扫码关注公众号           扫码咨询技术支持           扫码咨询技术服务
  
客服热线:400-901-9800  客服QQ:4009019800  技术答疑  技术支持  质量反馈  关于我们  联系我们
产品中心-北京博奥森生物技术有限公司
首页 > 产品中心 > 一抗 > 产品信息
E2EPF Rabbit pAb (bs-2305R)  
订购热线:400-901-9800
订购邮箱:sales@bioss.com.cn
订购QQ:  400-901-9800
技术支持:techsupport@bioss.com.cn
50ul/1180.00元
100ul/1980.00元
200ul/2800.00元
大包装/询价

产品编号 bs-2305R
英文名称 E2EPF Rabbit pAb
中文名称 泛素交联酶抗体
别    名 E2-EPF; E2EPF; EPF5; 0910001J09Rik; 6720465F12Rik; RGD1564746; UBE2S_BOVIN; UBE2S; E2 ubiquitin-conjugating enzyme S; Ubiquitin carrier protein S; Ubiquitin-protein ligase S; 2.3.2.23; UBE2S_HUMAN; Ubiquitin-conjugating enzyme E2-24 kDa; Ubiquitin-conjuga  
研究领域 免疫学  转录调节因子  
抗体来源 Rabbit
克隆类型 Polyclonal
克 隆 号
交叉反应 Rat (predicted: Human,Mouse,Rabbit,Pig,Cow,Dog,Horse)
产品应用 IHC-P=1:100-500,IHC-F=1:100-500,IF=1:100-500
not yet tested in other applications.
optimal dilutions/concentrations should be determined by the end user.
理论分子量 24 kDa
细胞定位 细胞核 细胞浆 
性    状 Liquid
浓    度 1mg/ml
免 疫 原 KLH conjugated synthetic peptide derived from human E2EPF: LL(p-T)EI 
亚    型 IgG
纯化方法 affinity purified by Protein A
缓 冲 液 0.01M TBS (pH7.4) with 1% BSA, 0.02% Proclin300 and 50% Glycerol.
保存条件 Shipped at 4℃. Store at -20℃ for one year. Avoid repeated freeze/thaw cycles.
注意事项 This product as supplied is intended for research use only, not for use in human, therapeutic or diagnostic applications.
PubMed PubMed
产品介绍 This gene encodes a member of the ubiquitin-conjugating enzyme family. The encoded protein is able to form a thiol ester linkage with ubiquitin in a ubiquitin activating enzyme-dependent manner, a characteristic property of ubiquitin carrier proteins. [provided by RefSeq, Jul 2008]

Function:
Accepts ubiquitin from the E1 complex and catalyzes its covalent attachment to other proteins. Catalyzes 'Lys-11'-linked polyubiquitination. Acts as an essential factor of the anaphase promoting complex/cyclosome (APC/C), a cell cycle-regulated ubiquitin ligase that controls progression through mitosis. Acts by specifically elongating 'Lys-11'-linked polyubiquitin chains initiated by the E2 enzyme UBE2C/UBCH10 on APC/C substrates, enhancing the degradation of APC/C substrates by the proteasome and promoting mitotic exit. Also acts by elongating ubiquitin chains initiated by the E2 enzyme UBE2D1/UBCH5 in vitro; it is however unclear whether UBE2D1/UBCH5 acts as a E2 enzyme for the APC/C in vivo. Also involved in ubiquitination and subsequent degradation of VHL, resulting in an accumulation of HIF1A. In vitro able to promote polyubiquitination using all 7 ubiquitin Lys residues, except 'Lys-48'-linked polyubiquitination.

Subunit:
Component of the APC/C complex. Interacts with CDC20, FZR1/CDH1 and VHL.

Post-translational modifications:
Autoubiquitinated by the APC/C complex during G1, leading to its degradation by the proteasome.

Similarity:
Belongs to the ubiquitin-conjugating enzyme family.

SWISS:
Q16763

Gene ID:
27338

Database links:

Entrez Gene: 617703 Cow

Entrez Gene: 27338 Human

Entrez Gene: 77891 Mouse

Entrez Gene: 292588 Rat

GenBank: NP_055316.2 Human

Omim: 610309 Human

SwissProt: Q1RML1 Cow

SwissProt: Q16763 Human

SwissProt: Q921J4 Mouse

SwissProt: B5DFI8 Rat

Unigene: 396393 Human

Unigene: 389787 Mouse

Unigene: 120398 Rat



产品图片
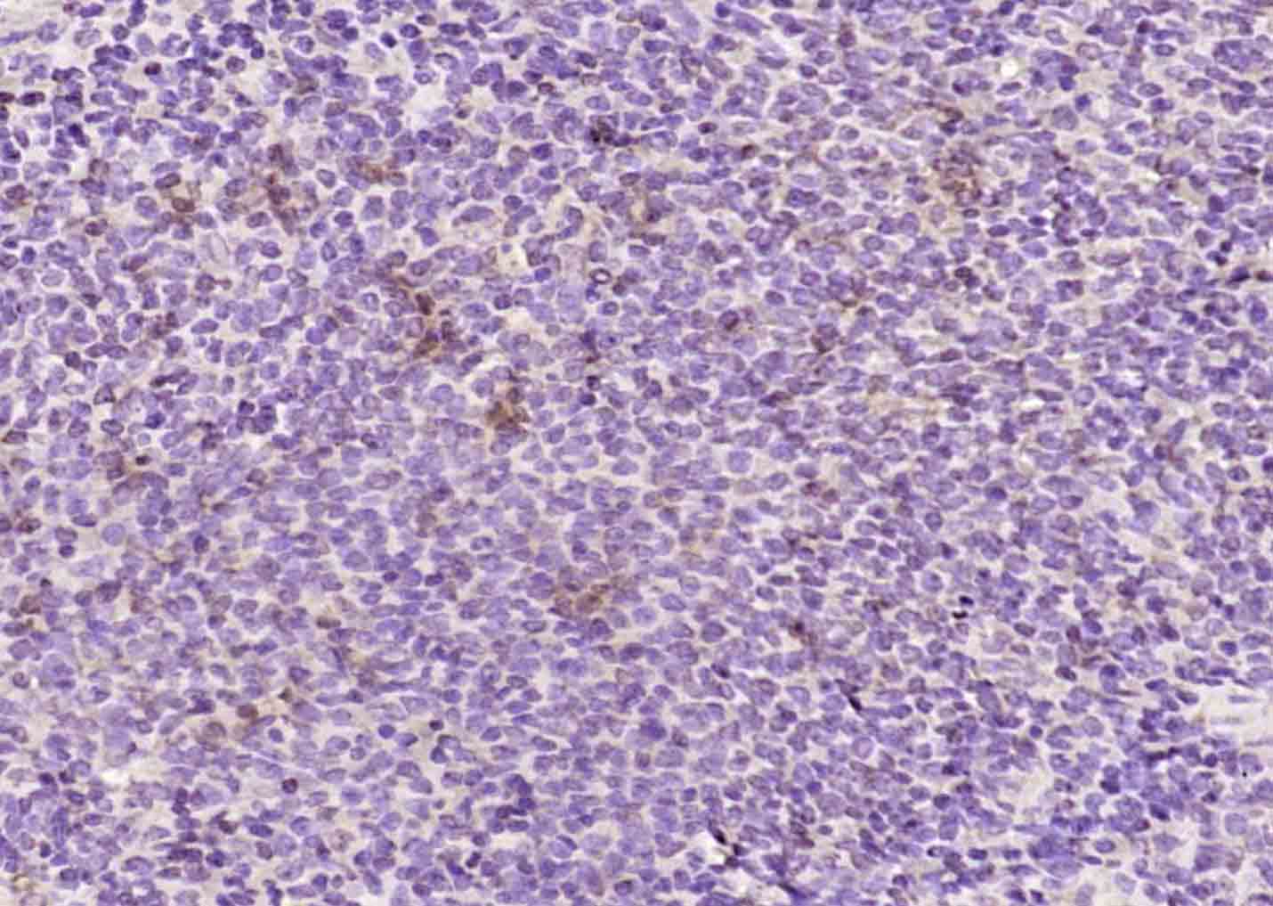
Paraformaldehyde-fixed, paraffin embedded (rat spleen); Antigen retrieval by boiling in sodium citrate buffer (pH6.0) for 15min; Block endogenous peroxidase by 3% hydrogen peroxide for 20 minutes; Blocking buffer (normal goat serum) at 37°C for 30min; Antibody incubation with (E2EPF) Polyclonal Antibody, Unconjugated (bs-2305R) at 1:200 overnight at 4°C, followed by operating according to SP Kit(Rabbit) (sp-0023) instructionsand DAB staining.
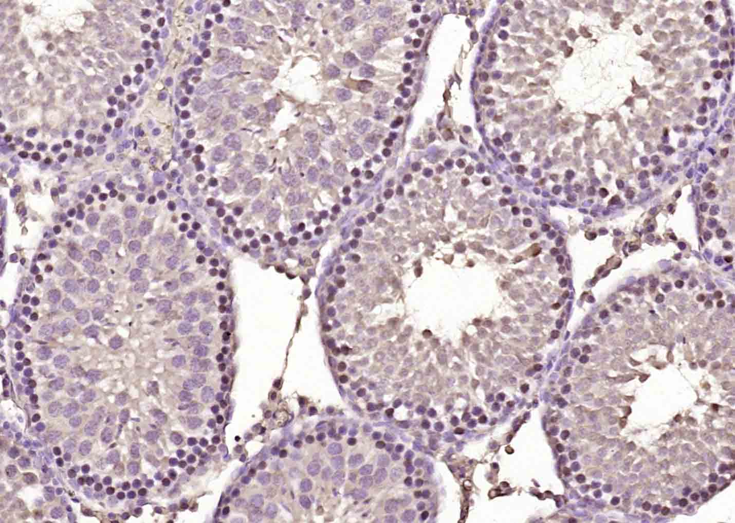
Paraformaldehyde-fixed, paraffin embedded (rat testis); Antigen retrieval by boiling in sodium citrate buffer (pH6.0) for 15min; Block endogenous peroxidase by 3% hydrogen peroxide for 20 minutes; Blocking buffer (normal goat serum) at 37°C for 30min; Antibody incubation with (E2EPF) Polyclonal Antibody, Unconjugated (bs-2305R) at 1:200 overnight at 4°C, followed by operating according to SP Kit(Rabbit) (sp-0023) instructionsand DAB staining.
版权所有 2004-2026 www.bioss.com.cn 北京博奥森生物技术有限公司
通过国际质量管理体系ISO 9001:2015 GB/T 19001-2016    证书编号: 00124Q34771R2M/1100
通过国际医疗器械-质量管理体系ISO 13485:2016 GB/T 42061-2022     证书编号: CQC24QY20047R0M/1100
京ICP备05066980号-1         京公网安备110107000727号