扫码关注公众号           扫码咨询技术支持           扫码咨询技术服务
  
客服热线:400-901-9800  客服QQ:4009019800  技术答疑  技术支持  质量反馈  关于我们  联系我们
产品中心-北京博奥森生物技术有限公司
首页 > 产品中心 > 一抗 > 产品信息
IFNGR2 Rabbit pAb (bs-2710R)  
订购热线:400-901-9800
订购邮箱:sales@bioss.com.cn
订购QQ:  400-901-9800
技术支持:techsupport@bioss.com.cn
50ul/1180.00元
100ul/1980.00元
200ul/2800.00元
大包装/询价

产品编号 bs-2710R
英文名称 IFNGR2 Rabbit pAb
中文名称 干扰素-gamma受体2/干扰素-gamma受体β/IFN-γRβ抗体
别    名 AF-1; IFGR2; IFNGT1; IMD28; Ifgt; INGR2_HUMAN; IFNGR2; IFN-gamma receptor 2; IFN-gamma-R2; Interferon gamma receptor accessory factor 1 (AF-1); Interferon gamma receptor beta-chain (IFN-gamma-R-beta); Interferon gamma transducer 1;   
Specific References  (3)     |     bs-2710R has been referenced in 3 publications.
[IF=9.91] Kunis, Gilad, et al. "IFN-γ-dependent activation of the brain’s choroid plexus for CNS immune surveillance and repair." Brain (2013): awt259.  Mouse.  
[IF=3.657] Jing Miao. et al. Carnosine Synthase 1 Contributes to Interferon Gamma-Induced Arginine Depletion via Mitogen-activated Protein Kinase 11 Signaling in Bovine Mammary Epithelial Cells. J INTERF CYTOK RES. 2022 Jul 27  WB ;  Bovine.  
[IF=0] Xia, Xj, et al. "Autophagy mediated by arginine depletion activation of the nutrient sensor GCN2 contributes to interferon-γ-induced malignant transformation of primary bovine mammary epithelial cells." Cell Death Discovery 2 (2016).  IHC-P ;  Bovine.  
研究领域 肿瘤  免疫学  转录调节因子  
抗体来源 Rabbit
克隆类型 Polyclonal
克 隆 号
交叉反应 Human (predicted: Mouse,Rat,Rabbit,Cow,Dog)
产品应用 WB=1:500-2000,IHC-P=1:100-500,IHC-F=1:100-500,IF=1:100-500
not yet tested in other applications.
optimal dilutions/concentrations should be determined by the end user.
理论分子量 36 kDa
细胞定位 细胞膜 
性    状 Liquid
浓    度 1mg/ml
免 疫 原 KLH conjugated synthetic peptide derived from human IFNGR2: 241-337/337 <Extracellular>
亚    型 IgG
纯化方法 affinity purified by Protein A
缓 冲 液 0.01M TBS (pH7.4) with 1% BSA, 0.02% Proclin300 and 50% Glycerol.
保存条件 Shipped at 4℃. Store at -20℃ for one year. Avoid repeated freeze/thaw cycles.
注意事项 This product as supplied is intended for research use only, not for use in human, therapeutic or diagnostic applications.
PubMed PubMed
产品介绍 IFN gamma receptor beta is part of the receptor for interferon gamma. This class II cytokine receptor pairs with CDw119 to form the IFN gamma receptor and is an integral part of the IFN gamma signal transduction pathway. CDw119 serves as the IFN gamma binding chain and associates with the IFN gamma beta chain which is required for receptor signaling. The extracellular portion of both the IFN gamma receptor alpha and beta chains must be species matched. The IFN gamma receptor beta chain is expressed on T and B cells, NK cells, monocytes/ macrophages, and fibroblasts. Binding of IFN gamma induces receptor dimerization, internalization, Jak1 and Jak2 protein kinase activation and, ultimately, STAT1 activation. It is also likely to interact with GAF. IFN gamma initiates and regulates a variety of immune responses and is required for signal transduction. Contains 2 fibronectin type III domains. Defects in IFN gamma Receptor beta are a cause of mendelian susceptibility to mycobacterial disease (MSMD), a rare condition that confers predisposition to illness caused by several mycobacteria strains.

Function:
Part of the receptor for interferon gamma. Required for signal transduction. This accessory factor is an integral part of the IFN-gamma signal transduction pathway and is likely to interact with GAF, JAK1, and/or JAK2.

Subcellular Location:
Membrane; Single-pass type I membrane protein.

DISEASE:
Defects in IFNGR2 are a cause of mendelian susceptibility to mycobacterial disease (MSMD) [MIM:209950]; also known as familial disseminated atypical mycobacterial infection. This rare condition confers predisposition to illness caused by moderately virulent mycobacterial species, such as Bacillus Calmette-Guerin (BCG) vaccine and environmental non-tuberculous mycobacteria, and by the more virulent Mycobacterium tuberculosis. Other microorganisms rarely cause severe clinical disease in individuals with susceptibility to mycobacterial infections, with the exception of Salmonella which infects less than 50% of these individuals. The pathogenic mechanism underlying MSMD is the impairment of interferon-gamma mediated immunity, whose severity determines the clinical outcome. Some patients die of overwhelming mycobacterial disease with lepromatous-like lesions in early childhood, whereas others develop, later in life, disseminated but curable infections with tuberculoid granulomas. MSMD is a genetically heterogeneous disease with autosomal recessive, autosomal dominant or X-linked inheritance.

Similarity:
Belongs to the type II cytokine receptor family.
Contains 2 fibronectin type-III domains.

