扫码关注公众号           扫码咨询技术支持           扫码咨询技术服务
  
客服热线:400-901-9800  客服QQ:4009019800  技术答疑  技术支持  质量反馈  关于我们  联系我们
产品中心-北京博奥森生物技术有限公司
首页 > 产品中心 > 一抗 > 产品信息
HDAC11 Rabbit pAb (bs-2894R)  
订购热线:400-901-9800
订购邮箱:sales@bioss.com.cn
订购QQ:  400-901-9800
技术支持:techsupport@bioss.com.cn
50ul/1180.00元
100ul/1980.00元
200ul/2800.00元
大包装/询价

产品编号 bs-2894R
英文名称 HDAC11 Rabbit pAb
中文名称 组蛋白去乙酰化酶11抗体
别    名 HD11; HDA11_HUMAN; HDAC11; 3.5.1.98; HDA11_MOUSE;   
研究领域 肿瘤  免疫学  信号转导  细胞凋亡  转录调节因子  
抗体来源 Rabbit
克隆类型 Polyclonal
克 隆 号
交叉反应 Human,Mouse (predicted: Rat,Pig,Chicken,Horse)
产品应用 IHC-P=1:100-500,IHC-F=1:100-500,IF=1:100-500,Flow-Cyt=2ug/Test
not yet tested in other applications.
optimal dilutions/concentrations should be determined by the end user.
理论分子量 39 kDa
细胞定位 细胞核 
性    状 Liquid
浓    度 1mg/ml
免 疫 原 KLH conjugated synthetic peptide derived from human HDAC11: 21-120/347 
亚    型 IgG
纯化方法 affinity purified by Protein A
缓 冲 液 0.01M TBS (pH7.4) with 1% BSA, 0.02% Proclin300 and 50% Glycerol.
保存条件 Shipped at 4℃. Store at -20℃ for one year. Avoid repeated freeze/thaw cycles.
注意事项 This product as supplied is intended for research use only, not for use in human, therapeutic or diagnostic applications.
PubMed PubMed
产品介绍 Histone deacetylases (HDAC) are a family of 11 enzymes that are involved in the regulation of gene activation and silencing by regulating chromatin structure. HDAC11 is responsible for the deacetylation of lysine residues on the N-terminal part of the core histones (H2A, H2B, H3 and H4). Deacetylation of histones is associated with the condensation of chromatin to a compact structure (heterochromatin) in which the genes are silenced. Each member of the HDAC family exhibits a different, individual substrate specificity and function in vivo.
HDACs are known to be associated with a number of well characterized cellular oncogenes and tumour- suppressor genes and inhibitors of HDACs induce growth arrest, differentiation or apoptosis of cancer cells in vitro and in vivo.

Function:
Responsible for the deacetylation of lysine residues on the N-terminal part of the core histones (H2A, H2B, H3 and H4). Histone deacetylation gives a tag for epigenetic repression and plays an important role in transcriptional regulation, cell cycle progression and developmental events. Histone deacetylases act via the formation of large multiprotein complexes.

Subunit:
Interacts with HDAC6.

Subcellular Location:
Nucleus. Note=Predominantly nuclear.

Tissue Specificity:
Weakly expressed in most tissues. Strongly expressed in brain, heart, skeletal muscle, kidney and testis.

Similarity:
Belongs to the histone deacetylase family.

SWISS:
Q96DB2

Gene ID:
79885

Database links:

