扫码关注公众号           扫码咨询技术支持           扫码咨询技术服务
  
客服热线:400-901-9800  客服QQ:4009019800  技术答疑  技术支持  质量反馈  关于我们  联系我们
产品中心-北京博奥森生物技术有限公司
首页 > 产品中心 > 一抗 > 产品信息
MLK3 Rabbit pAb (bs-2992R)  
订购热线:400-901-9800
订购邮箱:sales@bioss.com.cn
订购QQ:  400-901-9800
技术支持:techsupport@bioss.com.cn
50ul/1180.00元
100ul/1980.00元
200ul/2800.00元
大包装/询价

产品编号 bs-2992R
英文名称 MLK3 Rabbit pAb
中文名称 丝氨酸/苏氨酸蛋白激酶MLK3抗体
别    名 MEKK11; MGC17114; Mitogen-activated protein kinase kinase kinase 11; Mixed lineage kinase 3; Mixed lineage protein kinase 3; Mlk-3; Mlk3; Protein tyrosine kinase PTK1; PTK1; RHOE; SH3 domain containing proline rich kinase; SPRK; Src-homology 3 domain-containing proline-rich kinase; 2610017K16Rik; EC 2.7.11.25; M3K11_HUMAN.  
研究领域 肿瘤  免疫学  神经生物学  信号转导  细胞凋亡  转录调节因子  激酶和磷酸酶  
抗体来源 Rabbit
克隆类型 Polyclonal
克 隆 号
交叉反应 Human,Mouse,Rat (predicted: Cow,Horse)
产品应用 WB=1:500-2000,IHC-P=1:100-500,IHC-F=1:100-500,IF=1:100-500
not yet tested in other applications.
optimal dilutions/concentrations should be determined by the end user.
理论分子量 93 kDa
检测分子量
细胞定位 细胞浆 
性    状 Liquid
浓    度 1mg/ml
免 疫 原 KLH conjugated synthetic peptide derived from human MLK3: 355-460/847 
亚    型 IgG
纯化方法 affinity purified by Protein A
缓 冲 液 0.01M TBS (pH7.4) with 1% BSA, 0.02% Proclin300 and 50% Glycerol.
保存条件 Shipped at 4℃. Store at -20℃ for one year. Avoid repeated freeze/thaw cycles.
注意事项 This product as supplied is intended for research use only, not for use in human, therapeutic or diagnostic applications.
PubMed PubMed
产品介绍 Members of the mixed-lineage kinase (MLK) family (including MLK1, MLK2, MLK3, and dual leucine zipper kinase [DLK]) are serine/threonine protein kinases that are expressed in multiple cell types. MLK3 is activated by phosphorylation in response to stress stimuli (e.g., inflammatory responses, UV, chemical stress) that are coupled to the small GTPase, Cdc42/rac. MLK3 is a multifunctional kinase that plays an essential role in several signaling pathways, including mitogen-activated protein kinase (i.e. activation of JNK and p38), IkappaB/NFkappaB, and p70 S6 kinase. Indeed MLK3 signaling occurs through multiple signaling domains in this protein kinase including (from N- to C-terminal) a glycine-rich domain, Src homology 3 (SH3) domain, a kinase domain, a zipper domain, a Cdc42/rac interactive binding (CRIB) domain and a Pro/Ser/Thr-rich domain. Phosphorylation of MLK3 occurs on multiple residues including threonine 277 and serine 281 within the activation loop of the kinase domain.

Function:
Activates the JUN N-terminal pathway. Required for serum-stimulated cell proliferation and for mitogen and cytokine activation of MAPK14 (p38), MAPK3 (ERK) and MAPK8 (JNK1). Plays a role in mitogen-stimulated phosphorylation and activation of BRAF, but does not phosphorylate BRAF directly. Influences microtubule organization during the cell cycle.

Subunit:
Homodimer; undergoes dimerization during activation.

Subcellular Location:
Cytoplasm, cytoskeleton, centrosome. Note=Location is cell cycle dependent.

