扫码关注公众号           扫码咨询技术支持           扫码咨询技术服务
  
客服热线:400-901-9800  客服QQ:4009019800  技术答疑  技术支持  质量反馈  关于我们  联系我们
产品中心-北京博奥森生物技术有限公司
首页 > 产品中心 > 一抗 > 产品信息
GPNMB Rabbit pAb (bs-2684R)  
订购热线:400-901-9800
订购邮箱:sales@bioss.com.cn
订购QQ:  400-901-9800
技术支持:techsupport@bioss.com.cn
50ul/1180.00元
100ul/1980.00元
200ul/2800.00元
大包装/询价

产品编号 bs-2684R
英文名称 GPNMB Rabbit pAb
中文名称 GPNMB抗体
别    名 HGFIN; NMB; PLCA3; DC-HIL; Dchil; ipd; GPNMB_HUMAN; GPNMB; Hematopoietic growth factor inducible neurokinin-1 type; GPNMB_MOUSE; Dendritic cell-associated transmembrane protein; Osteoactivin; GPNMB_RAT;   
Specific References  (9)     |     bs-2684R has been referenced in 9 publications.
[IF=6.847] Carmen Härdtner. et al. A comparative gene expression matrix in Apoe-deficient mice identifies unique and atherosclerotic disease stage-specific gene regulation patterns in monocytes and macrophages. ATHEROSCLEROSIS. 2023 Apr;371:1  IF ;  Mouse.  
[IF=5.17] Oyewumi et al. Osteoactivin (GPNMB) ectodomain protein promotes growth and invasive behavior of human lung cancer cells. (2016) Oncotarge. 7:13932-44  IHC ;  Human.  
[IF=5.1] Neal et al. The glycoprotein GPNMB attenuates astrocyte inflammatory responses through the CD44 receptor. (2018) J.Neuroinflammation. 15:73  IF(ICC) ;  Mouse.  
[IF=4.6] Abdelmagid, Samir M., et al. "Mutation in Osteoactivin Promotes RANKL-Mediated Osteoclast Differentiation and Survival, but Inhibits Osteoclast Function." Journal of Biological Chemistry (2015): jbc-M114.  WB ;  Mouse.  
[IF=4.183] Zhu Y et al. Protein Expression Profile in Rat Silicosis Model Reveals Upregulation of PTPN2 and Its Inhibitory Effect on Epithelial-Mesenchymal Transition by Dephosphorylation of STAT3. Int J Mol Sci. 2020 Feb 11;21(4).  WB ;  Rat&Mouse.  
[IF=3.84] Arosarena, Oneida A., et al. "Osteoactivin Promotes Migration of Oral Squamous Cell Carcinomas." Journal of Cellular Physiology (2016).  WB ;  Human.  
[IF=1.72] Frara, Nagat, et al. "Growth and repair factors, osteoactivin, matrix metalloproteinase and heat shock protein 72, increase with resolution of inflammation in musculotendinous tissues in a rat model of repetitive grasping." BMC Musculoskeletal Disorders 17.1 (2016): 1.  WB ;  Rat.  
[IF=1.42] Ruan, Wei-Min, et al. "Differential expression of glycoprotein non-metastatic melanoma protein B (GPNMB) involved in trichostatin A-induced apoptosis in gastric cancer." International journal of clinical and experimental medicine 7.12 (2014): 4857-4866.  IHC-P ;  Human.  
[IF=0] Sondag, Gregory R. OSTEOACTIVIN AND CD44: A NOVEL INTERACTION REGULATING BONE CELL DIFFERENTIATION AND FUNCTION. Diss. Kent State University, 2015.  WB ;  Mouse.  
研究领域 免疫学  
抗体来源 Rabbit
克隆类型 Polyclonal
克 隆 号
交叉反应 Human,Rat (predicted: Pig,Cow,GuineaPig,Horse)
产品应用 WB=1:500-2000,IHC-P=1:100-500,IHC-F=1:100-500,IF=1:100-500
not yet tested in other applications.
optimal dilutions/concentrations should be determined by the end user.
理论分子量 61 kDa
细胞定位 细胞膜 
性    状 Liquid
浓    度 1mg/ml
免 疫 原 KLH conjugated synthetic peptide derived from human GPNMB: 81-180/572 <Extracellular>
亚    型 IgG
纯化方法 affinity purified by Protein A
缓 冲 液 0.01M TBS (pH7.4) with 1% BSA, 0.02% Proclin300 and 50% Glycerol.
保存条件 Shipped at 4℃. Store at -20℃ for one year. Avoid repeated freeze/thaw cycles.
注意事项 This product as supplied is intended for research use only, not for use in human, therapeutic or diagnostic applications.
PubMed PubMed
产品介绍 The protein encoded by this gene is a type I transmembrane glycoprotein which shows homology to the pMEL17 precursor, a melanocyte-specific protein. GPNMB shows expression in the lowly metastatic human melanoma cell lines and xenografts but does not show expression in the highly metastatic cell lines. GPNMB may be involved in growth delay and reduction of metastatic potential. Two transcript variants encoding different isoforms have been found for this gene. [provided by RefSeq, Jul 2008]

