扫码关注公众号           扫码咨询技术支持           扫码咨询技术服务
  
客服热线:400-901-9800  客服QQ:4009019800  技术答疑  技术支持  质量反馈  关于我们  联系我们
产品中心-北京博奥森生物技术有限公司
首页 > 产品中心 > 一抗 > 产品信息
Histone H4 Rabbit pAb (bs-3826R)  
订购热线:400-901-9800
订购邮箱:sales@bioss.com.cn
订购QQ:  400-901-9800
技术支持:techsupport@bioss.com.cn
50ul/1180.00元
100ul/1980.00元
200ul/2800.00元
大包装/询价

产品编号 bs-3826R
英文名称 Histone H4 Rabbit pAb
中文名称 组蛋白H4抗体
别    名 H4-16; H4/p; H4C1; H4C11; H4C12; H4C13; H4C14; H4C15; H4C2; H4C3; H4C4; H4C5; H4C6; H4C8; H4C9; HIST4H4; H4/o; H4C16; HIST2H4B; H4/m; H4FM; H4M; HIST1H4I; TEBIVANED4; TEVANED4; H4FA; HIST1H4A; H4/b; H4FB; HIST1H4D; dJ221C16.9; H4; H4/c; H4FC; HIST1H4F; H4  
Specific References  (1)     |     bs-3826R has been referenced in 1 publications.
[IF=8.56] Qian, Yi, et al. "Silver Nanoparticle-Induced Hemoglobin Decrease Involves Alteration of Histone 3 Methylation Status." Biomaterials (2015).  WB ;  Mouse.  
研究领域 细胞生物  免疫学  转录调节因子  
抗体来源 Rabbit
克隆类型 Polyclonal
克 隆 号
交叉反应 Human,Mouse,Rat
产品应用 WB=1:500-2000,IHC-P=1:100-500,IHC-F=1:100-500,IF=1:100-500,Flow-Cyt=1ug/test,ELISA=1:5000-10000
not yet tested in other applications.
optimal dilutions/concentrations should be determined by the end user.
理论分子量 11 kDa
细胞定位 细胞核 
性    状 Liquid
浓    度 1mg/ml
免 疫 原 KLH conjugated synthetic peptide derived from human Histone H4: 51-103/103 
亚    型 IgG
纯化方法 affinity purified by Protein A
缓 冲 液 0.01M TBS (pH7.4) with 1% BSA, 0.02% Proclin300 and 50% Glycerol.
保存条件 Shipped at 4℃. Store at -20℃ for one year. Avoid repeated freeze/thaw cycles.
注意事项 This product as supplied is intended for research use only, not for use in human, therapeutic or diagnostic applications.
PubMed PubMed
产品介绍 Histones are basic nuclear proteins that are responsible for the nucleosome structure of the chromosomal fiber in eukaryotes. Nucleosomes consist of approximately 146 bp of DNA wrapped around a histone octamer composed of pairs of each of the four core histones (H2A, H2B, H3, and H4). The chromatin fiber is further compacted through the interaction of a linker histone, H1, with the DNA between the nucleosomes to form higher order chromatin structures. This gene is intronless and encodes a member of the histone H4 family. Transcripts from this gene lack polyA tails; instead, they contain a palindromic termination element. [provided by RefSeq, Jul 2008].

Function:
Core component of nucleosome. Nucleosomes wrap and compact DNA into chromatin, limiting DNA accessibility to the cellular machineries which require DNA as a template. Histones thereby play a central role in transcription regulation, DNA repair, DNA replication and chromosomal stability. DNA accessibility is regulated via a complex set of post-translational modifications of histones, also called histone code, and nucleosome remodeling.

Subunit:
The nucleosome is a histone octamer containing two molecules each of H2A, H2B, H3 and H4 assembled in one H3-H4 heterotetramer and two H2A-H2B heterodimers. The octamer wraps approximately 147 bp of DNA.

Subcellular Location:
Nucleus. Chromosome.

