扫码关注公众号           扫码咨询技术支持           扫码咨询技术服务
  
客服热线:400-901-9800  客服QQ:4009019800  技术答疑  技术支持  质量反馈  关于我们  联系我们
产品中心-北京博奥森生物技术有限公司
首页 > 产品中心 > 一抗 > 产品信息
Bcl-6 Rabbit pAb (bs-2734R)  
订购热线:400-901-9800
订购邮箱:sales@bioss.com.cn
订购QQ:  400-901-9800
技术支持:techsupport@bioss.com.cn
50ul/1180.00元
100ul/1980.00元
大包装/询价

产品编号 bs-2734R
英文名称 Bcl-6 Rabbit pAb
中文名称 原癌基因Bcl-6抗体
别    名 BCL5; BCL6A; LAZ3; ZBTB27; ZNF51; BCL6_HUMAN; BCL6; BCL-6; B-cell lymphoma 5 protein (BCL-5); Protein LAZ-3; Zinc finger and BTB domain-containing protein 27; Zinc finger protein 51; BCL6_MOUSE;   
Specific References  (4)     |     bs-2734R has been referenced in 4 publications.
[IF=6.208] Genxi Zhang. et al. miRNA-10a-5p Targeting the BCL6 Gene Regulates Proliferation, Differentiation and Apoptosis of Chicken Myoblasts. INT J MOL SCI. 2022 Jan;23(17):9545  WB ;  Chicken.  
[IF=2.952] Shuang Zhang. et al. Knockdown of miR‑205‑5p alleviates the inflammatory response in allergic rhinitis by targeting B‑cell lymphoma 6. Mol Med Rep. 2021 Nov;24(5):1-11  IF,IHC ;  mouse.  
[IF=2.48] Szabó, Krisztina, et al. "Expansion of circulating follicular T helper cells associates with disease severity in childhood atopic dermatitis." Immunology Letters (2017).  IHC-P ;  Human.  
[IF=1.26] Gong, Qiaoqiao, et al. "Increased levels of CCR7 (lo) PD‑1 (hi) CXCR5+ CD4+ T cells, and associated factors Bcl‑6, CXCR5, IL‑21 and IL‑6 contribute to repeated implantation failure." Experimental and Therapeutic Medicine 14.6 (2017): 5931-5941.  IHC-P ;  Human.  
研究领域 肿瘤  免疫学  信号转导  细胞凋亡  转录调节因子  
抗体来源 Rabbit
克隆类型 Polyclonal
克 隆 号
交叉反应 Human,Mouse
产品应用 WB=1:500-1000,IHC-P=1:100-500,IHC-F=1:100-500,IF=1:100-500,ELISA=1:5000-10000
not yet tested in other applications.
optimal dilutions/concentrations should be determined by the end user.
理论分子量 78 kDa
细胞定位 细胞核 
性    状 Liquid
浓    度 1mg/ml
免 疫 原 KLH conjugated synthetic peptide derived from human Bcl-6: 331-430/706 
亚    型 IgG
纯化方法 affinity purified by Protein A
缓 冲 液 0.01M TBS (pH7.4) with 1% BSA, 0.02% Proclin300 and 50% Glycerol.
保存条件 Shipped at 4℃. Store at -20℃ for one year. Avoid repeated freeze/thaw cycles.
注意事项 This product as supplied is intended for research use only, not for use in human, therapeutic or diagnostic applications.
PubMed PubMed
产品介绍 The protein encoded by this gene is a zinc finger transcription factor and contains an N-terminal POZ domain. This protein acts as a sequence-specific repressor of transcription, and has been shown to modulate the transcription of START-dependent IL-4 responses of B cells. This protein can interact with a variety of POZ-containing proteins that function as transcription corepressors. This gene is found to be frequently translocated and hypermutated in diffuse large-cell lymphoma (DLCL), and may be involved in the pathogenesis of DLCL. Alternatively spliced transcript variants encoding different protein isoforms have been found for this gene. [provided by RefSeq].

Function:
Transcriptional repressor which is required for germinal center formation and antibody affinity maturation. Probably plays an important role in lymphomagenesis.

Subunit:
Homodimer. Interacts (via BTB domain) with BCOR; the interaction is direct. Interacts (via BTB domain) with NCOR2; the interaction is direct. Interacts with ZBTB7 and BCL6B (By similarity). Interacts with the catalytic domain of HDAC9.

Subcellular Location:
Nucleus (By similarity).

Tissue Specificity:
Expressed in germinal center T and B-cells and in primary immature dendritic cells.

Post-translational modifications:
Phosphorylated by MAPK1 in response to antigen receptor activation at Ser-333 and Ser-343. Phosphorylation induces its degradation by ubiquitin/proteasome pathway.
Polyubiquitinated. Polyubiquitination leads to degradation by the proteasome.

