扫码关注公众号           扫码咨询技术支持           扫码咨询技术服务
  
客服热线:400-901-9800  客服QQ:4009019800  技术答疑  技术支持  质量反馈  关于我们  联系我们
产品中心-北京博奥森生物技术有限公司
首页 > 产品中心 > 一抗 > 产品信息
TRF2 Rabbit pAb (bs-1922R)  
订购热线:400-901-9800
订购邮箱:sales@bioss.com.cn
订购QQ:  400-901-9800
技术支持:techsupport@bioss.com.cn
50ul/1180.00元
100ul/1980.00元
200ul/2800.00元
大包装/询价

产品编号 bs-1922R
英文名称 TRF2 Rabbit pAb
中文名称 端粒结合蛋白2抗体
别    名 Telomeric DNA binding protein; Telomeric repeat binding factor 2; Telomeric repeat binding protein 2; TERF 2; TERF2; TRBF 2; TRBF2; TRF 2; TTAGGG repeat binding factor 2.  
研究领域 肿瘤  转录调节因子  表观遗传学  
抗体来源 Rabbit
克隆类型 Polyclonal
克 隆 号
交叉反应 Human (predicted: Mouse,Rat,Rabbit,Pig,Dog)
产品应用 IHC-P=1:100-500,IHC-F=1:100-500,IF=1:100-500,ICC/IF=1:100-500
not yet tested in other applications.
optimal dilutions/concentrations should be determined by the end user.
理论分子量 55 kDa
检测分子量
细胞定位 细胞核 
性    状 Liquid
浓    度 1mg/ml
免 疫 原 KLH conjugated synthetic peptide derived from human TRF2: 301-400/500 
亚    型 IgG
纯化方法 affinity purified by Protein A
缓 冲 液 0.01M TBS (pH7.4) with 1% BSA, 0.02% Proclin300 and 50% Glycerol.
保存条件 Shipped at 4℃. Store at -20℃ for one year. Avoid repeated freeze/thaw cycles.
注意事项 This product as supplied is intended for research use only, not for use in human, therapeutic or diagnostic applications.
PubMed PubMed
产品介绍 This gene encodes a telomere specific protein, TERF2, which is a component of the telomere nucleoprotein complex. This protein is present at telomeres in metaphase of the cell cycle, is a second negative regulator of telomere length and plays a key role in the protective activity of telomeres. While having similar telomere binding activity and domain organization, TERF2 differs from TERF1 in that its N terminus is basic rather than acidic. [provided by RefSeq, Jul 2008]

Function:
Binds the telomeric double-stranded 5'-TTAGGG-3' repeat and plays a central role in telomere maintenance and protection against end-to-end fusion of chromosomes. In addition to its telomeric DNA-binding role, required to recruit a number of factors and enzymes required for telomere protection, including the shelterin complex, TERF2IP/RAP1 and DCLRE1B/Apollo. Component of the shelterin complex (telosome) that is involved in the regulation of telomere length and protection. Shelterin associates with arrays of double-stranded 5'-TTAGGG-3' repeats added by telomerase and protects chromosome ends; without its protective activity, telomeres are no longer hidden from the DNA damage surveillance and chromosome ends are inappropriately processed by DNA repair pathways. Together with DCLRE1B/Apollo, plays a key role in telomeric loop (T loop) formation by generating 3' single-stranded overhang at the leading end telomeres: T loops have been proposed to protect chromosome ends from degradation and repair. Required both to recruit DCLRE1B/Apollo to telomeres and activate the exonuclease activity of DCLRE1B/Apollo. Preferentially binds to positive supercoiled DNA. Together with DCLRE1B/Apollo, required to control the amount of DNA topoisomerase (TOP1, TOP2A and TOP2B) needed for telomere replication during fork passage and prevent aberrant telomere topology. Recruits TERF2IP/RAP1 to telomeres, thereby participating in to repressing homology-directed repair (HDR), which can affect telomere length.

Subcellular Location:
Nucleus. Chromosome, telomere. Colocalizes with telomeric DNA in interphase cells and is located at chromosome ends during metaphase.

Tissue Specificity:
Ubiquitous. Highly expressed in spleen, thymus, prostate, uterus, testis, small intestine, colon and peripheral blood leukocytes.

Post-translational modifications:
Phosphorylated upon DNA damage, probably by ATM or ATR.

Similarity:
Contains 1 HTH myb-type DNA-binding domain.

