扫码关注公众号           扫码咨询技术支持           扫码咨询技术服务
  
客服热线:400-901-9800  客服QQ:4009019800  技术答疑  技术支持  质量反馈  人才招聘  关于我们  联系我们
产品中心-北京博奥森生物技术有限公司
首页 > 产品中心 > 一抗 > 产品信息
CYP46 Rabbit pAb (bs-5051R)  
订购热线:400-901-9800
订购邮箱:sales@bioss.com.cn
订购QQ:  400-901-9800
技术支持:techsupport@bioss.com.cn
50ul/1180.00元
100ul/1980.00元
200ul/2800.00元
大包装/询价

产品编号 bs-5051R
英文名称 CYP46 Rabbit pAb
中文名称 胆固醇24羟化酶抗体
别    名 CP46; CYP46; CH24H; CP46A_HUMAN; CYP46A1; Cholesterol 24-monooxygenase; Cholesterol 24S-hydroxylase; Cytochrome P450 46A1; 1.14.14.25; CP46A_MOUSE; cytochrome P450 family 46 subfamily A member 1; cytochrome P450, subfamily 46 (cholesterol 24-hydroxylase); cytochrome P450, family 46, subfamily A, polypeptide 1  
研究领域 肿瘤  细胞生物  免疫学  神经生物学  转录调节因子  
抗体来源 Rabbit
克隆类型 Polyclonal
交叉反应 Human (predicted: Mouse,Rat,Rabbit,Cow,Horse)
产品应用 IHC-P=1:100-500,IHC-F=1:100-500,IF=1:100-500
not yet tested in other applications.
optimal dilutions/concentrations should be determined by the end user.
理论分子量 56kDa
细胞定位 细胞浆 细胞膜 
性    状 Liquid
浓    度 1mg/ml
免 疫 原 KLH conjugated synthetic peptide derived from human CYP46: 51-150/500 
亚    型 IgG
纯化方法 affinity purified by Protein A
缓 冲 液 0.01M TBS (pH7.4) with 1% BSA, 0.02% Proclin300 and 50% Glycerol.
保存条件 Shipped at 4℃. Store at -20℃ for one year. Avoid repeated freeze/thaw cycles.
注意事项 This product as supplied is intended for research use only, not for use in human, therapeutic or diagnostic applications.
PubMed PubMed
产品介绍 This gene encodes a member of the cytochrome P450 superfamily of enzymes. The cytochrome P450 proteins are monooxygenases which catalyze many reactions involved in drug metabolism and synthesis of cholesterol, steroids and other lipids. This endoplasmic reticulum protein is expressed in the brain, where it converts cholesterol to 24S-hydroxycholesterol. While cholesterol cannot pass the blood-brain barrier, 24S-hydroxycholesterol can be secreted in the brain into the circulation to be returned to the liver for catabolism. [provided by RefSeq, Jul 2008]

Function:
Involved in the turnover of cholesterol. It converts cholesterol into 24S-hydroxycholesterol and, to a lesser extent, 25-hydroxycholesterol.

Subcellular Location:
Endoplasmic reticulum membrane; Single-pass membrane protein. Microsome membrane; Single-pass membrane protein.

Tissue Specificity:
Expressed in brain. The mRNA was broadly distributed with higher levels in gray matter zones and lower levels in regions rich in white matter. Not detected in fetal sample but its expression increases linearly with age.

Similarity:
Belongs to the cytochrome P450 family.

SWISS:
Q9Y6A2

Gene ID:
10858

Database links:

