扫码关注公众号           扫码咨询技术支持           扫码咨询技术服务
  
客服热线:400-901-9800  客服QQ:4009019800  技术答疑  技术支持  质量反馈  关于我们  联系我们
产品中心-北京博奥森生物技术有限公司
首页 > 产品中心 > 一抗 > 产品信息
ATG18 Rabbit pAb (bs-3871R)  
订购热线:400-901-9800
订购邮箱:sales@bioss.com.cn
订购QQ:  400-901-9800
技术支持:techsupport@bioss.com.cn
50ul/1180.00元
100ul/1980.00元
200ul/2800.00元
大包装/询价

产品编号 bs-3871R
英文名称 ATG18 Rabbit pAb
中文名称 自噬相关蛋白18抗体
别    名 ATG18; ATG18A; WIPI49; 4930533H01Rik; D11Ertd498e; RGD1307754; WIPI1_HUMAN; WIPI1; WIPI-1; Atg18 protein homolog; WD40 repeat protein interacting with phosphoinositides of 49 kDa (WIPI 49 kDa); WIPI1_MOUSE;   
Specific References  (1)     |     bs-3871R has been referenced in 1 publications.
[IF=11.75] Garofalo, Tina, et al. "Evidence for the involvement of lipid rafts localized at the ER-mitochondria associated membranes in autophagosome formation."Autophagy (2016): 1-19.  WB, FCM ;  Human.  
研究领域 肿瘤  细胞生物  免疫学  细胞凋亡  转录调节因子  
抗体来源 Rabbit
克隆类型 Polyclonal
克 隆 号
交叉反应 Human,Rat (predicted: Mouse,Pig)
产品应用 IHC-P=1:100-500,IHC-F=1:100-500,IF=1:100-500,Flow-Cyt=1ug/Test
not yet tested in other applications.
optimal dilutions/concentrations should be determined by the end user.
理论分子量 49 kDa
细胞定位 细胞浆 
性    状 Liquid
浓    度 1mg/ml
免 疫 原 KLH conjugated synthetic peptide derived from mouse WIPI1: 361-446/446 
亚    型 IgG
纯化方法 affinity purified by Protein A
缓 冲 液 0.01M TBS (pH7.4) with 1% BSA, 0.02% Proclin300 and 50% Glycerol.
保存条件 Shipped at 4℃. Store at -20℃ for one year. Avoid repeated freeze/thaw cycles.
注意事项 This product as supplied is intended for research use only, not for use in human, therapeutic or diagnostic applications.
PubMed PubMed
产品介绍 This gene encodes a WD40 repeat protein. Members of the WD40 repeat family are key components of many essential biologic functions. They regulate the assembly of multiprotein complexes by presenting a beta-propeller platform for simultaneous and reversible protein-protein interactions. Members of the WIPI subfamily of WD40 repeat proteins have a 7-bladed propeller structure and contain a conserved motif for interaction with phospholipids. Alternative splicing results in multiple transcript variants. [provided by RefSeq, Mar 2016]

Function:
Plays an important role in autophagy and in particular starvation- and calcium-mediated autophagy, as well as in mitophagy. Functions upstream of the ATG12-ATG5-ATG16L1 complex and LC3, and downstream of the ULK1 and PI3-kinase complexes. Involved in xenophagy of Staphylococcus aureus. Invading S.aureus cells become entrapped in autophagosome-like WIPI1 positive vesicles targeted for lysosomal degradation. Plays also a distinct role in controlling the transcription of melanogenic enzymes and melanosome maturation, a process that is distinct from starvation-induced autophagy. May also regulate the trafficking of proteins involved in the mannose-6-phosphate receptor (MPR) recycling pathway.

Subunit:
Interacts with androgen receptor (AR) and the estrogen receptors ESR1 and ESR2. Binds PtdIns3P and to a lesser extent, PtdIns3,5P2 and PtdIns5P in vitro. Interaction with PtdIns3P is required for recruitment to membranes.

Subcellular Location:
Golgi apparatus, trans-Golgi network. Endosome. Cytoplasmic vesicle, clathrin-coated vesicle. Preautophagosomal structure membrane; Peripheral membrane protein. Cytoplasm, cytoskeleton. Note=Trans elements of the Golgi and peripheral endosomes. Dynamically cycles through these compartments and is susceptible to conditions that modulate membrane flux. Enriched in clathrin-coated vesicles. Upon starvation-induced autophagy, accumulates at subcellular structures in the cytoplasm: enlarged vesicular and lasso-like structures, and large cup-shaped structures predominantly around the nucleus. Recruitment to autophagic membranes is controlled by MTMR14. Labile microtubules specifically recruit markers of autophagosome formation like WIPI1, whereas mature autophagosomes may bind to stable microtubules.

