扫码关注公众号           扫码咨询技术支持           扫码咨询技术服务
  
客服热线:400-901-9800  客服QQ:4009019800  技术答疑  技术支持  质量反馈  关于我们  联系我们
产品中心-北京博奥森生物技术有限公司
首页 > 产品中心 > 一抗 > 产品信息
TIF1 gamma Rabbit pAb (bs-3582R)  
订购热线:400-901-9800
订购邮箱:sales@bioss.com.cn
订购QQ:  400-901-9800
技术支持:techsupport@bioss.com.cn
50ul/1180.00元
100ul/1980.00元
200ul/2800.00元
大包装/询价

产品编号 bs-3582R
英文名称 TIF1 gamma Rabbit pAb
中文名称 转录中介因子Tif1γ抗体
别    名 DDH4; ECTO; PTC7; RFG7; TF1G; TIF1G; TIF1GAMMA; TIFGAMMA; 8030451N04Rik; TRI33_HUMAN; TRIM33; Ectodermin homolog; RET-fused gene 7 protein (Protein Rfg7); RING-type E3 ubiquitin transferase TRIM33; Transcription intermediary factor 1-gamma (TIF1-gamma); T  
研究领域 肿瘤  免疫学  信号转导  转录调节因子  
抗体来源 Rabbit
克隆类型 Polyclonal
克 隆 号
交叉反应 Mouse,Rat (predicted: Human,Pig,Cow,Chicken,Dog,Horse)
产品应用 IHC-P=1:100-500,IHC-F=1:100-500,IF=1:100-500
not yet tested in other applications.
optimal dilutions/concentrations should be determined by the end user.
理论分子量 124 kDa
细胞定位 细胞核 
性    状 Liquid
浓    度 1mg/ml
免 疫 原 KLH conjugated synthetic peptide derived from human TIF1 gamma: 981-1127/1127 
亚    型 IgG
纯化方法 affinity purified by Protein A
缓 冲 液 0.01M TBS (pH7.4) with 1% BSA, 0.02% Proclin300 and 50% Glycerol.
保存条件 Shipped at 4℃. Store at -20℃ for one year. Avoid repeated freeze/thaw cycles.
注意事项 This product as supplied is intended for research use only, not for use in human, therapeutic or diagnostic applications.
PubMed PubMed
产品介绍 TIF1 gamma is a member of the Transcriptional Intermediary Factor 1 family, which serve as coactivators and corepressors. Its structure is similar to TIF1 alpha and TIF1 beta, exhibiting multiple domains (RING finger, coiled coil, B boxes, PHD/TTC, and bromodomain). TIF1 gamma functions in cell differentiation and development, playing a role in differentiation of hematopoietic cells.

Function:
Acts as an E3 ubiquitin-protein ligase. Promotes SMAD4 ubiquitination, nuclear exclusion and degradation via the ubiquitin proteasome pathway. According to PubMed:16751102, does not promote a decrease in the level of endogenous SMAD4. May act as a transcriptional repressor. Inhibits the transcriptional response to TGF-beta/BMP signaling cascade. Plays a role in the control of cell proliferation. Its association with SMAD2 and SMAD3 stimulates erythroid differentiation of hematopoietic stem/progenitor (By similarity). Monoubiquitinates SMAD4 and acts as an inhibitor of SMAD4-dependent TGF-beta/BMP signaling cascade (Monoubiquitination of SMAD4 hampers its ability to form a stable complex with activated SMAD2/3 resulting in inhibition of TGF-beta/BMP signaling cascade).

Subunit:
Homooligomer and heterooligomer with TRIM24 and TRIM28 family members. Interacts with SMAD4 in unstimulated cells. Found in a complex with SMAD2 and SMAD3 upon addition of TGF-beta. Interacts with SMAD2 and SMAD3. Interacts with SMAD4 under basal and induced conditions and, upon TGF-beta signaling, with activated SMAD2. Forms a ternary complex with SMAD4 and SMAD2 upon TGF-beta signaling.

Subcellular Location:
Nucleus. Note=In discrete nuclear dots resembling nuclear bodies.

