扫码关注公众号           扫码咨询技术支持           扫码咨询技术服务
  
客服热线:400-901-9800  客服QQ:4009019800  技术答疑  技术支持  质量反馈  关于我们  联系我们
产品中心-北京博奥森生物技术有限公司
首页 > 产品中心 > 一抗 > 产品信息
PSMB8 Rabbit pAb (bs-2796R)  
订购热线:400-901-9800
订购邮箱:sales@bioss.com.cn
订购QQ:  400-901-9800
技术支持:techsupport@bioss.com.cn
50ul/1180.00元
100ul/1980.00元
200ul/2800.00元
大包装/询价

产品编号 bs-2796R
英文名称 PSMB8 Rabbit pAb
中文名称 蛋白酶体20S LMP7抗体
别    名 ALDD; D6S216; D6S216E; JMP; LMP7; NKJO; PRAAS1; PSMB5i; RING10; Lmp-7; PSB8_HUMAN; PSMB8; Low molecular mass protein 7; Macropain subunit C13; Multicatalytic endopeptidase complex subunit C13; Proteasome component C13; Proteasome subunit beta-5i; Really i  
研究领域 细胞生物  免疫学  
抗体来源 Rabbit
克隆类型 Polyclonal
克 隆 号
交叉反应 Human (predicted: Mouse,Rat,Rabbit,Pig,Sheep,Cow,Dog,Horse)
产品应用 IHC-P=1:100-500,IHC-F=1:100-500,IF=1:100-500,Flow-Cyt=1ug/test
not yet tested in other applications.
optimal dilutions/concentrations should be determined by the end user.
理论分子量 23 kDa
细胞定位 细胞核 细胞浆 
性    状 Liquid
浓    度 1mg/ml
免 疫 原 KLH conjugated synthetic peptide derived from human Proteasome 20S LMP7: 171-272/272 
亚    型 IgG
纯化方法 affinity purified by Protein A
缓 冲 液 0.01M TBS (pH7.4) with 1% BSA, 0.02% Proclin300 and 50% Glycerol.
保存条件 Shipped at 4℃. Store at -20℃ for one year. Avoid repeated freeze/thaw cycles.
注意事项 This product as supplied is intended for research use only, not for use in human, therapeutic or diagnostic applications.
PubMed PubMed
产品介绍 The proteasome is a multicatalytic proteinase complex with a highly ordered ring-shaped 20S core structure. The core structure is composed of 4 rings of 28 non-identical subunits; 2 rings are composed of 7 alpha subunits and 2 rings are composed of 7 beta subunits. Proteasomes are distributed throughout eukaryotic cells at a high concentration and cleave peptides in an ATP/ubiquitin-dependent process in a non-lysosomal pathway. An essential function of a modified proteasome, the immunoproteasome, is the processing of class I MHC peptides. This gene encodes a member of the proteasome B-type family, also known as the T1B family, that is a 20S core beta subunit. This gene is located in the class II region of the MHC (major histocompatibility complex). Expression of this gene is induced by gamma interferon and this gene product replaces catalytic subunit 3 (proteasome beta 5 subunit) in the immunoproteasome. Proteolytic processing is required to generate a mature subunit. Two alternative transcripts encoding two isoforms have been identified; both isoforms are processed to yield the same mature subunit. [provided by RefSeq, Jul 2008].

Function:
The proteasome is a multicatalytic proteinase complex which is characterized by its ability to cleave peptides with Arg, Phe, Tyr, Leu, and Glu adjacent to the leaving group at neutral or slightly basic pH. The proteasome has an ATP-dependent proteolytic activity. This subunit is involved in antigen processing to generate class I binding peptides. Replacement of PSMB5 by PSMB8 increases the capacity of the immunoproteasome to cleave model peptides after hydrophobic and basic residues. Acts as a major component of interferon gamma-induced sensitivity. Plays a key role in apoptosis via the degradation of the apoptotic inhibitor MCL1. May be involved in the inflammatory response pathway. In cancer cells, substitution of isoform 1 (E2) by isoform 2 (E1) results in immunoproteasome deficiency. Required for the differentiation of preadipocytes into adipocytes.

Subunit:
The 26S proteasome consists of a 20S proteasome core and two 19S regulatory subunits. The 20S proteasome core is composed of 28 subunits that are arranged in four stacked rings, resulting in a barrel-shaped structure. The two end rings are each formed by seven alpha subunits, and the two central rings are each formed by seven beta subunits. The catalytic chamber with the active sites is on the inside of the barrel. This subunit is part of the immunoproteasome where it displaces the equivalent housekeeping subunit PSMB5. Directly interacts with POMP. Interacts with HIV-1 TAT protein. Interacts with TAP1.

Subcellular Location:
Cytoplasm. Nucleus.

Tissue Specificity:
Highly expressed in immature dendritic cells (at protein level).

Post-translational modifications:
Autocleaved. The resulting N-terminal Thr residue of the mature subunit is responsible for the nucleophile proteolytic activity.

