扫码关注公众号           扫码咨询技术支持           扫码咨询技术服务
  
客服热线:400-901-9800  客服QQ:4009019800  技术答疑  技术支持  质量反馈  关于我们  联系我们
产品中心-北京博奥森生物技术有限公司
首页 > 产品中心 > 一抗 > 产品信息
IL-3 Rabbit pAb (bs-2598R)  
订购热线:400-901-9800
订购邮箱:sales@bioss.com.cn
订购QQ:  400-901-9800
技术支持:techsupport@bioss.com.cn
50ul/1180.00元
100ul/1980.00元
200ul/2800.00元
大包装/询价

产品编号 bs-2598R
英文名称 IL-3 Rabbit pAb
中文名称 白介素3抗体
别    名 IL-3; MCGF; MULTI-CSF; BPA; Csfmu; HCGF; PSF; IL3_HUMAN; IL3; Hematopoietic growth factor; Mast cell growth factor (MCGF); Multipotential colony-stimulating factor; P-cell-stimulating factor; IL3_MOUSE;   
研究领域 细胞生物  免疫学  
抗体来源 Rabbit
克隆类型 Polyclonal
克 隆 号
交叉反应 Mouse,Rat
产品应用 WB=1:500-2000,IHC-P=1:100-500,IHC-F=1:100-500,IF=1:100-500
not yet tested in other applications.
optimal dilutions/concentrations should be determined by the end user.
理论分子量 16 kDa
细胞定位 分泌型蛋白 
性    状 Liquid
浓    度 1mg/ml
免 疫 原 KLH conjugated synthetic peptide derived from mouse IL-3: 101-166/166 
亚    型 IgG
纯化方法 affinity purified by Protein A
缓 冲 液 0.01M TBS (pH7.4) with 1% BSA, 0.02% Proclin300 and 50% Glycerol.
保存条件 Shipped at 4℃. Store at -20℃ for one year. Avoid repeated freeze/thaw cycles.
注意事项 This product as supplied is intended for research use only, not for use in human, therapeutic or diagnostic applications.
PubMed PubMed
产品介绍 The pleiotropic IL3 (Interleukin 3) is a 15kDa cytokine that is primarily secreted by activated T lymphocytes and stimulates the proliferation and differentiation of hematopoietic cells. IL3 acts in hematopoiesis by controlling the production, differentiation, and function of two related white cell populations of the blood, the granulocytes and the monocytes/macrophages. It induces granulocytes, macrophages, mast cells, stem cells, erythroid cells, eosinophils and megakaryocytes and is expressed by activated T cells, mast cells, and natural killer cells. IL3 not only supports growth of both pluripotent stem cells and the more differentiated committed progenitors, but it also stimulates the functional activity of some fully differentiated cells. IL3 has also been shown to protect mast cells from undergoing apoptosis.

Function:
Granulocyte/macrophage colony-stimulating factors are cytokines that act in hematopoiesis by controlling the production, differentiation, and function of 2 related white cell populations of the blood, the granulocytes and the monocytes-macrophages.
This CSF induces granulocytes, macrophages, mast cells, stem cells, erythroid cells, eosinophils and megakaryocytes.

Subunit:
Monomer.

Subcellular Location:
Secreted.

Tissue Specificity:
Activated T-cells, mast cells, natural killer cells.

Similarity:
Belongs to the IL-3 family.

SWISS:
P01586

Gene ID:
16187

Database links:

Entrez Gene: 3562 Human

Entrez Gene: 16187 Mouse

Omim: 147740 Human

SwissProt: P08700 Human

SwissProt: P01586 Mouse

Unigene: 694 Human

Unigene: 983 Mouse



产品图片
Sample: Lung(Mouse) lysate at 30ug; Primary: Anti- IL3 (bs-2598R) at 1:300 dilution; Secondary: HRP conjugated Goat-Anti-rabbit IgG(bs-0295G-HRP) at 1: 5000 dilution; Predicted band size:16 kD Observed band size:16 kD
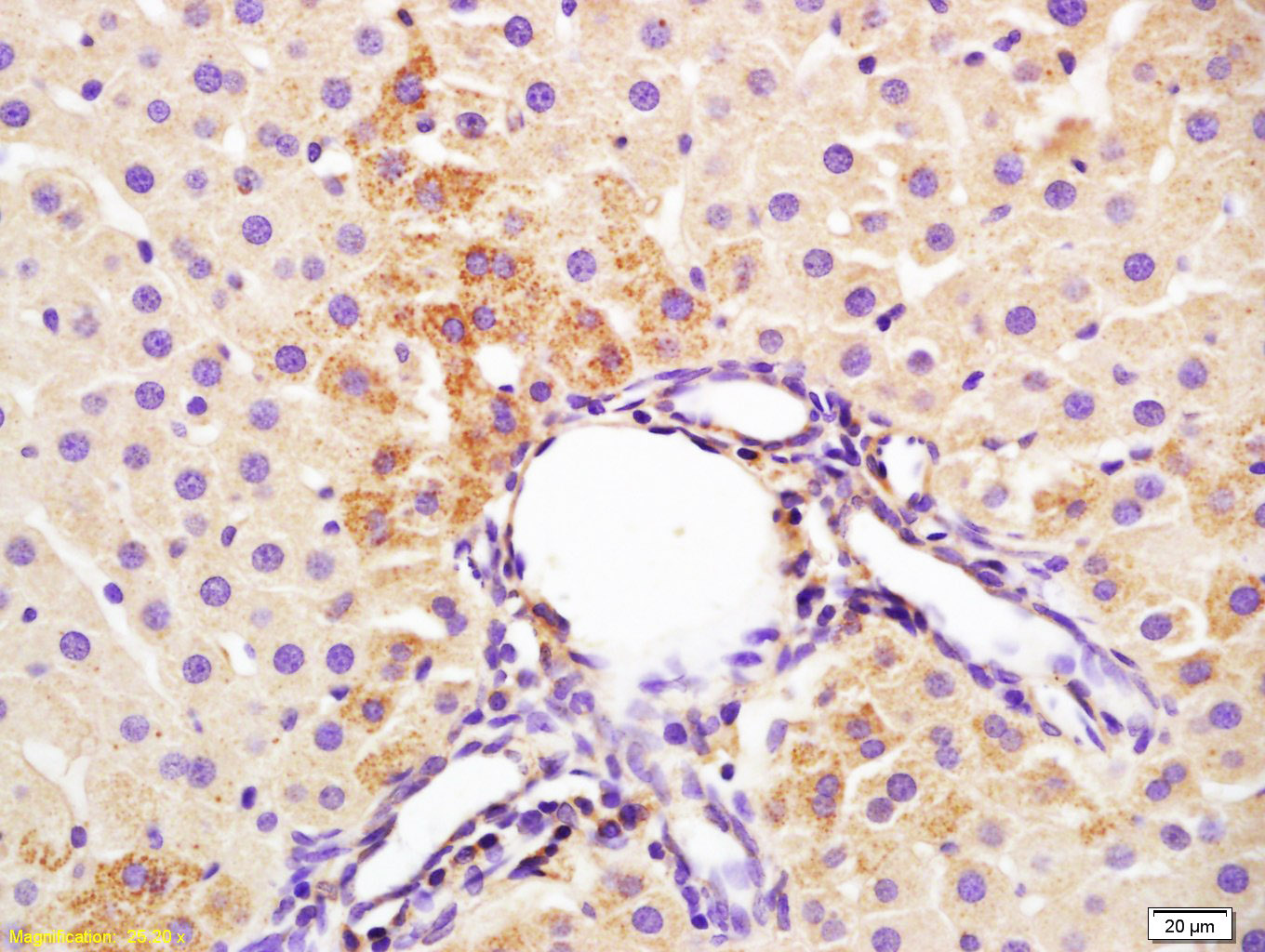
Tissue/cell: rat liver tissue; 4% Paraformaldehyde-fixed and paraffin-embedded; Antigen retrieval: EDTA( 0.01M, pH 9.0 ), Boiling bathing for 15min; Block endogenous peroxidase by 3% Hydrogen peroxide for 30min; Blocking buffer (normal goat serum,C-0005) at 37℃ for 20 min; Incubation: Anti-IL-3 Polyclonal Antibody, Unconjugated(bs-2598R) 1:200, overnight at 4°C, followed by conjugation to the secondary antibody(SP-0023) and DAB(C-0010) staining
版权所有 2004-2026 www.bioss.com.cn 北京博奥森生物技术有限公司
通过国际质量管理体系ISO 9001:2015 GB/T 19001-2016    证书编号: 00124Q34771R2M/1100
通过国际医疗器械-质量管理体系ISO 13485:2016 GB/T 42061-2022     证书编号: CQC24QY20047R0M/1100
京ICP备05066980号-1         京公网安备110107000727号