SWISS:
Q15554

Gene ID:
7014

Database links:

Entrez Gene: 7014 Human

Entrez Gene: 21750 Mouse

Entrez Gene: 361403 Rat

Omim: 602027 Human

SwissProt: Q15554 Human

SwissProt: O35144 Mouse

Unigene: 63335 Human

Unigene: 6402 Mouse

Unigene: 35087 Rat



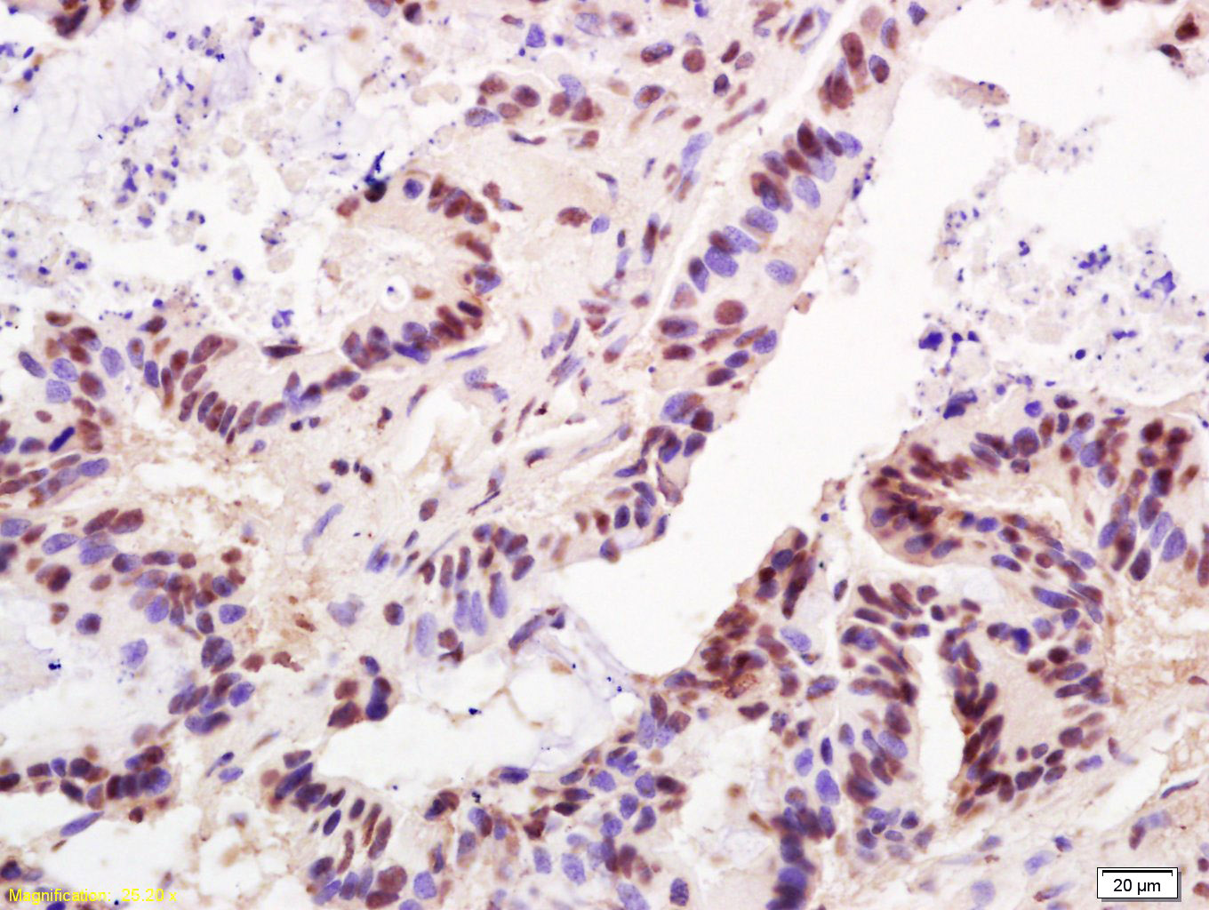
产品图片
Paraformaldehyde-fixed, paraffin embedded (Human colon cancer); Antigen retrieval by boiling in sodium citrate buffer (pH6.0) for 15min; Block endogenous peroxidase by 3% hydrogen peroxide for 20 minutes; Blocking buffer (normal goat serum) at 37°C for 30min; Antibody incubation with (Telomeric repeat binding protein 2 ) Polyclonal Antibody, Unconjugated (bs-1922R) at 1:400 overnight at 4°C, followed by a conjugated secondary antibody (sp-0023) for 20 minutes and DAB staining.
A549 cell; 4% Paraformaldehyde-fixed; Triton X-100 at room temperature for 20 min; Blocking buffer (normal goat serum, C-0005) at 37°C for 20 min; Antibody incubation with (TRF2) polyclonal Antibody, Unconjugated (bs-1922R) 1:100, 90 minutes at 37°C; followed by a conjugated Goat Anti-Rabbit IgG antibody at 37°C for 90 minutes, DAPI (blue, C02-04002) was used to stain the cell nuclei.
版权所有 2004-2026 www.bioss.com.cn 北京博奥森生物技术有限公司
通过国际质量管理体系ISO 9001:2015 GB/T 19001-2016    证书编号: 00124Q34771R2M/1100
通过国际医疗器械-质量管理体系ISO 13485:2016 GB/T 42061-2022     证书编号: CQC24QY20047R0M/1100
京ICP备05066980号-1         京公网安备110107000727号