Function:
Could be a melanogenic enzyme.

Subcellular Location:
Membrane; Single-pass type I membrane protein (Potential). Melanosome. Note=Identified by mass spectrometry in melanosome fractions from stage I to stage IV.

Tissue Specificity:
Not restricted to the melanocytic lineage.

Similarity:
Belongs to the PMEL/NMB family.
Contains 1 PKD domain.

SWISS:
Q14956

Gene ID:
10457

Database links:

Entrez Gene: 10457 Human

Entrez Gene: 93695 Mouse

Entrez Gene: 113955 Rat

Omim: 604368 Human

SwissProt: Q14956 Human

SwissProt: Q99P91 Mouse

SwissProt: Q6P7C7 Rat

Unigene: 190495 Human

Unigene: 302602 Mouse

Unigene: 13778 Rat



产品图片
Sample: Lane 1: Recombinant human GPNMB protein, C-His (HEK293)(bs-43555P) Primary: Anti-GPNMB (bs-2684R) at 1/1000 dilution Secondary: IRDye800CW Goat Anti-Rabbit IgG at 1/20000 dilution Predicted band size: 61 kDa Observed band size: 65 kDa
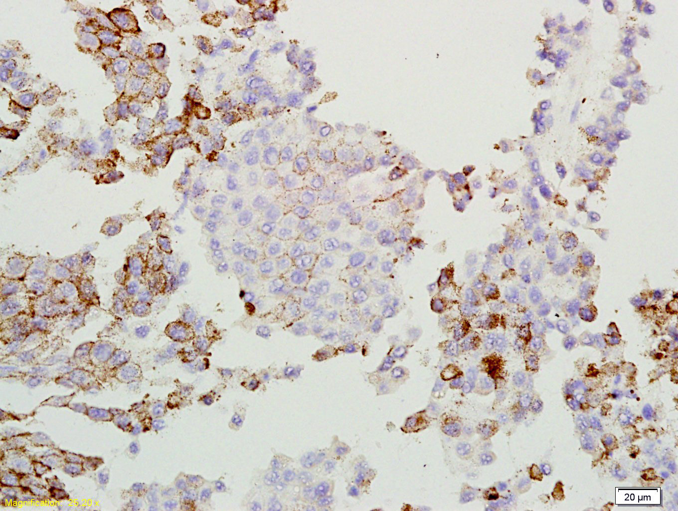
Tissue/cell: rat lung tissue(melanoma); 4% Paraformaldehyde-fixed and paraffin-embedded; Antigen retrieval: citrate buffer ( 0.01M, pH 6.0 ), Boiling bathing for 15min; Block endogenous peroxidase by 3% Hydrogen peroxide for 30min; Blocking buffer (normal goat serum,C-0005) at 37鈩� for 20 min; Incubation: Anti-GPNMB/Osteoactivin Polyclonal Antibody, Unconjugated(bs-2684R) 1:200, overnight at 4掳C, followed by conjugation to the secondary antibody(SP-0023) and DAB(C-0010) staining
版权所有 2004-2026 www.bioss.com.cn 北京博奥森生物技术有限公司
通过国际质量管理体系ISO 9001:2015 GB/T 19001-2016    证书编号: 00124Q34771R2M/1100
通过国际医疗器械-质量管理体系ISO 13485:2016 GB/T 42061-2022     证书编号: CQC24QY20047R0M/1100
京ICP备05066980号-1         京公网安备110107000727号