扫码关注公众号           扫码咨询技术支持           扫码咨询技术服务
  
客服热线:400-901-9800  客服QQ:4009019800  技术答疑  技术支持  质量反馈  人才招聘  关于我们  联系我们
产品中心-北京博奥森生物技术有限公司
首页 > 产品中心 > 一抗 > 产品信息
PENK Rabbit pAb (bs-2106R)  
订购热线:400-901-9800
订购邮箱:sales@bioss.com.cn
订购QQ:  400-901-9800
技术支持:techsupport@bioss.com.cn
50ul/1180.00元
100ul/1980.00元
大包装/询价

产品编号 bs-2106R
英文名称 PENK Rabbit pAb
中文名称 脑啡肽抗体
别    名 PE; PENK-A; ENK; PPA; Penk1; Penk-rs; Penk2; PENK_HUMAN; PENK; PENK_MOUSE; PENK_RAT;   
研究领域 神经生物学  
抗体来源 Rabbit
克隆类型 Polyclonal
克 隆 号
交叉反应 Human,Mouse,Rat
产品应用 IHC-P=1:50-200,IHC-F=1:50-200,IF=1:50-200
not yet tested in other applications.
optimal dilutions/concentrations should be determined by the end user.
理论分子量 29 kDa
细胞定位 分泌型蛋白 
性    状 Liquid
浓    度 1mg/ml
免 疫 原 KLH conjugated synthetic peptide derived from human PENK: 21-120/267 
亚    型 IgG
纯化方法 affinity purified by Protein A
缓 冲 液 0.01M TBS (pH7.4) with 1% BSA, 0.02% Proclin300 and 50% Glycerol.
保存条件 Shipped at 4℃. Store at -20℃ for one year. Avoid repeated freeze/thaw cycles.
注意事项 This product as supplied is intended for research use only, not for use in human, therapeutic or diagnostic applications.
PubMed PubMed
产品介绍 This gene encodes a preproprotein that is proteolytically processed to generate multiple protein products. These products include the pentapeptide opioids Met-enkephalin and Leu-enkephalin, which are stored in synaptic vesicles, then released into the synapse where they bind to mu- and delta-opioid receptors to modulate the perception of pain. Other non-opioid cleavage products may function in distinct biological activities. [provided by RefSeq, Jul 2015]

Function:
Met- and Leu-enkephalins compete with and mimic the effects of opiate drugs. They play a role in a number of physiologic functions, including pain perception and responses to stress. PENK(114-133) and PENK(237-258) increase glutamate release in the striatum. PENK(114-133) decreases GABA concentration in the striatum.

Subcellular Location:
Secreted.

Post-translational modifications:
The N-terminal domain contains 6 conserved cysteines thought to be involved in disulfide bonding and/or processing.

Similarity:
Belongs to the opioid neuropeptide precursor family.

SWISS:
P01210

Gene ID:
5179

Database links:

