扫码关注公众号           扫码咨询技术支持           扫码咨询技术服务
  
客服热线:400-901-9800  客服QQ:4009019800  技术答疑  技术支持  质量反馈  人才招聘  关于我们  联系我们
产品中心-北京博奥森生物技术有限公司
首页 > 产品中心 > 一抗 > 产品信息
Neurogenin 2 Rabbit pAb (bs-3692R)  
订购热线:400-901-9800
订购邮箱:sales@bioss.com.cn
订购QQ:  400-901-9800
技术支持:techsupport@bioss.com.cn
50ul/1180.00元
100ul/1980.00元
200ul/2800.00元
大包装/询价

产品编号 bs-3692R
英文名称 Neurogenin 2 Rabbit pAb
中文名称 神经元素2抗体
别    名 Atoh4; Math4A; NGN2; bHLHa8; ngn-2; NGN2_HUMAN; NEUROG2; Class A basic helix-loop-helix protein 8 (bHLHa8); Protein atonal homolog 4; NGN2_MOUSE; Helix-loop-helix protein mATH-4A (mATH4A); Ath4a; neurogenin 2  
研究领域 细胞生物  免疫学  神经生物学  转录调节因子  
抗体来源 Rabbit
克隆类型 Polyclonal
交叉反应 Mouse,Rat (predicted: Human,Cow,Chicken,Dog)
产品应用 WB=1:500-2000,IHC-P=1:100-500,IHC-F=1:100-500,IF=1:100-500
not yet tested in other applications.
optimal dilutions/concentrations should be determined by the end user.
理论分子量 30kDa
检测分子量 30
细胞定位 细胞核 
性    状 Liquid
浓    度 1mg/ml
免 疫 原 KLH conjugated synthetic peptide derived from human Neurogenin 2: 101-200/272 
亚    型 IgG
纯化方法 affinity purified by Protein A
缓 冲 液 0.01M TBS (pH7.4) with 1% BSA, 0.02% Proclin300 and 50% Glycerol.
保存条件 Shipped at 4℃. Store at -20℃ for one year. Avoid repeated freeze/thaw cycles.
注意事项 This product as supplied is intended for research use only, not for use in human, therapeutic or diagnostic applications.
PubMed PubMed
产品介绍 Neurogenin 2 is a helix-loop-helix class of transcription factor. Transcription factors with bHLH motifs modulate critical events in the development of the mammalian neocortex. The transition from proliferation to neurogenesis involves a coordinate increase in the activity of proneural bHLH factors, including Neurogenin 2 and a decrease in the activity of Hes and Id factors. bHLH factors have key roles in corticogenesis, affecting the timing of differentiation and the specification of cell fate.

Function:
Transcriptional regulator. Involved in neuronal differentiation. Activates transcription by binding to the E box (5'-CANNTG-3').

Subunit:
Efficient DNA binding requires dimerization with another bHLH protein.

Subcellular Location:
Nucleus.

Similarity:
Contains 1 basic helix-loop-helix (bHLH) domain.

SWISS:
Q9H2A3

Gene ID:
63973

Database links:

Entrez Gene: 63973 Human

Entrez Gene: 11924 Mouse

Entrez Gene: 295475 Rat

Omim: 606624 Human

SwissProt: Q9H2A3 Human

SwissProt: P70447 Mouse

Unigene: 567563 Human

Unigene: 42017 Mouse



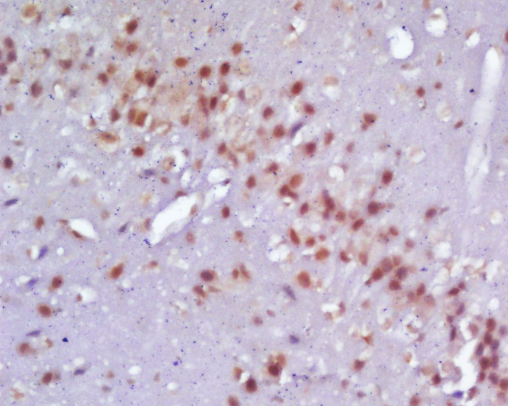
产品图片
Sample: Lane 1: Mouse Cerebrum tissue lysates Lane 2: Mouse Spleen tissue lysates Primary: Anti-Neurogenin 2 (bs-3692R) at 1/1000 dilution Secondary: IRDye800CW Goat Anti-Rabbit IgG at 1/20000 dilution Predicted band size: 30 kDa Observed band size: 30 kDa
Tissue/cell: rat brain tissue; 4% Paraformaldehyde-fixed and paraffin-embedded; Antigen retrieval: citrate buffer ( 0.01M, pH 6.0 ), Boiling bathing for 15min; Block endogenous peroxidase by 3% Hydrogen peroxide for 30min; Blocking buffer (normal goat serum,C-0005) at 37℃ for 20 min; Incubation: Anti-Neurogenin 2 Polyclonal Antibody, Unconjugated(bs-3692R) 1:200, overnight at 4°C, followed by conjugation to the secondary antibody(SP-0023) and DAB(C-0010) staining
Paraformaldehyde-fixed, paraffin embedded (Mouse brain); Antigen retrieval by boiling in sodium citrate buffer (pH6.0) for 15min; Block endogenous peroxidase by 3% hydrogen peroxide for 20 minutes; Blocking buffer (normal goat serum) at 37°C for 30min; Antibody incubation with (Neurogenin 2) Polyclonal Antibody, Unconjugated (bs-3692R) at 1:400 overnight at 4°C, followed by operating according to SP Kit(Rabbit) (sp-0023) instructionsand DAB staining.
版权所有 2004-2026 www.bioss.com.cn 北京博奥森生物技术有限公司
通过国际质量管理体系ISO 9001:2015 GB/T 19001-2016    证书编号: 00124Q34771R2M/1100
通过国际医疗器械-质量管理体系ISO 13485:2016 GB/T 42061-2022     证书编号: CQC24QY20047R0M/1100
京ICP备05066980号-1         京公网安备110107000727号