扫码关注公众号           扫码咨询技术支持           扫码咨询技术服务
  
客服热线:400-901-9800  客服QQ:4009019800  技术答疑  技术支持  质量反馈  关于我们  联系我们
产品中心-北京博奥森生物技术有限公司
首页 > 产品中心 > 一抗 > 产品信息
IL15RA Rabbit pAb (bs-2605R)  
订购热线:400-901-9800
订购邮箱:sales@bioss.com.cn
订购QQ:  400-901-9800
技术支持:techsupport@bioss.com.cn
50ul/1180.00元
100ul/1980.00元
200ul/2800.00元
大包装/询价

产品编号 bs-2605R
英文名称 IL15RA Rabbit pAb
中文名称 白介素15受体α抗体
别    名 CD215; I15RA_HUMAN; IL15RA; IL-15 receptor subunit alpha; IL-15R-alpha; IL-15RA;   
Specific References  (1)     |     bs-2605R has been referenced in 1 publications.
[IF=5.06] Yoon, Jung Hae, et al. "Comparative Proteomic Profiling of Dystroglycan-Associated Proteins in Wild Type, mdx, and Galgt2 Transgenic Mouse Skeletal Muscle." Journal of Proteome Research 11.9 (2012): 4413-4424.  IP ;  Mouse.  
研究领域 免疫学  
抗体来源 Rabbit
克隆类型 Polyclonal
克 隆 号
交叉反应 Human,Rat (predicted: Mouse,Rabbit,Cow,Dog,Horse)
产品应用 IHC-P=1:100-500,IHC-F=1:100-500,IF=1:100-500
not yet tested in other applications.
optimal dilutions/concentrations should be determined by the end user.
理论分子量 25 kDa
细胞定位 细胞核 细胞浆 细胞膜 细胞外基质 分泌型蛋白 
性    状 Liquid
浓    度 1mg/ml
免 疫 原 KLH conjugated synthetic peptide derived from human IL-15RA: 51-150/267 <Extracellular>
亚    型 IgG
纯化方法 affinity purified by Protein A
缓 冲 液 0.01M TBS (pH7.4) with 1% BSA, 0.02% Proclin300 and 50% Glycerol.
保存条件 Shipped at 4℃. Store at -20℃ for one year. Avoid repeated freeze/thaw cycles.
注意事项 This product as supplied is intended for research use only, not for use in human, therapeutic or diagnostic applications.
PubMed PubMed
产品介绍 IL15RA is a cytokine receptor that specifically binds IL15 with high affinity. It shares two subunits with the receptor of IL2, the IL2R beta and IL2R gamma chains. This forms the basis of many overlapping biological activities of IL15 and IL2. The IL2 receptor requires an additional IL2-specific alpha subunit for high affinity IL2 binding. This protein is structurally related to IL2R alpha, but is capable of binding IL15 with high affinity independent of other subunits, which suggests the distinct roles between IL15 and IL2. This receptor is reported to enhance cell proliferation and expression of apoptosis inhibitor BCL2L1/BCL2-XL and BCL2. There are nine different isoforms.

Function:
High-affinity receptor for interleukin-15. Can signal both in cis and trans where IL15R from one subset of cells presents IL15 to neighboring IL2RG-expressing cells. Expression of different isoforms may alter or interfere with signal transduction. Isoform 5, isoform 6, isoform 7 and isoform 8 do not bind IL15. Signal transduction involves STAT3, STAT5, STAT6, JAK2 (By similarity) and SYK.

Subunit:
The interleukin-15 receptor IL15R is a heterotrimer of IL15RA, IL2RB and IL2RG. IL15RA also self-associates (By similarity). Interacts with SYK.

Subcellular Location:
Membrane. Nucleus membrane; Isoform 5, isoform 6, isoform 7 and isoform 8 are associated with endoplasmic reticulum, Golgi and cytoplasmic vesicles, but not with the nuclear membrane. Soluble interleukin-15 receptor subunit alpha: Secreted, extracellular space.

Tissue Specificity:
Isoform 1, isoform 3, isoform 4, isoform 5, isoform 6, isoform 7, isoform 8 and isoform 9 are widely expressed. Expressed in fetal brain with higher expression in the hippocampus and cerebellum than in cortex and thalamus. Higher levels of soluble sIL-15RA form in comparison with membrane-bound forms is present in all brain structures.

Post-translational modifications:
A soluble form (sIL-15RA) arises from proteolytic shedding of the membrane-anchored receptor. The cleavage involves ADAM17/TACE (By similarity). It also binds IL-15 and thus interferes with IL-15 binding to the membrane receptor.
Phosphorylated by activated SYK.
N-glycosylated and O-glycosylated.

Similarity:
Contains 1 Sushi (CCP/SCR) domain.

SWISS:
Q13261

Gene ID:
3601

Database links:

Entrez Gene: 3601 Human

Omim: 601070 Human

SwissProt: Q13261 Human

Unigene: 524117 Human



产品图片
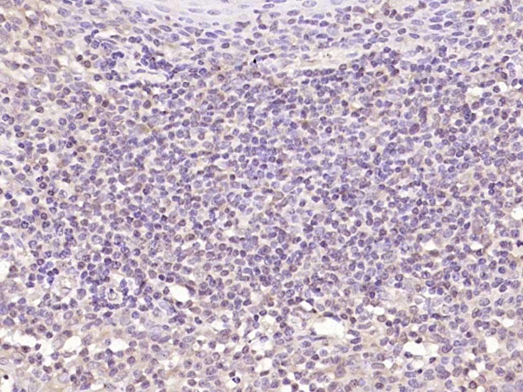
Paraformaldehyde-fixed, paraffin embedded (human tonsil); Antigen retrieval by boiling in sodium citrate buffer (pH6.0) for 15min; Block endogenous peroxidase by 3% hydrogen peroxide for 20 minutes; Blocking buffer (normal goat serum) at 37°C for 30min; Antibody incubation with (IL15RA) Polyclonal Antibody, Unconjugated (bs-2605R) at 1:200 overnight at 4°C, followed by operating according to SP Kit(Rabbit) (sp-0023) instructionsand DAB staining.
Paraformaldehyde-fixed, paraffin embedded (rat intestine); Antigen retrieval by boiling in sodium citrate buffer (pH6.0) for 15min; Block endogenous peroxidase by 3% hydrogen peroxide for 20 minutes; Blocking buffer (normal goat serum) at 37°C for 30min; Antibody incubation with (IL15RA) Polyclonal Antibody, Unconjugated (bs-2605R) at 1:200 overnight at 4°C, followed by operating according to SP Kit(Rabbit) (sp-0023) instructionsand DAB staining.
版权所有 2004-2026 www.bioss.com.cn 北京博奥森生物技术有限公司
通过国际质量管理体系ISO 9001:2015 GB/T 19001-2016    证书编号: 00124Q34771R2M/1100
通过国际医疗器械-质量管理体系ISO 13485:2016 GB/T 42061-2022     证书编号: CQC24QY20047R0M/1100
京ICP备05066980号-1         京公网安备110107000727号