扫码关注公众号           扫码咨询技术支持           扫码咨询技术服务
  
客服热线:400-901-9800  客服QQ:4009019800  技术答疑  技术支持  质量反馈  人才招聘  关于我们  联系我们
产品中心-北京博奥森生物技术有限公司
首页 > 产品中心 > 一抗 > 产品信息
ANO1/DOG1 Rabbit pAb (bs-3794R)  
订购热线:400-901-9800
订购邮箱:sales@bioss.com.cn
订购QQ:  400-901-9800
技术支持:techsupport@bioss.com.cn
50ul/1180.00元
100ul/1980.00元
200ul/2800.00元
大包装/询价

产品编号 bs-3794R
英文名称 ANO1/DOG1 Rabbit pAb
中文名称 跨膜蛋白16A/钙激活氯离子通道抗体
别    名 DOG1; INDMS; MYMY7; ORAOV2; TAOS2; TMEM16A; ANO1_HUMAN; ANO1; Discovered on gastrointestinal stromal tumors protein 1; Oral cancer overexpressed protein 2; Transmembrane protein 16A; Tumor-amplified and overexpressed sequence 2; ANO1_MOUSE;   
研究领域 肿瘤  细胞生物  免疫学  
抗体来源 Rabbit
克隆类型 Polyclonal
克 隆 号
交叉反应 Human,Mouse,Rat (predicted: Pig,Cow,Dog,Horse)
产品应用 WB=1:500-2000,IHC-P=1:100-500,IHC-F=1:100-500,IF=1:100-500
not yet tested in other applications.
optimal dilutions/concentrations should be determined by the end user.
理论分子量 114 kDa
检测分子量 120
细胞定位 细胞浆 细胞膜 
性    状 Liquid
浓    度 1mg/ml
免 疫 原 KLH conjugated synthetic peptide derived from human DOG-1/TMEM16A: 151-250/986 
亚    型 IgG
纯化方法 affinity purified by Protein A
缓 冲 液 0.01M TBS (pH7.4) with 1% BSA, 0.02% Proclin300 and 50% Glycerol.
保存条件 Shipped at 4℃. Store at -20℃ for one year. Avoid repeated freeze/thaw cycles.
注意事项 This product as supplied is intended for research use only, not for use in human, therapeutic or diagnostic applications.
PubMed PubMed
产品介绍 TMEM16A (Transmembrane protein 16A) is an eight-transmembrane protein homologous to C12orf3, C11orf25 and FLJ34272 gene products and is amplified in various cancers. It acts as a calcium-activated chloride channel and is required for normal tracheal development.

Function:
Acts as a calcium-activated chloride channel. Required for normal tracheal development (By similarity).

Subcellular Location:
Cell membrane; Multi-pass membrane protein. Cytoplasm.

Tissue Specificity:
Broadly expressed with higher levels in liver and skeletal muscle.

Similarity:
Belongs to the anoctamin family.

SWISS:
Q5XXA6

Gene ID:
55107

Database links:

Entrez Gene: 55107 Human

Entrez Gene: 101772 Mouse

Entrez Gene: 309135 Rat

Omim: 610108 Human

SwissProt: Q5XXA6 Human

SwissProt: Q8BHY3 Mouse

Unigene: 503074 Human

Unigene: 26700 Mouse

Unigene: 162509 Rat



产品图片
Sample: Lane 1: Skeletal muscle (Mouse) Lysate at 40 ug Lane 2: Skeletal muscle (Rat) Lysate at 40 ug Lane 3: HepG2 (Human) Cell Lysate at 30 ug Lane 4: A673 (Human) Cell Lysate at 30 ug Lane 5: U-2OS (Human) Cell Lysate at 30 ug Lane 6: MKN45 (Human) Cell Lysate at 30 ug Primary: Anti-ANO1/TMEM16A (bs-3794R) at 1/1000 dilution Secondary: IRDye800CW Goat Anti-Rabbit IgG at 1/20000 dilution Predicted band size: 114-120 kD Observed band size: 120 kD
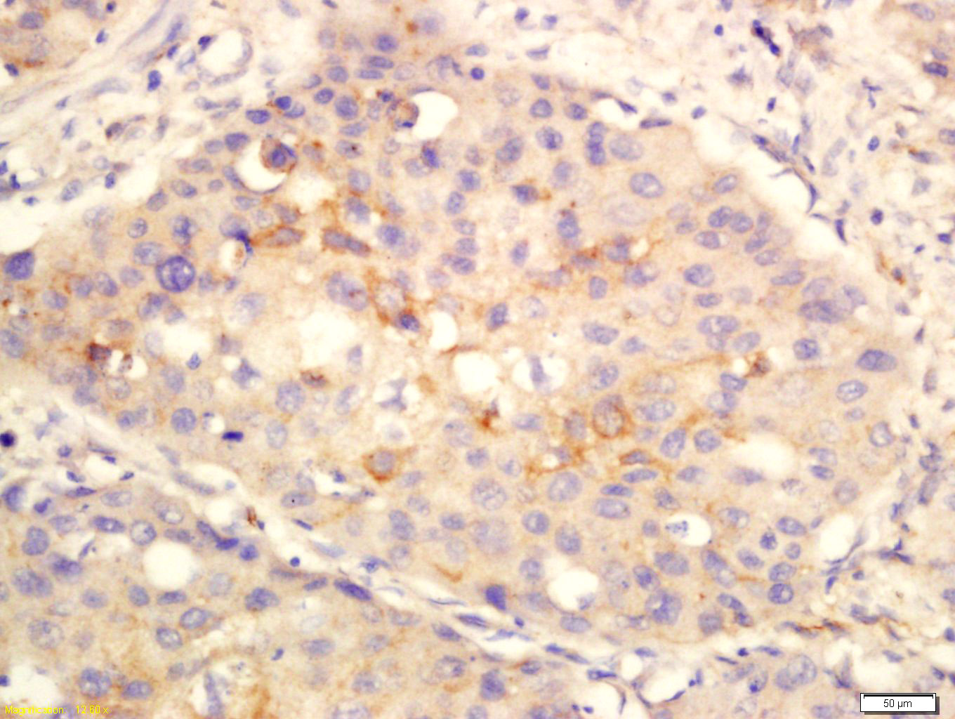
Tissue/cell: human lung carcinoma; 4% Paraformaldehyde-fixed and paraffin-embedded; Antigen retrieval: citrate buffer ( 0.01M, pH 6.0 ), Boiling bathing for 15min; Block endogenous peroxidase by 3% Hydrogen peroxide for 30min; Blocking buffer (normal