扫码关注公众号           扫码咨询技术支持           扫码咨询技术服务
  
客服热线:400-901-9800  客服QQ:4009019800  技术答疑  技术支持  质量反馈  人才招聘  关于我们  联系我们
产品中心-北京博奥森生物技术有限公司
首页 > 产品中心 > 一抗 > 产品信息
SPHK2 Rabbit pAb (bs-2653R)  
订购热线:400-901-9800
订购邮箱:sales@bioss.com.cn
订购QQ:  400-901-9800
技术支持:techsupport@bioss.com.cn
50ul/1180.00元
100ul/1980.00元
大包装/询价

产品编号 bs-2653R
英文名称 SPHK2 Rabbit pAb
中文名称 鞘氨醇激酶2抗体
别    名 SK 2; SK-2; SPK 2; SPK-2; Sk2; Spk2; SPHK2_HUMAN; SPHK2; 2.7.1.91; SPHK2_MOUSE;   
Specific References  (8)     |     bs-2653R has been referenced in 8 publications.
[IF=15.2] Lovren, Fina, et al. "MicroRNA-145 Targeted Therapy Reduces Atherosclerosis." Circulation 126.11 suppl 1 (2012): S81-S90.  WB ;  Mouse.  
[IF=5.853] Mili Minaduola. et al. The circadian clock sets a spatial–temporal window for recent thymic emigrants. IMMUNOL CELL BIOL. 2022 Sep;:  IF ;  Mouse.  
[IF=4.29] Tran, Hai B., et al. "Cigarette smoke inhibits efferocytosis via deregulation of sphingosine kinase signaling: reversal with exogenous S1P and the S1P analogue FTY720." Journal of Leukocyte Biology (2016): jlb-3A1015.  Human.  
[IF=3.53] Tani, Kohsuke, Keiji Tabuchi, and Akira Hara. "Hair Cell Loss Induced by Sphingosine and a Sphingosine Kinase Inhibitor in the Rat Cochlea."Neurotoxicity research 29.1 (2016): 35-46.  WB, IF(ICC) ;  Rat.  
[IF=2.89] Tran, Hai B., et al. "Disrupted epithelial/macrophage crosstalk via Spinster homologue 2-mediated S1P signaling may drive defective macrophage phagocytic function in COPD." PloS one 12.11 (2017): e0179577.  IF(ICC) ;  Human.  
[IF=2.822] Zhang,et al.The Role of Tumor-Associated Ingredients in Serum on Antitumor Immunity.(2017) Drug Design Development and Therapy. 1:.  ELISA ;  Mouse.  
[IF=2.8] Tran H et al. Enhanced inflammasome activation and reduced sphingosine-1 phosphate S1P signalling in a respiratory mucoobstructive disease model. J Inflamm (Lond) . 2020 Apr 21;17:16.  IF ;  mouse.  
[IF=2.71] Zhang, Ruxin, et al. "Hypoxic preconditioning protects cardiomyocytes against hypoxia/reoxygenation-induced cell apoptosis via sphingosine kinase 2 and FAK/AKT pathway." Experimental and Molecular Pathology (2015).  WB ;  Rat.  
研究领域 细胞生物  信号转导  细胞凋亡  激酶和磷酸酶  细胞分化  
抗体来源 Rabbit
克隆类型 Polyclonal
克 隆 号
交叉反应 Human,Mouse
产品应用 WB=1:500-2000,IHC-P=1:100-500,IHC-F=1:100-500,IF=1:100-500,ELISA=1:5000-10000
not yet tested in other applications.
optimal dilutions/concentrations should be determined by the end user.
理论分子量 72 kDa
检测分子量 68
细胞定位 细胞核 细胞浆 细胞膜 
性    状 Liquid
浓    度 1mg/ml
免 疫 原 KLH conjugated synthetic peptide derived from human SPHK2: 101-200/654 
亚    型 IgG
纯化方法 affinity purified by Protein A
缓 冲 液 0.01M TBS (pH7.4) with 1% BSA, 0.02% Proclin300 and 50% Glycerol.
保存条件 Shipped at 4℃. Store at -20℃ for one year. Avoid repeated freeze/thaw cycles.
注意事项 This product as supplied is intended for research use only, not for use in human, therapeutic or diagnostic applications.
PubMed PubMed
产品介绍 This gene encodes a kinase that phosphorylates sphingosine into sphingosine-1-phosphate, which is involved in cell differentiation, motility, and apoptosis. The encoded protein plays a role in maintaining cellular levels of sphingosine-1-phosphate. The gene product also enhances apoptosis in different cell types and suppresses cellular proliferation. In mast cells, the encoded protein is necessary for influx of calcium, protein kinase C activation, and cytokine production and degranulation. Alternative splicing results in multiple transcript variants. [provided by RefSeq].

Function:
Catalyzes the phosphorylation of sphingosine to form sphingosine 1-phosphate (SPP), a lipid mediator with both intra-and extracellular functions. Also acts on D-erythro-dihydrosphingosine, D-erythro-sphingosine and L-threo-dihydrosphingosine. Binds phosphoinositides.

Subcellular Location:
Isoform 1: Cytoplasm. Membrane. Isoform 2: Lysosome membrane.

Similarity:
Contains 1 DAGKc domain.