Post-translational modifications:
Acetylation at Lys-6 (H4K5ac), Lys-9 (H4K8ac), Lys-13 (H4K12ac) and Lys-17 (H4K16ac) occurs in coding regions of the genome but not in heterochromatin.
Citrullination at Arg-4 (H4R3ci) by PADI4 impairs methylation.
Monomethylation and asymmetric dimethylation at Arg-4 (H4R3me1 and H4R3me2a, respectively) by PRMT1 favors acetylation at Lys-9 (H4K8ac) and Lys-13 (H4K12ac). Demethylation is performed by JMJD6. Symmetric dimethylation on Arg-4 (H4R3me2s) by the PRDM1/PRMT5 complex may play a crucial role in the germ-cell lineage.
Monomethylated, dimethylated or trimethylated at Lys-21 (H4K20me1, H4K20me2, H4K20me3). Monomethylation is performed by SET8. Trimethylation is performed by SUV420H1 and SUV420H2 and induces gene silencing.
Phosphorylated by PAK2 at Ser-48 (H4S47ph). This phosphorylation increases the association of H3.3-H4 with the histone chaperone HIRA, thus promoting nucleosome assembly of H3.3-H4 and inhibiting nucleosome assembly of H3.1-H4.
Ubiquitinated by the CUL4-DDB-RBX1 complex in response to ultraviolet irradiation. This may weaken the interaction between histones and DNA and facilitate DNA accessibility to repair proteins. Monoubiquitinated at Lys-92 of histone H4 (H4K91ub1) in response to DNA damage. The exact role of H4K91ub1 in DNA damage response is still unclear but it may function as a licensing signal for additional histone H4 post-translational modifications such as H4 Lys-21 methylation (H4K20me).
Sumoylated, which is associated with transcriptional repression.
Crotonylation (Kcr) is specifically present in male germ cells and marks testis-specific genes in post-meiotic cells, including X-linked genes that escape sex chromosome inactivation in haploid cells. Crotonylation marks active promoters and enhancers and confers resistance to transcriptional repressors. It is also associated with post-meiotically activated genes on autosomes.

Similarity:
Belongs to the histone H4 family.

SWISS:
P62805

Gene ID:
8370

Database links:

Entrez Gene: 121504 Human

Entrez Gene: 554313 Human

Entrez Gene: 8294 Human

Entrez Gene: 8359 Human

Entrez Gene: 8360 Human

Entrez Gene: 8361 Human

Entrez Gene: 8362 Human

Entrez Gene: 8363 Human

Entrez Gene: 8364 Human

Entrez Gene: 8365 Human

Entrez Gene: 8366 Human

Entrez Gene: 8367 Human

Entrez Gene: 8368 Human

Entrez Gene: 8370 Human

Entrez Gene: 100041230 Mouse

Entrez Gene: 100862646 Mouse

Entrez Gene: 319155 Mouse

Entrez Gene: 319156 Mouse

Entrez Gene: 319157 Mouse

Entrez Gene: 319158 Mouse

Entrez Gene: 319159 Mouse

Entrez Gene: 319160 Mouse

Entrez Gene: 319161 Mouse

Entrez Gene: 320332 Mouse

Entrez Gene: 326619 Mouse

Entrez Gene: 326620 Mouse

Entrez Gene: 69386 Mouse

Entrez Gene: 97122 Mouse

GenBank: NM_003548 Human

Omim: 142750 Human

SwissProt: P84040 Fruit fly (Drosophila melanogaster)

SwissProt: P02304 Human

SwissProt: P62805 Human

SwissProt: P02304 Mouse

SwissProt: P62806 Mouse

SwissProt: P02304 Rat

SwissProt: P09322 Schizosaccharomyces pombe

Unigene: 21500 Fruit fly (Drosophila melanogaster)

Unigene: 29514 Fruit fly (Drosophila melanogaster)

Unigene: 29527 Fruit fly (Drosophila melanogaster)

Unigene: 30219 Fruit fly (Drosophila melanogaster)

