扫码关注公众号           扫码咨询技术支持           扫码咨询技术服务
  
客服热线:400-901-9800  客服QQ:4009019800  技术答疑  技术支持  质量反馈  关于我们  联系我们
产品中心-北京博奥森生物技术有限公司
首页 > 产品中心 > 一抗 > 产品信息
Ki-67 Rabbit pAb (bs-2130R)  
订购热线:400-901-9800
订购邮箱:sales@bioss.com.cn
订购QQ:  400-901-9800
技术支持:techsupport@bioss.com.cn
50ul/1180.00元
100ul/1980.00元
大包装/询价

产品编号 bs-2130R
英文名称 Ki-67 Rabbit pAb
中文名称 Ki67抗体
别    名 Antigen identified by monoclonal antibody Ki 67; Antigen KI67; KIA; Ki67; MKI67; Proliferation related Ki 67 antigen; Antigen KI-67; KI67_HUMAN.  
Specific References  (93)     |     bs-2130R has been referenced in 93 publications.
[IF=16.744] Zhanlin Zhang. et al. Persistent luminescence-activated Janus nanomotors with integration of photodynamic and photothermal cancer therapies. CHEM ENG J. 2022 Dec;:141226  IHC ;  Mouse.  
[IF=14.593] Guo-Bin Ding. et al. Molecularly engineered tumor acidity-responsive plant toxin gelonin for safe and efficient cancer therapy. Bioact Mater. 2022 Feb;:  IHC ;  Mouse.  
[IF=14.588] Donglin Xia. et al. Au–Hemoglobin Loaded Platelet Alleviating Tumor Hypoxia and Enhancing the Radiotherapy Effect with Low-Dose X-ray. Acs Nano. 2020;14(11):15654–15668  IHC ;  Mouse.  
[IF=13.273] Long Zhao. et al. Juglone-loaded metal-organic frameworks for H2O2 self-modulating enhancing chemodynamic therapy against prostate cancer. Chem Eng J. 2022 Feb;430:133057  IHC ;  Mouse.  
[IF=13.116] Dongyang Zhao. et al. Apoptotic body–mediated intercellular delivery for enhanced drug penetration and whole tumor destruction. Sci Adv. 2021 Apr;7(16):eabg0880  IHC ;  Mouse.  
[IF=11.467] Jie Meng. et al. Pyroelectric Janus nanomotors to promote cell internalization and synergistic tumor therapy. J CONTROL RELEASE. 2023 May;357:342  IHC ;  Mouse.  
[IF=11.161] Han, Lili. et al. The RNA-binding protein GRSF1 promotes hepatocarcinogenesis via competitively binding to YY1 mRNA with miR-30e-5p. J Exp Clin Canc Res. 2022 Dec;41(1):1-18  IHC ;  Mouse.  
[IF=11.092] Junwu Wei. et al. Photothermal Propelling and Pyroelectric Potential-Promoted Cell Internalization of Janus Nanoparticles and Pyroelectrodynamic Tumor Therapy. ADV HEALTHC MATER. 2023 Mar;:2300338  IHC ;  Mouse.  
[IF=10.761] Ning Ding. et al. Carrier-free delivery of thymopentin-regulated injectable nanogels via an enhanced cancer immunity cycle against melanoma metastasis. MATER TODAY BIO. 2023 Jun;20:100645  IHC ;  Mouse.  
[IF=10.435] Wan, Guoyun. et al. Gene augmented nuclear-targeting sonodynamic therapy via Nrf2 pathway-based redox balance adjustment boosts peptide-based anti-PD-L1 therapy on colorectal cancer. J Nanobiotechnol. 2021 Dec;19(1):1-26  IF ;  Mouse.  
[IF=10.383] Yixuan Liu. et al. Engineered Magnetic Polymer Nanoparticles Can Ameliorate Breast Cancer Treatment Inducing Pyroptosis–Starvation along with Chemotherapy. ACS APPL MATER INTER. 2022;XXXX(XXX):XXX-XXX  IHC ;  Mouse.  