goat serum,C-0005) at 37℃ for 20 min; Incubation: Anti-TMEM16A Polyclonal Antibody, Unconjugated(bs-3794R) 1:200, overnight at 4°C, followed by conjugation to the secondary antibody(SP-0023) and DAB(C-0010) staining
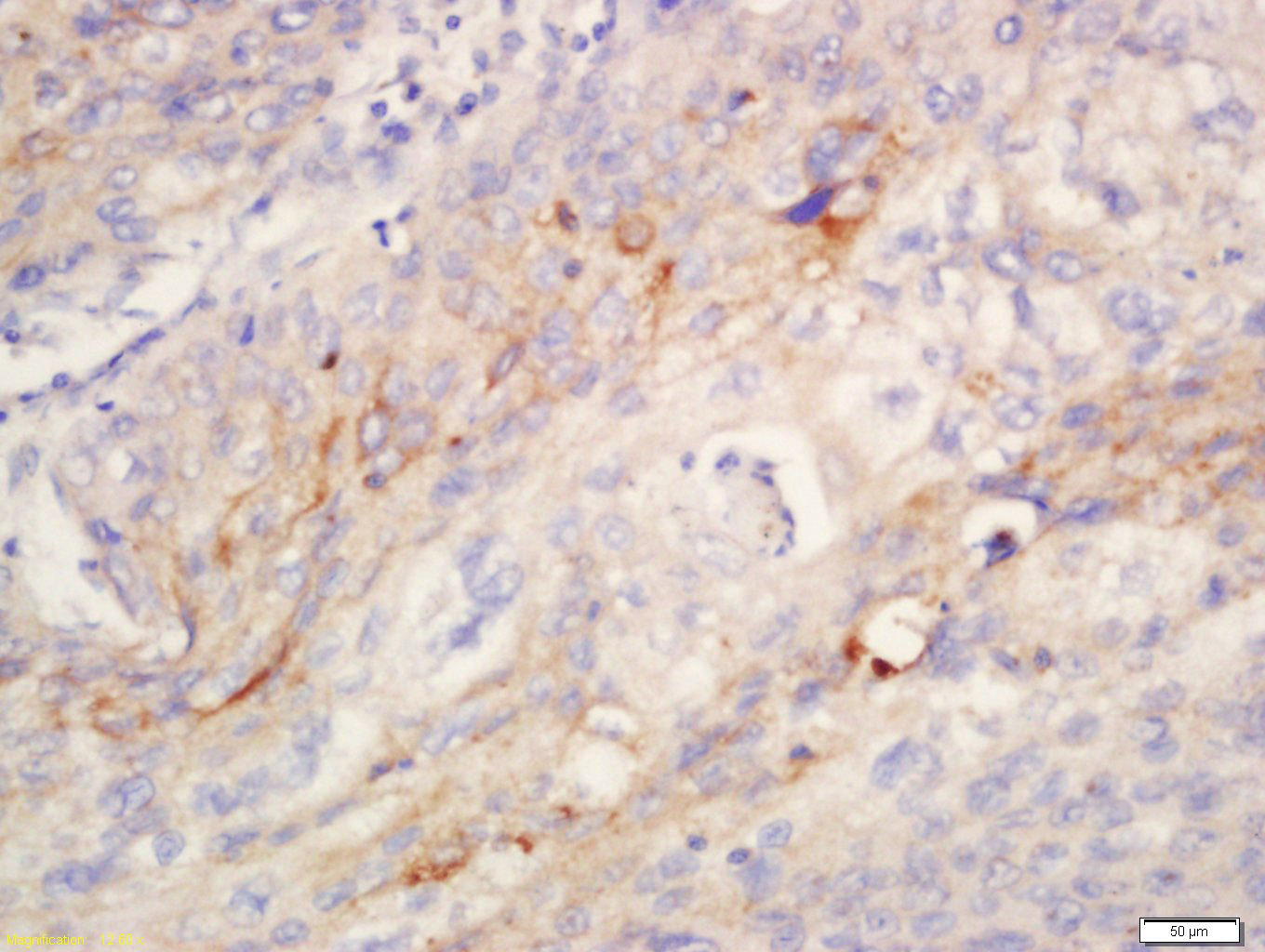
Tissue/cell: Human lung cancer tissue; 4% Paraformaldehyde-fixed and paraffin-embedded; Antigen retrieval: citrate buffer ( 0.01M, pH 6.0 ), Boiling bathing for 15min; Block endogenous peroxidase by 3% Hydrogen peroxide for 30min; Blocking buffer (normal goat serum,C-0005) at 37℃ for 20 min; Incubation: Anti-TMEM16A Polyclonal Antibody, Unconjugated(bs-3794R) 1:200, overnight at 4°C, followed by conjugation to the secondary antibody(SP-0023) and DAB(C-0010) staining
版权所有 2004-2026 www.bioss.com.cn 北京博奥森生物技术有限公司
通过国际质量管理体系ISO 9001:2015 GB/T 19001-2016    证书编号: 00124Q34771R2M/1100
通过国际医疗器械-质量管理体系ISO 13485:2016 GB/T 42061-2022     证书编号: CQC24QY20047R0M/1100
京ICP备05066980号-1         京公网安备110107000727号