Unigene: 30220 Fruit fly (Drosophila melanogaster)

Unigene: 30221 Fruit fly (Drosophila melanogaster)

Unigene: 30223 Fruit fly (Drosophila melanogaster)

Unigene: 30868 Fruit fly (Drosophila melanogaster)

Unigene: 30869 Fruit fly (Drosophila melanogaster)

Unigene: 30871 Fruit fly (Drosophila melanogaster)

Unigene: 30872 Fruit fly (Drosophila melanogaster)

Unigene: 30873 Fruit fly (Drosophila melanogaster)

Unigene: 30876 Fruit fly (Drosophila melanogaster)

Unigene: 33873 Fruit fly (Drosophila melanogaster)

Unigene: 5747 Fruit fly (Drosophila melanogaster)

Unigene: 143080 Human

Unigene: 247816 Human

Unigene: 248172 Human

Unigene: 248178 Human

Unigene: 248179 Human

Unigene: 278483 Human

Unigene: 352191 Human

Unigene: 46423 Human

Unigene: 528055 Human

Unigene: 533295 Human

Unigene: 55468 Human

Unigene: 591790 Human

Unigene: 655235 Human

Unigene: 662174 Human

Unigene: 706635 Human

Unigene: 742244 Human

Unigene: 14775 Mouse

Unigene: 158272 Mouse

Unigene: 227295 Mouse

Unigene: 228709 Mouse

Unigene: 246720 Mouse

Unigene: 255646 Mouse

Unigene: 260530 Mouse

Unigene: 261642 Mouse

Unigene: 261662 Mouse

Unigene: 261664 Mouse

Unigene: 377875 Mouse

Unigene: 442307 Mouse

Unigene: 486099 Mouse

Unigene: 489077 Mouse



产品图片
25 ug total protein per lane of various lysates (see on figure) probed with Histone H4 polyclonal antibody, unconjugated (bs-3826R) at 1:1000 dilution and 4°C overnight incubation. Followed by conjugated secondary antibody incubation at r.t. for 60 min.
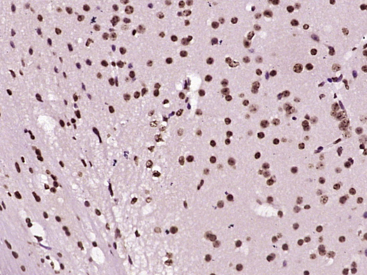
Paraformaldehyde-fixed, paraffin embedded Mouse Cerebrum; Antigen retrieval by boiling in sodium citrate buffer (pH6.0) for 15 min; Antibody incubation with Histone H4  Polyclonal Antibody, Unconjugated (bs-3826R) at 1:400 overnight at 4°C, followed by conjugation to the bs-0295G-HRP and DAB (C-0010) staining.
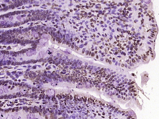
Paraformaldehyde-fixed, paraffin embedded Mouse Small Intestine; Antigen retrieval by boiling in sodium citrate buffer (pH6.0) for 15 min; Antibody incubation with Histone H4  Polyclonal Antibody, Unconjugated (bs-3826R) at 1:400 overnight at 4°C, followed by conjugation to the bs-0295G-HRP and DAB (C-0010) staining.
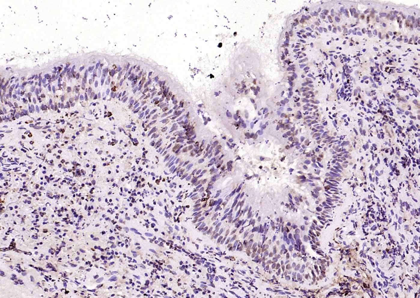
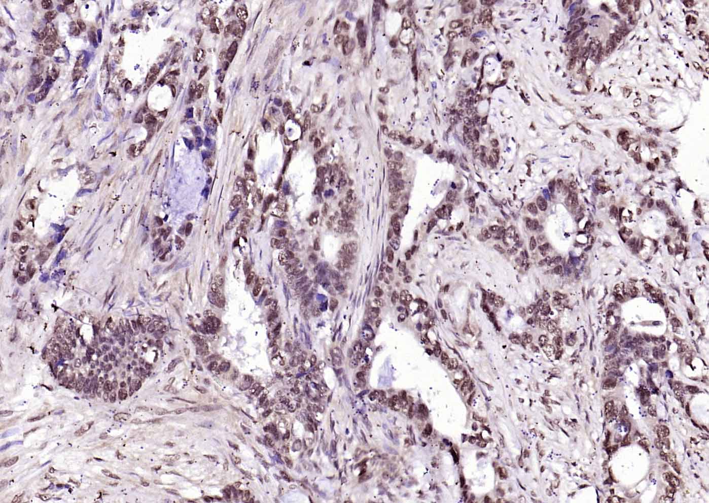
Paraformaldehyde-fixed, paraffin embedded Human Rectal Cancer; Antigen retrieval by boiling in sodium citrate buffer (pH6.0) for 15 min; Antibody incubation with Histone H4  Polyclonal Antibody, Unconjugated (bs-3826R) at 1:200 overnight at 4°C, followed by conjugation to the bs-0295G-HRP and DAB (C-0010) staining.