DISEASE:
Note=Chromosomal aberrations involving BCL6 may be a cause of B-cell non-Hodgkin lymphoma. Translocation t(3;14)(q27;q32); translocation t(3;22)(q27;q11) with immunoglobulin gene regions.
Note=A chromosomal aberration involving BCL6 may be a cause of a form of B-cell leukemia. Translocation t(3;11)(q27;q23) with POU2AF1/OBF1.
Note=A chromosomal aberration involving BCL6 may be a cause of lymphoma. Translocation t(3;4)(q27;p11) with ARHH/TTF.

Similarity:
Contains 1 BTB (POZ) domain.
Contains 6 C2H2-type zinc fingers.

SWISS:
P41182

Gene ID:
604

Database links:

Entrez Gene: 604 Human

Entrez Gene: 12053 Mouse

Entrez Gene: 303836 Rat

Omim: 109565 Human

SwissProt: P41182 Human

SwissProt: P41183 Mouse

Unigene: 478588 Human



产品图片
25 ug total protein per lane of various lysates (see on figure) probed with Bcl-6 polyclonal antibody, unconjugated (bs-2734R) at 1:1000 dilution and 4°C overnight incubation. Followed by conjugated secondary antibody incubation at r.t. for 60 min.
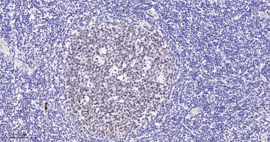
Paraformaldehyde-fixed, paraffin embedded Human Lymph; Antigen retrieval by boiling in sodium citrate buffer (pH6.0) for 15 min; The section was incubated with Bcl-6 Polyclonal Antibody, Unconjugated (bs-2734R) at 1:200 overnight at 4°C, followed by conjugation to the bs-0295G-HRP and DAB (C-0010) staining.
Paraformaldehyde-fixed, paraffin embedded Human Tonsil; Antigen retrieval by boiling in sodium citrate buffer (pH6.0) for 15 min; The section was incubated with Bcl-6 Polyclonal Antibody, Unconjugated (bs-2734R) at 1:200 overnight at 4°C, followed by conjugation to the bs-0295G-HRP and DAB (C-0010) staining.
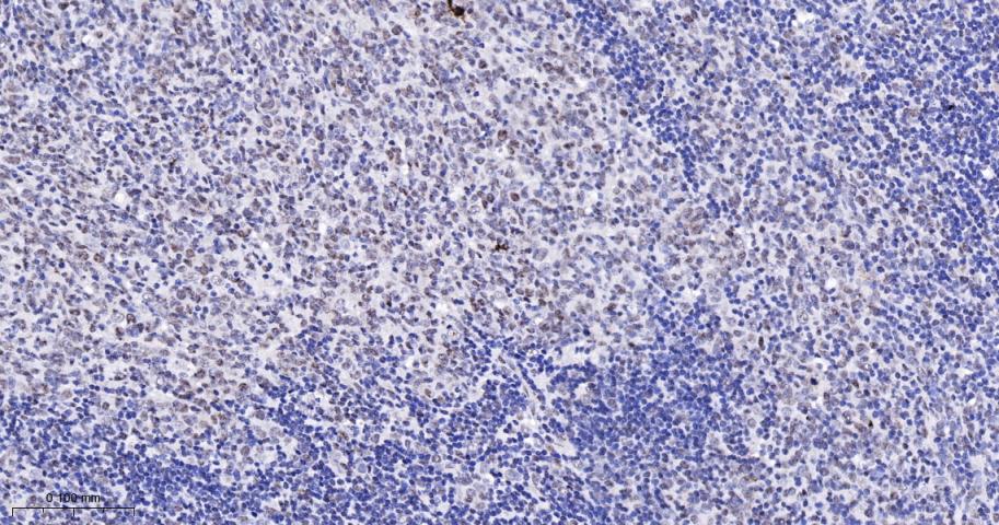
Paraformaldehyde-fixed, paraffin embedded Mouse Spleen; Antigen retrieval by boiling in sodium citrate buffer (pH6.0) for 15 min; The section was incubated with Bcl-6 Polyclonal Antibody, Unconjugated (bs-2734R) at 1:200 overnight at 4°C, followed by conjugation to the bs-0295G-HRP and DAB (C-0010) staining.
Paraformaldehyde-fixed, paraffin embedded (human lung carcinoma); Antigen retrieval by boiling in sodium citrate buffer (pH6.0) for 15min; Block endogenous peroxidase by 3% hydrogen peroxide for 20 minutes; Blocking buffer (normal goat serum) at 37°C for 30min; Incubation with (Bcl-6) Polyclonal Antibody, Unconjugated (bs-2734R) at 1:25 overnight at 4°C, followed by operating according to SP Kit(Rabbit) (sp-0023) instructionsand DAB staining.
版权所有 2004-2026 www.bioss.com.cn 北京博奥森生物技术有限公司
通过国际质量管理体系ISO 9001:2015 GB/T 19001-2016    证书编号: 00124Q34771R2M/1100
通过国际医疗器械-质量管理体系ISO 13485:2016 GB/T 42061-2022     证书编号: CQC24QY20047R0M/1100
京ICP备05066980号-1         京公网安备110107000727号