扫码关注公众号           扫码咨询技术支持           扫码咨询技术服务
  
客服热线:400-901-9800  客服QQ:4009019800  技术答疑  技术支持  质量反馈  人才招聘  关于我们  联系我们
产品中心-北京博奥森生物技术有限公司
首页 > 产品中心 > 一抗 > 产品信息
ACHE Rabbit pAb (bs-2511R)  
订购热线:400-901-9800
订购邮箱:sales@bioss.com.cn
订购QQ:  400-901-9800
技术支持:techsupport@bioss.com.cn
50ul/1180.00元
100ul/1980.00元
200ul/2800.00元
大包装/询价

产品编号 bs-2511R
英文名称 ACHE Rabbit pAb
中文名称 乙酰胆碱酯酶抗体
别    名 ACEE; ARACHE; N-ACHE; YT; ACES_FELCA; ACHE; 3.1.1.7; ACES_BOVIN; ACES_HUMAN; ACES_MOUSE; ACES_RAT;   
Specific References  (3)     |     bs-2511R has been referenced in 3 publications.
[IF=3.197] Wei Lu. et al. Molecular mechanisms by which targeted muscle reinnervation improves the microenvironment of spinal cord motor neurons and target muscles. NEUROSCI LETT. 2022 Oct;789:136879  IHC ;  Rat.  
[IF=2.76] Shao, Yi, et al. "Inhibition of miR-134 Protects Against Hydrogen Peroxide-Induced Apoptosis in Retinal Ganglion Cells." Journal of Molecular Neuroscience (2015): 1-11.  WB ;  Rat.  
[IF=0.18] Wang, Jianlong, et al. "Basic fibroblast growth factor attenuates the degeneration of injured spinal cord motor endplates." Neural Regeneration Research 8.24 (2013): 2213.  IHC-P ;  Rat.  
研究领域 神经生物学  信号转导  
抗体来源 Rabbit
克隆类型 Polyclonal
克 隆 号
交叉反应 Human,Mouse (predicted: Rat,Cow,Dog,Horse)
产品应用 WB=1:500-2000,IHC-P=1:100-500,IHC-F=1:100-500,IF=1:100-500
not yet tested in other applications.
optimal dilutions/concentrations should be determined by the end user.
理论分子量 68 kDa
检测分子量 68
细胞定位 细胞核 细胞浆 细胞膜 细胞外基质 分泌型蛋白 
性    状 Liquid
浓    度 1mg/ml
免 疫 原 KLH conjugated synthetic peptide derived from human AchE: 521-614/614 
亚    型 IgG
纯化方法 affinity purified by Protein A
缓 冲 液 0.01M TBS (pH7.4) with 1% BSA, 0.02% Proclin300 and 50% Glycerol.
保存条件 Shipped at 4℃. Store at -20℃ for one year. Avoid repeated freeze/thaw cycles.
注意事项 This product as supplied is intended for research use only, not for use in human, therapeutic or diagnostic applications.
PubMed PubMed
产品介绍 Acetylcholinesterase hydrolyzes the neurotransmitter, acetylcholine at neuromuscular junctions and brain cholinergic synapses, and thus terminates signal transmission. It is also found on the red blood cell membranes, where it constitutes the Yt blood group antigen. Acetylcholinesterase exists in multiple molecular forms which possess similar catalytic properties, but differ in their oligomeric assembly and mode of cell attachment to the cell surface. It is encoded by the single ACHE gene, and the structural diversity in the gene products arises from alternative mRNA splicing, and post-translational associations of catalytic and structural subunits. The major form of acetylcholinesterase found in brain, muscle and other tissues is the hydrophilic species, which forms disulfide-linked oligomers with collagenous, or lipid-containing structural subunits. The other, alternatively spliced form, expressed primarily in the erythroid tissues, differs at the C-terminal end, and contains a cleavable hydrophobic peptide with a GPI-anchor site. It associates with the membranes through the phosphoinositide (PI) moieties added post-translationally.

