扫码关注公众号           扫码咨询技术支持           扫码咨询技术服务
  
客服热线:400-901-9800  客服QQ:4009019800  技术答疑  技术支持  质量反馈  关于我们  联系我们
产品中心-北京博奥森生物技术有限公司
首页 > 产品中心 > 一抗 > 产品信息
HSF1 Rabbit pAb (bs-3757R)  
订购热线:400-901-9800
订购邮箱:sales@bioss.com.cn
订购QQ:  400-901-9800
技术支持:techsupport@bioss.com.cn
50ul/1180.00元
100ul/1980.00元
200ul/2800.00元
大包装/询价

产品编号 bs-3757R
英文名称 HSF1 Rabbit pAb
中文名称 热休克因子1抗体
别    名 HSTF1; HSTF; HSTF 1; Hsf1alpha; Hsf1beta; HSF1_HUMAN; HSF1; HSF 1; Heat shock transcription factor 1 (HSTF 1); HSF1_MOUSE;   
Specific References  (2)     |     bs-3757R has been referenced in 2 publications.
[IF=9.918] Daijun Zhou. et al. An injectable miR181a-IFI6 nanoparticles promote high-quality healing of radiation-induced skin injury. MATER TODAY ADV. 2022 Aug;15:100267  IHC, WB ;  Mouse.  
[IF=2.38] Zhang, Beiru, et al. "HSF1 Relieves Amyloid-β-Induced Cardiomyocytes Apoptosis." Cell Biochemistry and Biophysics (2015): 1-9.  WB ;  Rat.  
研究领域 肿瘤  细胞生物  免疫学  信号转导  细胞凋亡  转录调节因子  
抗体来源 Rabbit
克隆类型 Polyclonal
克 隆 号
交叉反应 Human,Mouse,Rat (predicted: Rabbit,Pig,Cow,Dog)
产品应用 IHC-P=1:100-500,IHC-F=1:100-500,IF=1:100-500,ICC/IF=1:50-200
not yet tested in other applications.
optimal dilutions/concentrations should be determined by the end user.
理论分子量 57 kDa
细胞定位 细胞核 细胞浆 
性    状 Liquid
浓    度 1mg/ml
免 疫 原 KLH conjugated synthetic peptide derived from human HSF1: 351-450/529 
亚    型 IgG
纯化方法 affinity purified by Protein A
缓 冲 液 0.01M TBS (pH7.4) with 1% BSA, 0.02% Proclin300 and 50% Glycerol.
保存条件 Shipped at 4℃. Store at -20℃ for one year. Avoid repeated freeze/thaw cycles.
注意事项 This product as supplied is intended for research use only, not for use in human, therapeutic or diagnostic applications.
PubMed PubMed
产品介绍 The product of this gene is a heat-shock transcription factor. Transcription of heat-shock genes is rapidly induced after temperature stress. Hsp90, by itself and/or associated with multichaperone complexes, is a major repressor of this gene. [provided by RefSeq, Jul 2008].

Function:
DNA-binding protein that specifically binds heat shockpromoter elements (HSE) and activates transcription. In highereukaryotes, HSF is unable to bind to the HSE unless the cells areheat shocked.

Subunit:
Monomer. Under normal conditions, interacts with HSP90AA1in the HSP90 multichaperone complex; the interaction preventstrimerization and activation of HSF1. On activation by heat-stressor by other factors such as metal ions, HSF1 is released from thecomplex, homotrimerizes, is hyperphosphorylated and translocated tothe nucleus where, subsequently, it can activate transcription.Binds the complex through the regulatory domain. Interacts withSYMPK and CSTF2 in heat-stressed cells. Interacts with FKBP4 in theHSP90 multichaperone complex; the interaction is independent of thephosphorylation state of HSF1. Interacts with MAPKAPK2.

Subcellular Location:
Cytoplasm. Nucleus. Note=Cytoplasmic duringnormal growth. On activation, translocates to nuclear stressgranules. Colocalizes with SUMO1 in nuclear stress granules.

Tissue Specificity:
Phosphorylated on multiple serine residues, a subset of whichare involved in stress-related regulation of transcriptionactivation. Constitutive phosphorylation represses transcriptionalactivity at normal temperatures. Levels increase on specificresidues heat-shock and enhance HSF1 transactivation activity.Phosphorylation on Ser-307 derepresses activation on heat-stressand in combination with Ser-303 phosphorylation appears to beinvolved in recovery after heat-stress. Phosphorylated on Ser-230by CAMK2, in vitro. Cadmium also enhances phosphorylation at thissite. Phosphorylation on Ser-303 is a prerequisite for HSF1sumoylation. Phosphorylation on Ser-121 inhibits transactivationand promotes HSP90 binding. Phosphorylation on Thr-142 alsomediates transcriptional activity induced by heat.
Sumoylated with SUMO1 and SUMO2 on heat-shock. Heat-induciblesumoylation occurs after 15 min of heat-shock, after which levelsdecrease and at 4 hours, levels return to control levels.Sumoylation has no effect on HSE binding nor on transcriptionalactivity. Phosphorylation on Ser-303 is a prerequisite forsumoylation.