Paraformaldehyde-fixed, paraffin embedded Human Breast Cancer; Antigen retrieval by boiling in sodium citrate buffer (pH6.0) for 15 min; Antibody incubation with Histone H4  Polyclonal Antibody, Unconjugated (bs-3826R) at 1:200 overnight at 4°C, followed by conjugation to the bs-0295G-HRP and DAB (C-0010) staining.
Paraformaldehyde-fixed, paraffin embedded Human Colon Cancer; Antigen retrieval by boiling in sodium citrate buffer (pH6.0) for 15 min; Antibody incubation with Histone H4  Polyclonal Antibody, Unconjugated (bs-3826R) at 1:200 overnight at 4°C, followed by conjugation to the bs-0295G-HRP and DAB (C-0010) staining.
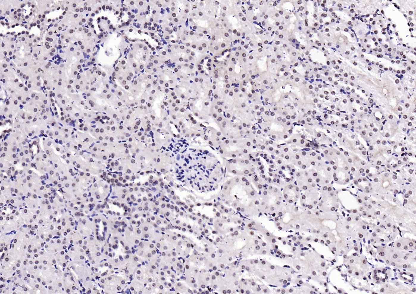
Paraformaldehyde-fixed, paraffin embedded Mouse Kidney; Antigen retrieval by boiling in sodium citrate buffer (pH6.0) for 15 min; Antibody incubation with Histone H4  Polyclonal Antibody, Unconjugated (bs-3826R) at 1:200 overnight at 4°C, followed by conjugation to the bs-0295G-HRP and DAB (C-0010) staining.
Paraformaldehyde-fixed, paraffin embedded Rat Kidney; Antigen retrieval by boiling in sodium citrate buffer (pH6.0) for 15 min; Antibody incubation with Histone H4  Polyclonal Antibody, Unconjugated (bs-3826R) at 1:200 overnight at 4°C, followed by conjugation to the bs-0295G-HRP and DAB (C-0010) staining.
Paraformaldehyde-fixed, paraffin embedded Rat Breast; Antigen retrieval by boiling in sodium citrate buffer (pH6.0) for 15 min; Antibody incubation with Histone H4  Polyclonal Antibody, Unconjugated (bs-3826R) at 1:200 overnight at 4°C, followed by conjugation to the bs-0295G-HRP and DAB (C-0010) staining.
Paraformaldehyde-fixed, paraffin embedded Mouse Spleen; Antigen retrieval by boiling in sodium citrate buffer (pH6.0) for 15 min; Antibody incubation with Histone H4  Polyclonal Antibody, Unconjugated (bs-3826R) at 1:200 overnight at 4°C, followed by conjugation to the bs-0295G-HRP and DAB (C-0010) staining.
Paraformaldehyde-fixed, paraffin embedded Rat Spleen; Antigen retrieval by boiling in sodium citrate buffer (pH6.0) for 15 min; Antibody incubation with Histone H4  Polyclonal Antibody, Unconjugated (bs-3826R) at 1:200 overnight at 4°C, followed by conjugation to the bs-0295G-HRP and DAB (C-0010) staining.
