扫码关注公众号           扫码咨询技术支持           扫码咨询技术服务
  
客服热线:400-901-9800  客服QQ:4009019800  技术答疑  技术支持  质量反馈  人才招聘  关于我们  联系我们
产品中心-北京博奥森生物技术有限公司
首页 > 产品中心 > 一抗 > 产品信息
NOXA2 Rabbit pAb (bs-3891R)  
订购热线:400-901-9800
订购邮箱:sales@bioss.com.cn
订购QQ:  400-901-9800
技术支持:techsupport@bioss.com.cn
50ul/1180.00元
100ul/1980.00元
200ul/2800.00元
大包装/询价

产品编号 bs-3891R
英文名称 NOXA2 Rabbit pAb
中文名称 NADPH氧化酶活化蛋白1抗体
别    名 NCF-2; NOXA2; P67-PHOX; P67PHOX; NCF2_HUMAN; NCF2; 67 kDa neutrophil oxidase factor; NADPH oxidase activator 2; Neutrophil NADPH oxidase factor 2; NCF2_MOUSE; Q3U5S4_MOUSE; NCF2_RAT;   
Specific References  (2)     |     bs-3891R has been referenced in 2 publications.
[IF=8.401] Mr. Aleksandr Vendrov. et al. Renal NOXA1/NOX1 Signaling Regulates Epithelial Sodium Channel and Sodium Retention in Angiotensin II-induced Hypertension. 2021 Oct 29  IF,IHC ;  Mouse.  
[IF=7.126] Vendrov AE et al.NOXA1-dependent NADPH oxidase regulates redox signaling and phenotype of vascular smooth muscle cell during atherogenesis.Redox Biol. (2018) Redox Biol. 21:101063.  IHF ;  Mouse.  
研究领域 肿瘤  细胞生物  免疫学  
抗体来源 Rabbit
克隆类型 Polyclonal
克 隆 号
交叉反应 Human,Mouse,Rat (predicted: Rabbit,Cow,Chicken,Dog,Horse)
产品应用 IHC-P=1:100-500,IHC-F=1:100-500,IF=1:100-500
not yet tested in other applications.
optimal dilutions/concentrations should be determined by the end user.
理论分子量 58 kDa
细胞定位 细胞核 细胞浆 
性    状 Liquid
浓    度 1mg/ml
免 疫 原 KLH conjugated synthetic peptide derived from human NOXA2: 101-200/526 
亚    型 IgG
纯化方法 affinity purified by Protein A
缓 冲 液 0.01M TBS (pH7.4) with 1% BSA, 0.02% Proclin300 and 50% Glycerol.
保存条件 Shipped at 4℃. Store at -20℃ for one year. Avoid repeated freeze/thaw cycles.
注意事项 This product as supplied is intended for research use only, not for use in human, therapeutic or diagnostic applications.
PubMed PubMed
产品介绍 This gene encodes neutrophil cytosolic factor 2, the67-kilodalton cytosolic subunit of the multi-protein NADPH oxidase complex found in neutrophils. This oxidase produces a burst of superoxide which is delivered to the lumen of the neutrophil phagosome. Mutations in this gene, as well as in other NADPH oxidase subunits, can result in chronic granulomatous disease, a disease that causes recurrent infections by catalase-positive organisms. Alternative splicing results in multiple transcript variants encoding different isoforms. [provided by RefSeq].

Function:
NCF2, NCF1, and a membrane bound cytochrome b558 are required for activation of the latent NADPH oxidase (necessary for superoxide production).

Subunit:
Component of an NADPH oxidase complex composed of a heterodimer formed by the membrane proteins CYBA and CYBB and the cytosolic subunits NCF1, NCF2 and NCF4. Interacts with NCF4. Interacts (via the C-terminal SH3 domain) with NCF1 (via C-terminus). Interacts with SYTL1 and RAC1. May interact with NOXO1. Interacts with S100A8 and calprotectin (S100A8/9).

Subcellular Location:
Cytoplasm.

DISEASE:
Granulomatous disease, chronic, cytochrome-b-positive 2, autosomal recessive (CGD2) [MIM:233710]: A disorder characterized by the inability of neutrophils and phagocytes to kill microbes that they have ingested. Patients suffer from life-threatening bacterial/fungal infections.

Similarity:
Belongs to the NCF2/NOXA1 family. {ECO:0000305}.
Contains 1 PB1 domain.
Contains 2 SH3 domains.
Contains 3 TPR repeats.

SWISS:
P19878

Gene ID:
4688

Database links:

Entrez Gene: 4688 Human

Entrez Gene: 17970 Mouse

Entrez Gene: 364018 Rat

Omim: 608515 Human

SwissProt: P19878 Human

SwissProt: O70145 Mouse

SwissProt: Q3U5S4 Mouse

SwissProt: A7E3N2 Rat

Unigene: 587558 Human

Unigene: 270307 Mouse

Unigene: 162331 Rat



产品图片
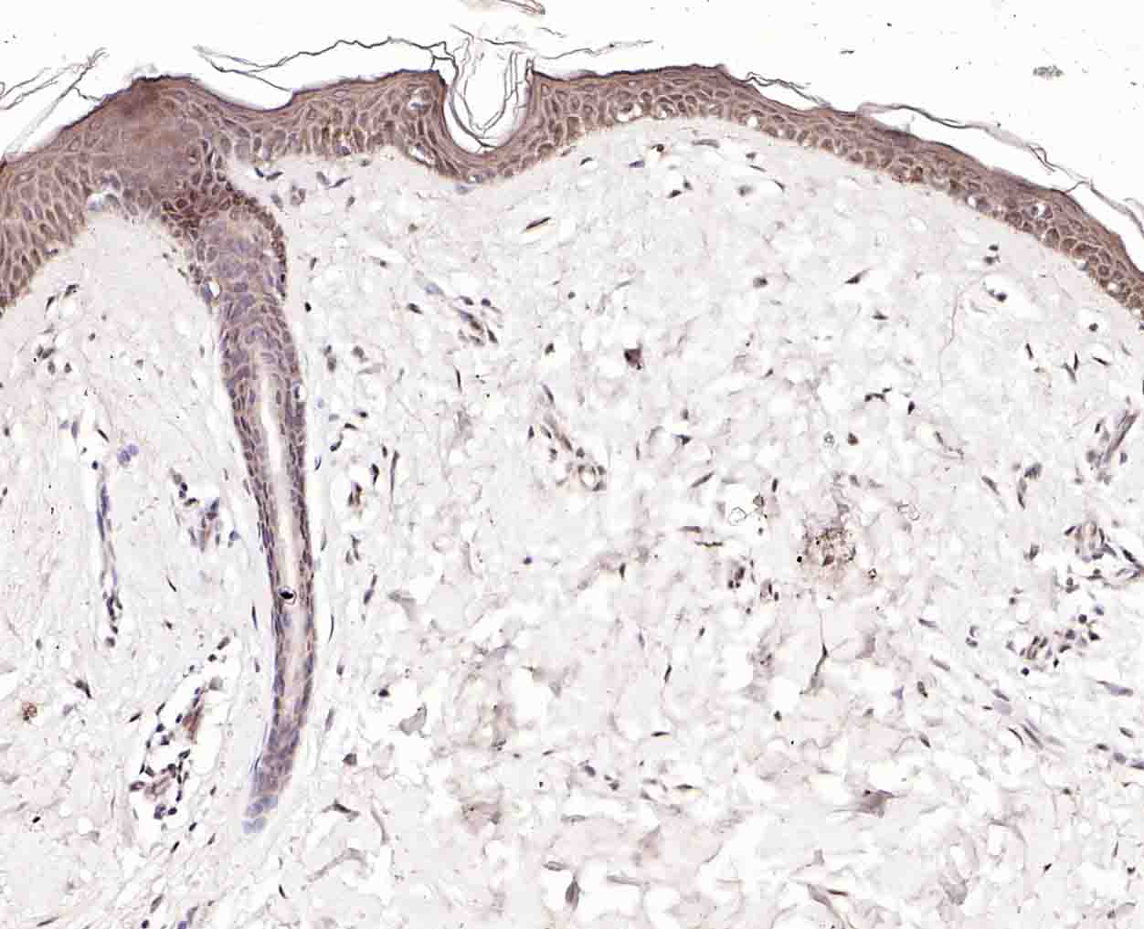
Paraformaldehyde-fixed, paraffin embedded (human skin); Antigen retrieval by boiling in sodium citrate buffer (pH6.0) for 15min; Block endogenous peroxidase by 3% hydrogen peroxide for 20 minutes; Blocking buffer (normal goat serum) at 37°C for 30min; Incubation with (NOXA2) Polyclonal Antibody, Unconjugated (bs-3891R) at 1:200 overnight at 4°C, followed by operating according to SP Kit(Rabbit) (sp-0023) instructionsand DAB staining.
Paraformaldehyde-fixed, paraffin embedded (mouse colon); Antigen retrieval by boiling in sodium citrate buffer (pH6.0) for 15min; Block endogenous peroxidase by 3% hydrogen peroxide for 20 minutes; Blocking buffer (normal goat serum) at 37°C for 30min; Incubation with (NOXA2) Polyclonal Antibody, Unconjugated (bs-3891R) at 1:200 overnight at 4°C, followed by operating according to SP Kit(Rabbit) (sp-0023) instructionsand DAB staining.
Paraformaldehyde-fixed, paraffin embedded (mouse placenta); Antigen retrieval by boiling in sodium citrate buffer (pH6.0) for 15min; Block endogenous peroxidase by 3% hydrogen peroxide for 20 minutes; Blocking buffer (normal goat serum) at 37°C for 30min; Incubation with (NOXA2) Polyclonal Antibody, Unconjugated (bs-3891R) at 1:200 overnight at 4°C, followed by operating according to SP Kit(Rabbit) (sp-0023) instructionsand DAB staining.
Paraformaldehyde-fixed, paraffin embedded (rat placenta); Antigen retrieval by boiling in sodium citrate buffer (pH6.0) for 15min; Block endogenous peroxidase by 3% hydrogen peroxide for 20 minutes; Blocking buffer (normal goat serum) at 37°C for 30min; Incubation with (NOXA2) Polyclonal Antibody, Unconjugated (bs-3891R) at 1:200 overnight at 4°C, followed by operating according to SP Kit(Rabbit) (sp-0023) instructionsand DAB staining.
版权所有 2004-2026 www.bioss.com.cn 北京博奥森生物技术有限公司
通过国际质量管理体系ISO 9001:2015 GB/T 19001-2016    证书编号: 00124Q34771R2M/1100
通过国际医疗器械-质量管理体系ISO 13485:2016 GB/T 42061-2022     证书编号: CQC24QY20047R0M/1100
京ICP备05066980号-1         京公网安备110107000727号