扫码关注公众号           扫码咨询技术支持           扫码咨询技术服务
  
客服热线:400-901-9800  客服QQ:4009019800  技术答疑  技术支持  质量反馈  人才招聘  关于我们  联系我们
产品中心-北京博奥森生物技术有限公司
首页 > 产品中心 > 一抗 > 产品信息
CD134 Rabbit pAb (bs-2685R)  
订购热线:400-901-9800
订购邮箱:sales@bioss.com.cn
订购QQ:  400-901-9800
技术支持:techsupport@bioss.com.cn
50ul/1180.00元
100ul/1980.00元
200ul/2800.00元
大包装/询价

产品编号 bs-2685R
英文名称 CD134 Rabbit pAb
中文名称 CD134抗体
别    名 ACT35; CD134; IMD16; OX40; TXGP1L; TNR4_HUMAN; TNFRSF4; ACT35 antigen; OX40L receptor; TAX transcriptionally-activated glycoprotein 1 receptor;   
Specific References  (1)     |     bs-2685R has been referenced in 1 publications.
[IF=12.91] Kai Ye. et al. An armed oncolytic virus enhances the efficacy of tumor-infiltrating lymphocyte therapy by converting tumors to artificial antigen presenting cells in situ. MOL THER. 2022 Jun;:  IHC ;  Mouse.  
抗体来源 Rabbit
克隆类型 Polyclonal
克 隆 号
交叉反应 Human (predicted: Mouse,Rat,Cow,Dog,Horse)
产品应用 IHC-P=1:100-500,IHC-F=1:100-500,IF=1:100-500
not yet tested in other applications.
optimal dilutions/concentrations should be determined by the end user.
理论分子量 27 kDa
细胞定位 细胞膜 
性    状 Liquid
浓    度 1mg/ml
免 疫 原 KLH conjugated synthetic peptide derived from human TNFRSF4: 101-200/277 
亚    型 IgG
纯化方法 affinity purified by Protein A
缓 冲 液 0.01M TBS (pH7.4) with 1% BSA, 0.02% Proclin300 and 50% Glycerol.
保存条件 Shipped at 4℃. Store at -20℃ for one year. Avoid repeated freeze/thaw cycles.
注意事项 This product as supplied is intended for research use only, not for use in human, therapeutic or diagnostic applications.
PubMed PubMed
产品介绍 The protein encoded by this gene is a member of the TNF-receptor superfamily. This receptor has been shown to activate NF-kappaB through its interaction with adaptor proteins TRAF2 and TRAF5. Knockout studies in mice suggested that this receptor promotes the expression of apoptosis inhibitors BCL2 and BCL2lL1/BCL2-XL, and thus suppresses apoptosis. The knockout studies also suggested the roles of this receptor in CD4+ T cell response, as well as in T cell-dependent B cell proliferation and differentiation. [provided by RefSeq, Jul 2008].

Function:
Receptor for TNFSF4/OX40L/GP34.

Subunit:
Interacts with TRAF2, TRAF3 and TRAF5.

Subcellular Location:
Membrane; Single-pass type I membrane protein.

Similarity:
Contains 4 TNFR-Cys repeats.

SWISS:
P43489

Gene ID:
7293

Database links:

Entrez Gene: 7293 Human

Omim: 600315 Human

SwissProt: P43489 Human

Unigene: 129780 Human



产品图片
Paraformaldehyde-fixed, paraffin embedded (human gastric carcinoma); Antigen retrieval by boiling in sodium citrate buffer (pH6.0) for 15min; Block endogenous peroxidase by 3% hydrogen peroxide for 20 minutes; Blocking buffer (normal goat serum) at 37°C for 30min; Antibody incubation with (CD134) Polyclonal Antibody, Unconjugated (bs-2685R) at 1:200 overnight at 4°C, followed by operating according to SP Kit(Rabbit) (sp-0023) instructionsand DAB staining.
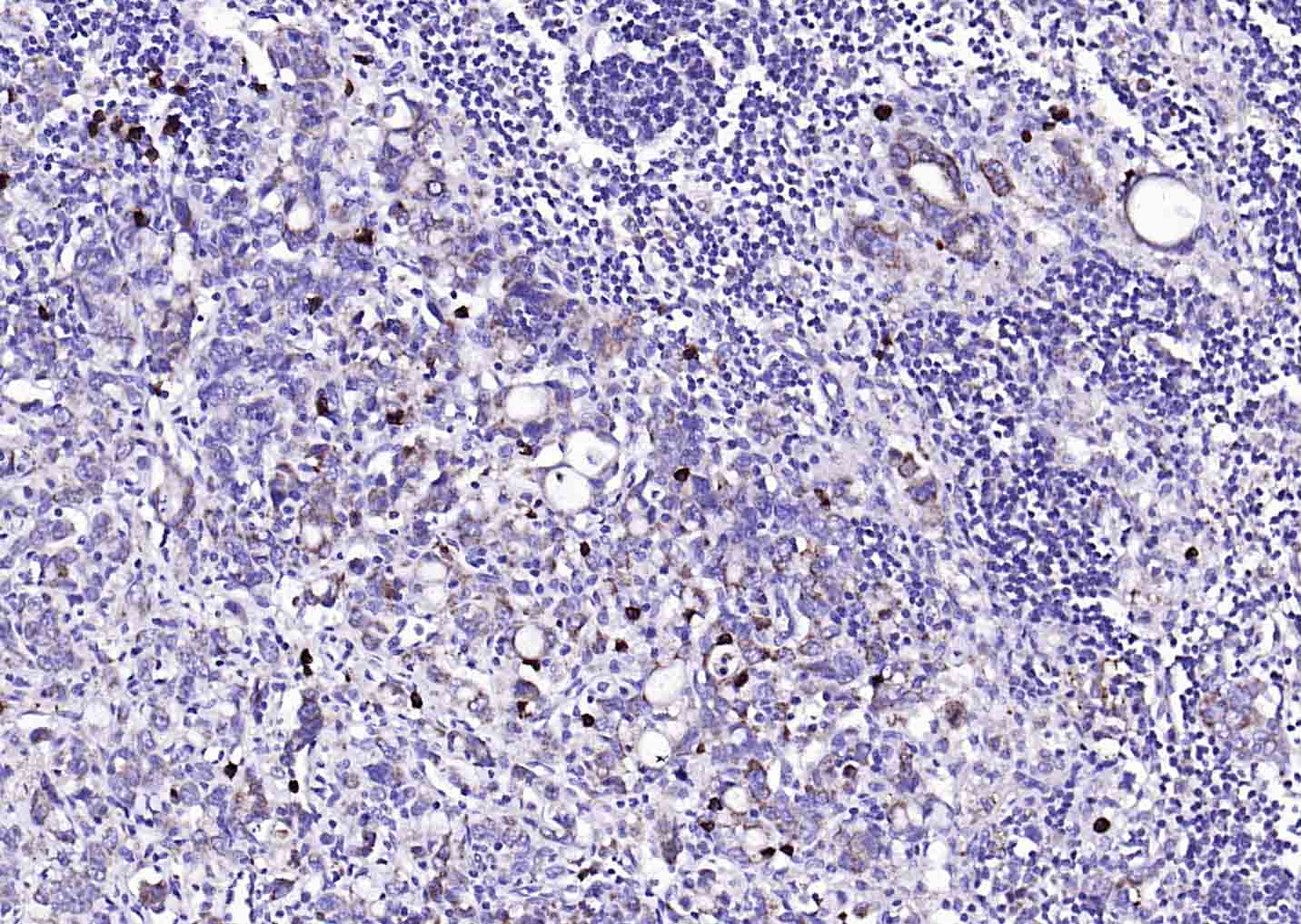
Paraformaldehyde-fixed, paraffin embedded (human tonsil); Antigen retrieval by boiling in sodium citrate buffer (pH6.0) for 15min; Block endogenous peroxidase by 3% hydrogen peroxide for 20 minutes; Blocking buffer (normal goat serum) at 37°C for 30min; Antibody incubation with (CD134) Polyclonal Antibody, Unconjugated (bs-2685R) at 1:200 overnight at 4°C, followed by operating according to SP Kit(Rabbit) (sp-0023) instructionsand DAB staining.
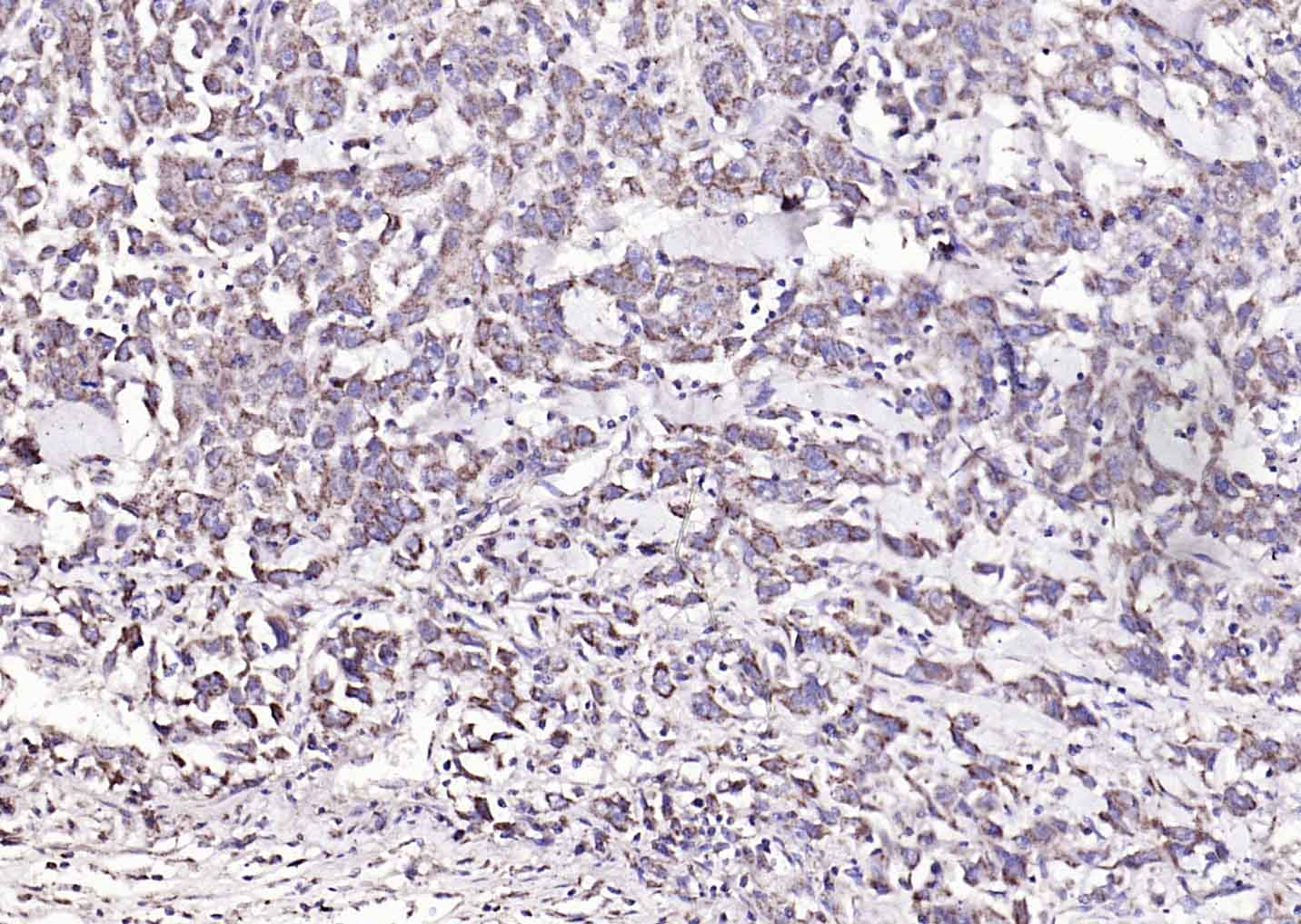