Similarity:
Belongs to the HSF family.

SWISS:
Q00613

Gene ID:
3297

Database links:

Entrez Gene: 3297 Human

Entrez Gene: 15499 Mouse

Entrez Gene: 79245 Rat

Omim: 140580 Human

SwissProt: Q00613 Human

SwissProt: P38532 Mouse

Unigene: 530227 Human

Unigene: 347444 Mouse



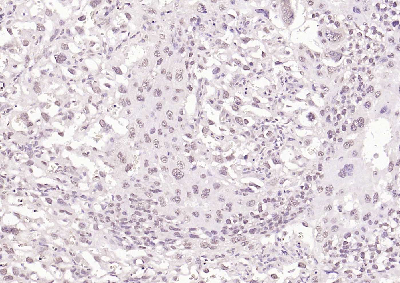
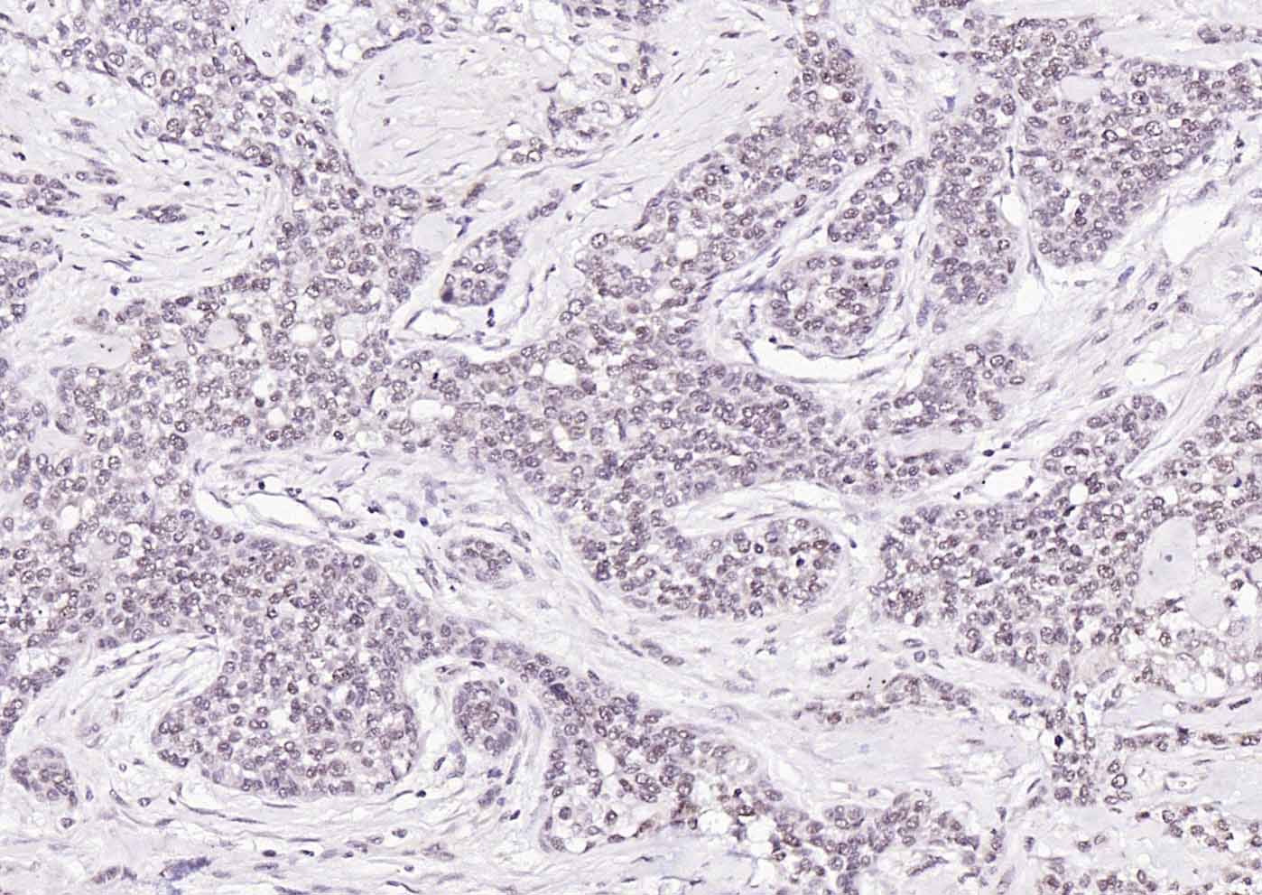
产品图片
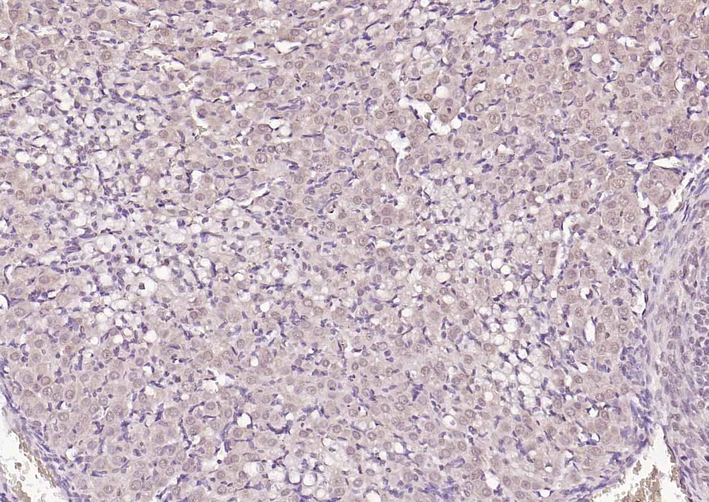
Paraformaldehyde-fixed, paraffin embedded (human breast carcinoma); Antigen retrieval by boiling in sodium citrate buffer (pH6.0) for 15min; Block endogenous peroxidase by 3% hydrogen peroxide for 20 minutes; Blocking buffer (normal goat serum) at 37°C for 30min; Incubation with (HSF1) Polyclonal Antibody, Unconjugated (bs-3757R) at 1:200 overnight at 4°C, followed by operating according to SP Kit(Rabbit) (sp-0023) instructionsand DAB staining.
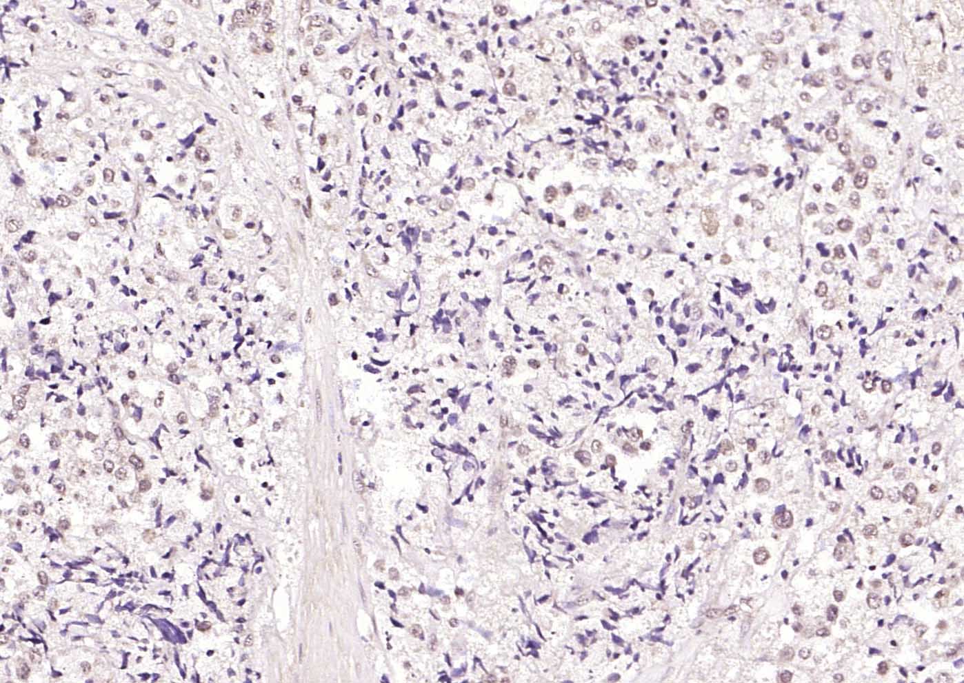
Paraformaldehyde-fixed, paraffin embedded (Human Prostate Tumor); Antigen retrieval by boiling in sodium citrate buffer (pH6.0) for 15min; Block endogenous peroxidase by 3% hydrogen peroxide for 20 minutes; Blocking buffer (normal goat serum) at 