扫码关注公众号           扫码咨询技术支持           扫码咨询技术服务
  
客服热线:400-901-9800  客服QQ:4009019800  技术答疑  技术支持  质量反馈  关于我们  联系我们
产品中心-北京博奥森生物技术有限公司
首页 > 产品中心 > 一抗 > 产品信息
Caspase 3 precursor Rabbit pAb (bs-2593R)  
订购热线:400-901-9800
订购邮箱:sales@bioss.com.cn
订购QQ:  400-901-9800
技术支持:techsupport@bioss.com.cn
50ul/1180.00元
100ul/1980.00元
200ul/2800.00元
大包装/询价

产品编号 bs-2593R
英文名称 Caspase 3 precursor Rabbit pAb
中文名称 半胱天冬酶-3酶原抗体
别    名 Caspase 3 precursor; APOPAIN; CASP3; Caspase 3 apoptosis related cysteine protease; Caspase3; CPP32; CPP32B; Cysteine protease CPP32; Human cysteine protease CPP32 isoform alpha mRNA complete cds; PARP cleavage protease; SCA 1; SCA1; SREBP cleavage activity 1; Yama; CASP3_HUMAN; Caspase-3; CASP-3; Apopain; Protein Yama; SREBP cleavage activity 1; SCA-1.  
Specific References  (13)     |     bs-2593R has been referenced in 13 publications.
[IF=12.479] Jun Jiang. et al. Nano-enabled photosynthesis in tumours to activate lipid peroxidation for overcoming cancer resistances. BIOMATERIALS. 2022 Jun;285:121561  IHC ;  Mouse.  
[IF=6.691] Barzegar-fallah, Anita. et al. Serotonin type-3 receptor antagonists selectively kill melanoma cells through classical apoptosis, microtubule depolymerisation, ERK activation, and NF-κB downregulation. 2021 Oct 15  WB ;  Human,Mouse.  
[IF=5.74] Duan, Xiaoxu, et al. "Antioxidant tert-butylhydroquinone ameliorates arsenic-induced intracellular damages and apoptosis through induction of Nrf2-dependent antioxidant responses as well as stabilization of anti-apoptotic factor Bcl− 2 in human keratinocytes." Free Radical Biology and Medicine(2016).  WB ;  Human.  
[IF=4.486] Mingying Han. et al. Verapamil inhibits early acute liver failure through suppressing the NLRP3 inflammasome pathway. 2021 May 24  WB ;  Mouse.  
[IF=3.85] Luo, Xiaoming, et al. "Pharmacokinetics and antitumor efficacy of micelles assembled from multiarmed amphiphilic copolymers with drug conjugates in comparison with drug-encapsulated micelles." European Journal of Pharmaceutics and Biopharmaceutics (2015).  IHC-P ;  Mouse.  
[IF=3.845] Zhu Z et al. Perindopril Improves Cardiac Function by Enhancing the Expression of SIRT3 and PGC-1α in a Rat Model of Isoproterenol-Induced Cardiomyopathy. Front Pharmacol. 2020 Feb 21;11:94.  WB ;  Rat.  
[IF=3.738] Salman, Giray. et al. Anticancer Effects of Vitis vinifera L. Mediated Biosynthesized Silver Nanoparticles and Cotreatment with 5 Fluorouracil on HT-29 Cell Line. 2021 Sep 21  WB ;  human.  
[IF=3.105] Huan-Tong Wu. et al. Edaravone attenuates H2O2 or glutamate-induced toxicity in hippocampal neurons and improves AlCl3/D-galactose induced cognitive impairment in mice. Neurotoxicology. 2021 Jul;85:68  WB ;  Rat.  
