扫码关注公众号           扫码咨询技术支持           扫码咨询技术服务
  
客服热线:400-901-9800  客服QQ:4009019800  技术答疑  技术支持  质量反馈  关于我们  联系我们
产品中心-北京博奥森生物技术有限公司
首页 > 产品中心 > 一抗 > 产品信息
JMJD1B Rabbit pAb (bs-3824R)  
订购热线:400-901-9800
订购邮箱:sales@bioss.com.cn
订购QQ:  400-901-9800
技术支持:techsupport@bioss.com.cn
50ul/1180.00元
100ul/1980.00元
200ul/2800.00元
大包装/询价

产品编号 bs-3824R
英文名称 JMJD1B Rabbit pAb
中文名称 组蛋白去甲基转移酶JMJD1B抗体
别    名 5qNCA; C5orf7; DIJOS; JMJD1B; NET22; 5830462I21Rik; JHDM2B; mKIAA1082; KDM3B_HUMAN; KDM3B; JmjC domain-containing histone demethylation protein 2B; Jumonji domain-containing protein 1B; Nuclear protein 5qNCA; [histone H3]-dimethyl-L-lysine(9) demethylase   
研究领域 肿瘤  免疫学  转录调节因子  
抗体来源 Rabbit
克隆类型 Polyclonal
克 隆 号
交叉反应 Human,Mouse,Rat (predicted: Rabbit,Pig,Cow,Dog)
产品应用 IHC-P=1:100-500,IHC-F=1:100-500,IF=1:100-500
not yet tested in other applications.
optimal dilutions/concentrations should be determined by the end user.
理论分子量 190 kDa
细胞定位 细胞核 
性    状 Liquid
浓    度 1mg/ml
免 疫 原 KLH conjugated synthetic peptide derived from human JMJD1B: 1601-1761/1761 
亚    型 IgG
纯化方法 affinity purified by Protein A
缓 冲 液 0.01M TBS (pH7.4) with 1% BSA, 0.02% Proclin300 and 50% Glycerol.
保存条件 Shipped at 4℃. Store at -20℃ for one year. Avoid repeated freeze/thaw cycles.
注意事项 This product as supplied is intended for research use only, not for use in human, therapeutic or diagnostic applications.
PubMed PubMed
产品介绍 JMJD1B (jumonji domain containing 1B), also known as KDM3B, 5qNCA (5q Nuclear Co-Activator) or C5orf7, is a member of the JHDM2 histone demethylase family of proteins. Expressed in a wide variety of tissues, JMJD1B localizes to the nucleus and contains one JMJC domain and a C-terminal zinc finger motif. JMJD1B functions as a histone demethylase and, using iron as a cofactor, demethylates lysine-9 of Histone H3. This suggests that JMJD1B plays a central role in the histone code. The gene encoding human JMJD1B is located within the 5q region of the genome that is often deleted in myeloid leukemias and myelodysplasias. This implies that JMJD1B may function as a tumor suppressor of myeloid leukemia. Eptopic expression of JMJD1B exhibits growth suppressive activities, further supporting a role for JMJD1B in tumor suppression.

Function:
Histone demethylase that specifically demethylates 'Lys-9' of histone H3, thereby playing a central role in histone code. Demethylation of Lys residue generates formaldehyde and succinate. May have tumor suppressor activity.

Subcellular Location:
Nucleus.

Tissue Specificity:
Ubiquitous. Highly expressed in placenta, skeletal muscle, kidney, heart and liver.

Similarity:
Belongs to the JHDM2 histone demethylase family.
Contains 1 JmjC domain.