[IF=10.317] Qi Sun. et al. Phototherapy and anti-GITR antibody-based therapy synergistically reinvigorate immunogenic cell death and reject established cancers. Biomaterials. 2021 Feb;269:120648  IHC ;  Mouse.  
[IF=8.355] Chen Z et al. Enzyme-powered Janus nanomotors launched from intratumoral depots to address drug delivery barriers. Chemical Engineering Journal,2019 375, 122109.  IHC ;  Mouse.  
[IF=8.355] Xie S et al. Bacteria-propelled microrockets to promote the tumor accumulation and intracellular drug uptake. Chemical Engineering Journal,2019, 123786.  IHC ;  Mouse.  
[IF=8.31] Li, Ning, et al. "Amphiphilic peptide dendritic copolymer-doxorubicin nanoscale conjugate self-assembled to enzyme-responsive anti-cancer agent." Biomaterials (2014).  IHC-P ;  Mouse.  
[IF=8.31] Pan, Dayi, et al. "PEGylated dendritic diaminocyclohexyl-platinum (II) conjugates as pH-responsive drug delivery vehicles with enhanced tumor accumulation and antitumor efficacy." Biomaterials (2014).  IHC-P ;  Mouse.  
[IF=7.658] Hua-Li Wang. et al. Potential Synthetic Lethality for Breast Cancer: A Selective Sirtuin 2 Inhibitor Combined with a Multiple Kinase Inhibitor Sorafenib. Pharmacol Res. 2021 Dec;:106050  IF,IHC ;  Mouse.  
[IF=7.504] He, Nan, et al. "Tumor pH-responsive Release of Drug-conjugated Micelles from Fiber Fragments for Intratumoral Chemotherapy." ACS Applied Materials & Interfaces (2017).  other ;  
[IF=7.348] Hui Ming. et al. A minimalist and robust chemo-photothermal nanoplatform capable of augmenting autophagy-modulated immune response against breast cancer. MATER TODAY BIO. 2022 Jun;15:100289  IHC ;  Mouse.  
[IF=6.4] Chu, Min. et al. Knockdown of lncRNA BDNF-AS inhibited the progression of multiple myeloma by targeting the miR-125a/b-5p-BCL2 axis. Immun Ageing. 2022 Dec;19(1):1-17  IHC ;  Mouse.  
[IF=6.383] Xie S et al. Bacterial microbots for acid-labile release of hybrid micelles to promote the synergistic antitumor efficacy.Acta Biomater. 2018 Sep 15;78:198-210.  IHC-P ;  Mouse.  
[IF=6.354] Hao, Yanan. et al. Gut microbiota-testis axis: FMT improves systemic and testicular micro-environment to increase semen quality in type 1 diabetes. MOL MED. 2022 Dec;28(1):1-17  IF ;  Mouse.  
[IF=6.304] Feng Y et al. Long noncoding RNA HOXA-AS2 functions as an oncogene by binding to EZH2 and suppressing LATS2 in acute myeloid leukemia (AML)Cell Death Dis.2020 Dec 2;11(12):1025.  IHC ;  Mouse.  
[IF=6.208] Kexin Wang. et al. OBHS Drives Abnormal Glycometabolis Reprogramming via GLUT1 in Breast Cancer. INT J MOL SCI. 2023 Jan;24(8):7136  IHC ;  Mouse.  
[IF=6.147] Jureepon Roboon. et al. Isolation of ferret astrocytes reveals their morphological, transcriptional, and functional differences from mouse astrocytes.. FRONT CELL NEUROSCI. 2022 Oct;16:877131-877131  ICC ;  Mouse.  
