扫码关注公众号           扫码咨询技术支持           扫码咨询技术服务
  
客服热线:400-901-9800  客服QQ:4009019800  技术答疑  技术支持  质量反馈  人才招聘  关于我们  联系我们
产品中心-北京博奥森生物技术有限公司
首页 > 产品中心 > 一抗 > 产品信息
TREM2 Rabbit pAb (bs-2723R)  
订购热线:400-901-9800
订购邮箱:sales@bioss.com.cn
订购QQ:  400-901-9800
技术支持:techsupport@bioss.com.cn
50ul/1180.00元
100ul/1980.00元
大包装/询价

产品编号 bs-2723R
英文名称 TREM2 Rabbit pAb
中文名称 髓系细胞触发受体2抗体
别    名 AD17; PLOSL2; TREM-2; Trem2a; Trem2b; Trem2c; TREM2_HUMAN; TREM2; Triggering receptor expressed on monocytes 2; TREM2_MOUSE;   
Specific References  (5)     |     bs-2723R has been referenced in 5 publications.
[IF=7.561] Elizabeth Olmsted-Davis. et al. A Population of M2 Macrophages Associated With Bone Formation. Front Immunol. 2021; 12: 686769  FC ;  Mouse.  
[IF=6.986] Dai Shi. et al. Synthesis and Evaluation of 68Ga-NOTA-COG1410 Targeting to TREM2 of TAMs as a Specific PET Probe for Digestive Tumor Diagnosis. Anal Chem. 2022;94(9):3819–3830  WB,IF,IHC ;  Mouse,Human.  
[IF=4.39] Satoh, Jun-ichi, et al. "A survey of TREM2 antibodies reveals neuronal but not microglial staining in formalin-fixed paraffin-embedded postmortem Alzheimer's brain tissues." Alzheimer's research & therapy 5.4 (2013): 30.  WB ;  Human.  
[IF=4.12] Rai et al. Vitamin D attenuates inflammation, fatty infiltration, and cartilage loss in the knee of hyperlipidemic microswine. (2016) Arthritis.Res.The. 18:203  IF ;  Pig.  
[IF=1.936] Li et al. TREM2 inhibits inflammatory responses in mouse microglia by suppressing the PI3K/NF-κB signaling. (2018) Cell.Biol.Int. Apr 16.  IF&WB ;  
研究领域 免疫学  
抗体来源 Rabbit
克隆类型 Polyclonal
克 隆 号
交叉反应 Human,Mouse,Rat
产品应用 WB=1:500-2000,IHC-P=1:50-200,IHC-F=1:50-200,IF=1:50-200
not yet tested in other applications.
optimal dilutions/concentrations should be determined by the end user.
理论分子量 25 kDa
检测分子量 35-40
细胞定位 细胞膜 分泌型蛋白 
性    状 Liquid
浓    度 1mg/ml
免 疫 原 KLH conjugated synthetic peptide derived from human TREM2 <Extracellular>
亚    型 IgG
纯化方法 affinity purified by Protein A
缓 冲 液 0.01M TBS (pH7.4) with 1% BSA, 0.02% Proclin300 and 50% Glycerol.
保存条件 Shipped at 4℃. Store at -20℃ for one year. Avoid repeated freeze/thaw cycles.
注意事项 This product as supplied is intended for research use only, not for use in human, therapeutic or diagnostic applications.
PubMed PubMed
产品介绍 This gene encodes a membrane protein that forms a receptor signaling complex with the TYRO protein tyrosine kinase binding protein. The encoded protein functions in immune response and may be involved in chronic inflammation by triggering the production of constitutive inflammatory cytokines. Defects in this gene are a cause of polycystic lipomembranous osteodysplasia with sclerosing leukoencephalopathy (PLOSL). Alternative splicing results in multiple transcript variants encoding different isoforms. [provided by RefSeq, Nov 2012]

Function:
May have a role in chronic inflammations and may stimulate production of constitutive rather than inflammatory chemokines and cytokines. Forms a receptor signaling complex with TYROBP and triggers activation of the immune responses in macrophages and dendritic cells.

Subunit:
Interacts with TYROBP/DAP12.

Subcellular Location:
Isoform 1: Cell membrane; Single-pass type I membrane protein (Potential).
Isoform 2: Secreted (Potential).
Isoform 3: Secreted (Potential).

