexes, and over-expression will induce G0/G1 cell cycle arrest. Required for the maturation of natural killer cells. Acts as a suppressor of tumor cell growth. Inhibits the proteasomal degradation of DDIT4, and thereby contributes to the inhibition of the mammalian target of rapamycin complex 1 (mTORC1).

Subunit:
Interacts with TXN/thioredoxin through its redox-active site. Interacts with transcriptional repressors ZBTB16, ZBTB32 and HDAC1. Interacts (via C-terminus) with ITCH (via WW domains). Interacts with DDIT4.

Subcellular Location:
Cytoplasm

Post-translational modifications:
Ubiquitinated; undergoes polyubiquitination catalyzed by ITCH resulting in proteasomal degradation.

Similarity:
Belongs to the arrestin family.

SWISS:
Q9H3M7

Gene ID:
10628

Database links:
UniProtKB/Swiss-Prot: Q9H3M7.1

    硫氧还蛋白结合蛋白-2 (TRX-binding protein-2,TBP-2)又称:维生素D3上调蛋白1(Vitamin D3 up-regulated protein 1,VDUP1)或称硫氧还蛋白相互作用蛋白(Thioredoxin-interacting protein,Txnip)。
TBP-2与硫氧还蛋白(thioredoxin,TRX)的活性部位结合,抑制其活性,除了参与多种氧化应激反应,还具有多种生物学功能。
有学者认为:TBP-2与肿瘤密切相关,有些肿瘤组织中,TBP-2表达降低或缺失。TBP-2表达增高时,细胞周期停滞,肿瘤细胞繁殖受到抑制。目前已成为肿瘤研究的重要靶点。
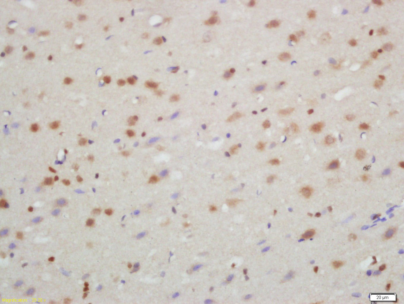
产品图片
Tissue/cell: rat brain tissue; 4% Paraformaldehyde-fixed and paraffin-embedded; Antigen retrieval: citrate buffer ( 0.01M, pH 6.0 ), Boiling bathing for 15min; Block endogenous peroxidase by 3% Hydrogen peroxide for 30min; Blocking buffer (normal goat serum,C-0005) at 37℃ for 20 min; Incubation: Anti-TXNIP Polyclonal Antibody, Unconjugated(bs-3897R) 1:200, overnight at 4°C, followed by conjugation to the secondary antibody(SP-0023) and DAB(C-0010) staining
版权所有 2004-2026 www.bioss.com.cn 北京博奥森生物技术有限公司
通过国际质量管理体系ISO 9001:2015 GB/T 19001-2016    证书编号: 00124Q34771R2M/1100
通过国际医疗器械-质量管理体系ISO 13485:2016 GB/T 42061-2022     证书编号: CQC24QY20047R0M/1100
京ICP备05066980号-1         京公网安备110107000727号