37°C for 30min; Incubation with (HSF1) Polyclonal Antibody, Unconjugated (bs-3757R) at 1:200 overnight at 4°C, followed by operating according to SP Kit(Rabbit) (sp-0023) instructionsand DAB staining.
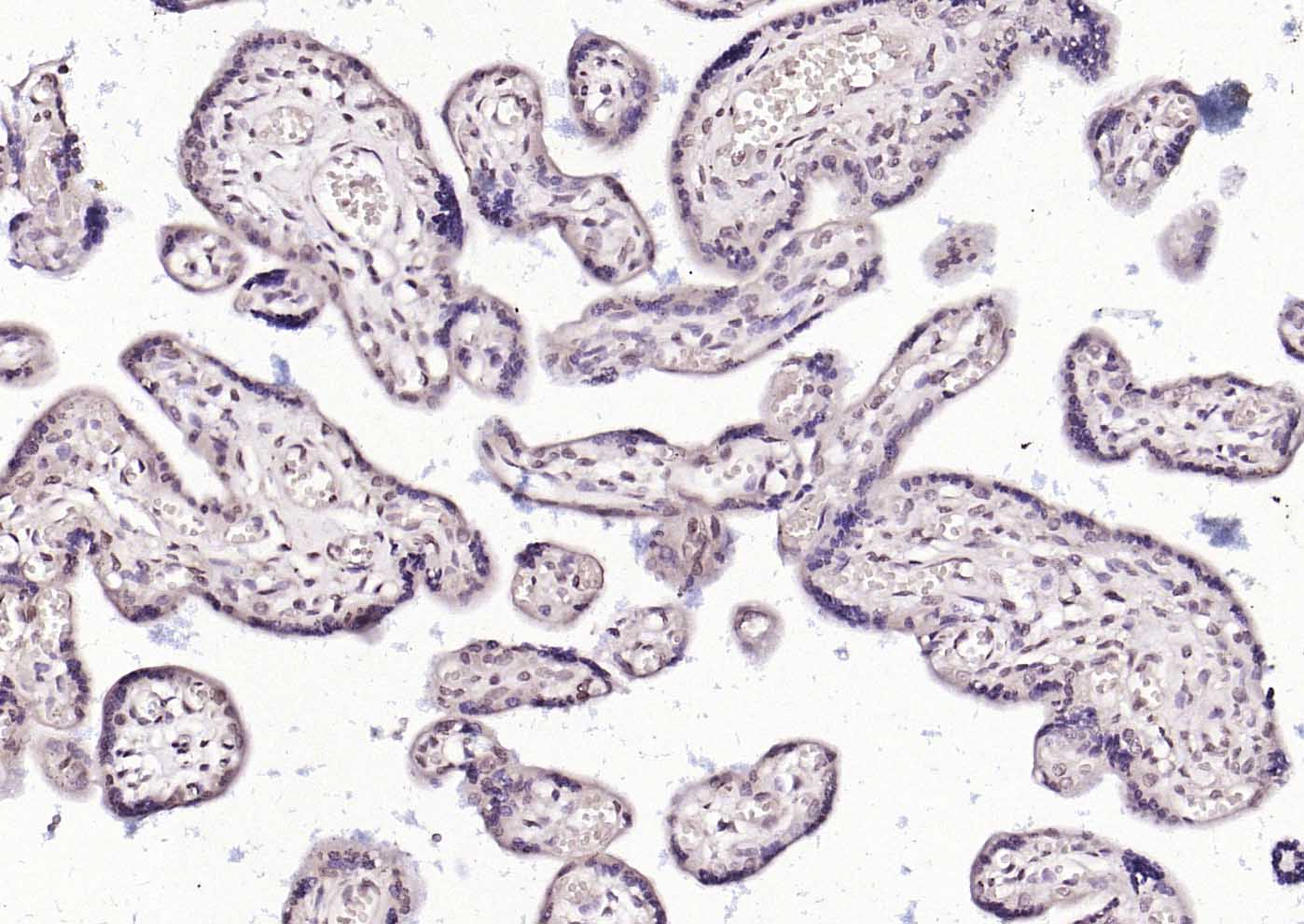
Paraformaldehyde-fixed, paraffin embedded (human placenta); Antigen retrieval by boiling in sodium citrate buffer (pH6.0) for 15min; Block endogenous peroxidase by 3% hydrogen peroxide for 20 minutes; Blocking buffer (normal goat serum) at 37°C for 30min; Incubation with (HSF1) Polyclonal Antibody, Unconjugated (bs-3757R) at 1:200 overnight at 4°C, followed by operating according to SP Kit(Rabbit) (sp-0023) instructionsand DAB staining.
Paraformaldehyde-fixed, paraffin embedded (mouse placenta); Antigen retrieval by boiling in sodium citrate buffer (pH6.0) for 15min; Block endogenous peroxidase by 3% hydrogen peroxide for 20 minutes; Blocking buffer (normal goat serum) at 37°C for 30min; Incubation with (HSF1) Polyclonal Antibody, Unconjugated (bs-3757R) at 1:200 overnight at 4°C, followed by operating according to SP Kit(Rabbit) (sp-0023) instructionsand DAB staining.