SWISS:
Q7LBC6

Gene ID:
51780

Database links:

Entrez Gene: 51780 Human

Entrez Gene: 277250 Mouse

Omim: 609373 Human

SwissProt: Q7LBC6 Human

SwissProt: Q6ZPY7 Mouse

Unigene: 483486 Human

Unigene: 479894 Mouse



产品图片
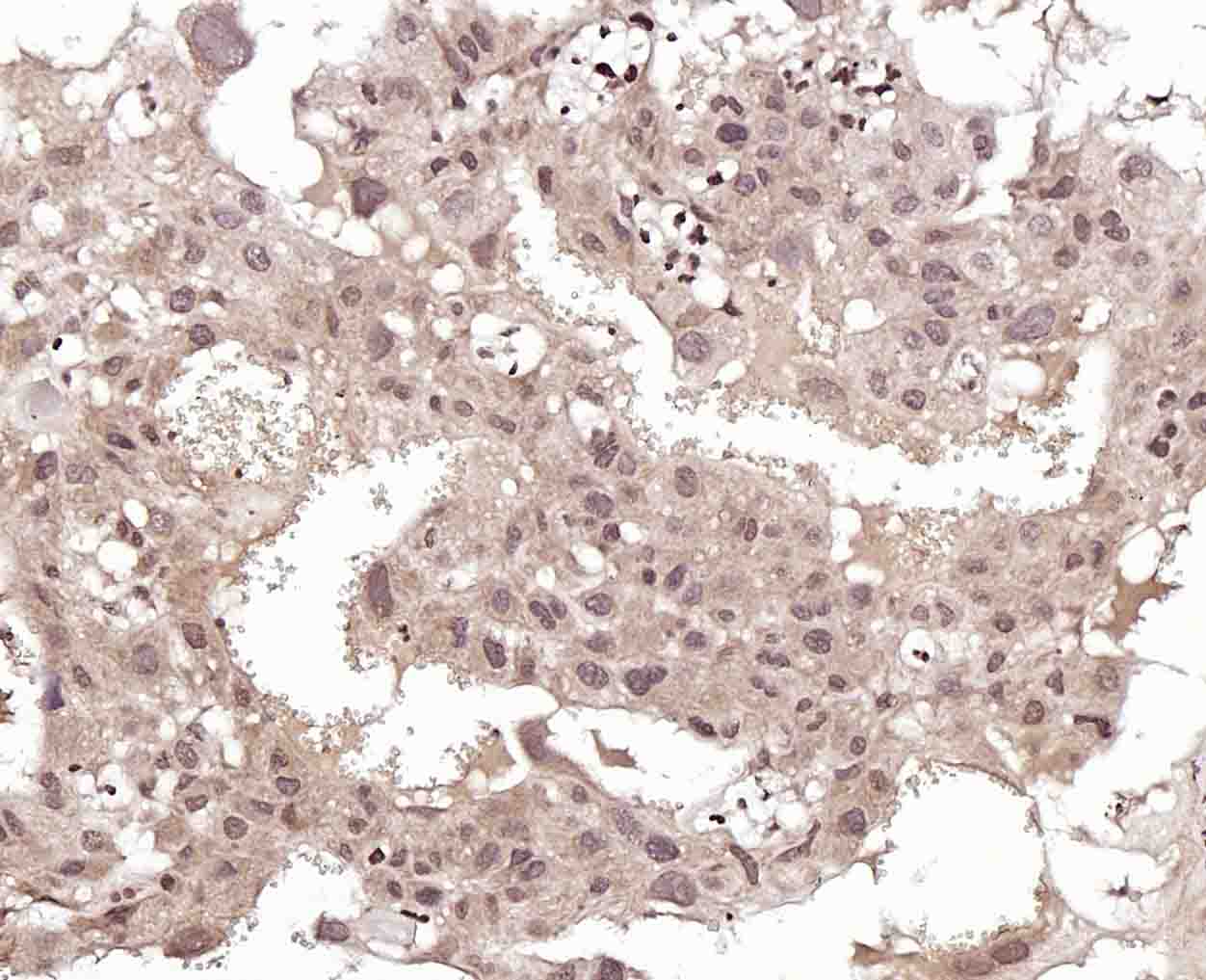
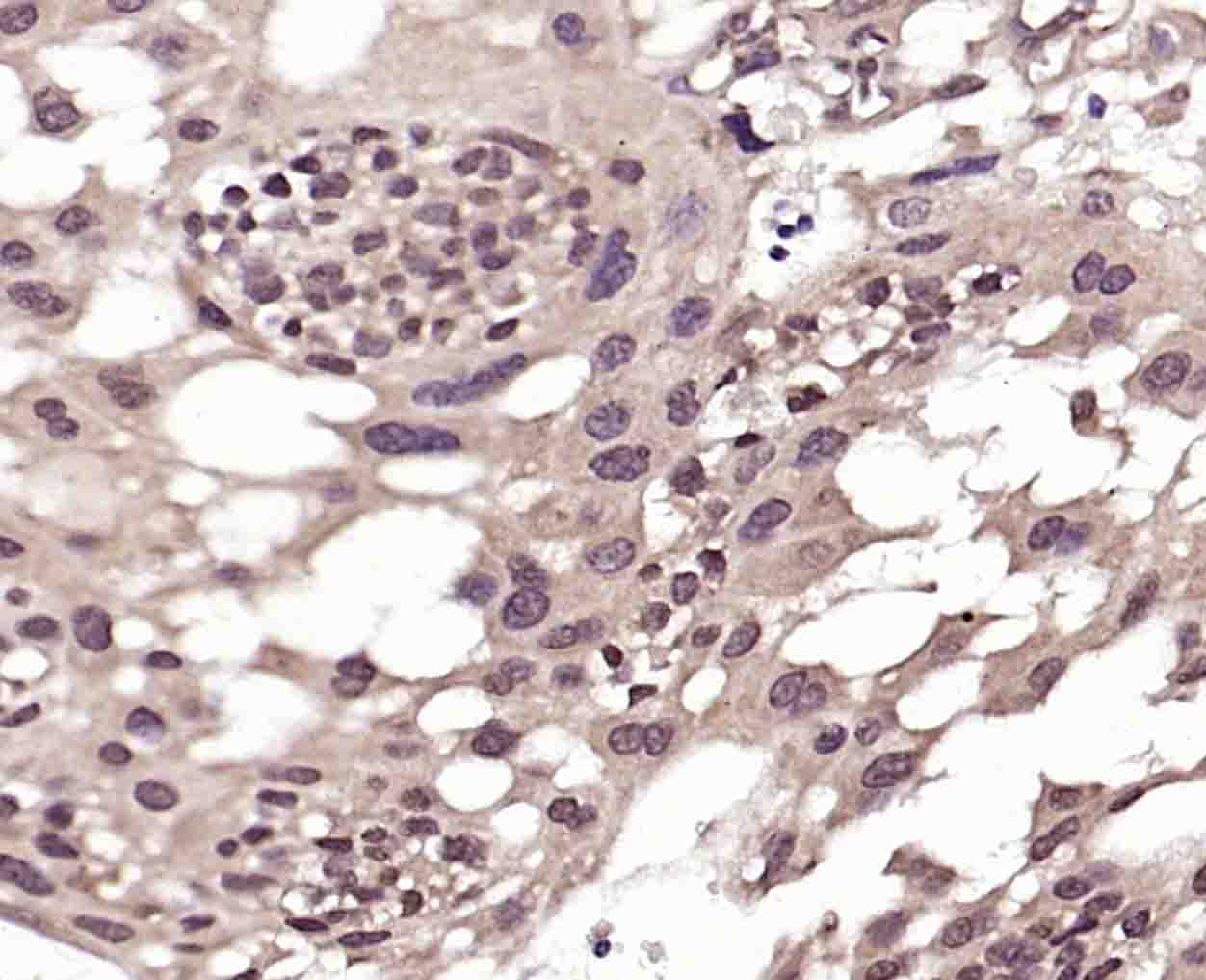
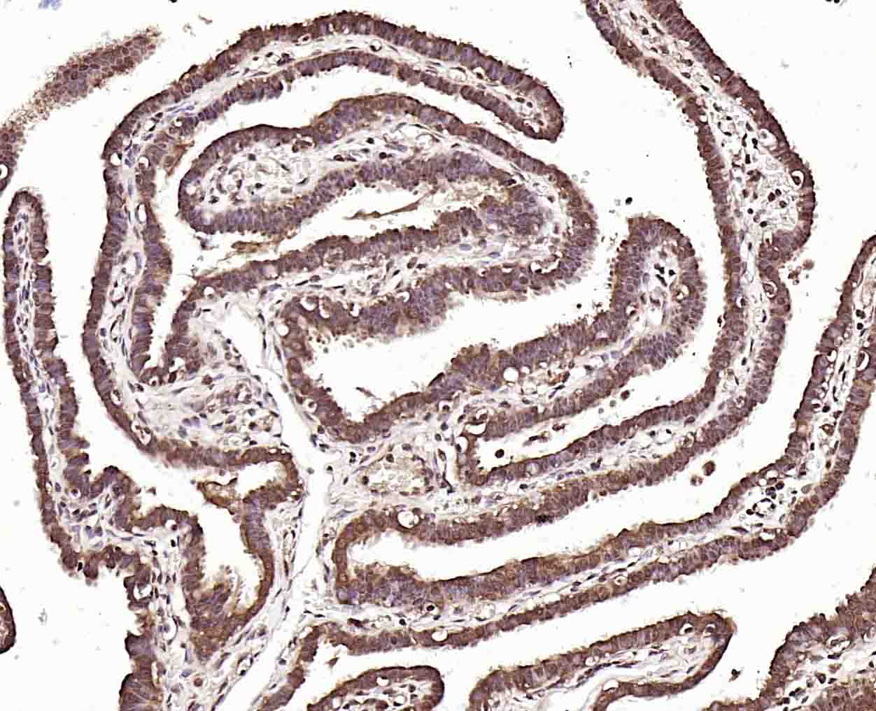
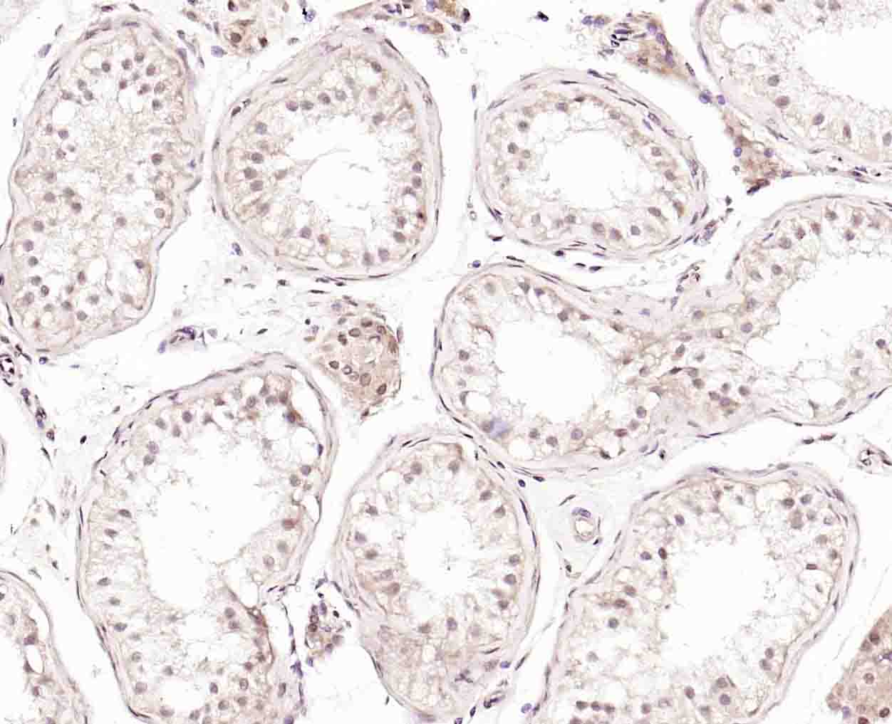
Paraformaldehyde-fixed, paraffin embedded (human Fallopian tube); Antigen retrieval by boiling in sodium citrate buffer (pH6.0) for 15min; Block endogenous peroxidase by 3% hydrogen peroxide for 20 minutes; Blocking buffer (normal goat serum) at 37°C for 30min; Incubation with (JMJD1B) Polyclonal Antibody, Unconjugated (bs-3824R) at 1:200 overnight at 4°C, followed by operating according to SP Kit(Rabbit) (sp-0023) instructionsand DAB staining.
