扫码关注公众号           扫码咨询技术支持           扫码咨询技术服务
  
客服热线:400-901-9800  客服QQ:4009019800  技术答疑  技术支持  质量反馈  人才招聘  关于我们  联系我们
产品中心-北京博奥森生物技术有限公司
首页 > 产品中心 > 一抗 > 产品信息
HDAC8 Rabbit pAb (bs-2891R)  
订购热线:400-901-9800
订购邮箱:sales@bioss.com.cn
订购QQ:  400-901-9800
技术支持:techsupport@bioss.com.cn
50ul/1180.00元
100ul/1980.00元
200ul/2800.00元
大包装/询价

产品编号 bs-2891R
英文名称 HDAC8 Rabbit pAb
中文名称 组蛋白去乙酰化酶8抗体
别    名 CDA07; CDLS5; HD8; HDACL1; KDAC8; MRXS6; RPD3; WTS; 2610007D20Rik; RGD1562895; HDAC8_HUMAN; HDAC8; Protein deacetylase HDAC8; Protein decrotonylase HDAC8; 3.5.1.98; HDAC8_MOUSE; HDAC8_RAT;   
研究领域 肿瘤  发育生物学  信号转导  细胞凋亡  转录调节因子  表观遗传学  
抗体来源 Rabbit
克隆类型 Polyclonal
克 隆 号
交叉反应 Mouse (predicted: Human,Rat,Rabbit,Pig,Cow,Chicken,Horse)
产品应用 IHC-P=1:100-500,IHC-F=1:100-500,IF=1:100-500
not yet tested in other applications.
optimal dilutions/concentrations should be determined by the end user.
理论分子量 42 kDa
细胞定位 细胞核 细胞浆 
性    状 Liquid
浓    度 1mg/ml
免 疫 原 KLH conjugated synthetic peptide derived from human HDAC8: 151-250/377 
亚    型 IgG
纯化方法 affinity purified by Protein A
缓 冲 液 0.01M TBS (pH7.4) with 1% BSA, 0.02% Proclin300 and 50% Glycerol.
保存条件 Shipped at 4℃. Store at -20℃ for one year. Avoid repeated freeze/thaw cycles.
注意事项 This product as supplied is intended for research use only, not for use in human, therapeutic or diagnostic applications.
PubMed PubMed
产品介绍 Histones play a critical role in transcriptional regulation, cell cycle progression, and developmental events. Histone acetylation/deacetylation alters chromosome structure and affects transcription factor access to DNA. The protein encoded by this gene belongs to class I of the histone deacetylase family. It catalyzes the deacetylation of lysine residues in the histone N-terminal tails and represses transcription in large multiprotein complexes with transcriptional co-repressors. Multiple transcript variants encoding different isoforms have been found for this gene. [provided by RefSeq, Oct 2009].

Function:
Responsible for the deacetylation of lysine residues on the N-terminal part of the core histones (H2A, H2B, H3 and H4). Histone deacetylation gives a tag for epigenetic repression and plays an important role in transcriptional regulation, cell cycle progression and developmental events. Histone deacetylases act via the formation of large multiprotein complexes. May play a role in smooth muscle cell contractility.

Subunit:
Interacts with PEPB2-MYH11, a fusion protein consisting of the 165 N-terminal residues of CBF-beta (PEPB2) with the tail region of MYH11 produced by the inversion Inv(16)(p13q22), a translocation associated with acute myeloid leukemia of M4EO subtype. The PEPB2-MYH1 fusion protein also interacts with RUNX1, a well known transcriptional regulator, suggesting that the interaction with HDAC8 may participate in the conversion of RUNX1 into a constitutive transcriptional repressor. Interacts with CBFA2T3. Interacts with phosphorylated SMG5/EST1B; this interaction protects SMG5 from ubiquitin-mediated degradation. Associates with alpha-SMA (smooth muscle alpha-actin).

Subcellular Location:
Nucleus. Cytoplasm. Excluded from the nucleoli. Found in the cytoplasm of cells showing smooth muscle differentiation.

Tissue Specificity:
Weakly expressed in most tissues. Expressed at higher level in heart, brain, kidney and pancreas and also in liver, lung, placenta, prostate and kidney.

Post-translational modifications:
Phosphorylated by PKA on serine 39. Phosphorylation reduces deacetylase activity observed preferentially on histones H3 and H4.

Similarity:
Belongs to the histone deacetylase family. HD type 1 subfamily.

SWISS:
Q9BY41

Gene ID:
55869

Database links:

Entrez Gene: 55869 Human

Entrez Gene: 70315 Mouse

Entrez Gene: 363481 Rat

Omim: 300269 Human

SwissProt: Q9BY41 Human

SwissProt: Q8VH37 Mouse

SwissProt: B1WC68 Rat

Unigene: 310536 Human

Unigene: 328128 Mouse

Unigene: 208476 Rat



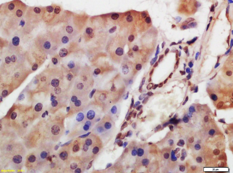
产品图片
Tissue/cell: mouse pancreas tissue; 4% Paraformaldehyde-fixed and paraffin-embedded; Antigen retrieval: citrate buffer ( 0.01M, pH 6.0 ), Boiling bathing for 15min; Block endogenous peroxidase by 3% Hydrogen peroxide for 30min; Blocking buffer (normal goat serum,C-0005) at 37℃ for 20 min; Incubation: Anti-HDAC8 Polyclonal Antibody, Unconjugated(bs-2891R) 1:200, overnight at 4°C, followed by conjugation to the secondary antibody(SP-0023) and DAB(C-0010) staining
版权所有 2004-2026 www.bioss.com.cn 北京博奥森生物技术有限公司
通过国际质量管理体系ISO 9001:2015 GB/T 19001-2016    证书编号: 00124Q34771R2M/1100
通过国际医疗器械-质量管理体系ISO 13485:2016 GB/T 42061-2022     证书编号: CQC24QY20047R0M/1100
京ICP备05066980号-1         京公网安备110107000727号