DISEASE:
Defects in PSMB8 are the cause of Nakajo syndrome (NKJO) [MIM:256040]; also called joint contractures muscular atrophy microcytic anemia and panniculitis-induced lipodystrophy. An autosomal recessive autoinflammatory disorder characterized by childhood onset of recurrent fever, joint stiffness and severe contractures of the hands and feet, erythematous skin lesions with subsequent development of lipodystrophy, and laboratory evidence of immune dysregulation. Accompanying features include muscle weakness and atrophy, hepatosplenomegaly, and microcytic anemia.
Note=Mutation Met-75 has been found in chronic atypical neutrophilic dermatosis with lipodystrophy and elevated temperature syndrome (CANDLE syndrome). CANDLE patients have some overlapping features with NKJO patients, including a cutaneous eruption and lipodystrophy. They show a characteristic neutrophilic dermatosis with a mononuclear interstitial infiltrate in the dermis that seems pathognomonic for CANDLE syndrome (PubMed:21953331).

Similarity:
Belongs to the peptidase T1B family.

SWISS:
P28062

Gene ID:
5696

Database links:

Entrez Gene: 5696 Human

Entrez Gene: 16913 Mouse

Entrez Gene: 24968 Rat

Omim: 177046 Human

SwissProt: P28062 Human

SwissProt: P28063 Mouse

SwissProt: P28064 Rat

Unigene: 180062 Human

Unigene: 180191 Mouse

Unigene: 484878 Mouse

Unigene: 203098 Rat



产品图片
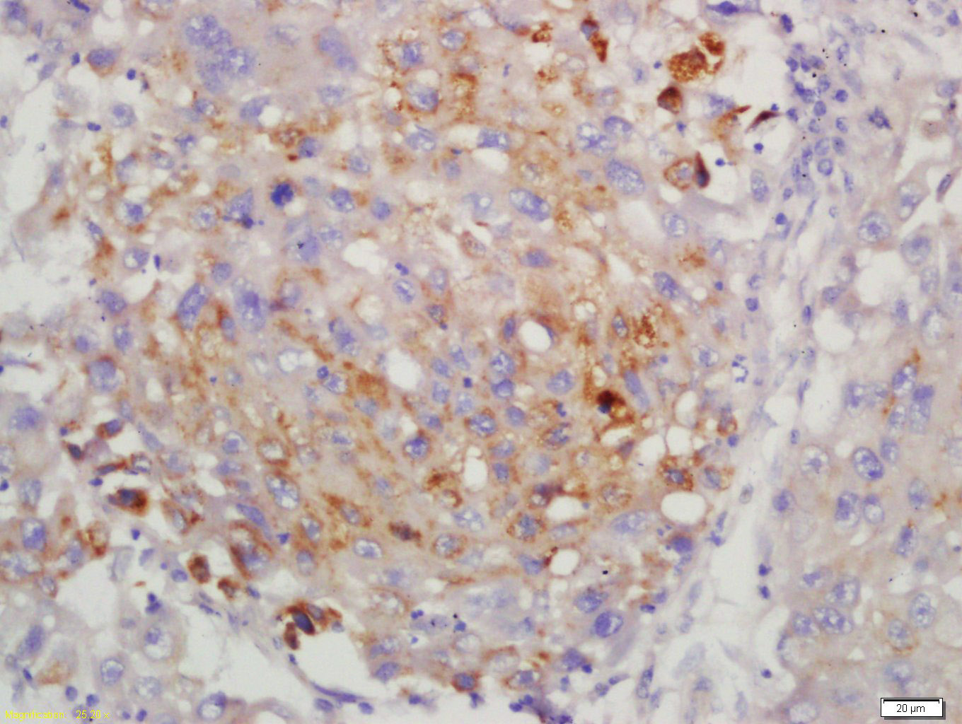
Tissue/cell: human lung carcinoma; 4% Paraformaldehyde-fixed and paraffin-embedded; Antigen retrieval: citrate buffer ( 0.01M, pH 6.0 ), Boiling bathing for 15min; Block endogenous peroxidase by 3% Hydrogen peroxide for 30min; Blocking buffer (normal goat serum,C-0005) at 37℃ for 20 min; Incubation: Anti-LMP7 Polyclonal Antibody, Unconjugated(bs-2796R) 1:200, overnight at 4°C, followed by conjugation to the secondary antibody(SP-0023) and DAB(C-0010) staining
Molt-4 cells were fixed with 4% PFA for 10min at room temperature ,permeabilized with 90% ice-cold methanol for 20 min at -20℃, and incubated in 5% BSA blocking buffer for 30 min at room temperature. Cells were then stained with LMP7 Antibody(bs-2796R)at 1:500 dilution in blocking buffer and incubated for 30 min at room temperature, washed twice with 2%BSA in PBS, followed by secondary antibody incubation for 40 min at room temperature. Acquisitions of 20,000 events were performed. Cells stained with primary antibody (green), and isotype control (orange).
版权所有 2004-2026 www.bioss.com.cn 北京博奥森生物技术有限公司
通过国际质量管理体系ISO 9001:2015 GB/T 19001-2016    证书编号: 00124Q34771R2M/1100
通过国际医疗器械-质量管理体系ISO 13485:2016 GB/T 42061-2022     证书编号: CQC24QY20047R0M/1100
京ICP备05066980号-1         京公网安备110107000727号