Paraformaldehyde-fixed, paraffin embedded (rat placenta); Antigen retrieval by boiling in sodium citrate buffer (pH6.0) for 15min; Block endogenous peroxidase by 3% hydrogen peroxide for 20 minutes; Blocking buffer (normal goat serum) at 37°C for 30min; Incubation with (JMJD1B) Polyclonal Antibody, Unconjugated (bs-3824R) at 1:200 overnight at 4°C, followed by operating according to SP Kit(Rabbit) (sp-0023) instructionsand DAB staining.
Paraformaldehyde-fixed, paraffin embedded (mouse placenta); Antigen retrieval by boiling in sodium citrate buffer (pH6.0) for 15min; Block endogenous peroxidase by 3% hydrogen peroxide for 20 minutes; Blocking buffer (normal goat serum) at 37°C for 30min; Incubation with (JMJD1B) Polyclonal Antibody, Unconjugated (bs-3824R) at 1:200 overnight at 4°C, followed by operating according to SP Kit(Rabbit) (sp-0023) instructionsand DAB staining.
Paraformaldehyde-fixed, paraffin embedded (mouse testis); Antigen retrieval by boiling in sodium citrate buffer (pH6.0) for 15min; Block endogenous peroxidase by 3% hydrogen peroxide for 20 minutes; Blocking buffer (normal goat serum) at 37°C for 30min; Incubation with (JMJD1B) Polyclonal Antibody, Unconjugated (bs-3824R) at 1:200 overnight at 4°C, followed by operating according to SP Kit(Rabbit) (sp-0023) instructionsand DAB staining.
Paraformaldehyde-fixed, paraffin embedded (human testis); Antigen retrieval by boiling in sodium citrate buffer (pH6.0) for 15min; Block endogenous peroxidase by 3% hydrogen peroxide for 20 minutes; Blocking buffer (normal goat serum) at 37°C for 30min; Incubation with (JMJD1B) Polyclonal Antibody, Unconjugated (bs-3824R) at 1:200 overnight at 4°C, followed by operating according to SP Kit(Rabbit) (sp-0023) instructionsand DAB staining.
Paraformaldehyde-fixed, paraffin embedded (rat testis); Antigen retrieval by boiling in sodium citrate buffer (pH6.0) for 15min; Block endogenous peroxidase by 3% hydrogen peroxide for 20 minutes; Blocking buffer (normal goat serum) at 37°C for 30min; Incubation with (JMJD1B) Polyclonal Antibody, Unconjugated (bs-3824R) at 1:200 overnight at 4°C, followed by operating according to SP Kit(Rabbit) (sp-0023) instructionsand DAB staining.
Paraformaldehyde-fixed, paraffin embedded (Rat brain); Antigen retrieval by boiling in sodium citrate buffer (pH6.0) for 15min; Block endogenous peroxidase by 3% hydrogen peroxide for 20 minutes; Blocking buffer (normal goat serum) at 37°C for 30min; Antibody incubation with (JMJD1B) Polyclonal Antibody, Unconjugated (bs-3824R) at 1:400 overnight at 4°C, followed by operating according to SP Kit(Rabbit) (sp-0023) instructionsand DAB staining.
版权所有 2004-2026 www.bioss.com.cn 北京博奥森生物技术有限公司
通过国际质量管理体系ISO 9001:2015 GB/T 19001-2016    证书编号: 00124Q34771R2M/1100
通过国际医疗器械-质量管理体系ISO 13485:2016 GB/T 42061-2022     证书编号: CQC24QY20047R0M/1100
京ICP备05066980号-1         京公网安备110107000727号