[IF=2.406] Simsek, Aysel. et al. Anti-proliferative and apoptotic effects of green synthesized silver nanoparticles using Lavandula angustifolia on human glioblastoma cells. 3 Biotech. 2021 Aug;11(8):1-10  WB ;  Human.  
[IF=2.23] Wang et al. Ginsenoside Rd inhibits apoptosis following spinal cord ischemia/reperfusion injury. (2014) Neural.Regen.Res. 9:1678-87  IHC ;  Rat.  
[IF=2.21] Can Sezer. et al. Neuroprotective Effects of Milrinone on Acute Traumatic Brain İnjury. WORLD NEUROSURG. 2022 Nov;:  IHC ;  Mouse.  
[IF=1.834] Uygar Saçık. et al. Effect of ferulic acid on testicular damage caused by torsion-detorsion in rats. BIOTECH HISTOCHEM. 2022 Aug 23  IHC ;  Rat.  
[IF=1.06] Zhang, Xiaolin, and Hao Yu. "Matrine inhibits diethylnitrosamine-induced HCC proliferation in rats through inducing apoptosis via p53, Bax-dependent caspase-3 activation pathway and down-regulating MLCK overexpression (Supplement 2016)." Iranian Journal of Pharmaceutical Research (2016).  WB ;  Rat.  
研究领域 细胞生物  神经生物学  信号转导  细胞凋亡  
抗体来源 Rabbit
克隆类型 Polyclonal
克 隆 号
交叉反应 Human,Mouse,Rat
产品应用 WB=1:500-2000,IHC-P=1:200-800,IHC-F=1:200-800,IF=1:200-800,ELISA=1:5000-10000
not yet tested in other applications.
optimal dilutions/concentrations should be determined by the end user.
理论分子量 32 kDa
检测分子量
细胞定位 细胞浆 
性    状 Liquid
浓    度 1mg/ml
免 疫 原 KLH conjugated synthetic peptide derived from human Caspase 3 precursor: 11-120/277 
亚    型 IgG
纯化方法 affinity purified by Protein A
缓 冲 液 0.01M TBS (pH7.4) with 1% BSA, 0.02% Proclin300 and 50% Glycerol.
保存条件 Shipped at 4℃. Store at -20℃ for one year. Avoid repeated freeze/thaw cycles.
注意事项 This product as supplied is intended for research use only, not for use in human, therapeutic or diagnostic applications.
PubMed PubMed
产品介绍 Caspases are a family of cysteine proteases that are key mediators of programmed cell death or apoptosis. The precursor form of all caspases is composed of a prodomain, and large and small catalytic subunits. The active forms of caspases are generated by several stimuli including ligand-receptor interactions, growth factor deprivation and inhibitors of cellular functions. All known caspases require cleavage adjacent to aspartates to liberate one large and one small subunit, which associate into a2b2 tetramer to form the active enzyme. Gene for Caspase 3 also known as Yama, CPP32, and apopain codes for a 32-kDa protein. Caspase 3 cleaves the death substrate poly(ADP-ribose) polymerase (PARP) to a specific 85 kDa form observed during apoptosis and is inhibitable by the CrmA protein. Other Caspase 3 substrates include DNA-PK, actin, GAS2, and procaspase-6, etc. Caspase 3 is activated by cleavage events at Asp-28/Ser-29 (between N-terminal pro-domain) and Asp-175/Ser-176 (between large and small subunits) to generate a large subunit of 17-kDa and a small subunit of 12-kDa.