Tissue Specificity:
Ubiquitously expressed. Highly expressed in skeletal muscle, heart, testis, pancreas and placenta. Highly expressed in G361, Sk-mel-28, Sk-mel-13, WM852 and WM451 cells. Up-regulated in a variety of tumor tissues.

Similarity:
Belongs to the WD repeat SVP1 family.
Contains 7 WD repeats.

SWISS:
Q8R3E3

Gene ID:
52639

Database links:

Entrez Gene: 55062 Human

Entrez Gene: 52639 Mouse

Entrez Gene: 303630 Rat

Omim: 609224 Human

SwissProt: Q5MNZ9 Human

SwissProt: Q8R3E3 Mouse

Unigene: 463964 Human

Unigene: 35817 Mouse



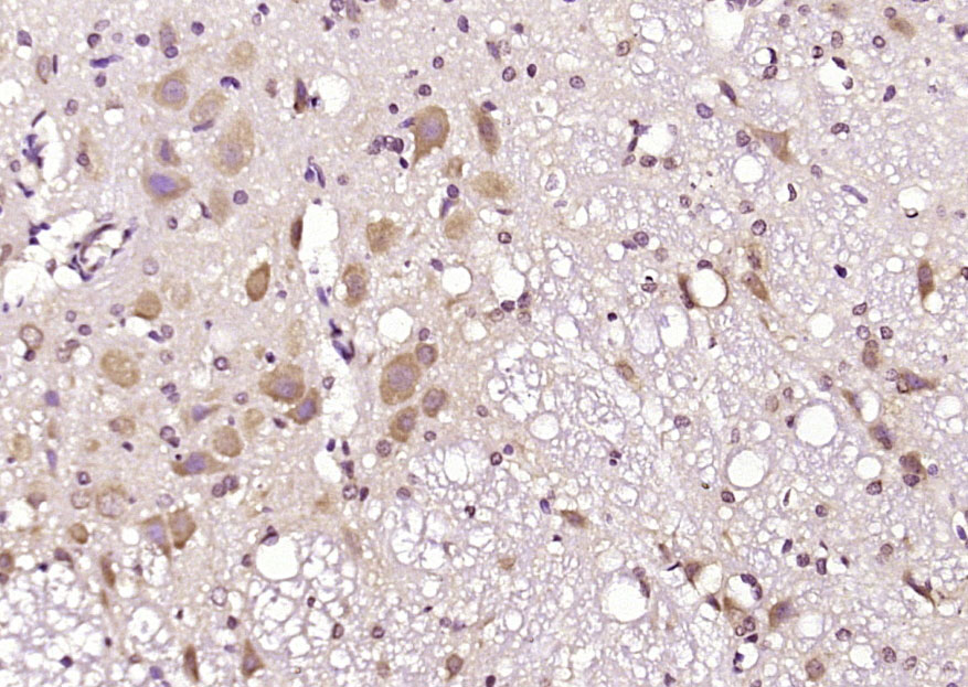
产品图片
Paraformaldehyde-fixed, paraffin embedded (rat brain); Antigen retrieval by boiling in sodium citrate buffer (pH6.0) for 15min; Block endogenous peroxidase by 3% hydrogen peroxide for 20 minutes; Blocking buffer (normal goat serum) at 37°C for 30min; Antibody incubation with (ATG18) Polyclonal Antibody, Unconjugated (bs-3871R) at 1:200 overnight at 4°C, followed by operating according to SP Kit(Rabbit) (sp-0023) instructionsand DAB staining.
Blank control:U87MG. Primary Antibody (green line): Rabbit Anti-ATG18 antibody (bs-3871R) Dilution: 1μg /10^6 cells; Isotype Control Antibody (orange line): Rabbit IgG . Secondary Antibody : Goat anti-rabbit IgG-PE Dilution: 1μg /test. Protocol The cells were fixed with 4% PFA (10min at room temperature)and then permeabilized with 0.1%PBST for 20 min at room temperature.The cells were then incubated in 5%BSA to block non-specific protein-protein interactions for 30 min at room temperature .Cells stained with Primary Antibody for 30 min at room temperature. The secondary antibody used for 40 min at room temperature. Acquisition of 20,000 events was performed.
版权所有 2004-2026 www.bioss.com.cn 北京博奥森生物技术有限公司
通过国际质量管理体系ISO 9001:2015 GB/T 19001-2016    证书编号: 00124Q34771R2M/1100
通过国际医疗器械-质量管理体系ISO 13485:2016 GB/T 42061-2022     证书编号: CQC24QY20047R0M/1100
京ICP备05066980号-1         京公网安备110107000727号