Paraformaldehyde-fixed, paraffin embedded (rat placenta); Antigen retrieval by boiling in sodium citrate buffer (pH6.0) for 15min; Block endogenous peroxidase by 3% hydrogen peroxide for 20 minutes; Blocking buffer (normal goat serum) at 37°C for 30min; Incubation with (HSF1) Polyclonal Antibody, Unconjugated (bs-3757R) at 1:200 overnight at 4°C, followed by operating according to SP Kit(Rabbit) (sp-0023) instructionsand DAB staining.
Paraformaldehyde-fixed, paraffin embedded (mouse kidney); Antigen retrieval by boiling in sodium citrate buffer (pH6.0) for 15min; Block endogenous peroxidase by 3% hydrogen peroxide for 20 minutes; Blocking buffer (normal goat serum) at 37°C for 30min; Incubation with (HSF1) Polyclonal Antibody, Unconjugated (bs-3757R) at 1:200 overnight at 4°C, followed by operating according to SP Kit(Rabbit) (sp-0023) instructionsand DAB staining.
Paraformaldehyde-fixed, paraffin embedded (rat kidney); Antigen retrieval by boiling in sodium citrate buffer (pH6.0) for 15min; Block endogenous peroxidase by 3% hydrogen peroxide for 20 minutes; Blocking buffer (normal goat serum) at 37°C for 30min; Incubation with (HSF1) Polyclonal Antibody, Unconjugated (bs-3757R) at 1:200 overnight at 4°C, followed by operating according to SP Kit(Rabbit) (sp-0023) instructionsand DAB staining.