Function:
Involved in the activation cascade of caspases responsible for apoptosis execution. At the onset of apoptosis it proteolytically cleaves poly(ADP-ribose) polymerase (PARP) at a '216-Asp-|-Gly-217' bond. Cleaves and activates sterol regulatory element binding proteins (SREBPs) between the basic helix-loop-helix leucine zipper domain and the membrane attachment domain. Cleaves and activates caspase-6, -7 and -9. Involved in the cleavage of huntingtin. Triggers cell adhesion in sympathetic neurons through RET cleavage.

Subunit:
Heterotetramer that consists of two anti-parallel arranged heterodimers, each one formed by a 17 kDa (p17) and a 12 kDa (p12) subunit. Interacts with BIRC6/bruce.

Subcellular Location:
Cytoplasm.

Tissue Specificity:
Highly expressed in lung, spleen, heart, liver and kidney. Moderate levels in brain and skeletal muscle, and low in testis. Also found in many cell lines, highest expression in cells of the immune system.

Post-translational modifications:
Cleavage by granzyme B, caspase-6, caspase-8 and caspase-10 generates the two active subunits. Additional processing of the propeptides is likely due to the autocatalytic activity of the activated protease. Active heterodimers between the small subunit of caspase-7 protease and the large subunit of caspase-3 also occur and vice versa.
S-nitrosylated on its catalytic site cysteine in unstimulated human cell lines and denitrosylated upon activation of the Fas apoptotic pathway, associated with an increase in intracellular caspase activity. Fas therefore activates caspase-3 not only by inducing the cleavage of the caspase zymogen to its active subunits, but also by stimulating the denitrosylation of its active site thiol.

Similarity:
Belongs to the peptidase C14A family.

SWISS:
P42574

Gene ID:
836

Database links:

Entrez Gene: 836 Human

Entrez Gene: 12367 Mouse

Entrez Gene: 397244 Pig

Entrez Gene: 100008840 Rabbit

Entrez Gene: 25402 Rat

Omim: 600636 Human

SwissProt: P42574 Human

SwissProt: P70677 Mouse

SwissProt: Q95ND5 Pig

SwissProt: Q8MJC3 Rabbit

SwissProt: P55213 Rat

Unigene: 141125 Human

Unigene: 34405 Mouse

Unigene: 10562 Rat




产品图片
Sample: Lane 1: Raji (Human) Cell Lysate at 30 ug Lane 2: NIH/3T3 (Mouse) Cell Lysate at 30 ug Lane 3: Lung (Mouse) Lysate at 40 ug Lane 4: Lung (Rat) Lysate at 40 ug Primary: Anti-Caspase-3 (bs-2593R) at 1/1000 dilution Secondary: IRDye800CW Goat Anti-Rabbit IgG at 1/20000 dilution Predicted band size: 35 kD Observed band size: 37 kD
Sample: Lane 1: Spleen (Mouse) Lysate at 40 ug Lane 2: Lung (Mouse) Lysate at 40 ug Lane 3: Lymph node (Mouse) Lysate at 40 ug Lane 4: Cerebrum (Mouse) Lysate at 40 ug Lane 5: NIH/3T3 (Mouse) Cell Lysate at 30 ug Lane 6: Spleen (Rat) Lysate at 40 ug Lane 7: Lung (Rat) Lysate at 40 ug Lane 8: Lymph node (Rat) Lysate at 40 ug Lane 9: Cerebrum (Rat) Lysate at 40 ug Lane 10: Hela (Human) Cell Lysate at 30 ug Primary: Anti-Caspase-3 (bs-2593R) at 1/1000 dilution Secondary: IRDye800CW Goat Anti-Rabbit IgG at 1/20000 dilution Predicted band size: 35 kD Observed band size: 37 kD
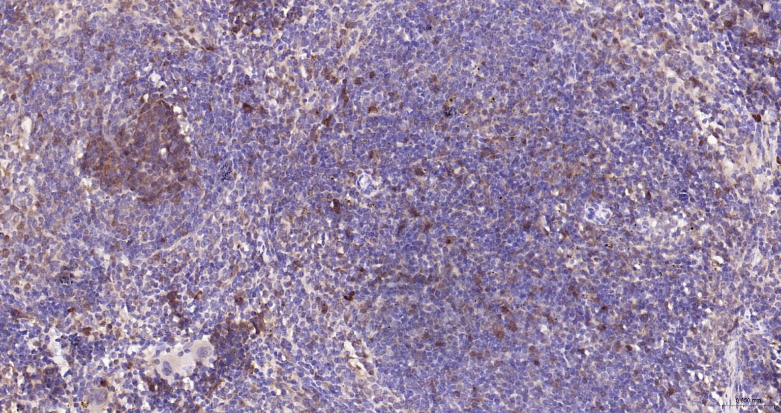
Paraformaldehyde-fixed, paraffin embedded Human Tonsil; Antigen retrieval by boiling in sodium citrate buffer (pH6.0) for 15 min; The section was incubated with Caspase 3 precursor Polyclonal Antibody, Unconjugated (bs-2593R) at 1:200 overnight at 4°C, followed by conjugation to the bs-0295G-HRP and DAB (C-0010) staining.
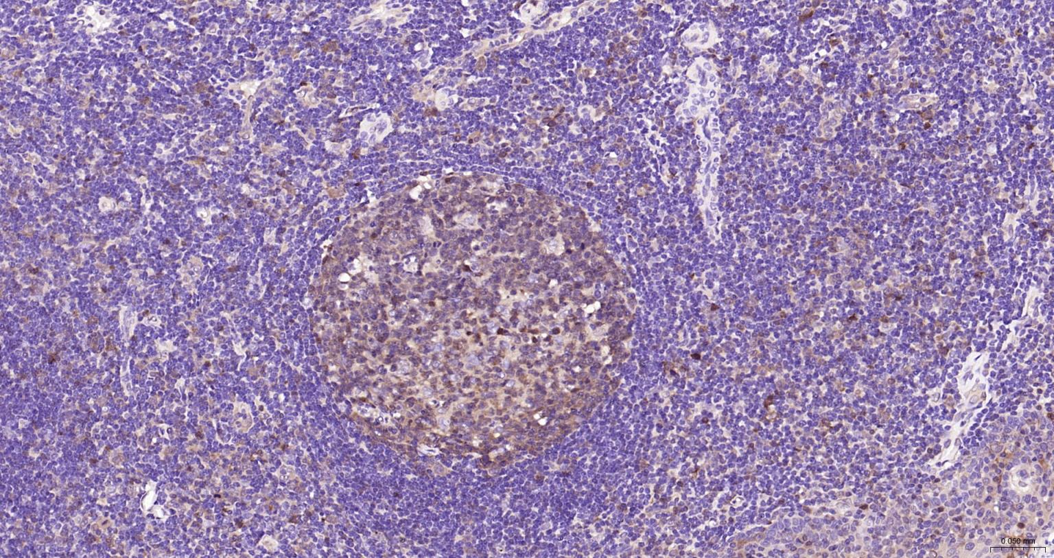
Paraformaldehyde-fixed, paraffin embedded Rat Spleen; Antigen retrieval by boiling in sodium citrate buffer (pH6.0) for 15 min; The section was incubated with Caspase 3 precursor Polyclonal Antibody, Unconjugated (bs-2593R) at 1:200 overnight at 4°C, followed by conjugation to the bs-0295G-HRP and DAB (C-0010) staining.
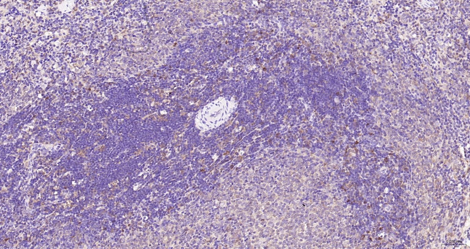
Paraformaldehyde-fixed, paraffin embedded Mouse Spleen; Antigen retrieval by boiling in sodium citrate buffer (pH6.0) for 15 min; The section was incubated with Caspase 3 precursor Polyclonal Antibody, Unconjugated (bs-2593R) at 1:200 overnight at 4°C, followed by conjugation to the bs-0295G-HRP and DAB (C-0010) staining.
版权所有 2004-2026 www.bioss.com.cn 北京博奥森生物技术有限公司
通过国际质量管理体系ISO 9001:2015 GB/T 19001-2016    证书编号: 00124Q34771R2M/1100
通过国际医疗器械-质量管理体系ISO 13485:2016 GB/T 42061-2022     证书编号: CQC24QY20047R0M/1100
京ICP备05066980号-1         京公网安备110107000727号