[IF=6.133] Li Xiaoping. et al. Connexin 43-modified bone marrow stromal cells reverse the imatinib resistance of K562 cells via Ca2+-dependent gap junction intercellular communication. CHINESE MED J-PEKING. 2023 Feb;:10.1097/CM9.0000000000002554  IHC ;  Mouse.  
[IF=6.03] Li, Xin, Xiumei Zhu, and Liyan Qiu. "Constructing aptamer anchored nanovesicles for enhanced tumor penetration and cellular uptake of water soluble chemotherapeutics." Acta Biomaterialia (2016).  IHC-P ;  Mouse.  
[IF=5.959] Hou Y et al. SKA3 Promotes tumor growth by regulating CDK2/P53 phosphorylation in hepatocellular carcinoma. Cell Death Dis. 2019 Dec 5;10(12):929.  IHC ;  Human.  
[IF=5.858] Rong Fu. et al. Avenanthramide C induces cellular senescence in colorectal cancer cells via suppressing β-catenin-mediated the transcription of miR-183/96/182 cluster. Biochem Pharmacol. 2022 May;199:115021  IHC ;  Human.  
[IF=5.74] Antognelli, Cinzia, et al. "Glyoxalase I drives epithelial-to-mesenchymal transition via argpyrimidine-modified Hsp70, miR-21 and SMAD signalling in human bronchial cells BEAS-2B chronically exposed to crystalline silica Min-U-Sil 5: transformation into a neoplastic-like phenotype." Free Radical Biology and Medicine (2016).  Human.  
研究领域 肿瘤  细胞生物  神经生物学  细胞周期蛋白  细胞分化  细胞类型标志物  表观遗传学  
抗体来源 Rabbit
克隆类型 Polyclonal
克 隆 号
交叉反应 Human,Mouse,Rat
产品应用 WB=1:500-2000,IHC-P=1:200-800,IHC-F=1:200-800,IF=1:200-800,Flow-Cyt=1ug/Test,ICC/IF=1:100-500
not yet tested in other applications.
optimal dilutions/concentrations should be determined by the end user.
理论分子量 358 kDa
检测分子量 320/359 
细胞定位 细胞核 
性    状 Liquid
浓    度 1mg/ml
免 疫 原 KLH conjugated synthetic peptide derived from human Ki67 
亚    型 IgG
纯化方法 affinity purified by Protein A
缓 冲 液 0.01M TBS (pH7.4) with 1% BSA, 0.02% Proclin300 and 50% Glycerol.
保存条件 Shipped at 4℃. Store at -20℃ for one year. Avoid repeated freeze/thaw cycles.
注意事项 This product as supplied is intended for research use only, not for use in human, therapeutic or diagnostic applications.
PubMed PubMed
产品介绍 Ki67 antigen is the prototypic cell cycle related nuclear protein, expressed by proliferating cells in all phases of the active cell cycle (G1, S, G2 and M phase). It is absent in resting (G0) cells. Ki67 antibodies are useful in establishing the cell growing fraction in neoplasms (immunohistochemically quantified by determining the number of Ki67 positive cells among the total number of resting cells = Ki67 index). In neoplastic tissues the prognostic value is comparable to the tritiated thymidine labelling index. The correlation between low Ki67 index and histologically low grade tumours is strong. Ki67 is routinely used as a neuronal marker of cell cycling and proliferation.

