扫码关注公众号           扫码咨询技术支持           扫码咨询技术服务
  
客服热线:400-901-9800  客服QQ:4009019800  技术答疑  技术支持  质量反馈  关于我们  联系我们
产品中心-北京博奥森生物技术有限公司
首页 > 产品中心 > 一抗 > 产品信息
CCL18 Rabbit pAb (bs-1989R)  
订购热线:400-901-9800
订购邮箱:sales@bioss.com.cn
订购QQ:  400-901-9800
技术支持:techsupport@bioss.com.cn
50ul/1180.00元
100ul/1980.00元
200ul/2800.00元
大包装/询价

产品编号 bs-1989R
英文名称 CCL18 Rabbit pAb
中文名称 巨噬细胞炎症蛋白18抗体
别    名 AMAC-1; AMAC1; CKb7; DC-CK1; DCCK1; MIP-4; PARC; SCYA18; CCL18_HUMAN; CCL18; Alternative macrophage activation-associated CC chemokine 1 (AMAC-1); CC chemokine PARC; Dendritic cell chemokine 1 (DC-CK1); Macrophage inflammatory protein 4 (MIP-4); Pulmonary  
研究领域 细胞生物  免疫学  
抗体来源 Rabbit
克隆类型 Polyclonal
克 隆 号
交叉反应 Mouse (predicted: Human)
产品应用 IHC-P=1:100-500,IHC-F=1:100-500,IF=1:100-500
not yet tested in other applications.
optimal dilutions/concentrations should be determined by the end user.
理论分子量 8 kDa
细胞定位 分泌型蛋白 
性    状 Liquid
浓    度 1mg/ml
免 疫 原 KLH conjugated synthetic peptide derived from human MIP4/CCL18: 21-89/89 
亚    型 IgG
纯化方法 affinity purified by Protein A
缓 冲 液 0.01M TBS (pH7.4) with 1% BSA, 0.02% Proclin300 and 50% Glycerol.
保存条件 Shipped at 4℃. Store at -20℃ for one year. Avoid repeated freeze/thaw cycles.
注意事项 This product as supplied is intended for research use only, not for use in human, therapeutic or diagnostic applications.
PubMed PubMed
产品介绍 This chemotactic factor that attracts lymphocytes but not monocytes or granulocytes may be involved in B cell migration into B cell follicles in lymph nodes. It attracts naive T lymphocytes toward dendritic cells and activated macrophages in lymph nodes, has chemotactic activity for naive T cells, CD4+ and CD8+ T cells and thus may play a role in both humoral and cell-mediated immunity responses. It is expressed at high levels in lung, lymph nodes, placenta, and bone marrow, not expressed by peripheral blood monocytes, and a monocyte-to-macrophage differentiation is a prerequisite for expression. Specifically induced in macrophages by IL4, IL13, and IL10, it belongs to the intercrine beta (chemokine CC) family.

Function:
Chemotactic factor that attracts lymphocytes but not monocytes or granulocytes. May be involved in B-cell migration into B-cell follicles in lymph nodes. Attracts naive T-lymphocytes toward dendritic cells and activated macrophages in lymph nodes, has chemotactic activity for naive T-cells, CD4+ and CD8+ T-cells and thus may play a role in both humoral and cell-mediated immunity responses.

Subcellular Location:
Secreted.

Tissue Specificity:
Expressed at high levels in lung, lymph nodes, placenta, bone marrow, dendritic cells present in germinal centers and T-cell areas of secondary lymphoid organs and macrophages derived from peripheral blood monocytes. Not expressed by peripheral blood monocytes and a monocyte-to-macrophage differentiation is a prerequisite for expression. Expressed in synovial fluids from patients with rheumatoid and septic arthritis and in ovarian carcinoma ascitic fluid.

Similarity:
Belongs to the intercrine beta (chemokine CC) family.

SWISS:
P55774

Gene ID:
6362

Database links:

