扫码关注公众号           扫码咨询技术支持           扫码咨询技术服务
  
客服热线:400-901-9800  客服QQ:4009019800  技术答疑  技术支持  质量反馈  人才招聘  关于我们  联系我们
产品中心-北京博奥森生物技术有限公司
首页 > 产品中心 > 一抗 > 产品信息
IL17D Rabbit pAb (bs-2612R)  
订购热线:400-901-9800
订购邮箱:sales@bioss.com.cn
订购QQ:  400-901-9800
技术支持:techsupport@bioss.com.cn
50ul/1180.00元
100ul/1980.00元
200ul/2800.00元
大包装/询价

产品编号 bs-2612R
英文名称 IL17D Rabbit pAb
中文名称 白介素-17D抗体
别    名 IL17D_HUMAN; IL17D; IL-17D; Interleukin-27 (IL-27);   
Specific References  (2)     |     bs-2612R has been referenced in 2 publications.
[IF=5.714] Tianming Li. et al. IL-17D affects the chemokines and chemokine receptors of intestinal epithelial cells under hyperoxia. INT IMMUNOPHARMACOL. 2022 Dec;113:109386  
[IF=3.098] Xuying Liu. et al. Involvement of nuclear factor erythroid 2‑related factor 2 in neonatal intestinal interleukin‑17D expression in hyperoxia. Int J Mol Med. 2020 Oct;46(4):1423-1432  WB,IF,IHC ;  Rat.  
研究领域 细胞生物  免疫学  
抗体来源 Rabbit
克隆类型 Polyclonal
克 隆 号
交叉反应 Human,Mouse,Rat (predicted: Cow)
产品应用 WB=1:500-2000,IHC-P=1:100-500,IHC-F=1:100-500,IF=1:100-500
not yet tested in other applications.
optimal dilutions/concentrations should be determined by the end user.
理论分子量 20 kDa
检测分子量 25
细胞定位 分泌型蛋白 
性    状 Liquid
浓    度 1mg/ml
免 疫 原 KLH conjugated synthetic peptide derived from human IL-17D: 31-130/202 
亚    型 IgG
纯化方法 affinity purified by Protein A
缓 冲 液 0.01M TBS (pH7.4) with 1% BSA, 0.02% Proclin300 and 50% Glycerol.
保存条件 Shipped at 4℃. Store at -20℃ for one year. Avoid repeated freeze/thaw cycles.
注意事项 This product as supplied is intended for research use only, not for use in human, therapeutic or diagnostic applications.
PubMed PubMed
产品介绍 The protein encoded by this gene is a cytokine that shares the sequence similarity with IL17. The treatment of endothelial cells with this cytokine has been shown to stimulate the production of other cytokines including IL6, IL8 and CSF2/ GM-CSF. The increased expression of IL8 induced by this cytokine was found to be NF-kappa B-dependent. [provided by RefSeq, Jul 2008]

Function:
Induces expression of IL-6, IL-8, and GM-CSF from endothelial cells.

Subcellular Location:
Secreted.

Tissue Specificity:
Expressed preferentially in adipose, skeletal muscle and CNS.

Similarity:
Belongs to the IL-17 family.

SWISS:
Q8TAD2

Gene ID:
53342

Database links:

Entrez Gene: 53342 Human

Entrez Gene: 239114 Mouse

Omim: 607587 Human

SwissProt: Q8TAD2 Human

Unigene: 655142 Human



产品图片
Sample: Jurkat (Human) Cell Lysate at 40 ug Primary: Anti-IL17D (bs-2612R) at 1/500 dilution Secondary: IRDye800CW Goat Anti-Rabbit IgG at 1/20000 dilution Predicted band size: 20 kD Observed band size: 25 kD
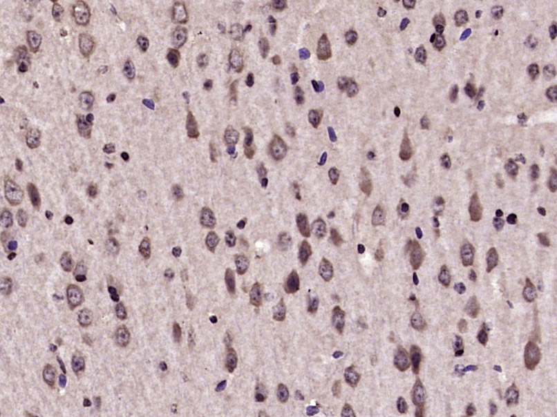
Paraformaldehyde-fixed, paraffin embedded (Rat brain); Antigen retrieval by microwave in sodium citrate buffer (pH6.0) ; Block endogenous peroxidase by 3% hydrogen peroxide for 30 minutes; Blocking buffer (3% BSA) at RT for 30min; Antibody incubation with (IL17D) Polyclonal Antibody, Unconjugated (bs-2612R) at 1:400 overnight at 4°C, followed by conjugation to the secondary antibody (labeled with HRP)and DAB staining.
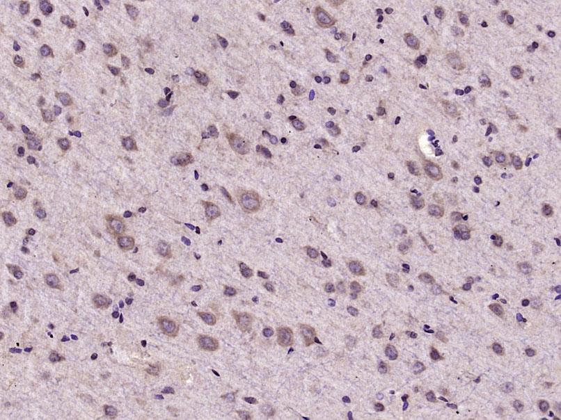
Paraformaldehyde-fixed, paraffin embedded (Mouse brain); Antigen retrieval by microwave in sodium citrate buffer (pH6.0) ; Block endogenous peroxidase by 3% hydrogen peroxide for 30 minutes; Blocking buffer (3% BSA) at RT for 30min; Antibody incubation with (IL17D) Polyclonal Antibody, Unconjugated (bs-2612R) at 1:400 overnight at 4°C, followed by conjugation to the secondary antibody (labeled with HRP)and DAB staining.
版权所有 2004-2026 www.bioss.com.cn 北京博奥森生物技术有限公司
通过国际质量管理体系ISO 9001:2015 GB/T 19001-2016    证书编号: 00124Q34771R2M/1100
通过国际医疗器械-质量管理体系ISO 13485:2016 GB/T 42061-2022     证书编号: CQC24QY20047R0M/1100
京ICP备05066980号-1         京公网安备110107000727号