Entrez Gene: 10858 Human

Entrez Gene: 13116 Mouse

Entrez Gene: 362782 Rat

Omim: 604087 Human

SwissProt: Q9Y6A2 Human

SwissProt: Q9WVK8 Mouse

Unigene: 25121 Human



产品图片
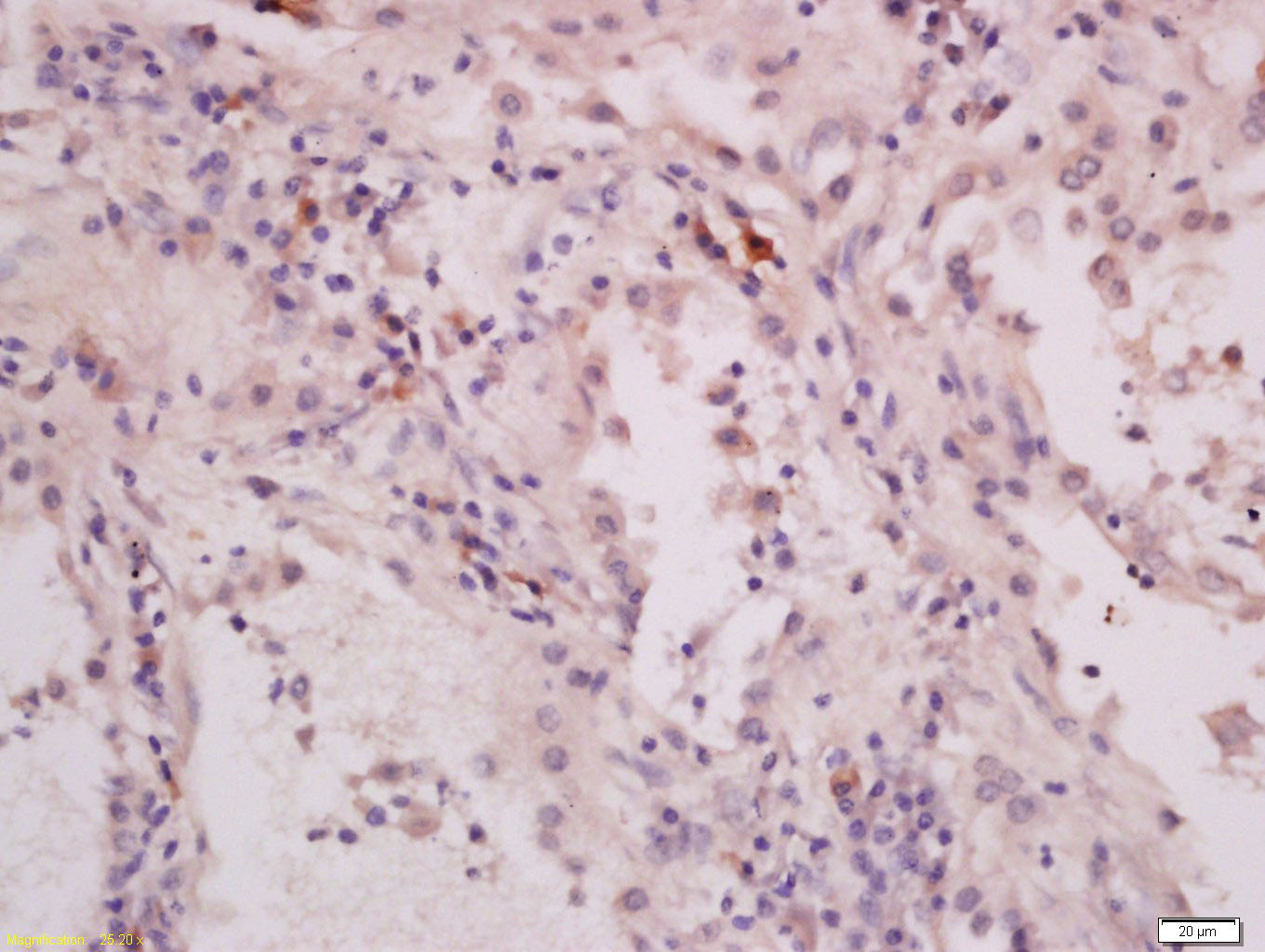
Tissue/cell: human lung carcinoma; 4% Paraformaldehyde-fixed and paraffin-embedded; Antigen retrieval: citrate buffer ( 0.01M, pH 6.0 ), Boiling bathing for 15min; Block endogenous peroxidase by 3% Hydrogen peroxide for 30min; Blocking buffer (normal goat serum,C-0005) at 37℃ for 20 min; Incubation: Anti-CYP46 Polyclonal Antibody, Unconjugated(bs-5051R) 1:200, overnight at 4°C, followed by conjugation to the secondary antibody(SP-0023) and DAB(C-0010) staining
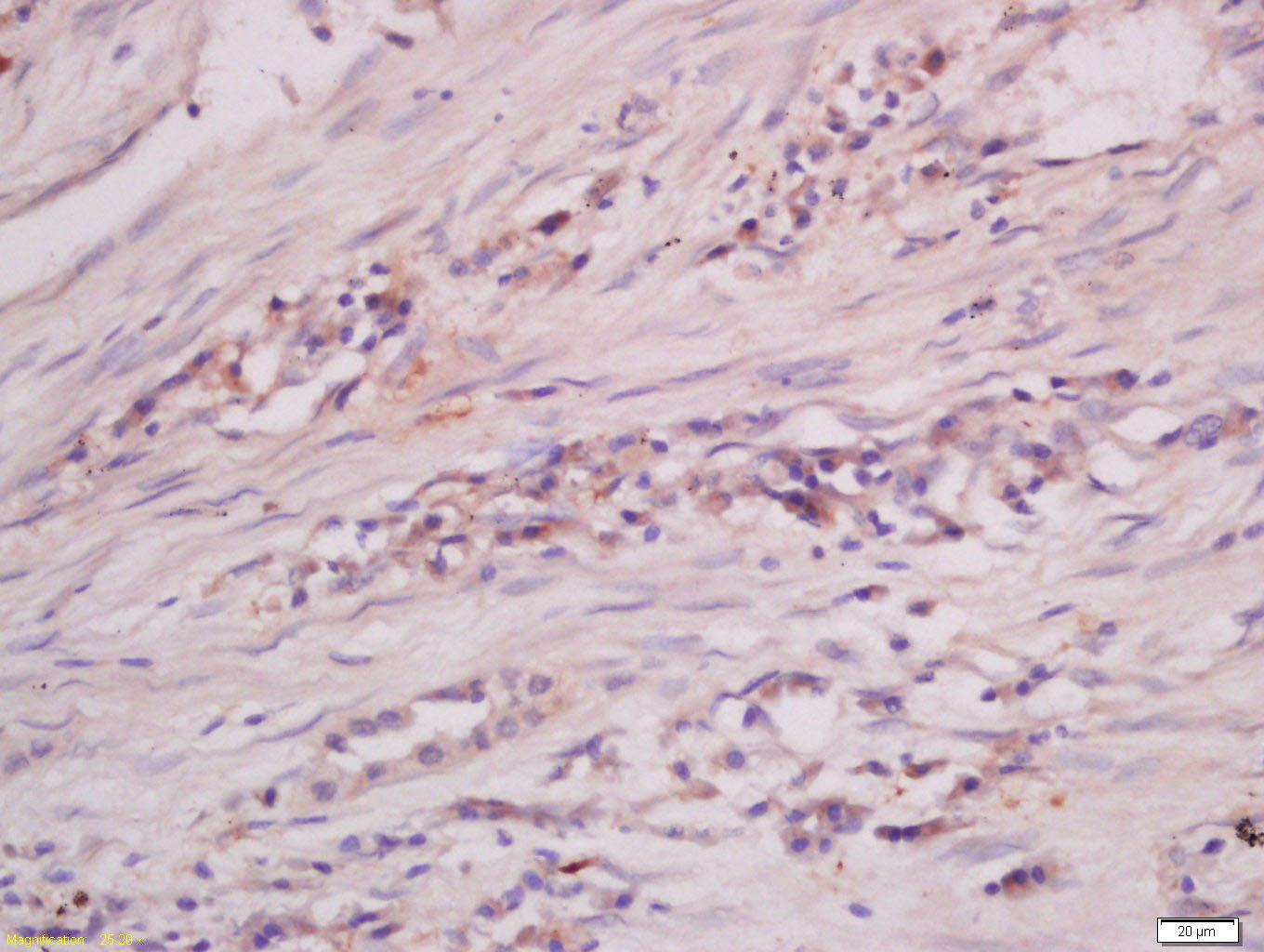
Tissue/cell: human lung carcinoma; 4% Paraformaldehyde-fixed and paraffin-embedded; Antigen retrieval: citrate buffer ( 0.01M, pH 6.0 ), Boiling bathing for 15min; Block endogenous peroxidase by 3% Hydrogen peroxide for 30min; Blocking buffer (normal goat serum,C-0005) at 37℃ for 20 min; Incubation: Anti-CYP46 Polyclonal Antibody, Unconjugated(bs-5051R) 1:200, overnight at 4°C, followed by conjugation to the secondary antibody(SP-0023) and DAB(C-0010) staining
版权所有 2004-2026 www.bioss.com.cn 北京博奥森生物技术有限公司
通过国际质量管理体系ISO 9001:2015 GB/T 19001-2016    证书编号: 00124Q34771R2M/1100
通过国际医疗器械-质量管理体系ISO 13485:2016 GB/T 42061-2022     证书编号: CQC24QY20047R0M/1100
京ICP备05066980号-1         京公网安备110107000727号