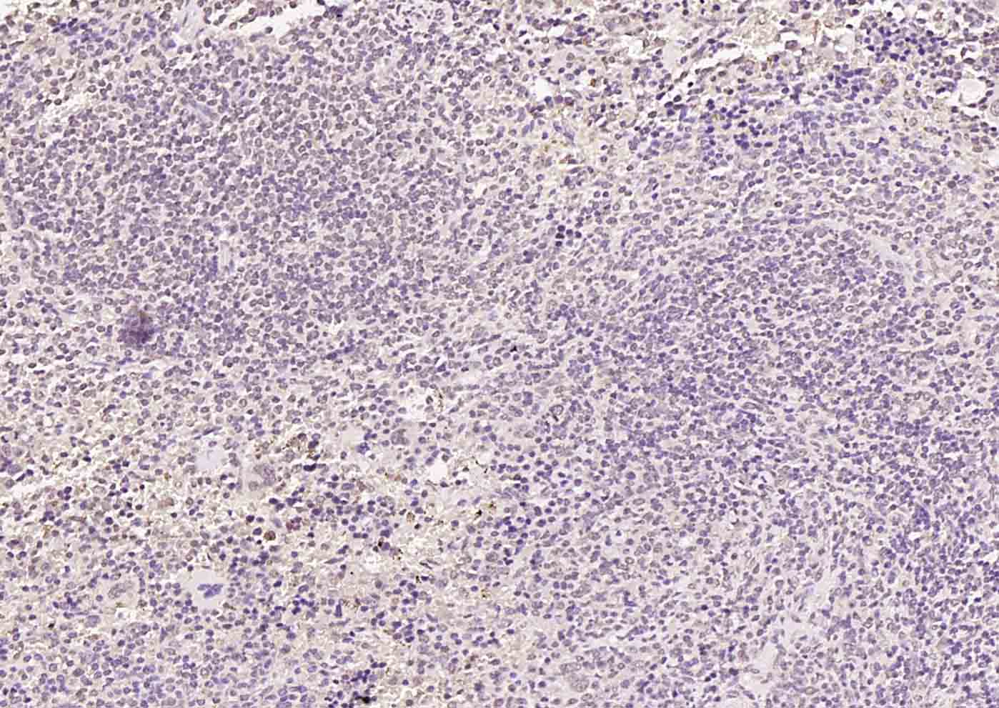
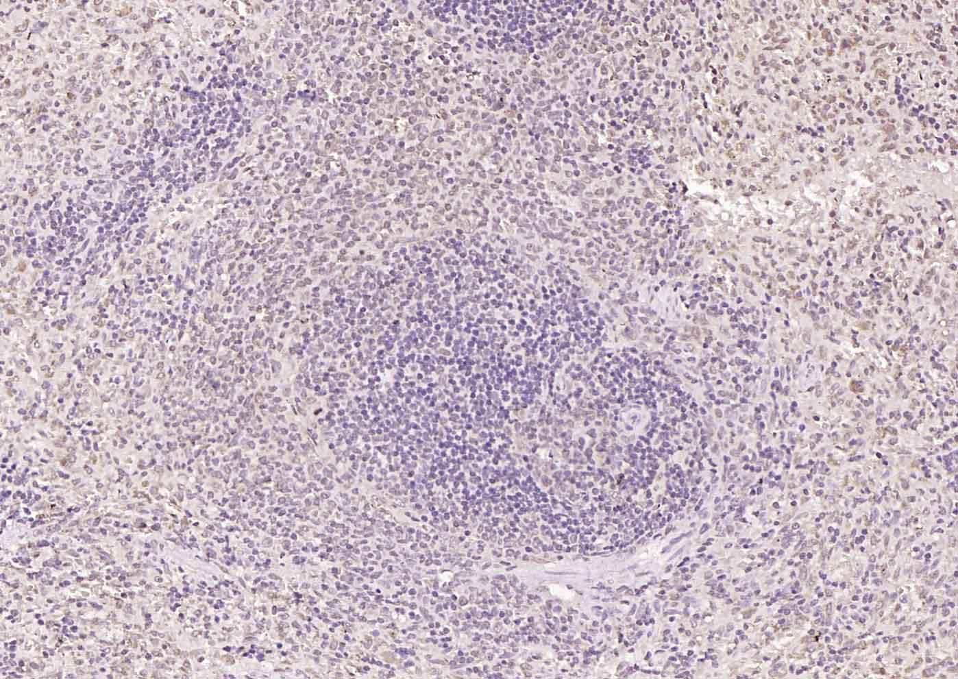
Paraformaldehyde-fixed, paraffin embedded (mouse spleen); Antigen retrieval by boiling in sodium citrate buffer (pH6.0) for 15min; Block endogenous peroxidase by 3% hydrogen peroxide for 20 minutes; Blocking buffer (normal goat serum) at 37°C for 30min; Incubation with (HSF1) Polyclonal Antibody, Unconjugated (bs-3757R) at 1:200 overnight at 4°C, followed by operating according to SP Kit(Rabbit) (sp-0023) instructionsand DAB staining.
Paraformaldehyde-fixed, paraffin embedded (rat spleen); Antigen retrieval by boiling in sodium citrate buffer (pH6.0) for 15min; Block endogenous peroxidase by 3% hydrogen peroxide for 20 minutes; Blocking buffer (normal goat serum) at 37°C for 30min; Incubation with (HSF1) Polyclonal Antibody, Unconjugated (bs-3757R) at 1:200 overnight at 4°C, followed by operating according to SP Kit(Rabbit) (sp-0023) instructionsand DAB staining.