Paraformaldehyde-fixed, paraffin embedded (human colon carcinoma); Antigen retrieval by boiling in sodium citrate buffer (pH6.0) for 15min; Block endogenous peroxidase by 3% hydrogen peroxide for 20 minutes; Blocking buffer (normal goat serum) at 37°C for 30min; Antibody incubation with (CD134) Polyclonal Antibody, Unconjugated (bs-2685R) at 1:200 overnight at 4°C, followed by operating according to SP Kit(Rabbit) (sp-0023) instructionsand DAB staining.
Paraformaldehyde-fixed, paraffin embedded (human lung carcinoma); Antigen retrieval by boiling in sodium citrate buffer (pH6.0) for 15min; Block endogenous peroxidase by 3% hydrogen peroxide for 20 minutes; Blocking buffer (normal goat serum) at 37°C for 30min; Antibody incubation with (CD134) Polyclonal Antibody, Unconjugated (bs-2685R) at 1:200 overnight at 4°C, followed by operating according to SP Kit(Rabbit) (sp-0023) instructionsand DAB staining.
版权所有 2004-2026 www.bioss.com.cn 北京博奥森生物技术有限公司
通过国际质量管理体系ISO 9001:2015 GB/T 19001-2016    证书编号: 00124Q34771R2M/1100
通过国际医疗器械-质量管理体系ISO 13485:2016 GB/T 42061-2022     证书编号: CQC24QY20047R0M/1100
京ICP备05066980号-1         京公网安备110107000727号