Tissue Specificity:
Expressed in stem cells at the bottom of the crypts of the colon (at protein level). Expressed in colon adenomas and adenocarcinomas (at protein level). Expressed in brain, lung, liver, spleen, thymus, prostate, kidney, testis, heart, placenta, pancreas, small intestine, ovary, colon, skeletal muscle and hematopoietic progenitors.

DISEASE:
Defects in TRIM33 are a cause of thyroid papillary carcinoma (TPC) [MIM:188550]. TPC is a common tumor of the thyroid that typically arises as an irregular, solid or cystic mass from otherwise normal thyroid tissue. Papillary carcinomas are malignant neoplasm characterized by the formation of numerous, irregular, finger-like projections of fibrous stroma that is covered with a surface layer of neoplastic epithelial cells. Note=A chromosomal aberration involving TRIM33 is found in thyroid papillary carcinomas. Translocation t(1;10)(p13;q11) with RET. The translocation generates the TRIM33/RET (PTC7) oncogene.

Similarity:
Belongs to the TRIM/RBCC family.
Contains 2 B box-type zinc fingers.
Contains 1 bromo domain.
Contains 1 PHD-type zinc finger.
Contains 1 RING-type zinc finger.

SWISS:
Q9UPN9

Gene ID:
51592

Database links:

Entrez Gene: 51592 Human

Entrez Gene: 94093 Mouse

Entrez Gene: 365894 Rat

Omim: 605769 Human

SwissProt: Q9UPN9 Human

SwissProt: Q99PP7 Mouse

Unigene: 26837 Human

Unigene: 195036 Mouse



产品图片
Paraformaldehyde-fixed, paraffin embedded (Rat brain); Antigen retrieval by boiling in sodium citrate buffer (pH6.0) for 15min; Block endogenous peroxidase by 3% hydrogen peroxide for 20 minutes; Blocking buffer (normal goat serum) at 37°C for 30min; Antibody incubation with (TIF1 gamma ) Polyclonal Antibody, Unconjugated (bs-3582R) at 1:500 overnight at 4°C, followed by a conjugated secondary (sp-0023) for 20 minutes and DAB staining.
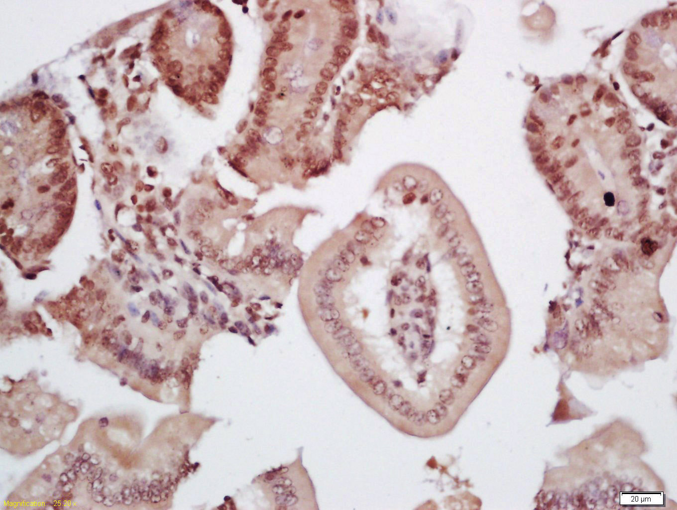
Tissue/cell: mouse intestine tissue; Frozen section; Block endogenous peroxidase by 3% Hydrogen peroxide for 30min; Blocking buffer (normal goat serum,C-0005) at 37℃ for 20 min; Incubation: Anti-TIF1 gamma Polyclonal Antibody, Unconjugated(bs-3582R) 1:200, overnight at 4°C, followed by conjugation to the secondary antibody(SP-0023) and DAB(C-0010) staining
版权所有 2004-2026 www.bioss.com.cn 北京博奥森生物技术有限公司
通过国际质量管理体系ISO 9001:2015 GB/T 19001-2016    证书编号: 00124Q34771R2M/1100
通过国际医疗器械-质量管理体系ISO 13485:2016 GB/T 42061-2022     证书编号: CQC24QY20047R0M/1100
京ICP备05066980号-1         京公网安备110107000727号