Tissue Specificity:
Expressed on macrophages and dendritic cells but not on granulocytes or monocytes. In the CNS strongest expression seen in the basal ganglia, corpus callosum, medulla oblongata and spinal cord.

DISEASE:
Defects in TREM2 are a cause of polycystic lipomembranous osteodysplasia with sclerosing leukoencephalopathy (PLOSL) [MIM:221770]; also known as presenile dementia with bone cysts or Nasu-Hakola disease (NHD). PLOSL is a recessively inherited disease characterized by a combination of psychotic symptoms rapidly progressing to presenile dementia and bone cysts restricted to wrists and ankles. PLOSL has a global distribution, although most of the patients have been diagnosed in Finland and Japan, with an estimated population prevalence of 2x10(-6) in the Finns.

Similarity:
Contains 1 Ig-like V-type (immunoglobulin-like) domain.

SWISS:
Q9NZC2

Gene ID:
54209

Database links:

Entrez Gene: 54209 Human

Entrez Gene: 83433 Mouse

Omim: 605086 Human

SwissProt: Q9NZC2 Human

SwissProt: Q99NH8 Mouse

Unigene: 435295 Human

Unigene: 261623 Mouse



TREM-2是近年来发现应用于诊断炎症性疾病的重要标记物,也是感染性疾病的预警指标,与细菌感染的严重程度相关。
TREM2属于免疫球蛋白超家族TREM,表达于白细胞的细胞膜表面受体,TREM-选择性地表达于中性粒细胞和部分单核细胞,它介导的信号传导通路在炎症的发生和级联放大中起重要作用。
产品图片
Sample: Lane 1: Mouse Raw264.7 cell lysates Lane 2: Mouse Spleen tissue lysates Lane 3: Mouse Cerebrum tissue lysates Lane 4: Mouse BV2 cell lysates Lane 5: Mouse Lung tissue lysates Lane 6: Rat Spleen tissue lysates Lane 7: Rat Cerebrum tissue lysates Primary: Anti-TREM2 (bs-2723R) at 1/1000 dilution Secondary: IRDye800CW Goat Anti-Rabbit IgG at 1/20000 dilution Predicted band size: 25 kDa Observed band size: 24 kDa
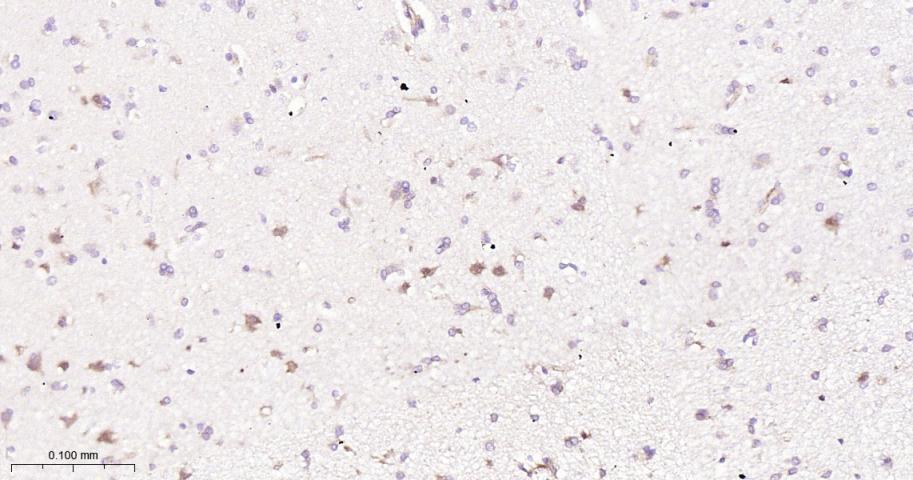
Paraformaldehyde-fixed, paraffin embedded Human Glioma; Antigen retrieval by boiling in sodium citrate buffer (pH6.0) for 15 min; The section was incubated with TREM2 Polyclonal Antibody, Unconjugated (bs-2723R) at 1:150 overnight at 4°C, followed by conjugation to the bs-0295G-HRP and DAB (C-0010) staining.
版权所有 2004-2026 www.bioss.com.cn 北京博奥森生物技术有限公司
通过国际质量管理体系ISO 9001:2015 GB/T 19001-2016    证书编号: 00124Q34771R2M/1100
通过国际医疗器械-质量管理体系ISO 13485:2016 GB/T 42061-2022     证书编号: CQC24QY20047R0M/1100
京ICP备05066980号-1         京公网安备110107000727号