扫码关注公众号           扫码咨询技术支持           扫码咨询技术服务
  
客服热线:400-901-9800  客服QQ:4009019800  技术答疑  技术支持  质量反馈  关于我们  联系我们
产品中心-北京博奥森生物技术有限公司
首页 > 产品中心 > 一抗 > 产品信息
ATG9B Rabbit pAb (bs-4011R)  
订购热线:400-901-9800
订购邮箱:sales@bioss.com.cn
订购QQ:  400-901-9800
技术支持:techsupport@bioss.com.cn
50ul/1180.00元
100ul/1980.00元
200ul/2800.00元
大包装/询价

产品编号 bs-4011R
英文名称 ATG9B Rabbit pAb
中文名称 自噬相关蛋白9B抗体
别    名 APG9L2; NOS3AS; SONE; Apg912; Apgdc2; Gm574; eONE; RGD1560887; ATG9B_HUMAN; ATG9B; APG9-like 2; Nitric oxide synthase 3-overlapping antisense gene protein (Protein sONE); ATG9B_MOUSE; Nitric oxide synthase 3-overlapping antisense gene protein;   
研究领域 肿瘤  免疫学  细胞凋亡  
抗体来源 Rabbit
克隆类型 Polyclonal
克 隆 号
交叉反应 Mouse,Rat (predicted: Human,Rabbit,Pig,Dog)
产品应用 IHC-P=1:100-500,IHC-F=1:100-500,IF=1:100-500
not yet tested in other applications.
optimal dilutions/concentrations should be determined by the end user.
理论分子量 94 kDa
细胞定位 细胞浆 细胞膜 
性    状 Liquid
浓    度 1mg/ml
免 疫 原 KLH conjugated synthetic peptide derived from human ATG9B: 351-450/923 
亚    型 IgG
纯化方法 affinity purified by Protein A
缓 冲 液 0.01M TBS (pH7.4) with 1% BSA, 0.02% Proclin300 and 50% Glycerol.
保存条件 Shipped at 4℃. Store at -20℃ for one year. Avoid repeated freeze/thaw cycles.
注意事项 This product as supplied is intended for research use only, not for use in human, therapeutic or diagnostic applications.
PubMed PubMed
产品介绍 This gene functions in the regulation of autophagy, a lysosomal degradation pathway. This gene also functions as an antisense transcript in the posttranscriptional regulation of the endothelial nitric oxide synthase 3 gene, which has 3' overlap with this gene on the opposite strand. Mutations in this gene and disruption of the autophagy process have been associated with multiple cancers. Alternative splicing results in multiple transcript variants. [provided by RefSeq, Sep 2012]

Function:
Involved in autophagy and cytoplasm to vacuole transport (Cvt) vesicle formation. Plays a key role in the organization of the preautophagosomal structure/phagophore assembly site (PAS), the nucleating site for formation of the sequestering vesicle.

Subcellular Location:
Cytoplasmic vesicle ?autophagosome membrane; Multi-pass membrane protein. Note: Under amino acid starvation or rapamycin treatment, redistributes from a juxtanuclear clustered pool to a dispersed peripheral cytosolic pool. The starvation-induced redistribution depends on ULK1 and ATG13.

Tissue Specificity:
Highly expressed in placenta (trophoblast cells) and pituitary gland. Not expressed in vascular endothelial.

Similarity:
Belongs to the ATG9 family.

SWISS:
Q674R7

Gene ID:
285973

Database links:

Entrez Gene: 285973 Human

Entrez Gene: 213948 Mouse

Entrez Gene: 499973 Rat

Omim: 612205 Human

SwissProt: Q674R7 Human

SwissProt: Q6EBV9 Mouse

Unigene: 707300 Human

Unigene: 716846 Human

Unigene: 332252 Mouse



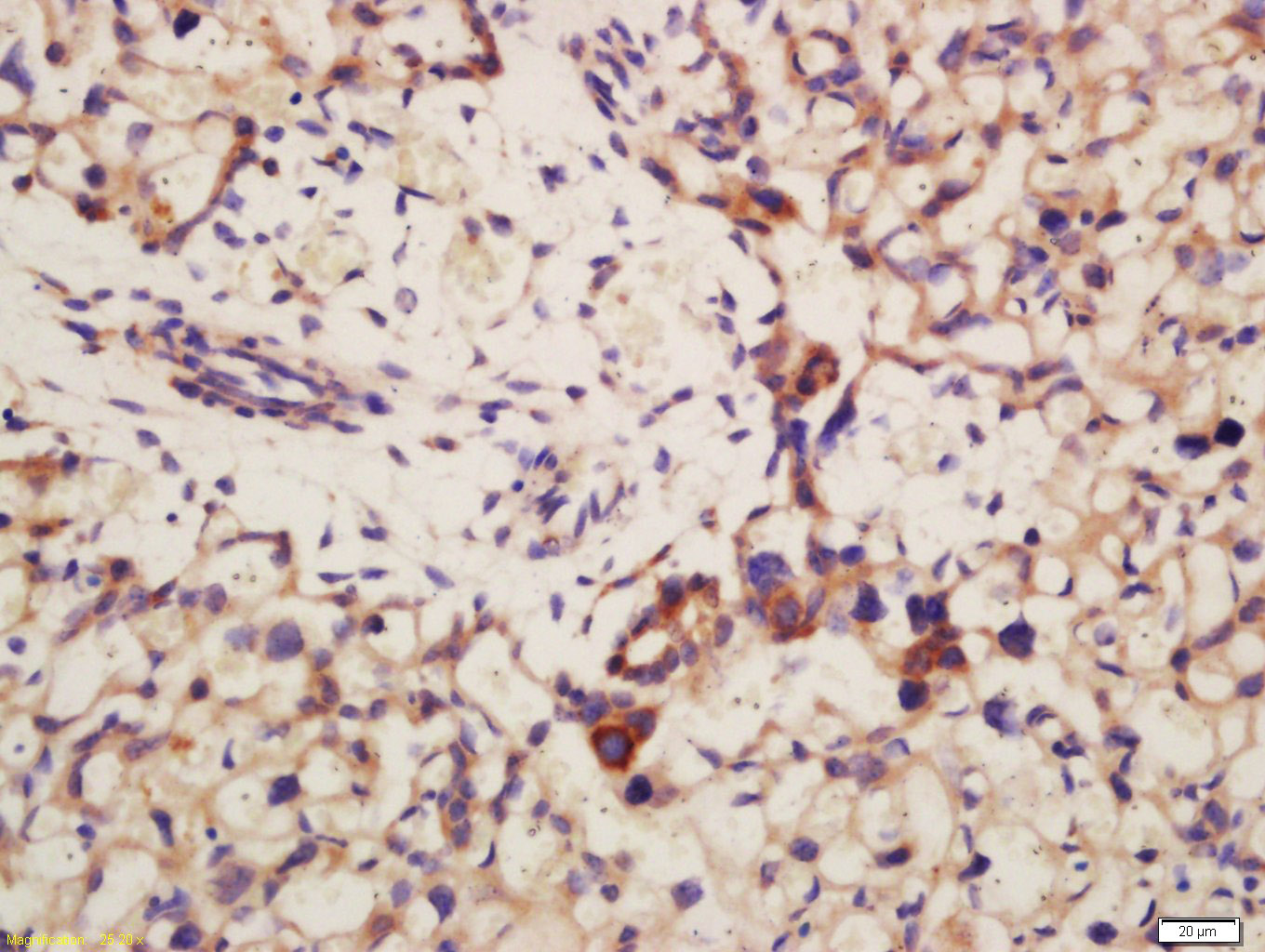
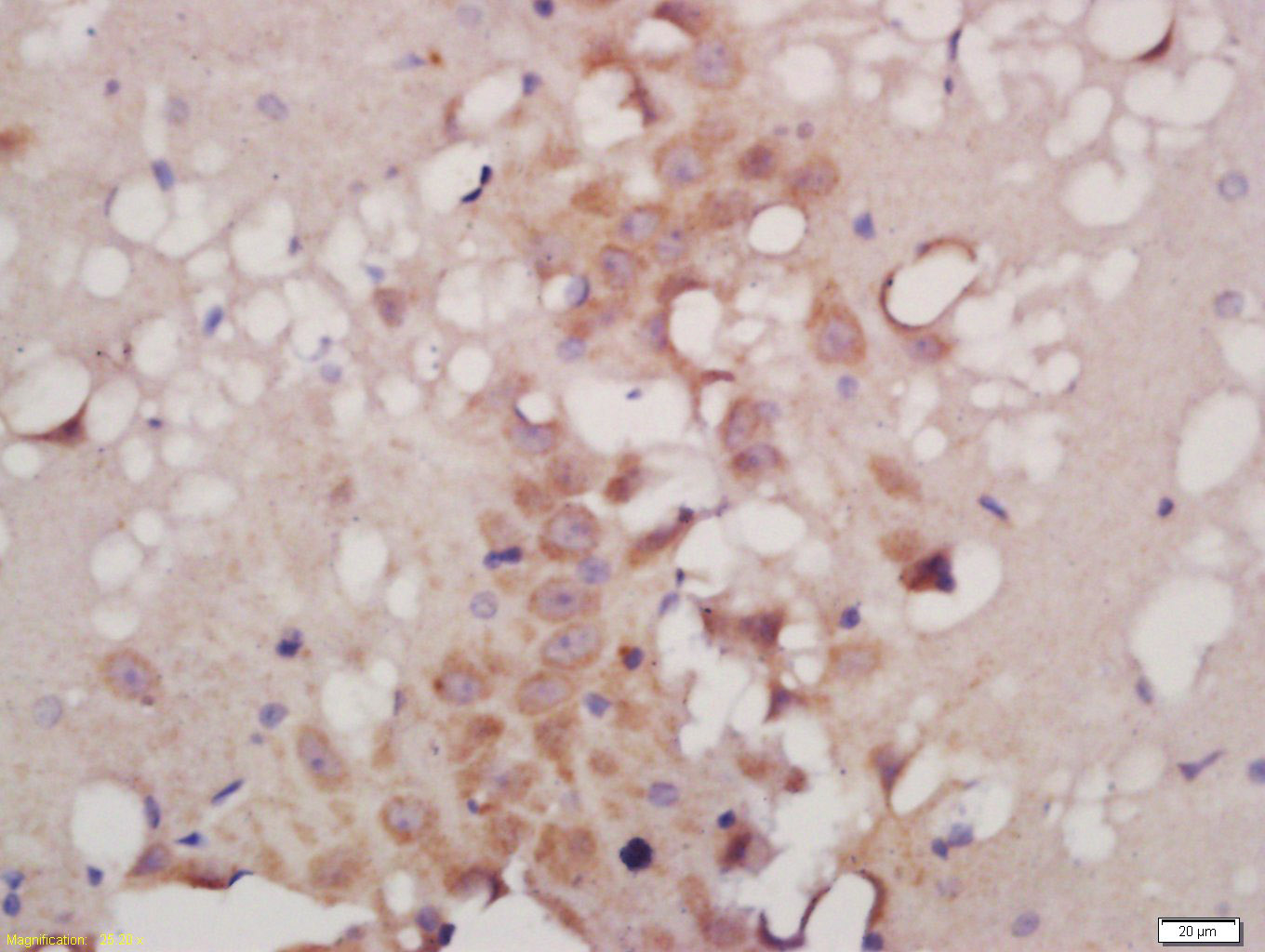
产品图片
Tissue/cell: mouse placenta tissue; 4% Paraformaldehyde-fixed and paraffin-embedded; Antigen retrieval: citrate buffer ( 0.01M, pH 6.0 ), Boiling bathing for 15min; Block endogenous peroxidase by 3% Hydrogen peroxide for 30min; Blocking buffer (normal goat serum,C-0005) at 37℃ for 20 min; Incubation: Anti-ATG9B Polyclonal Antibody, Unconjugated(bs-4011R) 1:200, overnight at 4°C, followed by conjugation to the secondary antibody(SP-0023) and DAB(C-0010) staining
Tissue/cell: rat brain tissue; 4% Paraformaldehyde-fixed and paraffin-embedded; Antigen retrieval: citrate buffer ( 0.01M, pH 6.0 ), Boiling bathing for 15min; Block endogenous peroxidase by 3% Hydrogen peroxide for 30min; Blocking buffer (normal goat serum,C-0005) at 37℃ for 20 min; Incubation: Anti-ATG9B Polyclonal Antibody, Unconjugated(bs-4011R) 1:200, overnight at 4°C, followed by conjugation to the secondary antibody(SP-0023) and DAB(C-0010) staining
版权所有 2004-2026 www.bioss.com.cn 北京博奥森生物技术有限公司
通过国际质量管理体系ISO 9001:2015 GB/T 19001-2016    证书编号: 00124Q34771R2M/1100
通过国际医疗器械-质量管理体系ISO 13485:2016 GB/T 42061-2022     证书编号: CQC24QY20047R0M/1100
京ICP备05066980号-1         京公网安备110107000727号