Paraformaldehyde-fixed, paraffin embedded (rat ovary); Antigen retrieval by boiling in sodium citrate buffer (pH6.0) for 15min; Block endogenous peroxidase by 3% hydrogen peroxide for 20 minutes; Blocking buffer (normal goat serum) at 37°C for 30min; Incubation with (HSF1) Polyclonal Antibody, Unconjugated (bs-3757R) at 1:200 overnight at 4°C, followed by operating according to SP Kit(Rabbit) (sp-0023) instructionsand DAB staining.
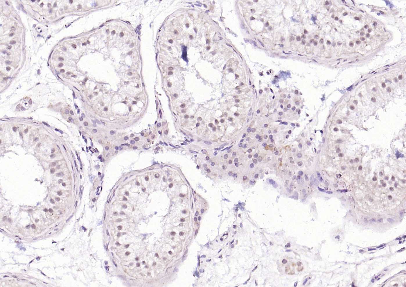
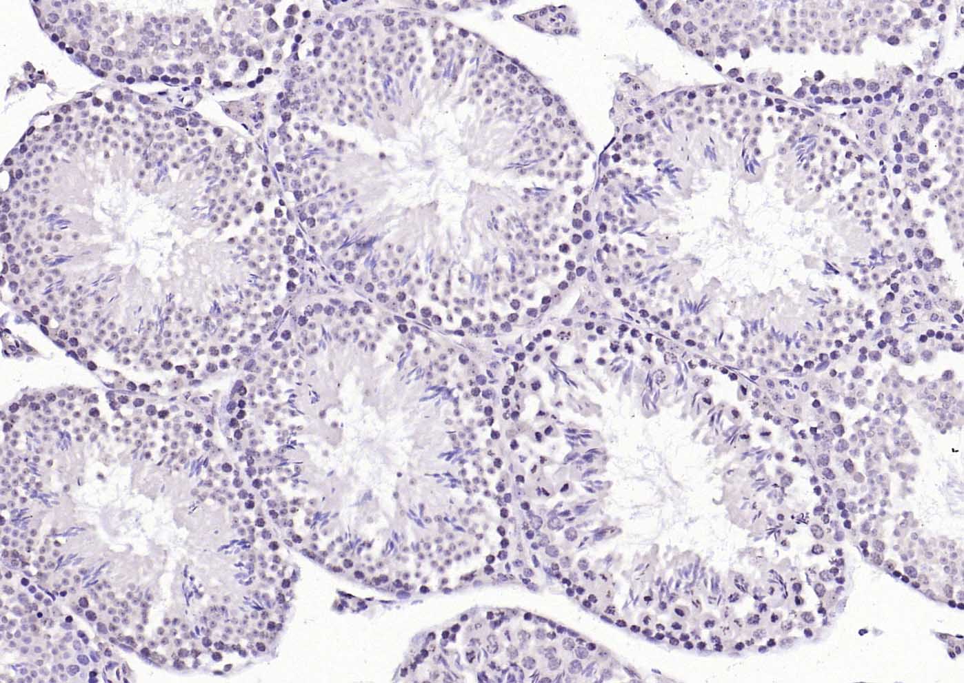
Paraformaldehyde-fixed, paraffin embedded (human testis); Antigen retrieval by boiling in sodium citrate buffer (pH6.0) for 15min; Block endogenous peroxidase by 3% hydrogen peroxide for 20 minutes; Blocking buffer (normal goat serum) at 37°C for 30min; Incubation with (HSF1) Polyclonal Antibody, Unconjugated (bs-3757R) at 1:200 overnight at 4°C, followed by operating according to SP Kit(Rabbit) (sp-0023) instructionsand DAB staining.
Paraformaldehyde-fixed, paraffin embedded (mouse testis); Antigen retrieval by boiling in sodium citrate buffer (pH6.0) for 15min; Block endogenous peroxidase by 3% hydrogen peroxide for 20 minutes; Blocking