Entrez Gene: 6362 Human

Omim: 603757 Human

SwissProt: P55774 Human

Unigene: 143961 Human



产品图片
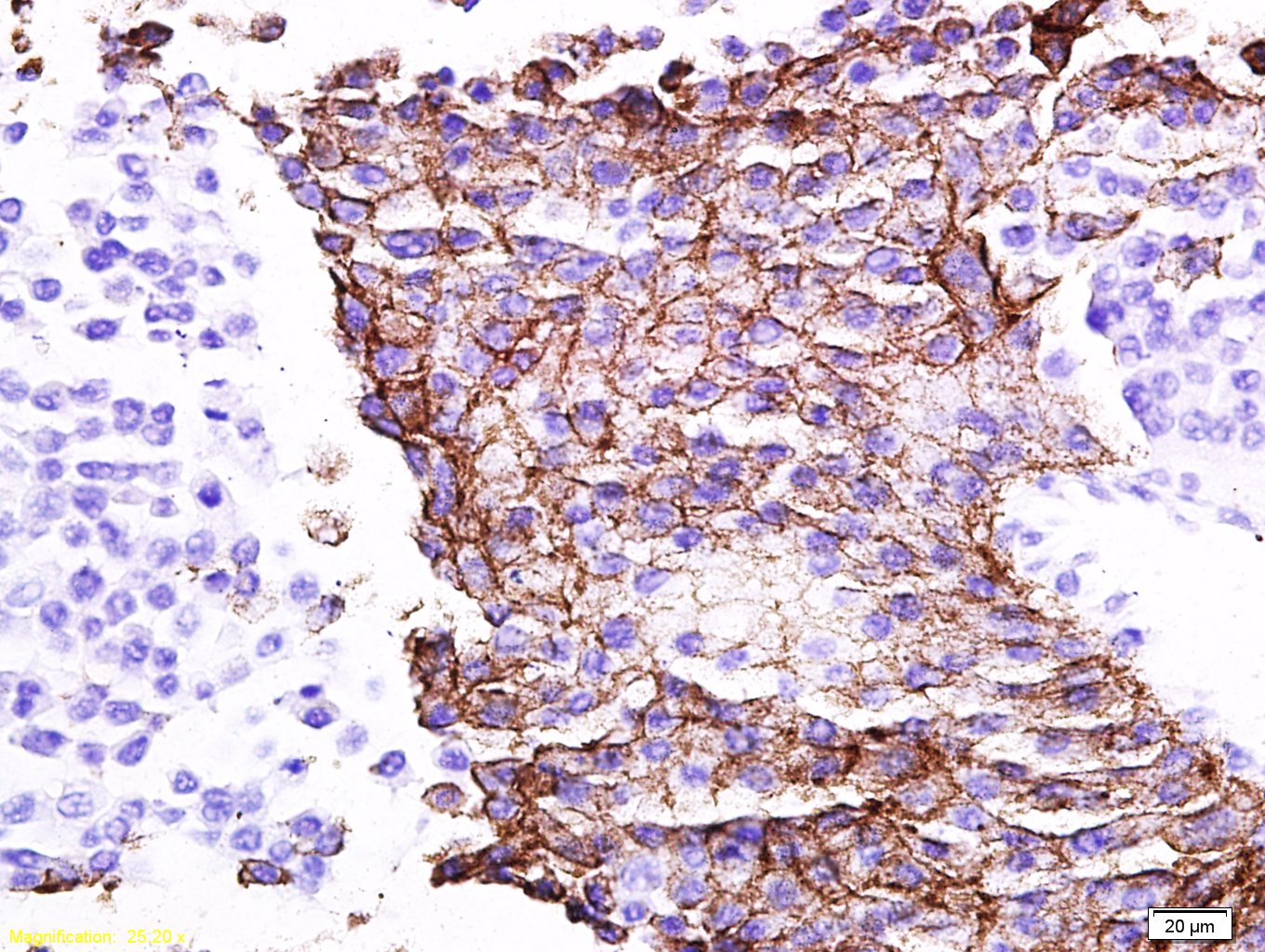
Paraformaldehyde-fixed, paraffin embedded (Mouse lung melanocytoma); Antigen retrieval by boiling in sodium citrate buffer (pH6.0) for 15min; Block endogenous peroxidase by 3% hydrogen peroxide for 20 minutes; Blocking buffer (normal goat serum) at 37°C for 30min; Antibody incubation with (MIP4) Polyclonal Antibody, Unconjugated (bs-1989R) at 1:500 overnight at 4°C, followed by a conjugated secondary (sp-0023) for 20 minutes and DAB staining.
Paraformaldehyde-fixed, paraffin embedded (Mouse melanocytoma); Antigen retrieval by boiling in sodium citrate buffer (pH6.0) for 15min; Block endogenous peroxidase by 3% hydrogen peroxide for 20 minutes; Blocking buffer (normal goat serum) at 37°C for 30min; Antibody incubation with (MIP4) Polyclonal Antibody, Unconjugated (bs-1989R) at 1:400 overnight at 4°C, followed by a conjugated secondary antibody (bs-0295G-PE) for 90 minutes, and DAPI for nuclei staining.
版权所有 2004-2026 www.bioss.com.cn 北京博奥森生物技术有限公司
通过国际质量管理体系ISO 9001:2015 GB/T 19001-2016    证书编号: 00124Q34771R2M/1100
通过国际医疗器械-质量管理体系ISO 13485:2016 GB/T 42061-2022     证书编号: CQC24QY20047R0M/1100
京ICP备05066980号-1         京公网安备110107000727号