Entrez Gene: 79885 Human

Entrez Gene: 232232 Mouse

Entrez Gene: 297453 Rat

Omim: 607226 Human

SwissProt: Q96DB2 Human

SwissProt: Q91WA3 Mouse

Unigene: 728246 Human

Unigene: 744132 Human

Unigene: 206218 Mouse

Unigene: 28065 Rat



产品图片
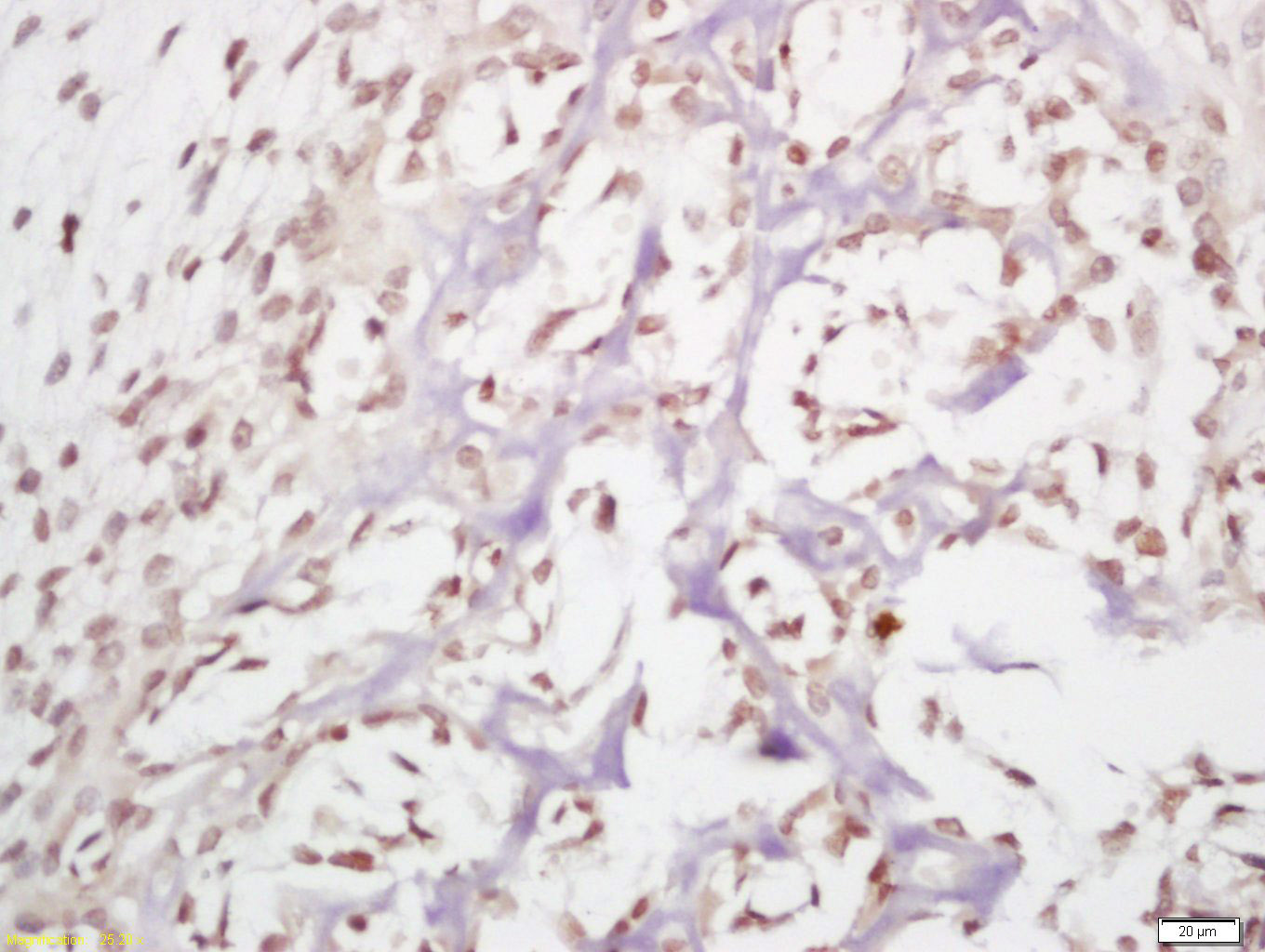
Tissue/cell: mouse embryos tissue; 4% Paraformaldehyde-fixed and paraffin-embedded; Antigen retrieval: citrate buffer ( 0.01M, pH 6.0 ), Boiling bathing for 15min; Block endogenous peroxidase by 3% Hydrogen peroxide for 30min; Blocking buffer (normal goat serum,C-0005) at 37℃ for 20 min; Incubation: Anti-HDAC11 Polyclonal Antibody, Unconjugated(bs-2894R) 1:200, overnight at 4°C, followed by conjugation to the secondary antibody(SP-0023) and DAB(C-0010) staining
Blank control(black line):HepG2. Primary Antibody (green line): Rabbit Anti-HDAC11 antibody (bs-2894R) Dilution:2ug/Test; Secondary Antibody(white blue line): Goat anti-rabbit IgG-FITC Dilution: 0.5ug/Test. Isotype control(orange line): Normal Rabbit IgG Protocol The cells were fixed with 4% PFA (10min at room temperature)and then permeabilized with 90% ice-cold methanol for 20 min at -20℃, The cells were then incubated in 5%BSA to block non-specific protein-protein interactions for 30 min at room temperature .Cells stained with Primary Antibody for 30 min at room temperature. The secondary antibody used for 40 min at room temperature. Acquisition of 20,000 events was performed.
版权所有 2004-2026 www.bioss.com.cn 北京博奥森生物技术有限公司
通过国际质量管理体系ISO 9001:2015 GB/T 19001-2016    证书编号: 00124Q34771R2M/1100
通过国际医疗器械-质量管理体系ISO 13485:2016 GB/T 42061-2022     证书编号: CQC24QY20047R0M/1100
京ICP备05066980号-1         京公网安备110107000727号