扫码关注公众号           扫码咨询技术支持           扫码咨询技术服务
  
客服热线:400-901-9800  客服QQ:4009019800  技术答疑  技术支持  质量反馈  关于我们  联系我们
产品中心-北京博奥森生物技术有限公司
首页 > 产品中心 > 一抗 > 产品信息
TCTP Rabbit pAb (bs-3578R)  
订购热线:400-901-9800
订购邮箱:sales@bioss.com.cn
订购QQ:  400-901-9800
技术支持:techsupport@bioss.com.cn
50ul/1180.00元
100ul/1980.00元
200ul/2800.00元
大包装/询价

产品编号 bs-3578R
英文名称 TCTP Rabbit pAb
中文名称 翻译控制肿瘤蛋白抗体
别    名 HRF; TCTP; p02; p23; Trt; p21; TCTP_HUMAN; TPT1; Fortilin; Histamine-releasing factor (HRF); TCTP_MOUSE; 21 kDa polypeptide; TCTP_RAT; Lens epithelial protein;   
Specific References  (1)     |     bs-3578R has been referenced in 1 publications.
[IF=1.26] Wu et al. Upregulation of TCTP expression in human skin squamous cell carcinoma increases tumor cell viability through anti-apoptotic action of the protein. (2012) Exp.Ther.Med. 3:437-442  IHC-P ;  Human.  
研究领域 细胞生物  免疫学  
抗体来源 Rabbit
克隆类型 Polyclonal
克 隆 号
交叉反应 Human,Mouse (predicted: Rat,Rabbit,Pig,Sheep,Cow,Dog,GuineaPig,Horse)
产品应用 WB=1:500-2000,IHC-P=1:100-500,IHC-F=1:100-500,IF=1:100-500
not yet tested in other applications.
optimal dilutions/concentrations should be determined by the end user.
理论分子量 20 kDa
细胞定位 细胞浆 
性    状 Liquid
浓    度 1mg/ml
免 疫 原 KLH conjugated synthetic peptide derived from human TCTP: 85-172/172 
亚    型 IgG
纯化方法 affinity purified by Protein A
缓 冲 液 0.01M TBS (pH7.4) with 1% BSA, 0.02% Proclin300 and 50% Glycerol.
保存条件 Shipped at 4℃. Store at -20℃ for one year. Avoid repeated freeze/thaw cycles.
注意事项 This product as supplied is intended for research use only, not for use in human, therapeutic or diagnostic applications.
PubMed PubMed
产品介绍 TCTP is involved in calcium binding and microtubule stabilization. It is an immunoglobulin E dependent histamine-releasing factor produced by lymphocytes of atopic children and present in biologic fluids of allergic patients. Both human and mouse recombinant HRF proteins caused histamine release from human basophils of a subpopulation of donors (referenced from OMIM).

Function:
Involved in calcium binding and microtubule stabilization.

Subunit:
Interacts with STEAP3.

Subcellular Location:
Cytoplasm.

Tissue Specificity:
Found in several healthy and tumoral cells including erythrocytes, hepatocytes, macrophages, platelets, keratinocytes, erythroleukemia cells, gliomas, melanomas, hepatoblastomas, and lymphomas. It cannot be detected in kidney and renal cell carcinoma (RCC). Expressed in placenta and prostate.

Similarity:
Belongs to the TCTP family.

SWISS:
P13693

Gene ID:
7178

Database links:

Entrez Gene: 7178 Human

Entrez Gene: 22070 Mouse

Entrez Gene: 116646 Rat

Omim: 600763 Human

SwissProt: P13693 Human

SwissProt: P63028 Mouse

SwissProt: P63029 Rat

Unigene: 374596 Human

Unigene: 296922 Mouse

Unigene: 297482 Mouse

Unigene: 36610 Rat



翻译控制肿瘤蛋白最初发现于肿瘤组织,后来又从其他组织中相继分离出来,是许多动物肿瘤细胞中存在的一类较丰富的蛋白,TCTP参与钙离子结合和微管的稳定,是一类广泛存在于动物、植物及酵母中的、在序列上高度保守且具有很高表达量的蛋白家族。
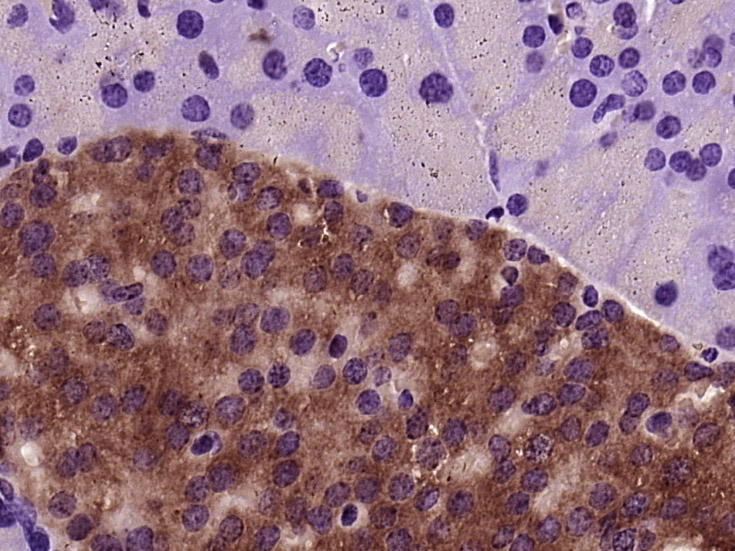
产品图片
Sample: Jurkat(Human) Cell Lysate at 30 ug HepG2(Human) Cell Lysate at 30 ug Primary: Anti-TCTP (bs-3578R) at 1/300 dilution Secondary: IRDye800CW Goat Anti-Rabbit IgG at 1/20000 dilution Predicted band size: 20 kD Observed band size: 22 kD
Paraformaldehyde-fixed, paraffin embedded (Mouse pancreas); Antigen retrieval by boiling in sodium citrate buffer (pH6.0) for 15min; Block endogenous peroxidase by 3% hydrogen peroxide for 20 minutes; Blocking buffer (normal goat serum) at 37°C for 30min; Antibody incubation with (TCTP) Polyclonal Antibody, Unconjugated (bs-3578R) at 1:400 overnight at 4°C, followed by operating according to SP Kit(Rabbit) (sp-0023) instructionsand DAB staining.
版权所有 2004-2026 www.bioss.com.cn 北京博奥森生物技术有限公司
通过国际质量管理体系ISO 9001:2015 GB/T 19001-2016    证书编号: 00124Q34771R2M/1100
通过国际医疗器械-质量管理体系ISO 13485:2016 GB/T 42061-2022     证书编号: CQC24QY20047R0M/1100
京ICP备05066980号-1         京公网安备110107000727号