buffer (normal goat serum) at 37°C for 30min; Incubation with (HSF1) Polyclonal Antibody, Unconjugated (bs-3757R) at 1:200 overnight at 4°C, followed by operating according to SP Kit(Rabbit) (sp-0023) instructionsand DAB staining.
Paraformaldehyde-fixed, paraffin embedded (rat testis); Antigen retrieval by boiling in sodium citrate buffer (pH6.0) for 15min; Block endogenous peroxidase by 3% hydrogen peroxide for 20 minutes; Blocking buffer (normal goat serum) at 37°C for 30min; Incubation with (HSF1) Polyclonal Antibody, Unconjugated (bs-3757R) at 1:200 overnight at 4°C, followed by operating according to SP Kit(Rabbit) (sp-0023) instructionsand DAB staining.
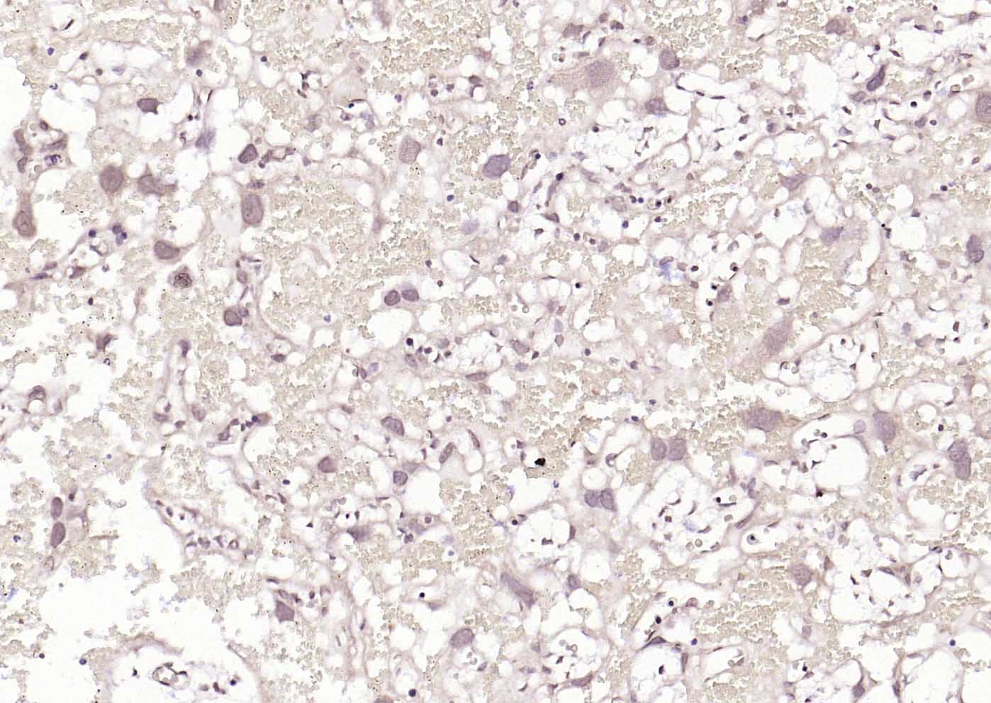
Paraformaldehyde-fixed, paraffin embedded (Mouse brain); Antigen retrieval by boiling in sodium citrate buffer (pH6.0) for 15min; Block endogenous peroxidase by 3% hydrogen peroxide for 20 minutes; Blocking buffer (normal goat serum) at 37°C for 30min; Antibody incubation with (HSF1) Polyclonal Antibody, Unconjugated (bs-3757R) at 1:400 overnight at 4°C, followed by operating according to SP Kit(Rabbit) (sp-0023) instructionsand DAB staining.