Entrez Gene: 5179 Human

Entrez Gene: 18619 Mouse

Entrez Gene: 29237 Rat

Omim: 131330 Human

SwissProt: P01210 Human

SwissProt: P22005 Mouse

SwissProt: P04094 Rat

Unigene: 339831 Human

Unigene: 475097 Mouse

Unigene: 10015 Rat



产品图片
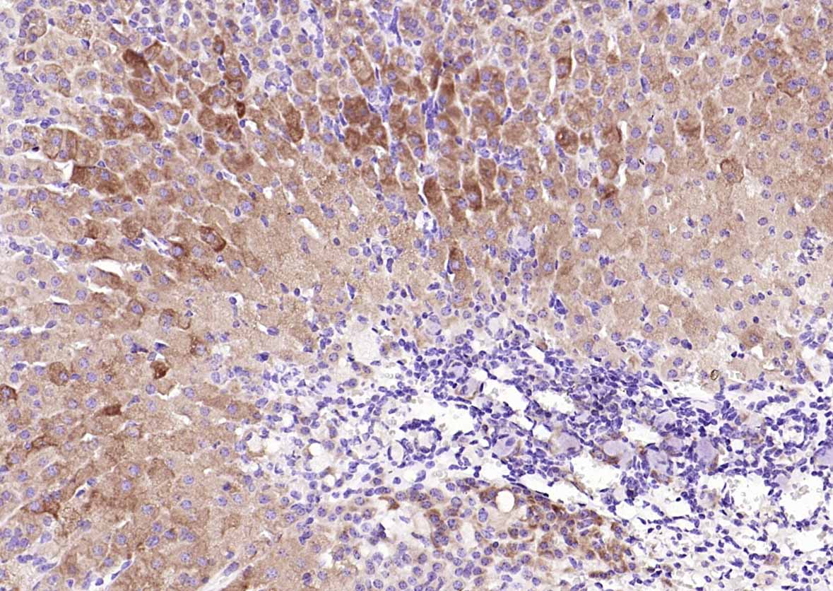
Paraformaldehyde-fixed, paraffin embedded (mouse adrenal gland); Antigen retrieval by boiling in sodium citrate buffer (pH6.0) for 15min; Block endogenous peroxidase by 3% hydrogen peroxide for 20 minutes; Blocking buffer (normal goat serum) at 37°C for 30min; Incubation with (PENK) Polyclonal Antibody, Unconjugated (bs-2106R) at 1:200 overnight at 4°C, followed by operating according to SP Kit(Rabbit) (sp-0023) instructionsand DAB staining.
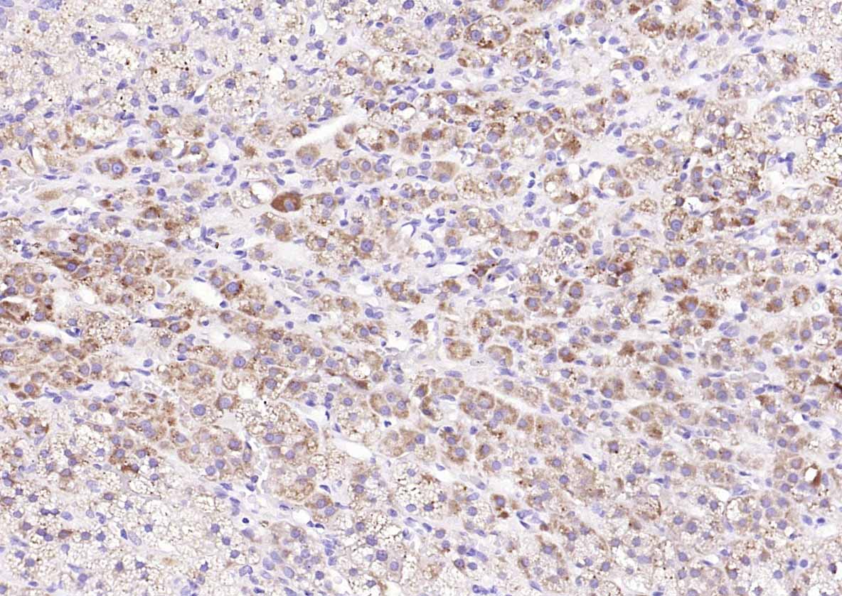
Paraformaldehyde-fixed, paraffin embedded (human adrenal gland); Antigen retrieval by boiling in sodium citrate buffer (pH6.0) for 15min; Block endogenous peroxidase by 3% hydrogen peroxide for 20 minutes; Blocking buffer (normal goat serum) at 37°C for 30min; Incubation with (PENK) Polyclonal Antibody, Unconjugated (bs-2106R) at 1:200 overnight at 4°C, followed by operating according to SP Kit(Rabbit) (sp-0023) instructionsand DAB staining.
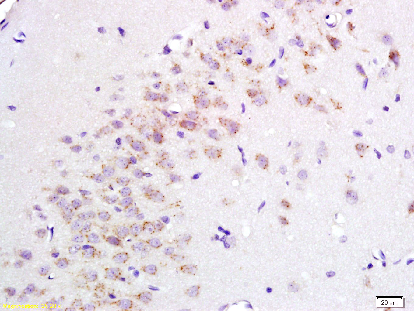
Tissue/cell: rat brain tissue; 4% Paraformaldehyde-fixed and paraffin-embedded; Antigen retrieval: citrate buffer ( 0.01M, pH 6.0 ), Boiling bathing for 15min; Block endogenous peroxidase by 3% Hydrogen peroxide for 30min; Blocking buffer (normal goat serum,C-0005) at 37℃ for 20 min; Incubation: Anti-Enkephalin/P-ENK Polyclonal Antibody, Unconjugated(bs-2106R) 1:200, overnight at 4°C, followed by conjugation to the secondary antibody(SP-0023) and DAB(C-0010) staining
版权所有 2004-2026 www.bioss.com.cn 北京博奥森生物技术有限公司
通过国际质量管理体系ISO 9001:2015 GB/T 19001-2016    证书编号: 00124Q34771R2M/1100
通过国际医疗器械-质量管理体系ISO 13485:2016 GB/T 42061-2022     证书编号: CQC24QY20047R0M/1100
京ICP备05066980号-1         京公网安备110107000727号