扫码关注公众号           扫码咨询技术支持           扫码咨询技术服务
  
客服热线:400-901-9800  客服QQ:4009019800  技术答疑  技术支持  质量反馈  关于我们  联系我们
产品中心-北京博奥森生物技术有限公司
首页 > 产品中心 > 一抗 > 产品信息
RHEB Rabbit pAb (bs-3832R)  
订购热线:400-901-9800
订购邮箱:sales@bioss.com.cn
订购QQ:  400-901-9800
技术支持:techsupport@bioss.com.cn
50ul/1180.00元
100ul/1980.00元
200ul/2800.00元
大包装/询价

产品编号 bs-3832R
英文名称 RHEB Rabbit pAb
中文名称 Ras蛋白脑组织同源类似物RHEB蛋白抗体
别    名 GTP-binding protein Rheb; MGC111559; Ras homolog enriched in brain 2; Ras homolog enriched in brain; RHEB 2; RHEB-2 RHEB2; RHEB_HUMAN.  
研究领域 肿瘤  细胞生物  免疫学  神经生物学  
抗体来源 Rabbit
克隆类型 Polyclonal
克 隆 号
交叉反应 Mouse,Rat (predicted: Human,Cow,Chicken,Horse)
产品应用 IHC-P=1:100-500,IHC-F=1:100-500,IF=1:100-500
not yet tested in other applications.
optimal dilutions/concentrations should be determined by the end user.
理论分子量 20 kDa
检测分子量
细胞定位 细胞浆 细胞膜 
性    状 Liquid
浓    度 1mg/ml
免 疫 原 KLH conjugated synthetic peptide derived from human RHEB: 101-184/184 
亚    型 IgG
纯化方法 affinity purified by Protein A
缓 冲 液 0.01M TBS (pH7.4) with 1% BSA, 0.02% Proclin300 and 50% Glycerol.
保存条件 Shipped at 4℃. Store at -20℃ for one year. Avoid repeated freeze/thaw cycles.
注意事项 This product as supplied is intended for research use only, not for use in human, therapeutic or diagnostic applications.
PubMed PubMed
产品介绍 Rheb (Ras homolog enriched in brain) is an evolutionarily conserved member of the Ras family of small GTP binding proteins originally found to be rapidly induced by synaptic activity in the hippocampus following seizure. While it is expressed at relatively high levels in the brain, Rheb is widely expressed in other tissues and may be induced by growth factor stimulation. Similar to other family members, Rheb triggers activation of the Raf-MEK-MAPK pathway. Biochemical and genetic studies demon-strate that Rheb has an important role in regulating the insulin/Target of rapamycin (TOR) signaling pathway. TOR is a serine/threonine protein kinase that acts as a sensor for ATP and amino acids, balancing the availability of nutrients with protein translation and cell growth. A dimeric protein complex termed TSC1/TSC2 indirectly inhibits TOR activity by inhibiting Rheb via the GAP activity of TSC2.

Function:
Stimulates the phosphorylation of S6K1 and EIF4EBP1 through activation of mTORC1 signaling. Activates the protein kinase activity of mTORC1. Has low intrinsic GTPase activity.

Subunit:
Binds to mTORC1 in a guanyl nucleotide-independent manner. Interacts directly with MTOR, MLST8 and RPTOR. Interacts with TSC2.

Subcellular Location:
Cell membrane; Lipid-anchor; Cytoplasmic side.

Tissue Specificity:
Ubiquitous. Highest levels observed in skeletal and cardiac muscle.

Post-translational modifications:
Farnesylation is important for efficiently activating mTORC1-mediated signaling.
Phosphorylation by MAPKAPK5 impairs GTP-binding and inactivation (By similarity).

Similarity:
Belongs to the small GTPase superfamily. Rheb family.