Function:
Thought to be required for maintaining cell proliferation.

Subcellular Location:
Nucleus. Chromosome. Predominantly localized in the G1 phase in the perinucleolar region, in the later phases it is also detected throughout the nuclear interior, being predominantly localized in the nuclear matrix. In mitosis, it is present on all chromosomes.

Similarity:
Contains 1 FHA domain.

SWISS:
P46013

Gene ID:
4288

Database links:

Entrez Gene: 4288 Human

Entrez Gene: 17345 Mouse

Entrez Gene: 246042 Rat

Omim: 176741 Human

SwissProt: P46013 Human

SwissProt: Q91VE6 Mouse

SwissProt: Q5RJM0 Rat

Unigene: 689823 Human

Unigene: 80976 Human

Unigene: 4078 Mouse

Unigene: 233802 Rat



细胞增殖标志物(Proliferation Marker)
Ki67与PCNA一样,为细胞增殖的一种标记,在细胞凋亡中S、G2 、M期均有表达,G0期缺如。
Ki-67增殖指数高低与许多肿瘤的分化程度、浸润、转移以及预后密切相关,因此被广泛作为各种恶性肿瘤的必检项目之一。
产品图片
Paraformaldehyde-fixed, paraffin embedded Mouse Colon; Antigen retrieval by boiling in sodium citrate buffer (pH6.0) for 15 min; The section was incubated with Ki-67 Polyclonal Antibody, Unconjugated (bs-2130R) at 1:200 overnight at 4°C, followed by conjugation to the bs-0295G-HRP and DAB (C-0010) staining.
Paraformaldehyde-fixed, paraffin embedded Rat Colon; Antigen retrieval by boiling in sodium citrate buffer (pH6.0) for 15 min; The section was incubated with Ki-67 Polyclonal Antibody, Unconjugated (bs-2130R) at 1:200 overnight at 4°C, followed by conjugation to the bs-0295G-HRP and DAB (C-0010) staining.
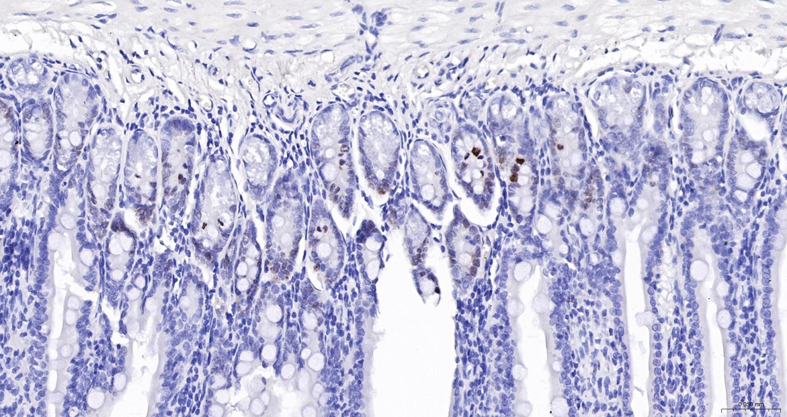
Paraformaldehyde-fixed, paraffin embedded (Human stomach); Antigen retrieval by boiling in sodium citrate buffer (pH6.0) for 15min; Block endogenous peroxidase by 3% hydrogen peroxide for 20 minutes; Blocking buffer (normal goat serum) at 37°C for 30min; Antibody incubation with (Ki-67) Polyclonal Antibody, Unconjugated (bs-2130R) at 1:200 overnight at 4°C, followed by operating according to SP Kit(Rabbit) (sp-0023) instructionsand DAB staining.
Paraformaldehyde-fixed, paraffin embedded (human lung carcinoma); Antigen retrieval by boiling in sodium citrate buffer (pH6.0) for 15min; Block endogenous peroxidase by 3% hydrogen peroxide for 20 minutes; Blocking buffer (normal goat serum) at 37°C for 30min; Antibody incubation with (Ki-67) Polyclonal Antibody, Unconjugated (bs-2130R) at 1:200 overnight at 4°C, followed by operating according to SP Kit(Rabbit) (sp-0023) instructionsand DAB staining.
Paraformaldehyde-fixed, paraffin embedded Human Tonsil; Antigen retrieval by boiling in sodium citrate buffer (pH6.0) for 15 min; Antibody incubation with Ki-67 Polyclonal Antibody, Unconjugated (bs-2130R) at 1:200 overnight at 4°C, followed by conjugation to the SP Kit (Rabbit, SP-0023) and DAB (C-0010) staining.
Paraformaldehyde-fixed, paraffin embedded Human ovarian serous carcinoma; Antigen retrieval by boiling in sodium citrate buffer (pH6.0) for 15 min; Antibody incubation with Ki-67 Polyclonal Antibody, Unconjugated (bs-2130R) at 1:200 overnight at 4°C, followed by conjugation to the SP Kit (Rabbit, SP-0023) and DAB (C-0010) staining.
4% Paraformaldehyde-fixed Hela(H) cell; Triton X-100 at r.t. for 20 min; Antibody incubation with (Ki-67) polyclonal Antibody, unconjugated (bs-2130R) 1:100, 90 min at 37°C; followed by conjugated Goat Anti-Rabbit IgG antibody (green, bs-0295G-FITC) at 37°C for 90 min, DAPI (blue, C02-04002) was used to stain the cell nuclei. PBS instead of the primary antibody was used as the blank control.
版权所有 2004-2026 www.bioss.com.cn 北京博奥森生物技术有限公司
通过国际质量管理体系ISO 9001:2015 GB/T 19001-2016    证书编号: 00124Q34771R2M/1100
通过国际医疗器械-质量管理体系ISO 13485:2016 GB/T 42061-2022     证书编号: CQC24QY20047R0M/1100
京ICP备05066980号-1         京公网安备110107000727号