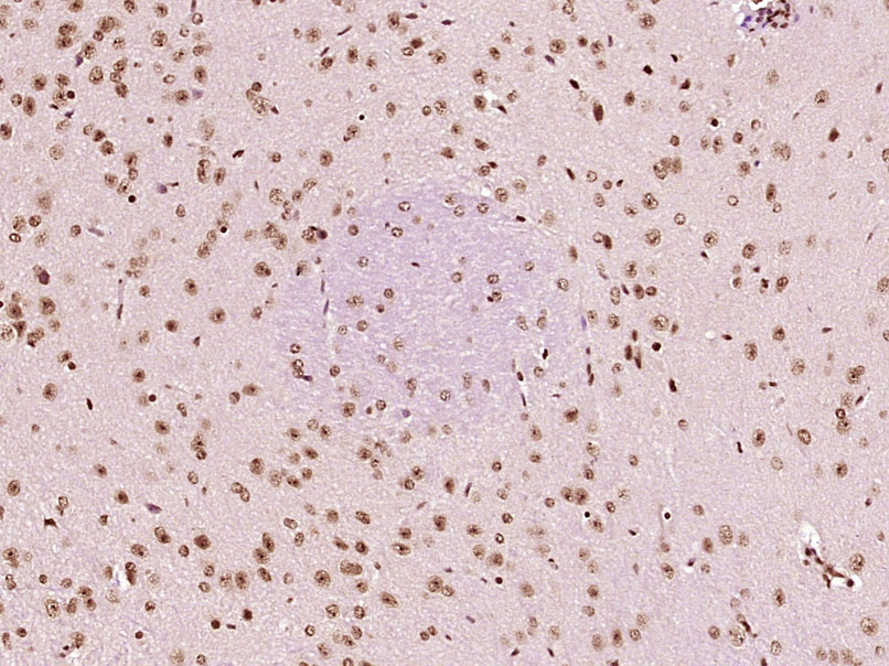
Paraformaldehyde-fixed, paraffin embedded (Human brain glioma); Antigen retrieval by boiling in sodium citrate buffer (pH6.0) for 15min; Block endogenous peroxidase by 3% hydrogen peroxide for 20 minutes; Blocking buffer (normal goat serum) at 37°C for 30min; Antibody incubation with (HSF1) Polyclonal Antibody, Unconjugated (bs-3757R) at 1:400 overnight at 4°C, followed by operating according to SP Kit(Rabbit) (sp-0023) instructionsand DAB staining.
HepG2 cell; 4% Paraformaldehyde-fixed; Triton X-100 at room temperature for 20 min; Blocking buffer (normal goat serum, C-0005) at 37°C for 20 min; Antibody incubation with (HSF1) polyclonal Antibody, Unconjugated (bs-3757R) 1:50, 90 minutes at 37°C; followed by a conjugated Goat Anti-Rabbit IgG antibody at 37°C for 90 minutes, DAPI (blue, C02-04002) was used to stain the cell nuclei.
版权所有 2004-2026 www.bioss.com.cn 北京博奥森生物技术有限公司
通过国际质量管理体系ISO 9001:2015 GB/T 19001-2016    证书编号: 00124Q34771R2M/1100
通过国际医疗器械-质量管理体系ISO 13485:2016 GB/T 42061-2022     证书编号: CQC24QY20047R0M/1100
京ICP备05066980号-1         京公网安备110107000727号