SWISS:
Q15382

Gene ID:
6009

Database links:

Entrez Gene: 6009 Human

Omim: 601293 Human

SwissProt: Q15382 Human

Unigene: 283521 Human

Unigene: 568850 Human

Unigene: 647068 Human



产品图片
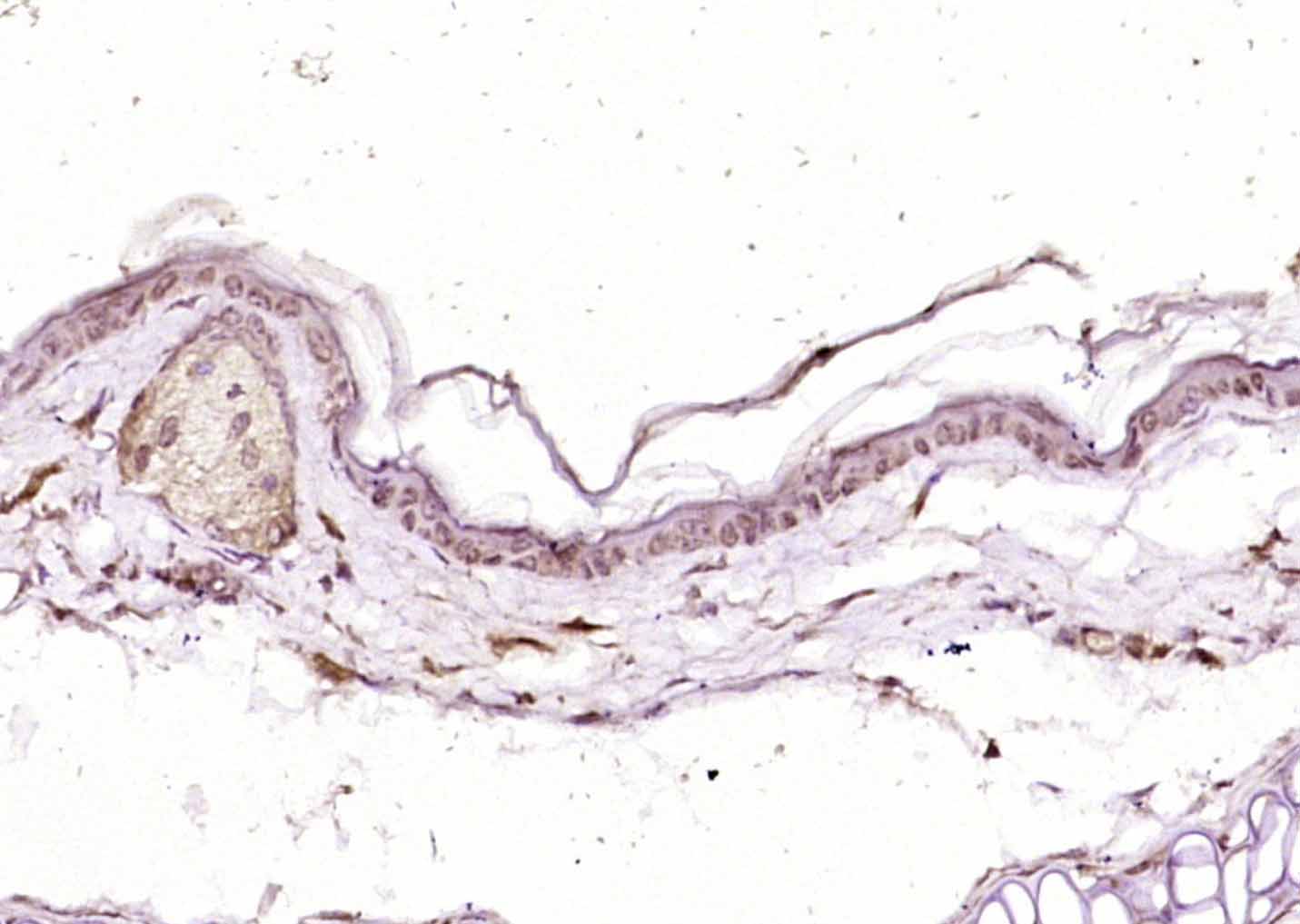
Paraformaldehyde-fixed, paraffin embedded (Mouse skin); Antigen retrieval by boiling in sodium citrate buffer (pH6.0) for 15min; Block endogenous peroxidase by 3% hydrogen peroxide for 20 minutes; Blocking buffer (normal goat serum) at 37°C for 30min; Antibody incubation with (RHEB) Polyclonal Antibody, Unconjugated (bs-3832R) at 1:200 overnight at 4°C, followed by operating according to SP Kit(Rabbit) (sp-0023) instructionsand DAB staining.
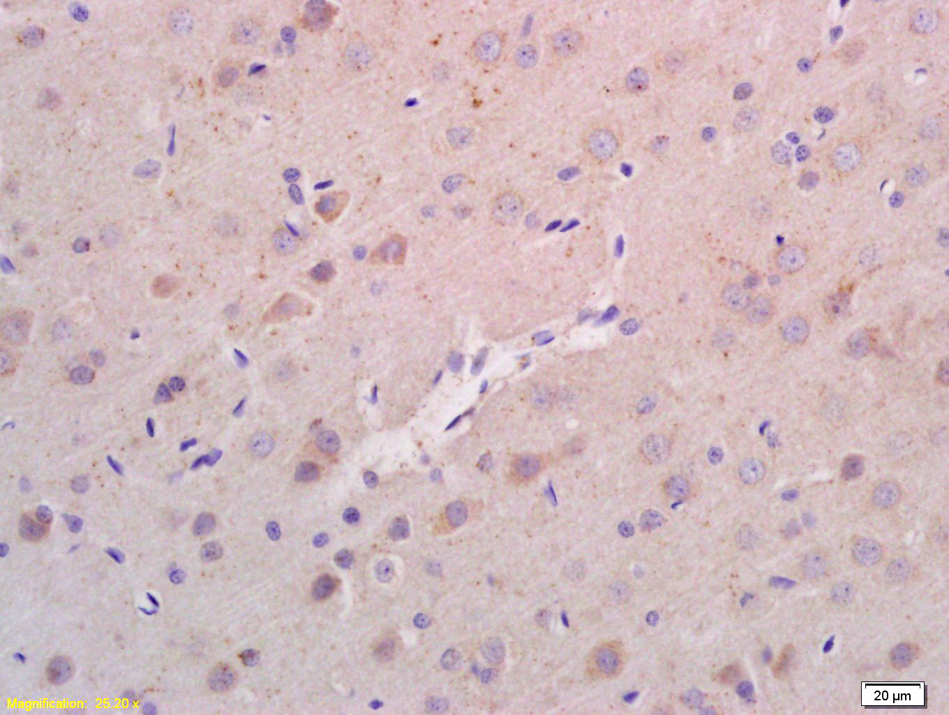
Tissue/cell: rat brain tissue; 4% Paraformaldehyde-fixed and paraffin-embedded; Antigen retrieval: citrate buffer ( 0.01M, pH 6.0 ), Boiling bathing for 15min; Block endogenous peroxidase by 3% Hydrogen peroxide for 30min; Blocking buffer (normal goat serum,C-0005) at 37℃ for 20 min; Incubation: Anti-RHEB Polyclonal Antibody, Unconjugated(bs-3832R) 1:200, overnight at 4°C, followed by conjugation to the secondary antibody(SP-0023) and DAB(C-0010) staining
版权所有 2004-2026 www.bioss.com.cn 北京博奥森生物技术有限公司
通过国际质量管理体系ISO 9001:2015 GB/T 19001-2016    证书编号: 00124Q34771R2M/1100
通过国际医疗器械-质量管理体系ISO 13485:2016 GB/T 42061-2022     证书编号: CQC24QY20047R0M/1100
京ICP备05066980号-1         京公网安备110107000727号