SWISS:
P38484

Gene ID:
3460

Database links:

Entrez Gene: 3460 Human

Entrez Gene: 15980 Mouse

Entrez Gene: 360697 Rat

Omim: 147569 Human

SwissProt: P38484 Human

Unigene: 634632 Human



产品图片
Sample: Lane 1: Human 293T cell lysates Lane 2: Human K562 cell lysates Lane 3: Human U937 cell lysates Primary: Anti-IFNGR2 (bs-2710R) at 1/1000 dilution Secondary: IRDye800CW Goat Anti-Rabbit IgG at 1/20000 dilution Predicted band size: 36 kD Observed band size: 35 kD
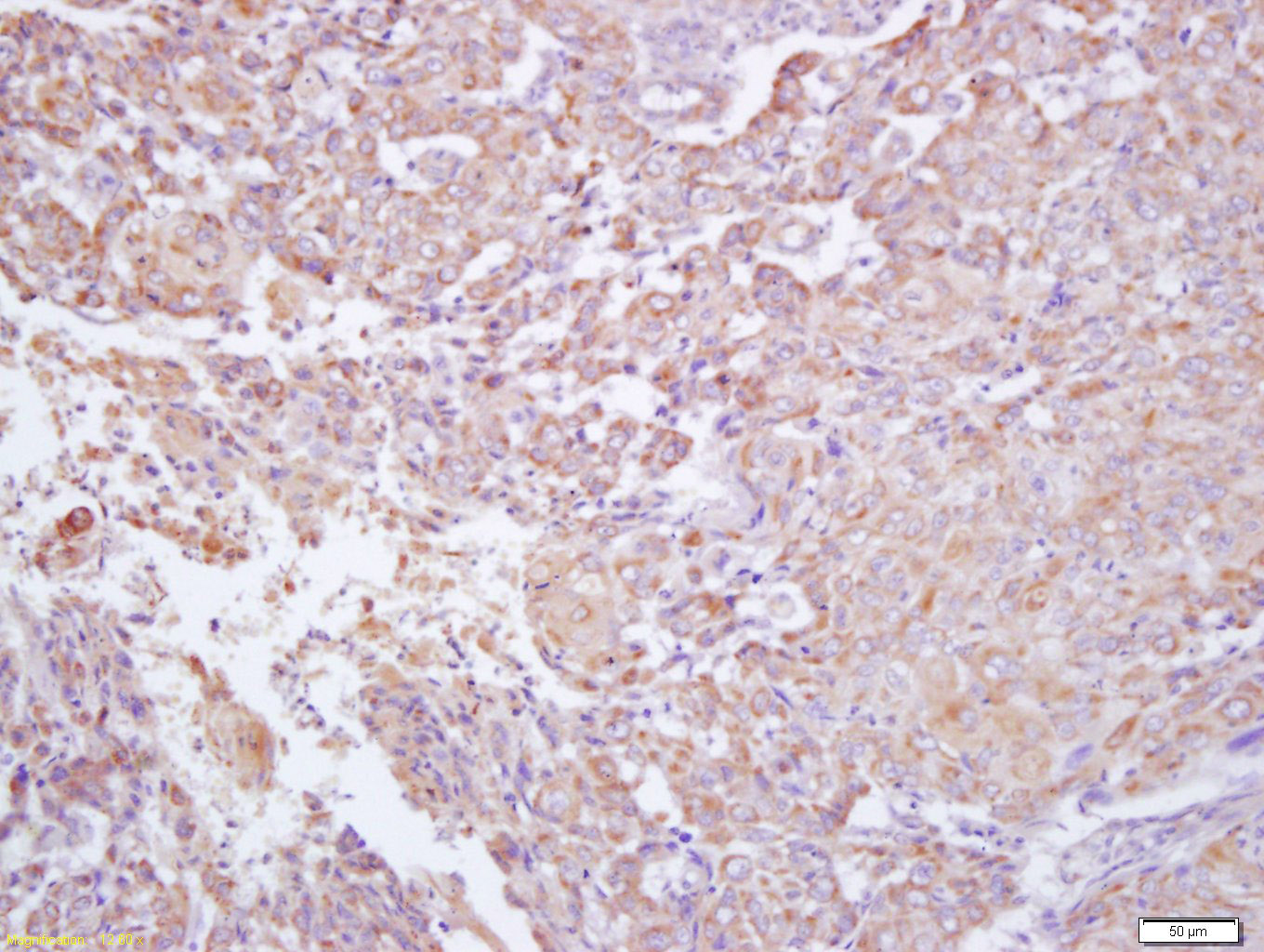
Tissue/cell: human laryngocarcinoma; 4% Paraformaldehyde-fixed and paraffin-embedded; Antigen retrieval: citrate buffer ( 0.01M, pH 6.0 ), Boiling bathing for 15min; Block endogenous peroxidase by 3% Hydrogen peroxide for 30min; Blocking buffer (normal goat serum,C-0005) at 37℃ for 20 min; Incubation: Anti-IFNGR2 Polyclonal Antibody, Unconjugated(bs-2710R) 1:200, overnight at 4°C, followed by conjugation to the secondary antibody(SP-0023) and DAB(C-0010) staining
版权所有 2004-2026 www.bioss.com.cn 北京博奥森生物技术有限公司
通过国际质量管理体系ISO 9001:2015 GB/T 19001-2016    证书编号: 00124Q34771R2M/1100
通过国际医疗器械-质量管理体系ISO 13485:2016 GB/T 42061-2022     证书编号: CQC24QY20047R0M/1100
京ICP备05066980号-1         京公网安备110107000727号