SWISS:
Q9NRA0

Gene ID:
56848

Database links:

Entrez Gene: 56848 Human

Entrez Gene: 56632 Mouse

Omim: 607092 Human

SwissProt: Q9NRA0 Human

SwissProt: Q9JIA7 Mouse

Unigene: 528006 Human

Unigene: 24222 Mouse



产品图片
25 ug total protein per lane of various lysates (see on figure) probed with SPHK2 polyclonal antibody, unconjugated (bs-2653R) at 1:1000 dilution and 4°C overnight incubation. Followed by conjugated secondary antibody incubation at r.t. for 60 min.
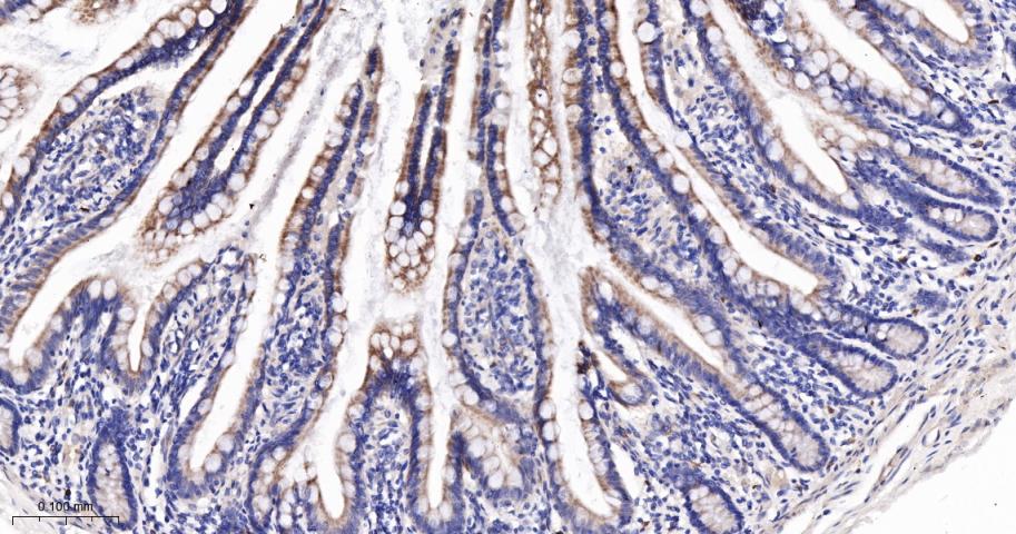
Paraformaldehyde-fixed, paraffin embedded Human Small Intestine; Antigen retrieval by boiling in sodium citrate buffer (pH6.0) for 15 min; The section was incubated with SPHK2 Polyclonal Antibody, Unconjugated (bs-2653R) at 1:200 overnight at 4°C, followed by conjugation to the bs-0295G-HRP and DAB (C-0010) staining.
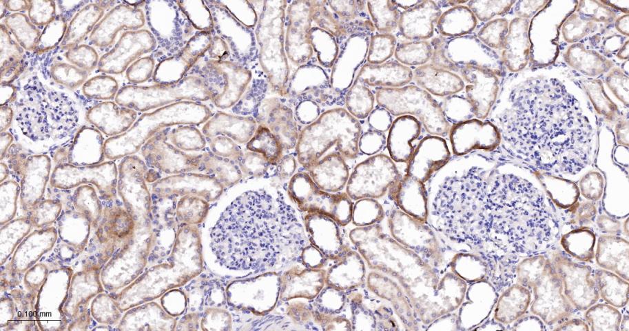
Paraformaldehyde-fixed, paraffin embedded Human Kidney; Antigen retrieval by boiling in sodium citrate buffer (pH6.0) for 15 min; The section was incubated with SPHK2 Polyclonal Antibody, Unconjugated (bs-2653R) at 1:200 overnight at 4°C, followed by conjugation to the bs-0295G-HRP and DAB (C-0010) staining.
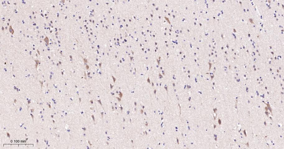
Paraformaldehyde-fixed, paraffin embedded Human Cerebrum; Antigen retrieval by boiling in sodium citrate buffer (pH6.0) for 15 min; The section was incubated with SPHK2 Polyclonal Antibody, Unconjugated (bs-2653R) at 1:200 overnight at 4°C, followed by conjugation to the bs-0295G-HRP and DAB (C-0010) staining.
Paraformaldehyde-fixed, paraffin embedded Mouse Cerebrum; Antigen retrieval by boiling in sodium citrate buffer (pH6.0) for 15 min; The section was incubated with SPHK2 Polyclonal Antibody, Unconjugated (bs-2653R) at 1:200 overnight at 4°C, followed by conjugation to the bs-0295G-HRP and DAB (C-0010) staining.
版权所有 2004-2026 www.bioss.com.cn 北京博奥森生物技术有限公司
通过国际质量管理体系ISO 9001:2015 GB/T 19001-2016    证书编号: 00124Q34771R2M/1100
通过国际医疗器械-质量管理体系ISO 13485:2016 GB/T 42061-2022     证书编号: CQC24QY20047R0M/1100
京ICP备05066980号-1         京公网安备110107000727号