Paraformaldehyde-fixed, paraffin embedded Rat Colon; Antigen retrieval by boiling in sodium citrate buffer (pH6.0) for 15 min; Antibody incubation with Histone H4  Polyclonal Antibody, Unconjugated (bs-3826R) at 1:200 overnight at 4°C, followed by conjugation to the bs-0295G-HRP and DAB (C-0010) staining.
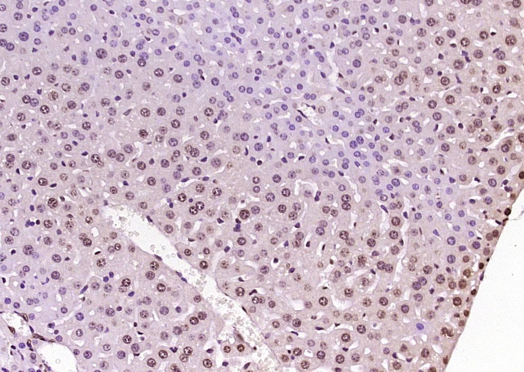
Paraformaldehyde-fixed, paraffin embedded Mouse Liver; Antigen retrieval by boiling in sodium citrate buffer (pH6.0) for 15 min; Antibody incubation with Histone H4  Polyclonal Antibody, Unconjugated (bs-3826R) at 1:400 overnight at 4°C, followed by conjugation to the bs-0295G-HRP and DAB (C-0010) staining.
Paraformaldehyde-fixed, paraffin embedded Rat Liver; Antigen retrieval by boiling in sodium citrate buffer (pH6.0) for 15 min; Antibody incubation with Histone H4  Polyclonal Antibody, Unconjugated (bs-3826R) at 1:200 overnight at 4°C, followed by conjugation to the bs-0295G-HRP and DAB (C-0010) staining.
Blank control(black line):NIH/3T3. Primary Antibody (green line): Rabbit Anti-Histone H4 antibody (bs-3826R) Dilution:1ug/Test; Secondary Antibody(white blue line): Goat anti-rabbit IgG-AF488 Dilution: 0.5ug/Test. Isotype control(orange line): Normal Rabbit IgG Protocol The cells were fixed with 4% PFA (10min at room temperature)and then permeabilized with 90% ice-cold methanol for 20 min at -20℃, The cells were then incubated in 5%BSA to block non-specific protein-protein interactions for 30 min at room temperature .Cells stained with Primary Antibody for 30 min at room temperature. The secondary antibody used for 40 min at room temperature. Acquisition of 20,000 events was performed.
Blank control(black line):Hela. Primary Antibody (green line): Rabbit Anti-IHistone H4 antibody (bs-3826R) Dilution:1ug/Test; Secondary Antibody : Goat anti-rabbit IgG-AF488 Dilution: 0.5ug/Test. Isotype control(orange line): Normal Rabbit IgG Protocol The cells were fixed with 4% PFA (10min at room temperature)and then permeabilized with 90% ice-cold methanol for 20 min at -20℃.The cells were then incubated in 5%BSA to block non-specific protein-protein interactions for 30 min at room temperature .Cells stained with Primary Antibody for 30 min at room temperature. The secondary antibody used for 40 min at room temperature. Acquisition of 20,000 events was performed.
版权所有 2004-2026 www.bioss.com.cn 北京博奥森生物技术有限公司
通过国际质量管理体系ISO 9001:2015 GB/T 19001-2016    证书编号: 00124Q34771R2M/1100
通过国际医疗器械-质量管理体系ISO 13485:2016 GB/T 42061-2022     证书编号: CQC24QY20047R0M/1100
京ICP备05066980号-1         京公网安备110107000727号