扫码关注公众号           扫码咨询技术支持           扫码咨询技术服务
  
客服热线:400-901-9800  客服QQ:4009019800  技术答疑  技术支持  质量反馈  关于我们  联系我们
产品中心-北京博奥森生物技术有限公司
首页 > 产品中心 > 一抗 > 产品信息
TNFAIP3 Rabbit pAb (bs-2803R)  
订购热线:400-901-9800
订购邮箱:sales@bioss.com.cn
订购QQ:  400-901-9800
技术支持:techsupport@bioss.com.cn
50ul/1180.00元
100ul/1980.00元
200ul/2800.00元
大包装/询价

产品编号 bs-2803R
英文名称 TNFAIP3 Rabbit pAb
中文名称 肿瘤坏死因子α诱导蛋白3抗体
别    名 TNAP3_HUMAN; TNFAIP3; TNF alpha-induced protein 3; OTU domain-containing protein 7C; Putative DNA-binding protein A20; Zinc finger protein A20; 2.3.2.-; 3.4.19.12; OTUD7C; TNAP3_MOUSE; Tnfip3;   
Specific References  (1)     |     bs-2803R has been referenced in 1 publications.
[IF=4.741] Riffo-Vasquez Y et al. Modulation of allergic inflammation in the lung by a peptide derived from mycobacteria tuberculosis chaperonin 60.1. Clin Exp Allergy. 2019 Dec 16.  IHC ;  Mouse.  
研究领域 肿瘤  信号转导  细胞凋亡  
抗体来源 Rabbit
克隆类型 Polyclonal
克 隆 号
交叉反应 Human,Mouse (predicted: Rat,Pig,Cow,Dog,Horse)
产品应用 IHC-P=1:100-500,IHC-F=1:100-500,IF=1:100-500
not yet tested in other applications.
optimal dilutions/concentrations should be determined by the end user.
理论分子量 90 kDa
细胞定位 细胞核 细胞浆 
性    状 Liquid
浓    度 1mg/ml
免 疫 原 KLH conjugated synthetic peptide derived from human TNFAIP3: 51-150/790 
亚    型 IgG
纯化方法 affinity purified by Protein A
缓 冲 液 0.01M TBS (pH7.4) with 1% BSA, 0.02% Proclin300 and 50% Glycerol.
保存条件 Shipped at 4℃. Store at -20℃ for one year. Avoid repeated freeze/thaw cycles.
注意事项 This product as supplied is intended for research use only, not for use in human, therapeutic or diagnostic applications.
PubMed PubMed
产品介绍 A20 is a Cys2/Cys2 zinc finger protein that is induced by a variety of inflammatory stimuli and regulates gene expression. Specifically, A20 is induced by tumor necrosis factor (TNF) and interleukin 1 (IL-1), and acts as a negative regulator of nuclear factor κ B (NFκB) gene expression. By inhibiting NFκB activation, A20 plays a critical role in terminating NFκB responses to various stimuli. Although the C-terminal region of A20 contains seven zinc finger domains, only four of these domains are required for in vitro inhibition of TNF-induced NFκB activation. A20 also interacts with several other proteins, such as TRAF2, TRAF6 and IkB kinase (IKK) γ protein, and can thereby inhibit cell death. TXBP151, a novel A20-binding protein, may mediate the anti-apoptotic activity of A20. Involved in the negative feedback regulation of signal transduction, A20 and A20-binding proteins may be useful as novel therapeutic tools in the treatment of a variety of diseases

Function:
TNFAIP3 interacts with NAF1 and inhibits TNF induced NF kappa B dependent gene expression by interfering with a RIP or TRAF2 mediated transactivation signal. It inhibits programmed cell death, has a role in the function of the lymphoid system, and may contribute to the in vivo effects of TNF.

Subcellular Location:
Cytoplasm. Nucleus.

Similarity:
Belongs to the peptidase C64 family.
Contains 7 A20-type zinc fingers.
Contains 1 OTU domain.

SWISS:
P21580

Gene ID:
7128

Database links:

Entrez Gene: 7128 Human

Entrez Gene: 21929 Mouse

Omim: 191163 Human

SwissProt: P21580 Human

SwissProt: Q60769 Mouse

Unigene: 211600 Human

Unigene: 116683 Mouse



TNFAIP3是一种泛素修饰酶,是机体重要的炎症反应负性调节因子,也是NF-κB的负调节蛋白。TNFAIP3蛋白与很多变态反应疾病的病理生理演变相关联,如:包括类风湿关节炎、冠状动脉疾病、银屑病、腹腔疾病、I型糖尿病、炎症性肠炎和系统性红斑狼疮等。
产品图片
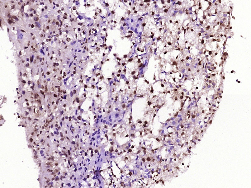
Paraformaldehyde-fixed, paraffin embedded (Mouse placenta); Antigen retrieval by boiling in sodium citrate buffer (pH6.0) for 15min; Block endogenous peroxidase by 3% hydrogen peroxide for 20 minutes; Blocking buffer (normal goat serum) at 37°C for 30min; Antibody incubation with (TNFAIP3) Polyclonal Antibody, Unconjugated (bs-2803R) at 1:400 overnight at 4°C, followed by operating according to SP Kit(Rabbit) (sp-0023) instructionsand DAB staining.
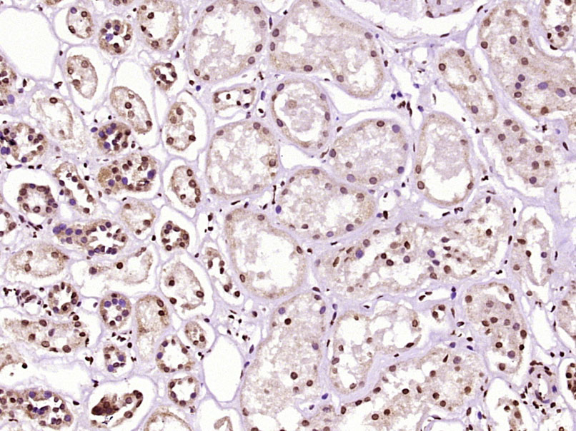
Paraformaldehyde-fixed, paraffin embedded (Human kidney); Antigen retrieval by boiling in sodium citrate buffer (pH6.0) for 15min; Block endogenous peroxidase by 3% hydrogen peroxide for 20 minutes; Blocking buffer (normal goat serum) at 37°C for 30min; Antibody incubation with (TNFAIP3) Polyclonal Antibody, Unconjugated (bs-2803R) at 1:400 overnight at 4°C, followed by operating according to SP Kit(Rabbit) (sp-0023) instructionsand DAB staining.
版权所有 2004-2026 www.bioss.com.cn 北京博奥森生物技术有限公司
通过国际质量管理体系ISO 9001:2015 GB/T 19001-2016    证书编号: 00124Q34771R2M/1100
通过国际医疗器械-质量管理体系ISO 13485:2016 GB/T 42061-2022     证书编号: CQC24QY20047R0M/1100
京ICP备05066980号-1         京公网安备110107000727号