Tissue Specificity:
Expressed in a wide variety of normal and neoplastic tissues including fetal lung, liver, heart and kidney, and adult lung, liver, heart, kidney, placenta, skeletal muscle, pancreas and brain.

Post-translational modifications:
Autophosphorylation on serine and threonine residues within the activation loop plays a role in enzyme activation. Thr-277 is likely to be the main autophosphorylation site. Phosphorylation of Ser-555 and Ser-556 is induced by CDC42.

Similarity:
Belongs to the protein kinase superfamily. STE Ser/Thr protein kinase family. MAP kinase kinase kinase subfamily.
Contains 1 protein kinase domain.
Contains 1 SH3 domain.

SWISS:
Q6P2G4

Gene ID:
4296

Database links:

Entrez Gene: 4296 Human

Entrez Gene: 26403 Mouse

Omim: 600050 Human

SwissProt: Q16584 Human

SwissProt: Q6P2G4 Human

SwissProt: Q80XI6 Mouse

Unigene: 502872 Human

Unigene: 185026 Mouse



MLK3是JNK蛋白上游的重要活化因子,通过直接磷酸化并激活中游MKK4/7蛋白激酶,从而激活JNK应激信号通路。
产品图片
Sample: Lane 1: Hela (Human) Cell Lysate at 30 ug Lane 2: MCF-7 (Human) Cell Lysate at 30 ug Primary: Anti-MLK3 (bs-2992R) at 1/1000 dilution Secondary: IRDye800CW Goat Anti-Rabbit IgG at 1/20000 dilution Predicted band size: 93 kD Observed band size: 98 kD
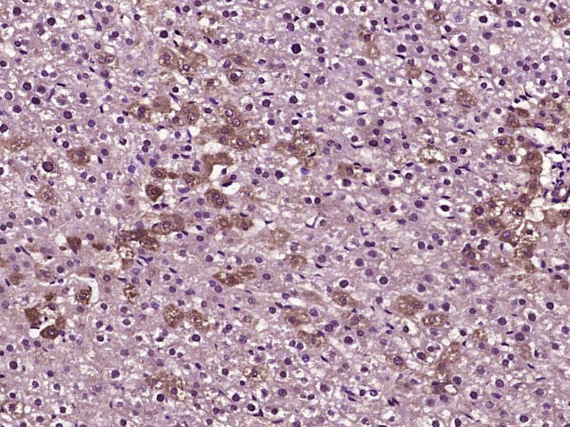
Paraformaldehyde-fixed, paraffin embedded (Rat liver); Antigen retrieval by boiling in sodium citrate buffer (pH6.0) for 15min; Block endogenous peroxidase by 3% hydrogen peroxide for 20 minutes; Blocking buffer (normal goat serum) at 37°C for 30min; Antibody incubation with (MLK3) Polyclonal Antibody, Unconjugated (bs-2992R) at 1:400 overnight at 4°C, followed by operating according to SP Kit(Rabbit) (sp-0023) instructionsand DAB staining.
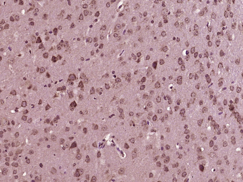
Paraformaldehyde-fixed, paraffin embedded (Mouse brain); Antigen retrieval by boiling in sodium citrate buffer (pH6.0) for 15min; Block endogenous peroxidase by 3% hydrogen peroxide for 20 minutes; Blocking buffer (normal goat serum) at 37°C for 30min; Antibody incubation with (MLK3) Polyclonal Antibody, Unconjugated (bs-2992R) at 1:400 overnight at 4°C, followed by operating according to SP Kit(Rabbit) (sp-0023) instructionsand DAB staining.
版权所有 2004-2026 www.bioss.com.cn 北京博奥森生物技术有限公司
通过国际质量管理体系ISO 9001:2015 GB/T 19001-2016    证书编号: 00124Q34771R2M/1100
通过国际医疗器械-质量管理体系ISO 13485:2016 GB/T 42061-2022    证书编号: CQC24QY10047R0M/1100
京ICP备05066980号-1         京公网安备110107000727号