扫码关注公众号           扫码咨询技术支持           扫码咨询技术服务
  
客服热线:400-901-9800  客服QQ:4009019800  技术答疑  技术支持  质量反馈  人才招聘  关于我们  联系我们
产品中心-北京博奥森生物技术有限公司
首页 > 产品中心 > 一抗 > 产品信息
EEF1A1 Rabbit pAb (bs-2503R)  
订购热线:400-901-9800
订购邮箱:sales@bioss.com.cn
订购QQ:  400-901-9800
技术支持:techsupport@bioss.com.cn
50ul/1180.00元
100ul/1980.00元
200ul/2800.00元
大包装/询价

产品编号 bs-2503R
英文名称 EEF1A1 Rabbit pAb
中文名称 翻译延伸因子EF-1a抗体
别    名 CCS-3; CCS3; EE1A1; EEF-1; EEF1A; EF-Tu; EF1A; EF1A1; EF1alpha1; GRAF-1EF; LENG7; PTI1; eEF1A-1; Eef1a2; Eef1a2l1; SI; EF1A1_HUMAN; EEF1A1; EF-1-alpha-1; Elongation factor Tu (EF-Tu); Eukaryotic elongation factor 1 A-1 (eEF1A-1); Leukocyte receptor cluste  
Specific References  (1)     |     bs-2503R has been referenced in 1 publications.
[IF=4.074] Zhang M et al. Proteomic analysis reveals proteins and pathways associated with lactation in bovine mammary epithelial cell-derived exosomes. J Proteome Res . 2020 Aug 7;19(8):3211-3219.  WB ;  Cow.  
研究领域 肿瘤  细胞生物  免疫学  信号转导  细胞凋亡  转录调节因子  表观遗传学  
抗体来源 Rabbit
克隆类型 Polyclonal
克 隆 号
交叉反应 Mouse,Rat (predicted: Human,Rabbit,Pig,Cow,Chicken,Dog,Horse)
产品应用 IHC-P=1:100-500,IHC-F=1:100-500,IF=1:100-500
not yet tested in other applications.
optimal dilutions/concentrations should be determined by the end user.
理论分子量 50 kDa
细胞定位 细胞浆 
性    状 Liquid
浓    度 1mg/ml
免 疫 原 KLH conjugated synthetic peptide derived from human EEF1A1: 131-230/462 
亚    型 IgG
纯化方法 affinity purified by Protein A
缓 冲 液 0.01M TBS (pH7.4) with 1% BSA, 0.02% Proclin300 and 50% Glycerol.
保存条件 Shipped at 4℃. Store at -20℃ for one year. Avoid repeated freeze/thaw cycles.
注意事项 This product as supplied is intended for research use only, not for use in human, therapeutic or diagnostic applications.
PubMed PubMed
产品介绍 This gene encodes an isoform of the alpha subunit of the elongation factor-1 complex, which is responsible for the enzymatic delivery of aminoacyl tRNAs to the ribosome. This isoform (alpha 1) is expressed in brain, placenta, lung, liver, kidney, and pancreas, and the other isoform (alpha 2) is expressed in brain, heart and skeletal muscle. This isoform is identified as an autoantigen in 66% of patients with Felty syndrome. This gene has been found to have multiple copies on many chromosomes, some of which, if not all, represent different pseudogenes. [provided by RefSeq, Jul 2008]

Function:
This protein promotes the GTP-dependent binding of aminoacyl-tRNA to the A-site of ribosomes during protein biosynthesis.

Subcellular Location:
Cytoplasm.

Tissue Specificity:
Brain, placenta, lung, liver, kidney, pancreas but barely detectable in heart and skeletal muscle

Post-translational modifications:
ISGylated.

Similarity:
Belongs to the GTP-binding elongation factor family. EF-Tu/EF-1A subfamily.

SWISS:
P68104

Gene ID:
1915

Database links:

Entrez Gene: 1915 Human

Entrez Gene: 13627 Mouse

Entrez Gene: 171361 Rat

SwissProt: P68104 Human

SwissProt: P10126 Mouse

SwissProt: P62630 Rat



肽链延长因子1A-1(peptide elongation factor 1A-1,eEF1A-1)是真核细胞蛋白翻译过程中肽链延长复合物的重要构成成分,具有调节蛋白合成及促发凋亡等多种作用.
产品图片
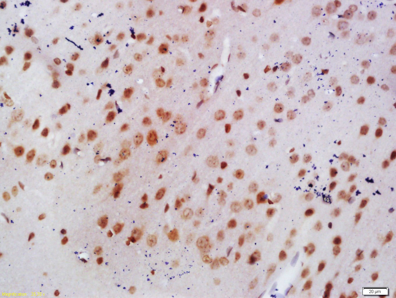
Tissue/cell: rat brain tissue; 4% Paraformaldehyde-fixed and paraffin-embedded; Antigen retrieval: citrate buffer ( 0.01M, pH 6.0 ), Boiling bathing for 15min; Block endogenous peroxidase by 3% Hydrogen peroxide for 30min; Blocking buffer (normal goat serum,C-0005) at 37℃ for 20 min; Incubation: Anti-eEF1A1 Polyclonal Antibody, Unconjugated(bs-2503R) 1:200, overnight at 4°C, followed by conjugation to the secondary antibody(SP-0023) and DAB(C-0010) staining
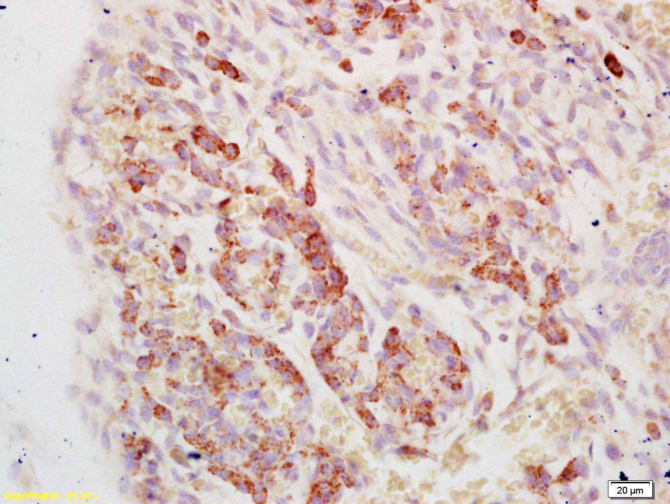
Tissue/cell: Mouse embryos; 4% Paraformaldehyde-fixed and paraffin-embedded; Antigen retrieval: citrate buffer ( 0.01M, pH 6.0 ), Boiling bathing for 15min; Block endogenous peroxidase by 3% Hydrogen peroxide for 30min; Blocking buffer (normal goat serum,C-0005) at 37℃ for 20 min; Incubation: Anti-EF1a/eEF1A1 Polyclonal Antibody, Unconjugated(bs-2503R) 1:200, overnight at 4°C, followed by conjugation to the secondary antibody(SP-0023) and DAB(C-0010) staining
版权所有 2004-2026 www.bioss.com.cn 北京博奥森生物技术有限公司
通过国际质量管理体系ISO 9001:2015 GB/T 19001-2016    证书编号: 00124Q34771R2M/1100
通过国际医疗器械-质量管理体系ISO 13485:2016 GB/T 42061-2022     证书编号: CQC24QY20047R0M/1100
京ICP备05066980号-1         京公网安备110107000727号