Function:
Terminates signal transduction at the neuromuscular junction by rapid hydrolysis of the acetylcholine released into the synaptic cleft. Role in neuronal apoptosis.

Subunit:
Interacts with PRIMA1. The interaction with PRIMA1 is required to anchor it to the basal lamina of cells and organize into tetramers. Isoform H generates GPI-anchored dimers; disulfide linked. Isoform T generates multiple structures, ranging from monomers and dimers to collagen-tailed and hydrophobic-tailed forms, in which catalytic tetramers are associated with anchoring proteins that attach them to the basal lamina or to cell membranes. In the collagen-tailed forms, isoform T subunits are associated with a specific collagen, COLQ, which triggers the formation of isoform T tetramers, from monomers and dimers. Isoform R may be monomeric.

Subcellular Location:
Cell junction, synapse. Secreted. Cell membrane; Peripheral membrane protein.
Isoform T: Nucleus. Note=Only observed in apoptotic nuclei.
Isoform H: Cell membrane; Lipid-anchor, GPI-anchor; Extracellular side.

Tissue Specificity:
Isoform H is highly expressed in erythrocytes.

Similarity:
Belongs to the type-B carboxylesterase/lipase family.

SWISS:
P22303

Gene ID:
43

Database links:

Entrez Gene: 540446 Cow

Entrez Gene: 43 Human

Entrez Gene: 11423 Mouse

Entrez Gene: 83817 Rat

Omim: 100740 Human

SwissProt: O62763 Cat

SwissProt: P23795 Cow

SwissProt: P22303 Human

SwissProt: P21836 Mouse

SwissProt: P37136 Rat

Unigene: 154495 Human

Unigene: 255464 Mouse

Unigene: 105879 Rat



产品图片
Sample: Lane 1: Human K562 cell lysates Lane 2: Human U-2 OS cell lysates Lane 3: Human MCF-7 cell lysates Lane 4: Human SH-SY5Y cell lysates Primary: Anti-ACHE (bs-2511R) at 1/500 dilution Secondary: IRDye800CW Goat Anti-Rabbit IgG at 1/20000 dilution Predicted band size: 68 kDa Observed band size: 68 kDa
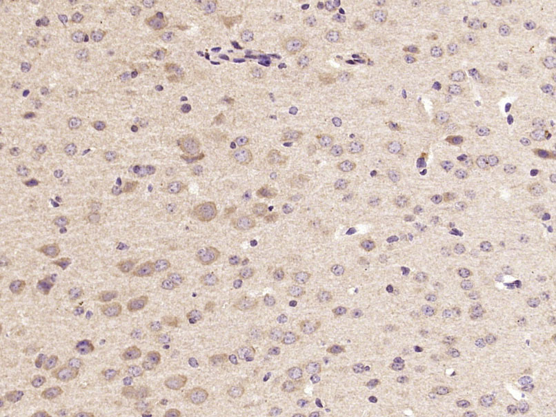
Paraformaldehyde-fixed, paraffin embedded (Mouse brain); Antigen retrieval by microwave in sodium citrate buffer (pH6.0) ; Block endogenous peroxidase by 3% hydrogen peroxide for 30 minutes; Blocking buffer (3% BSA) at RT for 30min; Antibody incubation with (ACHE) Polyclonal Antibody, Unconjugated (bs-2511R) at 1:400 overnight at 4℃, followed by conjugation to the secondary antibody (labeled with HRP)and DAB staining.
版权所有 2004-2026 www.bioss.com.cn 北京博奥森生物技术有限公司
通过国际质量管理体系ISO 9001:2015 GB/T 19001-2016    证书编号: 00124Q34771R2M/1100
通过国际医疗器械-质量管理体系ISO 13485:2016 GB/T 42061-2022     证书编号: CQC24QY20047R0M/1100
京ICP备05066980号-1         京公网安备110107000727号